JavaScript is disabled in your browser. Please enable JavaScript to view this website.
AB317440

Anti-CD13 antibody [EPR27472-288]

Be the first to review this product! Submit a review

|

(2 Publications)

Rabbit Recombinant Monoclonal CD13 antibody. Suitable for Flow Cyt, WB, IP, ICC/IF and reacts with Mouse samples. Cited in 2 publications.

View Alternative Names

CD13, Lap-1, Lap1, Anpep, Aminopeptidase N, AP-N, mAPN, Alanyl aminopeptidase, Aminopeptidase M, Membrane protein p161, Microsomal aminopeptidase, AP-M

6 Images
Immunocytochemistry/ Immunofluorescence - Anti-CD13 antibody [EPR27472-288] (AB317440)
  • ICC/IF

Supplier Data

Immunocytochemistry/ Immunofluorescence - Anti-CD13 antibody [EPR27472-288] (AB317440)

Immunofluorescent analysis of 4% Paraformaldehyde-fixed, 0.1% TritonX-100 permeabilized J774A.1 (mouse reticulum cell sarcoma monocyte/macrophage) cells labelling CD13 with ab317440 at 1/50 (10.06 ug/ml) dilution, followed by ab150081 Goat Anti-Rabbit IgG H&L (Alexa Fluor® 488) preadsorbed antibody at 1/1000 2 ug/ml dilution (Green).

Confocal image showing membranous staining in J774A.1 cell line (shown in green). The counterstain was observed in magenta. Nuclear DNA was labeled with DAPI (shown in blue).
Negative control : EL4 (PMID : 8103749).
Image was taken with a confocal microscope (Leica-Microsystems, TCS SP8).

ab195889 Anti-alpha Tubulin mouse monoclonal antibody - Microtubule Marker (Alexa Fluor® 594) was used to counterstain tubulin at 1/200 2.5 ug/ml dilution (Magenta). The Nuclear counterstain was DAPI (Blue).

Secondary antibody only control : Secondary antibody is ab150081 Goat Anti-Rabbit IgG H&L (Alexa Fluor® 488) preadsorbed at 1/1000 2 ug/ml dilution.

Flow Cytometry - Anti-CD13 antibody [EPR27472-288] (AB317440)
  • Flow Cyt

Supplier Data

Flow Cytometry - Anti-CD13 antibody [EPR27472-288] (AB317440)

Flow cytometric analysis of Mouse spleen cell cells labelling CD13 with ab317440 at 1/500 dilution (0.1ug) / Right compared with a Rabbit monoclonal IgG (ab172730) / Left isotype control and an unlabelled control (cells without incubation with primary antibody and secondary antibody) (Blue).

Goat Anti-Rabbit IgG (Alexa Fluor® 488, ab150081) at 1/5000 dilution was used as the secondary antibody.

Cells were co-stained with anti-CD3 conjugated to Alexa Fluor®647.
Gated on viable cells.

Flow Cytometry - Anti-CD13 antibody [EPR27472-288] (AB317440)
  • Flow Cyt

Supplier Data

Flow Cytometry - Anti-CD13 antibody [EPR27472-288] (AB317440)

Flow cytometric analysis of Mouse spleen cell cells labelling CD13 with ab317440 at 1/500 dilution (0.1ug) / Right compared with a Rabbit monoclonal IgG (ab172730) / Left isotype control and an unlabelled control (cells without incubation with primary antibody and secondary antibody) (Blue).

Goat Anti-Rabbit IgG (Alexa Fluor® 488, ab150081) at 1/5000 dilution was used as the secondary antibody.

Cells were co-stained with anti-CD11c conjugated to Brilliant Violet 421.
Gated on viable cells.

Flow Cytometry - Anti-CD13 antibody [EPR27472-288] (AB317440)
  • Flow Cyt

Supplier Data

Flow Cytometry - Anti-CD13 antibody [EPR27472-288] (AB317440)

Flow cytometric analysis of J774A.1 (mouse reticulum cell sarcoma monocyte/macrophage) (Right) / EL4 (mouse lymphoma T lymphocyte) (Left) cells labelling CD13 with ab317440 at 1/500 dilution (0.1ug) (Red) compared with a Rabbit monoclonal IgG (ab172730) (Black) isotype control and an unlabelled control (cells without incubation with primary antibody and secondary antibody) (Blue).

Goat Anti-Rabbit IgG (Alexa Fluor® 488, ab150081) at 1/5000 dilution was used as the secondary antibody.

Gated on viable cells.
Negative control : EL4 (PMID : 8103749)

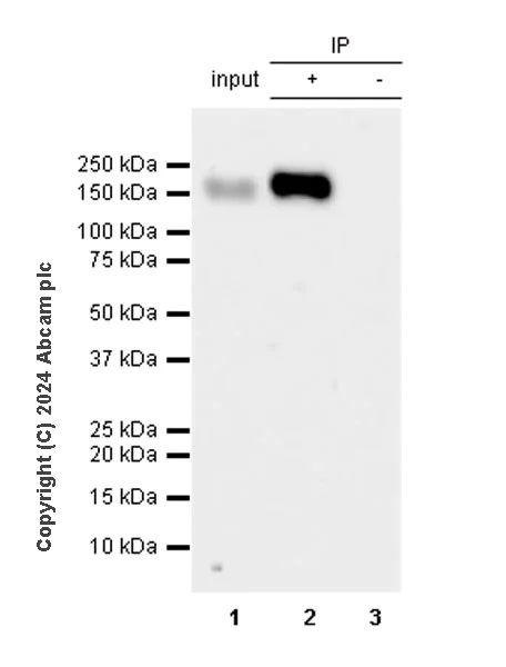
Immunoprecipitation - Anti-CD13 antibody [EPR27472-288] (AB317440)
  • IP

Supplier Data

Immunoprecipitation - Anti-CD13 antibody [EPR27472-288] (AB317440)

CD13 was immunoprecipitated from 0.35 mg J774A.1 (mouse reticulum cell sarcoma monocyte/macrophage ) whole cell lysate with ab317440 at 1/30 dilution (2ug in 0.35mg lysates). Western blot was performed on the immunoprecipitate using ab317440 at 1/1000 dilution. VeriBlot for IP secondary antibody(HRP)(ab131366) was used at 1/5000 dilution.

Lane 1 : J774A.1 (mouse reticulum cell sarcoma monocyte/macrophage ) whole cell lysate
Lane 2 : ab317440 IP in J774A.1 (mouse reticulum cell sarcoma monocyte/macrophage ) whole cell lysate
Lane 3 : Rabbit monoclonal IgG (ab172730) instead of ab317440 in J774A.1 whole cell lysate

Blocking and dilution buffer and concentration : 5% NFDM/TBST.

All lanes:

Immunoprecipitation - Anti-CD13 antibody [EPR27472-288] (ab317440) at 1/30 dilution

All lanes:

J774A.1 (mouse reticulum cell sarcoma monocyte/macrophage ) whole cell lysate

Secondary

All lanes:

Immunoprecipitation - VeriBlot for IP Detection Reagent (HRP) (<a href='/en-us/products/reagents/veriblot-for-ip-detection-reagent-hrp-ab131366'>ab131366</a>) at 1/5000 dilution

false

Exposure time: 24s

Western blot - Anti-CD13 antibody [EPR27472-288] (AB317440)
  • WB

Supplier Data

Western blot - Anti-CD13 antibody [EPR27472-288] (AB317440)

Blocking and diluting buffer and concentration : 5% NFDM/TBST.

Negative control : EL4 (PMID : 8103749).

Low expression : heart.

The molecular weight observed is consistent with what has been described in the literature (PMID : 37942010, 8103749).

In Western blot, Anti-GAPDH antibody [EPR16891] - Loading Control (ab181602) staining at 1/200000 dilution.

All lanes:

Western blot - Anti-CD13 antibody [EPR27472-288] (ab317440) at 1/1000 dilution

Lane 1:

J774A.1 (mouse reticulum cell sarcoma monocyte/macrophage ) whole cell lysate at 20 µg

Lane 2:

EL4 (mouse lymphoma T lymphocyte) whole cell lysate at 20 µg

Lane 3:

Mouse kidney tissue lysate at 20 µg

Lane 4:

Mouse heart tissue lysate at 20 µg

Secondary

All lanes:

Western blot - Goat Anti-Rabbit IgG H&L (HRP) (<a href='/en-us/products/secondary-antibodies/goat-rabbit-igg-h-l-hrp-ab97051'>ab97051</a>) at 1/100000 dilution

Observed band size: 150 kDa,36 kDa

false

Exposure time: 81s

  • 578 PE

    PE Anti-CD13 antibody [EPR27472-288]

  • 617 Alexa Fluor® 594

    Alexa Fluor® 594 Anti-CD13 antibody [EPR27472-288]

  • 519 Alexa Fluor® 488

    Alexa Fluor® 488 Anti-CD13 antibody [EPR27472-288]

  • Carrier free

    Anti-CD13 antibody [EPR27472-288] - BSA and Azide free

Key facts

Host species

Rabbit

Clonality

Monoclonal

Clone number

EPR27472-288

Isotype

IgG

Carrier free

No

Reacts with

Mouse

Applications

Flow Cyt, WB, ICC/IF, IP

applications

Immunogen

The exact immunogen used to generate this antibody is proprietary information.

Reactivity data

{ "title": "Reactivity Data", "filters": { "stats": ["", "Species", "Dilution Info", "Notes"], "tabs": { "all-applications": {"fullname" : "All Applications", "shortname": "All Applications"}, "FlowCyt" : {"fullname" : "Flow Cytometry", "shortname":"Flow Cyt"}, "WB" : {"fullname" : "Western blot", "shortname":"WB"}, "IP" : {"fullname" : "Immunoprecipitation", "shortname":"IP"}, "ICCIF" : {"fullname" : "Immunocytochemistry/ Immunofluorescence", "shortname":"ICC/IF"}, "IHCP" : {"fullname" : "Immunohistochemistry (Formalin/PFA-fixed paraffin-embedded sections)", "shortname":"IHC-P"} }, "product-promise": { "all": "all", "testedAndGuaranteed": "tested", "guaranteed": "expected", "predicted": "predicted", "notRecommended": "not-recommended" } }, "values": { "Human": { "FlowCyt-species-checked": "notRecommended", "FlowCyt-species-dilution-info": "", "FlowCyt-species-notes": "", "WB-species-checked": "notRecommended", "WB-species-dilution-info": "", "WB-species-notes": "<p></p>", "IP-species-checked": "notRecommended", "IP-species-dilution-info": "", "IP-species-notes": "", "ICCIF-species-checked": "notRecommended", "ICCIF-species-dilution-info": "", "ICCIF-species-notes": "", "IHCP-species-checked": "notRecommended", "IHCP-species-dilution-info": "", "IHCP-species-notes": "<p></p>" }, "Mouse": { "FlowCyt-species-checked": "testedAndGuaranteed", "FlowCyt-species-dilution-info": "1/500", "FlowCyt-species-notes": "<p></p>", "WB-species-checked": "testedAndGuaranteed", "WB-species-dilution-info": "1/1000", "WB-species-notes": "<p></p>", "IP-species-checked": "testedAndGuaranteed", "IP-species-dilution-info": "1/30", "IP-species-notes": "<p></p>", "ICCIF-species-checked": "testedAndGuaranteed", "ICCIF-species-dilution-info": "1/50", "ICCIF-species-notes": "<p></p>", "IHCP-species-checked": "notRecommended", "IHCP-species-dilution-info": "", "IHCP-species-notes": "<p></p>" }, "Rat": { "FlowCyt-species-checked": "notRecommended", "FlowCyt-species-dilution-info": "", "FlowCyt-species-notes": "", "WB-species-checked": "notRecommended", "WB-species-dilution-info": "", "WB-species-notes": "<p></p>", "IP-species-checked": "notRecommended", "IP-species-dilution-info": "", "IP-species-notes": "", "ICCIF-species-checked": "notRecommended", "ICCIF-species-dilution-info": "", "ICCIF-species-notes": "", "IHCP-species-checked": "notRecommended", "IHCP-species-dilution-info": "", "IHCP-species-notes": "<p></p>" } } }

Product details

Patented technology
Our RabMAb® technology is a patented hybridoma-based technology for making rabbit monoclonal antibodies. For details on our patents, please refer to RabMAb® patents.

What are the advantages of a recombinant monoclonal antibody?
This product is a recombinant monoclonal antibody, which offers several advantages including:

  • - High batch-to-batch consistency and reproducibility
  • - Improved sensitivity and specificity
  • - Long-term security of supply
  • - Animal-free batch production

For more information, read more on recombinant antibodies.

Properties and storage information

Form
Liquid
Purification technique
Affinity purification Protein A
Storage buffer
pH: 7.2 - 7.4 Preservative: 0.01% Sodium azide Constituents: PBS, 40% Glycerol (glycerin, glycerine), 0.05% BSA
Shipped at conditions
Blue Ice
Appropriate short-term storage duration
1-2 weeks
Appropriate short-term storage conditions
+4°C
Appropriate long-term storage conditions
-20°C
Aliquoting information
Upon delivery aliquot
Storage information
Avoid freeze / thaw cycle

Supplementary information

This supplementary information is collated from multiple sources and compiled automatically.

CD13 also known as aminopeptidase N (ANPEP) is a transmembrane protein with a molecular weight of approximately 150 kDa. It functions as a zinc-dependent metalloenzyme which cleaves N-terminal amino acids from peptides and proteins. CD13 protein is expressed on various cell types including myeloid cells epithelial cells endothelial cells and fibroblasts. Its presence is significantly observed in the brush border of the small intestinal mucosa and the renal proximal tubule. Researchers can study CD13 using anti-CD13 antibodies and CD13 ELISA kits.
Biological function summary

CD13 regulates peptide-mediated signaling and controls the maturation and catabolism of bioactive peptides. The enzymatic function of CD13 influences processes such as cell proliferation motility and angiogenesis. It does not operate as part of a larger complex but its activity modulates several cellular and systemic functions. CD13's role in these biological processes highlights its importance in modulating local and systemic peptide pools which contributes to its diverse physiological effects.

Pathways

CD13 plays significant roles in the renin-angiotensin system and the regulation of inflammatory responses. In the renin-angiotensin system CD13 modulates the activity of angiotensin influencing blood pressure and fluid balance. Through its enzymatic activity CD13 interacts with proteins such as ACE another critical player in this pathway. In inflammation CD13 regulates the availability of chemotactic peptides affecting leukocyte migration and adhesion. The proteins it works with in inflammatory pathways include cytokines which CD13 indirectly modulates by altering chemokine activity.

Aberrant CD13 expression and activity are implicated in cancer and inflammatory diseases. In cancer overexpression of CD13 correlates with tumor growth and metastasis particularly in cancers like renal cell carcinoma and prostate cancer. It can confer an increased malignant phenotype by promoting angiogenesis and immune evasion. In inflammatory disorders dysregulation of CD13 exacerbates diseases such as rheumatoid arthritis through its impact on peptide-mediated signaling and immune cell movement. Its connection with inflammatory cytokines like IL-8 indicates its important role in mediating inflammatory responses.

Product protocols

For this product, it's our understanding that no specific protocols are required. You can visit:

Target data

Broad specificity aminopeptidase which plays a role in the final digestion of peptides generated from hydrolysis of proteins by gastric and pancreatic proteases. Also involved in the processing of various peptides including peptide hormones, such as angiotensin III and IV, neuropeptides, and chemokines (By similarity). May also be involved the cleavage of peptides bound to major histocompatibility complex class II molecules of antigen presenting cells (PubMed : 8691132). May have a role in angiogenesis and promote cholesterol crystallization (By similarity). May have a role in amino acid transport by acting as binding partner of amino acid transporter SLC6A19 and regulating its activity (PubMed : 22677001).
See full target information Anpep

Publications (2)

Recent publications for all applications. Explore the full list and refine your search

Oncology letters 30:456 PubMed40762017

2025

Acute myeloid leukemia with plasmacytoid dendritic cell proliferation: A case report and literature review.

Applications

Unspecified application

Species

Unspecified reactive species

Zhixin Pei,Yi Zhang,Han Xu,Pei Pei,Zhengyang Zhang,Hongxia Wang,Bei Zhang,Junjun Bai,Yingxin Zhao,Jingjing Gu,Zhiyu Fang,Miaomiao Liu,Qinglin Song

Oncology letters 28:468 PubMed39119236

2024

Myeloid/lymphoid neoplasms with eosinophilia and FGFR1 rearrangement t(8;13)(p11;q12): A case report and literature review.

Applications

Unspecified application

Species

Unspecified reactive species

Yu-Jie Guo,Meng-Xue Ma,Tian Tian,Jing-Nan Zhang,Xiao-Nan Guo,Shukai Qiao
View all publications

Product promise

We are committed to supporting your work with high-quality reagents, and we're here for you every step of the way. In the unlikely event that one of our products does not perform as expected, you're protected by our Product Promise.
For full details, please see our Terms & Conditions

Please note: All products are 'FOR RESEARCH USE ONLY. NOT FOR USE IN DIAGNOSTIC OR THERAPEUTIC PROCEDURES'.

For licensing inquiries, please contact partnerships@abcam.com