JavaScript is disabled in your browser. Please enable JavaScript to view this website.
AB154116

Anti-CD13 antibody

Be the first to review this product! Submit a review

|

(3 Publications)

Rabbit Polyclonal CD13 antibody. Suitable for WB, IHC-P and reacts with Human samples. Cited in 3 publications. Immunogen corresponding to Recombinant Fragment Protein within Human ANPEP aa 450-800.

View Alternative Names

CD13, APN, PEPN, ANPEP, Aminopeptidase N, AP-N, hAPN, Alanyl aminopeptidase, Aminopeptidase M, Microsomal aminopeptidase, Myeloid plasma membrane glycoprotein CD13, gp150, AP-M

2 Images
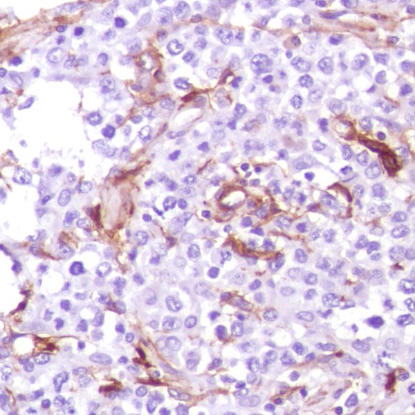
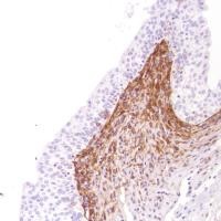
Immunohistochemistry (Formalin/PFA-fixed paraffin-embedded sections) - Anti-CD13 antibody (AB154116)
  • IHC-P

Unknown

Immunohistochemistry (Formalin/PFA-fixed paraffin-embedded sections) - Anti-CD13 antibody (AB154116)

Immunohistochemical analysis of paraffin-embedded H1299 xenograft tissue labeling CD13 with ab154116 at 1/100 dilution.

Western blot - Anti-CD13 antibody (AB154116)
  • WB

Unknown

Western blot - Anti-CD13 antibody (AB154116)

7.5% SDS PAGE

All lanes:

Western blot - Anti-CD13 antibody (ab154116) at 1/500 dilution

All lanes:

Raji whole cell lysate at 30 µg

Predicted band size: 109 kDa

false

Key facts

Host species

Rabbit

Clonality

Polyclonal

Isotype

IgG

Carrier free

No

Reacts with

Human

Applications

WB, IHC-P

applications

Immunogen

Recombinant Fragment Protein within Human ANPEP aa 450-800. The exact immunogen used to generate this antibody is proprietary information.

P15144

Reactivity data

{ "title": "Reactivity Data", "filters": { "stats": ["", "Species", "Dilution Info", "Notes"], "tabs": { "all-applications": {"fullname" : "All Applications", "shortname": "All Applications"}, "WB" : {"fullname" : "Western blot", "shortname":"WB"}, "IHCP" : {"fullname" : "Immunohistochemistry (Formalin/PFA-fixed paraffin-embedded sections)", "shortname":"IHC-P"} }, "product-promise": { "all": "all", "testedAndGuaranteed": "tested", "guaranteed": "expected", "predicted": "predicted", "notRecommended": "not-recommended" } }, "values": { "Human": { "WB-species-checked": "testedAndGuaranteed", "WB-species-dilution-info": "1/500 - 1/3000", "WB-species-notes": "<p></p>", "IHCP-species-checked": "testedAndGuaranteed", "IHCP-species-dilution-info": "1/100 - 1/1000", "IHCP-species-notes": "<p>Perform heat mediated antigen retrieval before commencing with IHC staining protocol using 10mM Citrate buffer (pH6.0) or Tris-EDTA buffer (pH8.0).</p>" } } }

Properties and storage information

Form
Liquid
Purification technique
Affinity purification Immunogen
Storage buffer
pH: 7 Preservative: 0.01% Thimerosal (merthiolate) Constituents: 10% Glycerol (glycerin, glycerine), 1.21% Tris, 0.75% Glycine
Shipped at conditions
Blue Ice
Appropriate short-term storage conditions
+4°C
Appropriate long-term storage conditions
-20°C
Aliquoting information
Upon delivery aliquot
Storage information
Avoid freeze / thaw cycle

Supplementary information

This supplementary information is collated from multiple sources and compiled automatically.

CD13 also known as aminopeptidase N (ANPEP) is a transmembrane protein with a molecular weight of approximately 150 kDa. It functions as a zinc-dependent metalloenzyme which cleaves N-terminal amino acids from peptides and proteins. CD13 protein is expressed on various cell types including myeloid cells epithelial cells endothelial cells and fibroblasts. Its presence is significantly observed in the brush border of the small intestinal mucosa and the renal proximal tubule. Researchers can study CD13 using anti-CD13 antibodies and CD13 ELISA kits.
Biological function summary

CD13 regulates peptide-mediated signaling and controls the maturation and catabolism of bioactive peptides. The enzymatic function of CD13 influences processes such as cell proliferation motility and angiogenesis. It does not operate as part of a larger complex but its activity modulates several cellular and systemic functions. CD13's role in these biological processes highlights its importance in modulating local and systemic peptide pools which contributes to its diverse physiological effects.

Pathways

CD13 plays significant roles in the renin-angiotensin system and the regulation of inflammatory responses. In the renin-angiotensin system CD13 modulates the activity of angiotensin influencing blood pressure and fluid balance. Through its enzymatic activity CD13 interacts with proteins such as ACE another critical player in this pathway. In inflammation CD13 regulates the availability of chemotactic peptides affecting leukocyte migration and adhesion. The proteins it works with in inflammatory pathways include cytokines which CD13 indirectly modulates by altering chemokine activity.

Aberrant CD13 expression and activity are implicated in cancer and inflammatory diseases. In cancer overexpression of CD13 correlates with tumor growth and metastasis particularly in cancers like renal cell carcinoma and prostate cancer. It can confer an increased malignant phenotype by promoting angiogenesis and immune evasion. In inflammatory disorders dysregulation of CD13 exacerbates diseases such as rheumatoid arthritis through its impact on peptide-mediated signaling and immune cell movement. Its connection with inflammatory cytokines like IL-8 indicates its important role in mediating inflammatory responses.

Product protocols

For this product, it's our understanding that no specific protocols are required. You can visit:

Target data

Broad specificity aminopeptidase which plays a role in the final digestion of peptides generated from hydrolysis of proteins by gastric and pancreatic proteases. Also involved in the processing of various peptides including peptide hormones, such as angiotensin III and IV, neuropeptides, and chemokines. May also be involved the cleavage of peptides bound to major histocompatibility complex class II molecules of antigen presenting cells. May have a role in angiogenesis and promote cholesterol crystallization. May have a role in amino acid transport by acting as binding partner of amino acid transporter SLC6A19 and regulating its activity (By similarity).. (Microbial infection) Acts as a receptor for human coronavirus 229E/HCoV-229E. In case of human coronavirus 229E (HCoV-229E) infection, serves as receptor for HCoV-229E spike glycoprotein.. (Microbial infection) Mediates as well Human cytomegalovirus (HCMV) infection.
See full target information ANPEP

Publications (3)

Recent publications for all applications. Explore the full list and refine your search

mBio 15:e0156124 PubMed39324816

2024

invasin AipA interacts with CD13 to elicit Src kinase signaling that promotes infection.

Applications

Unspecified application

Species

Unspecified reactive species

Mary Clark H Lind,Waheeda A Naimi,Travis J Chiarelli,Tavis Sparrer,Mallika Ghosh,Linda Shapiro,Jason A Carlyon

Journal of cellular physiology 236:107-120 PubMed33459391

2021

microRNA-377 acts as a suppressor in esophageal squamous cell carcinoma through CBX3-dependent P53/P21 pathway.

Applications

Unspecified application

Species

Unspecified reactive species

Zhisheng He,Junjing Chen,Xiaoliang Chen,Huanyuan Wang,Lang Tang,Chunbin Han

Journal of experimental & clinical cancer research 38:237 PubMed31171015

2019

Down-regulated lncRNA DLX6-AS1 inhibits tumorigenesis through STAT3 signaling pathway by suppressing CADM1 promoter methylation in liver cancer stem cells.

Applications

Unspecified application

Species

Unspecified reactive species

Dong-Mei Wu,Zi-Hui Zheng,Ying-Bo Zhang,Shao-Hua Fan,Zi-Feng Zhang,Yong-Jian Wang,Yuan-Lin Zheng,Jun Lu
View all publications

Product promise

We are committed to supporting your work with high-quality reagents, and we're here for you every step of the way. In the unlikely event that one of our products does not perform as expected, you're protected by our Product Promise.
For full details, please see our Terms & Conditions

Please note: All products are 'FOR RESEARCH USE ONLY. NOT FOR USE IN DIAGNOSTIC OR THERAPEUTIC PROCEDURES'.

For licensing inquiries, please contact partnerships@abcam.com