JavaScript is disabled in your browser. Please enable JavaScript to view this website.
AB314106

Anti-CD127/IL-7R alpha antibody [BLR177J] - BSA free

Be the first to review this product! Submit a review

|

(0 Publication)

Rabbit Recombinant Monoclonal CD127 antibody. Suitable for IHC-P, IP, WB and reacts with Human samples. Immunogen corresponding to Recombinant Fragment Protein within Human IL7R aa 1-250.

View Alternative Names

CD127, Interleukin-7 receptor subunit alpha, IL-7 receptor subunit alpha, IL-7R subunit alpha, IL-7R-alpha, IL-7RA, CDw127, IL7R

5 Images
Immunohistochemistry (Formalin/PFA-fixed paraffin-embedded sections) - Anti-CD127/IL-7R alpha antibody [BLR177J] - BSA free (AB314106)
  • IHC-P

Supplier Data

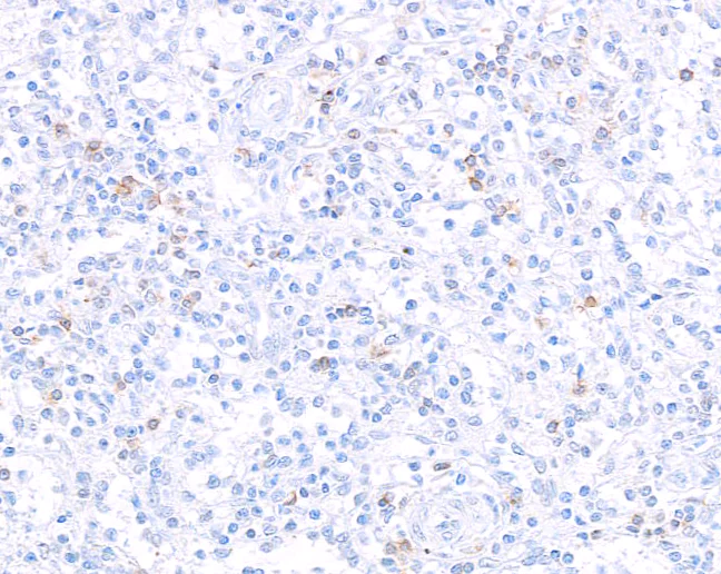
Immunohistochemistry (Formalin/PFA-fixed paraffin-embedded sections) - Anti-CD127/IL-7R alpha antibody [BLR177J] - BSA free (AB314106)

Detection of human CD127/IL-7R alpha in Hodgkin lymphoma by IHC. Antibody : Rabbit anti-CD127/IL-7R alpha recombinant monoclonal antibody [BLR177J] (A700-177). Secondary : HRP-conjugated goat anti-rabbit IgG. Substrate : DAB.

Immunohistochemistry (Formalin/PFA-fixed paraffin-embedded sections) - Anti-CD127/IL-7R alpha antibody [BLR177J] - BSA free (AB314106)
  • IHC-P

Supplier Data

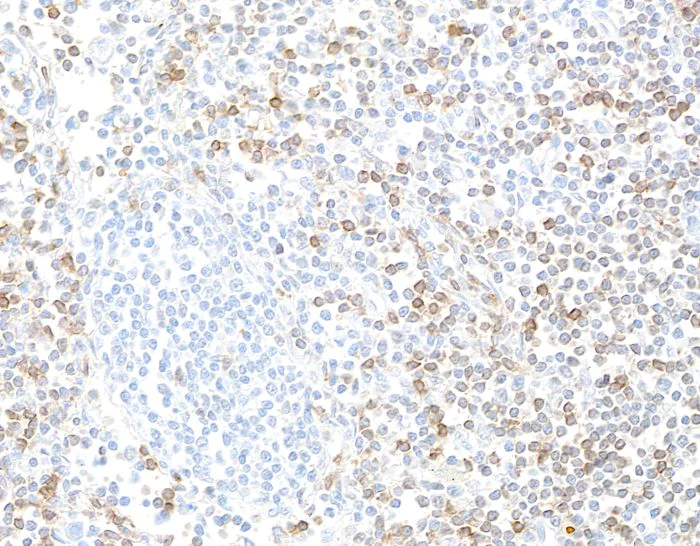
Immunohistochemistry (Formalin/PFA-fixed paraffin-embedded sections) - Anti-CD127/IL-7R alpha antibody [BLR177J] - BSA free (AB314106)

Detection of human CD127/IL-7R alpha in metastatic lymph node by IHC. Antibody : Rabbit anti-CD127/IL-7R alpha recombinant monoclonal antibody [BLR177J] (A700-177). Secondary : HRP-conjugated goat anti-rabbit IgG. Substrate : DAB.

Immunohistochemistry (Formalin/PFA-fixed paraffin-embedded sections) - Anti-CD127/IL-7R alpha antibody [BLR177J] - BSA free (AB314106)
  • IHC-P

Supplier Data

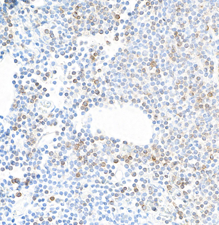
Immunohistochemistry (Formalin/PFA-fixed paraffin-embedded sections) - Anti-CD127/IL-7R alpha antibody [BLR177J] - BSA free (AB314106)

Detection of human CD127/IL-7R alpha in spleen by IHC. Antibody : Rabbit anti-CD127/IL-7R alpha recombinant monoclonal antibody [BLR177J] (A700-177). Secondary : HRP-conjugated goat anti-rabbit IgG. Substrate : DAB.

Immunoprecipitation - Anti-CD127/IL-7R alpha antibody [BLR177J] - BSA free (AB314106)
  • IP

Supplier Data

Immunoprecipitation - Anti-CD127/IL-7R alpha antibody [BLR177J] - BSA free (AB314106)

Samples : Whole cell lysate (0.5 mg per IP reaction; 20% of IP loaded) from Daudi cells prepared using NETN lysis buffer. Antibodies : Rabbit anti-CD127 recombinant monoclonal antibody [BLR177J] (A700-177) used for IP at 6 µl per reaction. CD127 was also immunoprecipitated by a second antibody against a different epitope of CD127 (BL-1919A-4E2). For blotting immunoprecipitated CD127, A700-177 was used at 1 : 1000. Chemiluminescence with an exposure time of 30 seconds.

false

Western blot - Anti-CD127/IL-7R alpha antibody [BLR177J] - BSA free (AB314106)
  • WB

Supplier Data

Western blot - Anti-CD127/IL-7R alpha antibody [BLR177J] - BSA free (AB314106)

Samples : Whole cell lysate (25 µg) from HeLa, Daudi, U2OS, SUP-T1, and Jurkat cells prepared using NETN lysis buffer. Antibody : Rabbit anti-CD127 recombinant monoclonal antibody [BLR177J] (A700-177 lot 1) used at 1 : 1000. Secondary : HRP-conjugated goat anti-rabbit IgG (A120-101P). Chemiluminescence with an exposure time of 3 minutes. Lower Panel : Rabbit anti-COPB2 antibody (A304-523A).

All lanes:

Western blot - Anti-CD127/IL-7R alpha antibody [BLR177J] - BSA free (ab314106) at 1/1000 dilution

Lane 1:

HeLa Whole cell lysate at 25 µg

Lane 2:

Daudi Whole cell lysate at 25 µg

Lane 3:

U2OS Whole cell lysate at 25 µg

Lane 4:

SUP-T1 Whole cell lysate at 25 µg

Lane 5:

Jurkat Whole cell lysate at 25 µg

Secondary

All lanes:

HRP-conjugated goat anti-rabbit IgG.

false

Key facts

Host species

Rabbit

Clonality

Monoclonal

Clone number

BLR177J

Isotype

IgG

Carrier free

No

Reacts with

Human

Applications

WB, IHC-P, IP

applications

Immunogen

Recombinant Fragment Protein within Human IL7R aa 1-250. The exact immunogen used to generate this antibody is proprietary information.

P16871

Reactivity data

{ "title": "Reactivity Data", "filters": { "stats": ["", "Species", "Dilution Info", "Notes"], "tabs": { "all-applications": {"fullname" : "All Applications", "shortname": "All Applications"}, "IHCP" : {"fullname" : "Immunohistochemistry (Formalin/PFA-fixed paraffin-embedded sections)", "shortname":"IHC-P"}, "IP" : {"fullname" : "Immunoprecipitation", "shortname":"IP"}, "WB" : {"fullname" : "Western blot", "shortname":"WB"} }, "product-promise": { "all": "all", "testedAndGuaranteed": "tested", "guaranteed": "expected", "predicted": "predicted", "notRecommended": "not-recommended" } }, "values": { "Human": { "IHCP-species-checked": "testedAndGuaranteed", "IHCP-species-dilution-info": "", "IHCP-species-notes": "<p></p>", "IP-species-checked": "testedAndGuaranteed", "IP-species-dilution-info": "", "IP-species-notes": "<p></p>", "WB-species-checked": "testedAndGuaranteed", "WB-species-dilution-info": "", "WB-species-notes": "<p></p>" } } }

You may be interested in:

AB270880

Human CD127 ELISA Kit

0

0 Reviews

View product

We recommend this product because it’s often used in the same experiment or related research.

We advise that you always check the datasheet to ensure it fits your experiments, or contact ourtechnical teamfor help.

Properties and storage information

Form
Liquid
Storage buffer
pH: 7.8 - 8.6 Preservative: 0.09% Sodium azide Constituents: 98% Borate buffered saline
Shipped at conditions
Blue Ice
Appropriate short-term storage duration
Up to 12 months
Appropriate short-term storage conditions
+4°C
Appropriate long-term storage conditions
+4°C

Supplementary information

This supplementary information is collated from multiple sources and compiled automatically.

CD127 also known as IL-7R alpha or IL-7Rα is a protein found on the surface of cells involved in key immune functions. The CD127 protein has an approximate mass of 55-60 kDa. It is a component of the interleukin-7 receptor which also includes the common gamma chain. You can find CD127 expressed on various immune cells like T cells B cells and dendritic cells. As a marker CD127 is an important indicator of T cell maturity and function. Researchers often target CD127 in studies using antibodies in assay formats like ELISA to measure its expression level and function.
Biological function summary

CD127 plays an important role in regulating lymphocyte development and survival. It is part of the IL-7R complex partnering with IL-7 for signal transduction that promotes cell proliferation and survival. This interaction is essential for the development and homeostasis of T cells and B cells. In the absence of proper CD127 signaling lymphocytes may suffer from poor survival impacting overall immune competence. The IL-7-CD127 interaction informs researchers about mechanisms of immune modulation and resilience.

Pathways

CD127 participates in the JAK/STAT signaling pathway which is pivotal for transmitting information from extracellular signals to the cell nucleus influencing gene expression. This pathway plays a vital role in immune cell response. When IL-7 binds to the IL-7R complex on CD127 it initiates a cascade that involves proteins like JAK1 and STAT5. These proteins mediate responses necessary for cell proliferation and differentiation within immune system networks.

CD127 has implications in conditions like severe combined immunodeficiency (SCID) and autoimmune diseases. In SCID mutations or defects in CD127 cause impaired T cell development leading to compromised immune function. Additionally CD127 dysregulation can contribute to autoimmune disorders by affecting T regulatory cells creating an imbalance in immune response. Ocrevus a monoclonal antibody therapy used for multiple sclerosis indirectly relates to CD127 by targeting the B cells which rely on IL-7R signaling mechanisms for survival and function. Researchers continue to investigate CD127 to better understand its role in immune-related diseases.

Product protocols

For this product, it's our understanding that no specific protocols are required. You can visit:

Target data

Receptor for interleukin-7. Also acts as a receptor for thymic stromal lymphopoietin (TSLP).
See full target information IL7R

Product promise

We are committed to supporting your work with high-quality reagents, and we're here for you every step of the way. In the unlikely event that one of our products does not perform as expected, you're protected by our Product Promise.
For full details, please see our Terms & Conditions

Please note: All products are 'FOR RESEARCH USE ONLY. NOT FOR USE IN DIAGNOSTIC OR THERAPEUTIC PROCEDURES'.

For licensing inquiries, please contact partnerships@abcam.com