JavaScript is disabled in your browser. Please enable JavaScript to view this website.
AB108310

Anti-CD13 antibody [EPR4058]

  • RabMAb
  • Recombinant
  • KO Validated
  • 20ul selling size
  • What is this?

4

(11 Reviews)

|

(36 Publications)

Anti-CD13 antibody [EPR4058] (ab108310) is a rabbit monoclonal antibody detecting CD13 in Western Blot, IHC-P, ICC/IF. Suitable for Human, Mouse, Rat.

- KO validated for confirmed specificity
- Biophysical QC for unrivalled batch-batch consistency
- Over 20 publications

View Alternative Names

CD13, APN, PEPN, ANPEP, Aminopeptidase N, AP-N, hAPN, Alanyl aminopeptidase, Aminopeptidase M, Microsomal aminopeptidase, Myeloid plasma membrane glycoprotein CD13, gp150, AP-M

20 Images
Immunohistochemistry (Formalin/PFA-fixed paraffin-embedded sections) - Anti-CD13 antibody [EPR4058] (AB108310)
  • IHC-P

Unknown

Immunohistochemistry (Formalin/PFA-fixed paraffin-embedded sections) - Anti-CD13 antibody [EPR4058] (AB108310)

ab108310 (unpurified) showing positive staining in human prostatic carcinoma tissue. Heat mediated antigen retrieval was performed using citrate buffer pH 6 before commencing with IHC staining protocol.

Immunohistochemistry (Formalin/PFA-fixed paraffin-embedded sections) - Anti-CD13 antibody [EPR4058] (AB108310)
  • IHC-P

Unknown

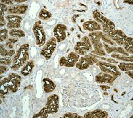
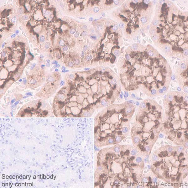
Immunohistochemistry (Formalin/PFA-fixed paraffin-embedded sections) - Anti-CD13 antibody [EPR4058] (AB108310)

Immunohistochemistry (Formalin/PFA-fixed paraffin-embedded sections) analysis of human kidney tissue sections labeling CD13 with purified ab108310 at 1/1600 dilution (0.43 μg/ml). Heat mediated antigen retrieval was performed using ab93684 (Tris/EDTA buffer pH 9.0). ImmunoHistoProbe one step HRP Polymer (ready to use) was used as the secondary antibody. Negative control : PBS instead of the primary antibody. Hematoxylin was used as a counterstain.

Immunohistochemistry (Formalin/PFA-fixed paraffin-embedded sections) - Anti-CD13 antibody [EPR4058] (AB108310)
  • IHC-P

Unknown

Immunohistochemistry (Formalin/PFA-fixed paraffin-embedded sections) - Anti-CD13 antibody [EPR4058] (AB108310)

ab108310 (unpurified) showing positive staining in human normal liver tissue. Heat mediated antigen retrieval was performed using citrate buffer pH 6 before commencing with IHC staining protocol.

Immunohistochemistry (Formalin/PFA-fixed paraffin-embedded sections) - Anti-CD13 antibody [EPR4058] (AB108310)
  • IHC-P

Unknown

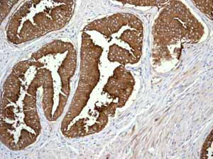
Immunohistochemistry (Formalin/PFA-fixed paraffin-embedded sections) - Anti-CD13 antibody [EPR4058] (AB108310)

ab108310 (unpurified) showing positive staining in human lung adenocarcinoma tissue. Heat mediated antigen retrieval was performed using citrate buffer pH 6 before commencing with IHC staining protocol.

Immunohistochemistry (Formalin/PFA-fixed paraffin-embedded sections) - Anti-CD13 antibody [EPR4058] (AB108310)
  • IHC-P

Unknown

Immunohistochemistry (Formalin/PFA-fixed paraffin-embedded sections) - Anti-CD13 antibody [EPR4058] (AB108310)

ab108310 (unpurified) showing positive staining in human normal tonsil tissue. Heat mediated antigen retrieval was performed using citrate buffer pH 6 before commencing with IHC staining protocol.

Immunohistochemistry (Formalin/PFA-fixed paraffin-embedded sections) - Anti-CD13 antibody [EPR4058] (AB108310)
  • IHC-P

Unknown

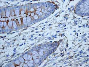
Immunohistochemistry (Formalin/PFA-fixed paraffin-embedded sections) - Anti-CD13 antibody [EPR4058] (AB108310)

ab108310 (unpurified) showing positive staining in human normal colon tissue. Heat mediated antigen retrieval was performed using citrate buffer pH 6 before commencing with IHC staining protocol.

Immunocytochemistry/ Immunofluorescence - Anti-CD13 antibody [EPR4058] (AB108310)
  • ICC/IF

Lab

Immunocytochemistry/ Immunofluorescence - Anti-CD13 antibody [EPR4058] (AB108310)

Confocal image showing membranous staining in THP-1 cells

ab108310 (purified) at 1/100 staining CD13 in the THP-1 (human monocytic leukemia monocyte) cell line by ICC/IF (Immunocytochemistry/immunofluorescence). Cells were fixed with 100% methanol. Samples were incubated with primary antibody 1/500. ab150077 An Alexa Fluor® 488-conjugated Goat anti-Rabbit IgG at 1/1000 was used as the secondary antibody. ab195889 Anti-alpha Tubulin antibody [DM1A] - Microtubule Marker (Alexa Fluor® 594) 1/200 was used as a counter stain and DAPI was used as a nuclear counter stain.

Immunocytochemistry/ Immunofluorescence - Anti-CD13 antibody [EPR4058] (AB108310)
  • ICC/IF

Lab

Immunocytochemistry/ Immunofluorescence - Anti-CD13 antibody [EPR4058] (AB108310)

ab108310 staining CD13 in wild-type THP-1 cells (top panel) and ANPEP knockout THP-1 cells (bottom panel) (ab273759). The cells were fixed with 4% paraformaldehyde (10 min) then permeabilized with 0.1% Tween for 5 minutes and then blocked with 1% BSA/10% normal goat serum/0.3M glycine in 0.1% PBS-Tween for 1h. The cells were then incubated with ab108310 at 1/500 dilution and ab7291 (Mouse monoclonal to alpha Tubulin) at 1/1000 dilution overnight at 4°C followed by a further incubation at room temperature for 1h with a goat secondary antibody to rabbit IgG (Alexa Fluor® 488) (ab150081) at 2 μg/ml (shown in green) and a goat secondary antibody to mouse IgG (Alexa Fluor® 594) (ab150120) at 2 μg/ml (shown in red). Nuclear DNA was labelled in blue with DAPI.
Image was taken with a confocal microscope (Leica-Microsystems TCS SP8).

Immunohistochemistry (Formalin/PFA-fixed paraffin-embedded sections) - Anti-CD13 antibody [EPR4058] (AB108310)
  • IHC-P

Unknown

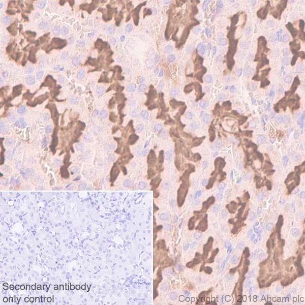
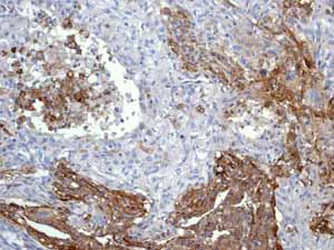
Immunohistochemistry (Formalin/PFA-fixed paraffin-embedded sections) - Anti-CD13 antibody [EPR4058] (AB108310)

ab108310 (unpurified) at 1/250 staining CD13 in human kidney tissue by immunohistochemistry. Heat mediated antigen retrieval was performed using citrate buffer pH 6 before commencing with IHC staining protocol.

Immunohistochemistry (Formalin/PFA-fixed paraffin-embedded sections) - Anti-CD13 antibody [EPR4058] (AB108310)
  • IHC-P

Unknown

Immunohistochemistry (Formalin/PFA-fixed paraffin-embedded sections) - Anti-CD13 antibody [EPR4058] (AB108310)

ab108310 (unpurified) showing positive staining in human astrocytoma tissue. Heat mediated antigen retrieval was performed using citrate buffer pH 6 before commencing with IHC staining protocol.

Immunohistochemistry (Formalin/PFA-fixed paraffin-embedded sections) - Anti-CD13 antibody [EPR4058] (AB108310)
  • IHC-P

Unknown

Immunohistochemistry (Formalin/PFA-fixed paraffin-embedded sections) - Anti-CD13 antibody [EPR4058] (AB108310)

ab108310 (unpurified) showing positive staining in human hepatocellular carcinoma tissue. Heat mediated antigen retrieval was performed using citrate buffer pH 6 before commencing with IHC staining protocol.

Immunohistochemistry (Formalin/PFA-fixed paraffin-embedded sections) - Anti-CD13 antibody [EPR4058] (AB108310)
  • IHC-P

Unknown

Immunohistochemistry (Formalin/PFA-fixed paraffin-embedded sections) - Anti-CD13 antibody [EPR4058] (AB108310)

ab108310 (unpurified) showing positive staining in human normal stomach tissue. Heat mediated antigen retrieval was performed using citrate buffer pH 6 before commencing with IHC staining protocol.

Immunohistochemistry (Formalin/PFA-fixed paraffin-embedded sections) - Anti-CD13 antibody [EPR4058] (AB108310)
  • IHC-P

Unknown

Immunohistochemistry (Formalin/PFA-fixed paraffin-embedded sections) - Anti-CD13 antibody [EPR4058] (AB108310)

ab108310 (unpurified) showing positive staining in human normal breast tissue. Heat mediated antigen retrieval was performed using citrate buffer pH 6 before commencing with IHC staining protocol.

Immunohistochemistry (Formalin/PFA-fixed paraffin-embedded sections) - Anti-CD13 antibody [EPR4058] (AB108310)
  • IHC-P

Unknown

Immunohistochemistry (Formalin/PFA-fixed paraffin-embedded sections) - Anti-CD13 antibody [EPR4058] (AB108310)

Immunohistochemistry (Formalin/PFA-fixed paraffin-embedded sections) analysis of rat kidney tissue sections labeling CD13 with purified ab108310 at 1/1600 dilution (0.43 μg/ml). Heat mediated antigen retrieval was performed using ab93684 (Tris/EDTA buffer pH 9.0). ImmunoHistoProbe one step HRP Polymer (ready to use) was used as the secondary antibody. Negative control : PBS instead of the primary antibody. Hematoxylin was used as a counterstain.

Western blot - Anti-CD13 antibody [EPR4058] (AB108310)
  • WB

Lab

Western blot - Anti-CD13 antibody [EPR4058] (AB108310)

Lanes 1 - 4 : Merged signal (red and green). Green - ab108310 observed at 160 kDa. Red - loading control ab8245 (Mouse anti-GAPDH antibody [6C5]) observed at 37kDa.

ab108310 was shown to react with CD13 in wild-type THP-1 cells in western blot with loss of signal observed in ANPEP knockout cell line ab273759 (knockout cell lysate ab275505). Wild-type and ANPEP knockout THP-1 cell lysates were subjected to SDS-PAGE. Membranes were blocked in fluorescent western blot (TBS-based) blocking solution before incubation with ab108310 and ab8245 (Mouse anti-GAPDH antibody [6C5]) overnight at 4°C at a 1 in 1000 dilution and a 1 in 20000 dilution respectively. Blots were incubated with Goat anti-Rabbit IgG H&L (IRDye® 800CW) preabsorbed (ab216773) and Goat anti-Mouse IgG H&L (IRDye® 680RD) preabsorbed (ab216776) secondary antibodies at 1 in 20000 dilution for 1 hour at room temperature before imaging.

All lanes:

Western blot - Anti-CD13 antibody [EPR4058] (ab108310) at 1/1000 dilution

Lane 1:

Wild-type THP-1 cell lysate at 30 µg

Lane 2:

ANPEP knockout THP-1 cell lysate at 30 µg

Lane 2:

Western blot - Human ANPEP (CD13) knockout THP-1 cell line (<a href='/en-us/products/cell-lines/human-anpep-cd13-knockout-thp-1-cell-line-ab273759'>ab273759</a>)

Lane 3:

PANC-1 cell lysate at 30 µg

Lane 4:

HEK-293 cell lysate at 30 µg

Predicted band size: 109 kDa

Observed band size: 160 kDa

false

Western blot - Anti-CD13 antibody [EPR4058] (AB108310)
  • WB

Lab

Western blot - Anti-CD13 antibody [EPR4058] (AB108310)

Lane 1 : Wild type HAP1 whole cell lysate (20 μg)
Lane 2 : Empty
Lane 3 : CD13 knockout HAP1 whole cell lysate (20 μg)
Lane 4 : Empty
Lane 5 : HeLa whole cell lysate (20 μg)

Lanes 1 - 5 : Merged signal (red and green). Green - ab108310 (unpurified) observed at 160 kDa. Red - loading control, ab18058, observed at 130 kDa.

ab108310 was shown to recognize CD13 when CD13 knockout samples were used, along with additional cross-reactive bands. Wild-type and CD13 knockout samples were subjected to SDS-PAGE. ab108310 and ab18058 (Mouse anti Vinculin loading control) were incubated overnight at 4°C at 1/1000 dilution and 1/10000 dilution respectively. Blots were developed with Goat anti-Rabbit IgG H&L (IRDye® 800CW) preabsorbed ab216773 and Goat anti-Mouse IgG H&L (IRDye® 680RD) preabsorbed ab216776 secondary antibodies at 1/10000 dilution for 1 hour at room temperature before imaging.

All lanes:

Western blot - Anti-CD13 antibody [EPR4058] (ab108310)

Predicted band size: 109 kDa

false

Western blot - Anti-CD13 antibody [EPR4058] (AB108310)
  • WB

Unknown

Western blot - Anti-CD13 antibody [EPR4058] (AB108310)

All lanes:

Western blot - Anti-CD13 antibody [EPR4058] (ab108310) at 1/1000 dilution

Lane 1:

THP-1 cell lysate at 10 µg

Lane 2:

human fetal liver lysate

Predicted band size: 109 kDa

false

Western blot - Anti-CD13 antibody [EPR4058] (AB108310)
  • WB

Lab

Western blot - Anti-CD13 antibody [EPR4058] (AB108310)

All lanes:

Western blot - Anti-CD13 antibody [EPR4058] (ab108310) at 1/5000 dilution

Lane 1:

THP-1 (Human monocytic leukemia monocyte) whole cell lysates at 15 µg

Lane 2:

Rat kidney lysates at 15 µg

Secondary

All lanes:

Western blot - Goat Anti-Rabbit IgG H&L (HRP) (<a href='/en-us/products/secondary-antibodies/goat-rabbit-igg-h-l-hrp-ab97051'>ab97051</a>) at 1/20000 dilution

Predicted band size: 109 kDa

Observed band size: 150 kDa

false

Western blot - Anti-CD13 antibody [EPR4058] (AB108310)
  • WB

Lab

Western blot - Anti-CD13 antibody [EPR4058] (AB108310)

Blocking and diluting buffer and concentration : 5% NFDM/TBST.

The identity of the lower MW band at approximately 75 kDa is non-specific banding.

The tissue samples were kindly provided by GemPharmatech. C57BL/6JGpt wildtype mice and Anpep/CD13-KO homozygous mice (Strain ID : T027669).

In Western blot, Anti-GAPDH antibody [EPR16891] - Loading Control (ab181602) staining at 1/200000 dilution.

All lanes:

Western blot - Anti-CD13 antibody [EPR4058] (ab108310) at 1/1000 dilution

Lane 1:

Wild-type mouse liver tissue lysate (male)

Lanes 2 - 3:

Anpep/CD13 knockout liver tissue lysate (male)

Lane 4:

Wild-type mouse kidney tissue lysate (male)

Lanes 5 - 6:

Anpep/CD13 knockout kidney tissue lysate (male)

Secondary

All lanes:

Western blot - Goat Anti-Rabbit IgG H&L (HRP) (<a href='/en-us/products/secondary-antibodies/goat-rabbit-igg-h-l-hrp-ab97051'>ab97051</a>) at 1/20000 dilution

Observed band size: 150 kDa

false

Exposure time: 38s

Western blot - Anti-CD13 antibody [EPR4058] (AB108310)
  • WB

Lab

Western blot - Anti-CD13 antibody [EPR4058] (AB108310)

All lanes:

Western blot - Anti-CD13 antibody [EPR4058] (ab108310) at 1/20000 dilution

All lanes:

Mouse kidney lysates at 15 µg

Secondary

All lanes:

Western blot - Goat Anti-Rabbit IgG H&L (HRP) (<a href='/en-us/products/secondary-antibodies/goat-rabbit-igg-h-l-hrp-ab97051'>ab97051</a>) at 1/20000 dilution

Predicted band size: 109 kDa

Observed band size: 150 kDa

false

Key facts

Host species

Rabbit

Clonality

Monoclonal

Clone number

EPR4058

Isotype

IgG

Carrier free

No

Reacts with

Human, Mouse, Rat

Applications

IHC-P, ICC/IF, WB

applications

Immunogen

The exact immunogen used to generate this antibody is proprietary information.

Reactivity data

{ "title": "Reactivity Data", "filters": { "stats": ["", "Species", "Dilution Info", "Notes"], "tabs": { "all-applications": {"fullname" : "All Applications", "shortname": "All Applications"}, "ICCIF" : {"fullname" : "Immunocytochemistry/ Immunofluorescence", "shortname":"ICC/IF"}, "IP" : {"fullname" : "Immunoprecipitation", "shortname":"IP"}, "FlowCyt" : {"fullname" : "Flow Cytometry", "shortname":"Flow Cyt"}, "WB" : {"fullname" : "Western blot", "shortname":"WB"}, "IHCP" : {"fullname" : "Immunohistochemistry (Formalin/PFA-fixed paraffin-embedded sections)", "shortname":"IHC-P"} }, "product-promise": { "all": "all", "testedAndGuaranteed": "tested", "guaranteed": "expected", "predicted": "predicted", "notRecommended": "not-recommended" } }, "values": { "Human": { "ICCIF-species-checked": "testedAndGuaranteed", "ICCIF-species-dilution-info": "1/100", "ICCIF-species-notes": "<p></p>", "IP-species-checked": "notRecommended", "IP-species-dilution-info": "1/10 - 1/100", "IP-species-notes": "<p></p>", "FlowCyt-species-checked": "notRecommended", "FlowCyt-species-dilution-info": "", "FlowCyt-species-notes": "<p></p>", "WB-species-checked": "testedAndGuaranteed", "WB-species-dilution-info": "1/1000 - 1/20000", "WB-species-notes": "<p></p>", "IHCP-species-checked": "testedAndGuaranteed", "IHCP-species-dilution-info": "1/1600", "IHCP-species-notes": "<p><strong>For unpurified use at 1/250 - 1/500.</strong></p>" }, "Mouse": { "ICCIF-species-checked": "guaranteed", "ICCIF-species-dilution-info": "", "ICCIF-species-notes": "", "IP-species-checked": "notRecommended", "IP-species-dilution-info": "1/10 - 1/100", "IP-species-notes": "<p></p>", "FlowCyt-species-checked": "notRecommended", "FlowCyt-species-dilution-info": "", "FlowCyt-species-notes": "", "WB-species-checked": "testedAndGuaranteed", "WB-species-dilution-info": "1/1000 - 1/20000", "WB-species-notes": "<p></p>", "IHCP-species-checked": "notRecommended", "IHCP-species-dilution-info": "", "IHCP-species-notes": "<p></p>" }, "Rat": { "ICCIF-species-checked": "guaranteed", "ICCIF-species-dilution-info": "", "ICCIF-species-notes": "", "IP-species-checked": "notRecommended", "IP-species-dilution-info": "1/10 - 1/100", "IP-species-notes": "<p></p>", "FlowCyt-species-checked": "notRecommended", "FlowCyt-species-dilution-info": "", "FlowCyt-species-notes": "", "WB-species-checked": "guaranteed", "WB-species-dilution-info": "", "WB-species-notes": "", "IHCP-species-checked": "testedAndGuaranteed", "IHCP-species-dilution-info": "1/1600", "IHCP-species-notes": "<p><strong>For unpurified use at 1/250 - 1/500.</strong></p>" } } }

Product details

What is this antibody validated in?
Anti-CD13 antibody [EPR4058] (ab108310) is a rabbit recombinant monoclonal antibody and is validated for use in Western Blot (WB), Immunohistochemistry (IHC-P), Immunocytochemistry/immunofluorescence (ICC/IF) in Human, Mouse, Rat samples.

What is the molecular weight of CD13?
Anti-CD13 [EPR4058] (ab108310) specifically detects a band for CD13 (UniProt: P15144) at a molecular weight of 110kDa.

Trusted by the scientific community
Anti-CD13 [EPR4058] (ab108310) was first used in a scientific publication in 2011 and has been cited over 20 times in peer-reviewed journals.

Reviewed by scientists
Anti-CD13 [EPR4058] (ab108310) has over 5 independent reviews from customers.

Trial sizes available!
Test your antibody or perform pre-screening before committing to a larger quantity. Sold in 10µl. Discover our selection of trial-size antibodies.

Specificity confirmed
The specificity of Anti-CD13 antibody [EPR4058] (ab108310) has been confirmed by Western blot testing in ANPEP Knockout HAP1 cell line, ab273759.

Other related products
We have a range of other formats of antibody clone [EPR4058] also available for your convenience: ab108310, Biotin - ab197630, Carrier free - ab227111, Carrier free - ab271872, Alexa Fluor® 488 - ab310996, Alexa Fluor® 647 - ab311120, Alexa Fluor® 594 - ab311751, Alexa Fluor® 568 - ab313031, Alexa Fluor® 555 - ab313232, Alexa Fluor® 750 - ab320891

Patented technology
Our RabMAb® technology is a patented hybridoma-based technology for making rabbit monoclonal antibodies. For details on our patents, please refer to RabMAb® patents.

What are the advantages of a recombinant monoclonal antibody?
This product is a recombinant monoclonal antibody, which offers several advantages including:

  • - High batch-to-batch consistency and reproducibility
  • - Improved sensitivity and specificity
  • - Long-term security of supply
  • - Animal-free batch production

For more information, read more on recombinant antibodies.

Properties and storage information

Form
Liquid
Purification technique
Affinity purification Protein A
Storage buffer
pH: 7.2 - 7.4 Preservative: 0.01% Sodium azide Constituents: PBS, 40% Glycerol (glycerin, glycerine), 0.05% BSA
Shipped at conditions
Blue Ice
Appropriate short-term storage duration
1-2 weeks
Appropriate short-term storage conditions
+4°C
Appropriate long-term storage conditions
-20°C
Aliquoting information
Upon delivery aliquot
Storage information
Avoid freeze / thaw cycle

Supplementary information

This supplementary information is collated from multiple sources and compiled automatically.

CD13 also known as aminopeptidase N (ANPEP) is a transmembrane protein with a molecular weight of approximately 150 kDa. It functions as a zinc-dependent metalloenzyme which cleaves N-terminal amino acids from peptides and proteins. CD13 protein is expressed on various cell types including myeloid cells epithelial cells endothelial cells and fibroblasts. Its presence is significantly observed in the brush border of the small intestinal mucosa and the renal proximal tubule. Researchers can study CD13 using anti-CD13 antibodies and CD13 ELISA kits.
Biological function summary

CD13 regulates peptide-mediated signaling and controls the maturation and catabolism of bioactive peptides. The enzymatic function of CD13 influences processes such as cell proliferation motility and angiogenesis. It does not operate as part of a larger complex but its activity modulates several cellular and systemic functions. CD13's role in these biological processes highlights its importance in modulating local and systemic peptide pools which contributes to its diverse physiological effects.

Pathways

CD13 plays significant roles in the renin-angiotensin system and the regulation of inflammatory responses. In the renin-angiotensin system CD13 modulates the activity of angiotensin influencing blood pressure and fluid balance. Through its enzymatic activity CD13 interacts with proteins such as ACE another critical player in this pathway. In inflammation CD13 regulates the availability of chemotactic peptides affecting leukocyte migration and adhesion. The proteins it works with in inflammatory pathways include cytokines which CD13 indirectly modulates by altering chemokine activity.

Aberrant CD13 expression and activity are implicated in cancer and inflammatory diseases. In cancer overexpression of CD13 correlates with tumor growth and metastasis particularly in cancers like renal cell carcinoma and prostate cancer. It can confer an increased malignant phenotype by promoting angiogenesis and immune evasion. In inflammatory disorders dysregulation of CD13 exacerbates diseases such as rheumatoid arthritis through its impact on peptide-mediated signaling and immune cell movement. Its connection with inflammatory cytokines like IL-8 indicates its important role in mediating inflammatory responses.

Product protocols

For this product, it's our understanding that no specific protocols are required. You can visit:

Target data

Broad specificity aminopeptidase which plays a role in the final digestion of peptides generated from hydrolysis of proteins by gastric and pancreatic proteases. Also involved in the processing of various peptides including peptide hormones, such as angiotensin III and IV, neuropeptides, and chemokines. May also be involved the cleavage of peptides bound to major histocompatibility complex class II molecules of antigen presenting cells. May have a role in angiogenesis and promote cholesterol crystallization. May have a role in amino acid transport by acting as binding partner of amino acid transporter SLC6A19 and regulating its activity (By similarity).. (Microbial infection) Acts as a receptor for human coronavirus 229E/HCoV-229E. In case of human coronavirus 229E (HCoV-229E) infection, serves as receptor for HCoV-229E spike glycoprotein.. (Microbial infection) Mediates as well Human cytomegalovirus (HCMV) infection.
See full target information ANPEP

Publications (36)

Recent publications for all applications. Explore the full list and refine your search

World journal of stem cells 17:100359 PubMed40308888

2025

Exosomal miR-137-3p targets UBE3C to activate STAT3, promoting migration and differentiation into endometrial epithelial cell of human umbilical cord mesenchymal stem cells under hypoxia.

Applications

Unspecified application

Species

Unspecified reactive species

Wan-Yu Zhang,Si-Miao Liu,Han-Bi Wang,Cheng-Yan Deng

JCI insight 10: PubMed40168094

2025

Soluble CD13 is a potential mediator of neutrophil-induced thrombogenic inflammation in SARS-CoV-2 infection.

Applications

Unspecified application

Species

Unspecified reactive species

Pei-Suen Tsou,Ramadan A Ali,Chenyang Lu,Gautam Sule,Carmelo Carmona-Rivera,Serena Lucotti,Yuzo Ikari,Qi Wu,Phillip L Campbell,Mikel Gurrea-Rubio,Kohei Maeda,Sharon E Fox,William D Brodie,Megan N Mattichak,Caroline Foster,Ajay Tambralli,Srilakshmi Yalavarthi,M Asif Amin,Katarina Kmetova,Bruna Mazetto Fonseca,Emily Chong,Yu Zuo,Michael D Maile,Luisa Imberti,Arnaldo Caruso,Francesca Caccuri,Virginia Quaresima,Alessandra Sottini,Douglas B Kuhns,Danielle Fink,Riccardo Castagnoli,Ottavia M Delmonte,Heather Kenney,Yu Zhang,Mary Magliocco,Helen Su,Luigi Notarangelo,Rachel L Zemans,Yang Mao-Draayer,Irina R Matei,Mirella Salvatore,David Lyden,Yogendra Kanthi,Mariana J Kaplan,Jason S Knight,David A Fox

World journal of stem cells 16:906-925 PubMed39619875

2024

Effects of miR-214-5p and miR-21-5p in hypoxic endometrial epithelial-cell-derived exosomes on human umbilical cord mesenchymal stem cells.

Applications

Unspecified application

Species

Unspecified reactive species

Wan-Yu Zhang,Han-Bi Wang,Cheng-Yan Deng

JCI insight 9: PubMed39405183

2024

Identification of LRP1+CD13+ human periosteal stem cells that require LRP1 for bone repair.

Applications

Unspecified application

Species

Unspecified reactive species

Youngjae Jeong,Lorenzo Deveza,Laura Ortinau,Kevin Lei,John R Dawson,Dongsu Park

Heliyon 10:e33077 PubMed38994107

2024

An easy-to-perform method for microvessel isolation and primary brain endothelial cell culture to study Alzheimer's disease.

Applications

Unspecified application

Species

Unspecified reactive species

Yang Chen,Xiaomin Huang,Hui Chen,Chenju Yi

BMC cancer 24:369 PubMed38519889

2024

CD13 expression affects glioma patient survival and influences key functions of human glioblastoma cell lines in vitro.

Applications

Unspecified application

Species

Unspecified reactive species

Wenying Zhang,Anne Blank,Irina Kremenetskaia,Anja Nitzsche,Güliz Acker,Peter Vajkoczy,Susan Brandenburg

Drug delivery and translational research 14:2629-2641 PubMed38498080

2024

RGD-coated polymeric microbubbles promote ultrasound-mediated drug delivery in an inflamed endothelium-pericyte co-culture model of the blood-brain barrier.

Applications

Unspecified application

Species

Unspecified reactive species

Christopher Hark,Junlin Chen,Julia Blöck,Eva Miriam Buhl,Harald Radermacher,Robert Pola,Michal Pechar,Tomáš Etrych,Quim Peña,Anne Rix,Natascha I Drude,Fabian Kiessling,Twan Lammers,Jan-Niklas May

Stem cell research & therapy 15:59 PubMed38433209

2024

Induced pluripotent stem cell derived pericytes respond to mediators of proliferation and contractility.

Applications

Unspecified application

Species

Unspecified reactive species

Natalie E King,Jo-Maree Courtney,Lachlan S Brown,Alastair J Fortune,Nicholas B Blackburn,Jessica L Fletcher,Jake M Cashion,Jana Talbot,Alice Pébay,Alex W Hewitt,Gary P Morris,Kaylene M Young,Anthony L Cook,Brad A Sutherland

Nature communications 14:6513 PubMed37845212

2023

Fibrocystin/Polyductin releases a C-terminal fragment that translocates into mitochondria and suppresses cystogenesis.

Applications

Unspecified application

Species

Unspecified reactive species

Rebecca V Walker,Qin Yao,Hangxue Xu,Anthony Maranto,Kristen F Swaney,Sreekumar Ramachandran,Rong Li,Laura Cassina,Brian M Polster,Patricia Outeda,Alessandra Boletta,Terry Watnick,Feng Qian

iScience 26:108219 PubMed37942010

2023

Cancer-specific glycosylation of CD13 impacts its detection and activity in preclinical cancer tissues.

Applications

Unspecified application

Species

Unspecified reactive species

Francis M Barnieh,Sebastian P Galuska,Paul M Loadman,Simon Ward,Robert A Falconer,Sherif F El-Khamisy
View all publications

Product promise

We are committed to supporting your work with high-quality reagents, and we're here for you every step of the way. In the unlikely event that one of our products does not perform as expected, you're protected by our Product Promise.
For full details, please see our Terms & Conditions

Please note: All products are 'FOR RESEARCH USE ONLY. NOT FOR USE IN DIAGNOSTIC OR THERAPEUTIC PROCEDURES'.

For licensing inquiries, please contact partnerships@abcam.com