JavaScript is disabled in your browser. Please enable JavaScript to view this website.
AB243926

Anti-CD13 antibody [SP182] - BSA and Azide free

Be the first to review this product! Submit a review

|

(0 Publication)

Rabbit Recombinant Monoclonal CD13 antibody. Carrier free. Suitable for IHC-P and reacts with Human samples.

View Alternative Names

CD13, APN, PEPN, ANPEP, Aminopeptidase N, AP-N, hAPN, Alanyl aminopeptidase, Aminopeptidase M, Microsomal aminopeptidase, Myeloid plasma membrane glycoprotein CD13, gp150, AP-M

12 Images
Immunohistochemistry (Formalin/PFA-fixed paraffin-embedded sections) - Anti-CD13 antibody [SP182] - BSA and Azide free (AB243926)
  • IHC-P

Supplier Data

Immunohistochemistry (Formalin/PFA-fixed paraffin-embedded sections) - Anti-CD13 antibody [SP182] - BSA and Azide free (AB243926)

Immunohistochemical analysis of formalin fixed, paraffin embedded human placenta tissue sections labeling CD13 using ab183358 at a 1/100 dilution.

This data was developed using the same antibody clone in a different buffer formulation containing PBS, BSA and sodium azide (ab183358).

Immunohistochemistry (Formalin/PFA-fixed paraffin-embedded sections) - Anti-CD13 antibody [SP182] - BSA and Azide free (AB243926)
  • IHC-P

Supplier Data

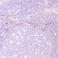
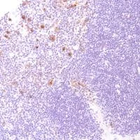
Immunohistochemistry (Formalin/PFA-fixed paraffin-embedded sections) - Anti-CD13 antibody [SP182] - BSA and Azide free (AB243926)

Immunohistochemical analysis of formalin fixed, paraffin embedded human thymus tissue sections labeling CD13 using ab183358 at a 1/100 dilution.

This data was developed using the same antibody clone in a different buffer formulation containing PBS, BSA and sodium azide (ab183358).

Immunohistochemistry (Formalin/PFA-fixed paraffin-embedded sections) - Anti-CD13 antibody [SP182] - BSA and Azide free (AB243926)
  • IHC-P

Supplier Data

Immunohistochemistry (Formalin/PFA-fixed paraffin-embedded sections) - Anti-CD13 antibody [SP182] - BSA and Azide free (AB243926)

Immunohistochemical analysis of formalin fixed, paraffin embedded human liver tissue sections labeling CD13 using ab183358 at a 1/100 dilution.

This data was developed using the same antibody clone in a different buffer formulation containing PBS, BSA and sodium azide (ab183358).

Immunohistochemistry (Formalin/PFA-fixed paraffin-embedded sections) - Anti-CD13 antibody [SP182] - BSA and Azide free (AB243926)
  • IHC-P

Supplier Data

Immunohistochemistry (Formalin/PFA-fixed paraffin-embedded sections) - Anti-CD13 antibody [SP182] - BSA and Azide free (AB243926)

Immunohistochemical analysis of formalin fixed, paraffin embedded human cervix tissue sections labeling CD13 using ab183358 at a 1/100 dilution.

This data was developed using the same antibody clone in a different buffer formulation containing PBS, BSA and sodium azide (ab183358).

Immunohistochemistry (Formalin/PFA-fixed paraffin-embedded sections) - Anti-CD13 antibody [SP182] - BSA and Azide free (AB243926)
  • IHC-P

Supplier Data

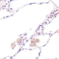
Immunohistochemistry (Formalin/PFA-fixed paraffin-embedded sections) - Anti-CD13 antibody [SP182] - BSA and Azide free (AB243926)

Immunohistochemical analysis of formalin fixed, paraffin embedded human lung tissue sections labeling CD13 using ab183358 at a 1/100 dilution.

This data was developed using the same antibody clone in a different buffer formulation containing PBS, BSA and sodium azide (ab183358).

Immunohistochemistry (Formalin/PFA-fixed paraffin-embedded sections) - Anti-CD13 antibody [SP182] - BSA and Azide free (AB243926)
  • IHC-P

Unknown

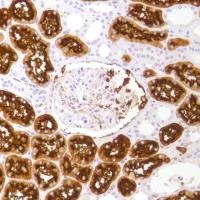
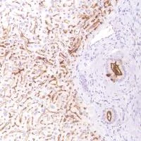
Immunohistochemistry (Formalin/PFA-fixed paraffin-embedded sections) - Anti-CD13 antibody [SP182] - BSA and Azide free (AB243926)

Immunohistochemical analysis of formalin fixed, paraffin embedded human kidney tissue sections labeling CD13 using ab183358 at a 1/100 dilution.

This data was developed using the same antibody clone in a different buffer formulation containing PBS, BSA and sodium azide (ab183358).

Immunohistochemistry (Formalin/PFA-fixed paraffin-embedded sections) - Anti-CD13 antibody [SP182] - BSA and Azide free (AB243926)
  • IHC-P

Unknown

Immunohistochemistry (Formalin/PFA-fixed paraffin-embedded sections) - Anti-CD13 antibody [SP182] - BSA and Azide free (AB243926)

Immunohistochemical analysis of formalin fixed, paraffin embedded human hepatoma tissue sections labeling CD13 using ab183358 at a 1/100 dilution.

This data was developed using the same antibody clone in a different buffer formulation containing PBS, BSA and sodium azide (ab183358).

Immunohistochemistry (Formalin/PFA-fixed paraffin-embedded sections) - Anti-CD13 antibody [SP182] - BSA and Azide free (AB243926)
  • IHC-P

Unknown

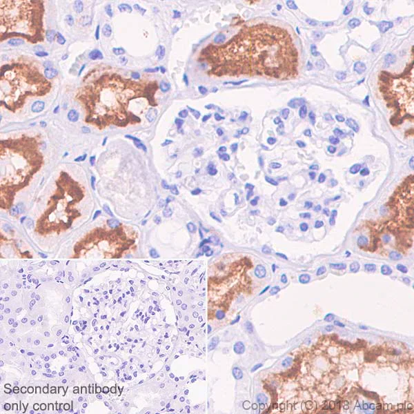
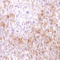
Immunohistochemistry (Formalin/PFA-fixed paraffin-embedded sections) - Anti-CD13 antibody [SP182] - BSA and Azide free (AB243926)

Immunohistochemistry (Formalin/PFA-fixed paraffin-embedded sections) analysis of Human kidney tissue sections labeling CD13 with ab183358 at 1/100 dilution (1.29 µg/ml). Heat mediated antigen retrieval was performed Heat mediated antigen retrieval with Tris-EDTA buffer (pH 9.0, epitope retrieval solution 2) for 10 mins. Rabbit specific IHC polymer detection kit HRP/DAB (ab209101) was used as the secondary antibody. Negative control : PBS instead of the primary antibody. Hematoxylin was used as a counterstain.
This data was developed using the same antibody clone in a different buffer formulation containing PBS, BSA, glycerol, and sodium azide (ab183358)

Immunohistochemistry (Formalin/PFA-fixed paraffin-embedded sections) - Anti-CD13 antibody [SP182] - BSA and Azide free (AB243926)
  • IHC-P

Supplier Data

Immunohistochemistry (Formalin/PFA-fixed paraffin-embedded sections) - Anti-CD13 antibody [SP182] - BSA and Azide free (AB243926)

Immunohistochemical analysis of formalin fixed, paraffin embedded human tonsil tissue sections labeling CD13 using ab183358 at a 1/100 dilution.

This data was developed using the same antibody clone in a different buffer formulation containing PBS, BSA and sodium azide (ab183358).

Immunohistochemistry (Formalin/PFA-fixed paraffin-embedded sections) - Anti-CD13 antibody [SP182] - BSA and Azide free (AB243926)
  • IHC-P

Supplier Data

Immunohistochemistry (Formalin/PFA-fixed paraffin-embedded sections) - Anti-CD13 antibody [SP182] - BSA and Azide free (AB243926)

Immunohistochemical analysis of formalin fixed, paraffin embedded human cerebellum tissue sections labeling CD13 using ab183358 at a 1/100 dilution.

This data was developed using the same antibody clone in a different buffer formulation containing PBS, BSA and sodium azide (ab183358).

Immunohistochemistry (Formalin/PFA-fixed paraffin-embedded sections) - Anti-CD13 antibody [SP182] - BSA and Azide free (AB243926)
  • IHC-P

Supplier Data

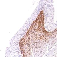
Immunohistochemistry (Formalin/PFA-fixed paraffin-embedded sections) - Anti-CD13 antibody [SP182] - BSA and Azide free (AB243926)

Immunohistochemical analysis of formalin fixed, paraffin embedded human bladder TCC tissue sections labeling CD13 using ab183358 at a 1/100 dilution.

This data was developed using the same antibody clone in a different buffer formulation containing PBS, BSA and sodium azide (ab183358).

Immunohistochemistry (Formalin/PFA-fixed paraffin-embedded sections) - Anti-CD13 antibody [SP182] - BSA and Azide free (AB243926)
  • IHC-P

Supplier Data

Immunohistochemistry (Formalin/PFA-fixed paraffin-embedded sections) - Anti-CD13 antibody [SP182] - BSA and Azide free (AB243926)

Immunohistochemical analysis of formalin fixed, paraffin embedded human bladder tissue sections labeling CD13 using ab183358 at a 1/100 dilution.

This data was developed using the same antibody clone in a different buffer formulation containing PBS, BSA and sodium azide (ab183358).

Key facts

Host species

Rabbit

Clonality

Monoclonal

Clone number

SP182

Isotype

IgG

Carrier free

Yes

Reacts with

Human

Applications

IHC-P

applications

Immunogen

The exact immunogen used to generate this antibody is proprietary information.

Reactivity data

{ "title": "Reactivity Data", "filters": { "stats": ["", "Species", "Dilution Info", "Notes"], "tabs": { "all-applications": {"fullname" : "All Applications", "shortname": "All Applications"}, "FlowCyt" : {"fullname" : "Flow Cytometry", "shortname":"Flow Cyt"}, "IHCP" : {"fullname" : "Immunohistochemistry (Formalin/PFA-fixed paraffin-embedded sections)", "shortname":"IHC-P"} }, "product-promise": { "all": "all", "testedAndGuaranteed": "tested", "guaranteed": "expected", "predicted": "predicted", "notRecommended": "not-recommended" } }, "values": { "Human": { "FlowCyt-species-checked": "notRecommended", "FlowCyt-species-dilution-info": "", "FlowCyt-species-notes": "<p></p>", "IHCP-species-checked": "testedAndGuaranteed", "IHCP-species-dilution-info": "", "IHCP-species-notes": "<p></p>" }, "Pig": { "FlowCyt-species-checked": "notRecommended", "FlowCyt-species-dilution-info": "", "FlowCyt-species-notes": "", "IHCP-species-checked": "predicted", "IHCP-species-dilution-info": "", "IHCP-species-notes": "" }, "Rabbit": { "FlowCyt-species-checked": "notRecommended", "FlowCyt-species-dilution-info": "", "FlowCyt-species-notes": "", "IHCP-species-checked": "predicted", "IHCP-species-dilution-info": "", "IHCP-species-notes": "" } } }

You may be interested in:

AB239427

Human CD13 ELISA Kit

0

0 Reviews

View product

We recommend this product because it’s often used in the same experiment or related research.

We advise that you always check the datasheet to ensure it fits your experiments, or contact ourtechnical teamfor help.

Product details

Properties and storage information

Form
Liquid
Purification technique
Affinity purification Protein A/G
Purification notes
Purified from TCS by protein A/G.
Storage buffer
pH: 7.2 - 7.4 Constituents: PBS
Shipped at conditions
Blue Ice
Appropriate short-term storage conditions
+4°C
Appropriate long-term storage conditions
+4°C
Storage information
Do Not Freeze

Supplementary information

This supplementary information is collated from multiple sources and compiled automatically.

CD13 also known as aminopeptidase N (ANPEP) is a transmembrane protein with a molecular weight of approximately 150 kDa. It functions as a zinc-dependent metalloenzyme which cleaves N-terminal amino acids from peptides and proteins. CD13 protein is expressed on various cell types including myeloid cells epithelial cells endothelial cells and fibroblasts. Its presence is significantly observed in the brush border of the small intestinal mucosa and the renal proximal tubule. Researchers can study CD13 using anti-CD13 antibodies and CD13 ELISA kits.
Biological function summary

CD13 regulates peptide-mediated signaling and controls the maturation and catabolism of bioactive peptides. The enzymatic function of CD13 influences processes such as cell proliferation motility and angiogenesis. It does not operate as part of a larger complex but its activity modulates several cellular and systemic functions. CD13's role in these biological processes highlights its importance in modulating local and systemic peptide pools which contributes to its diverse physiological effects.

Pathways

CD13 plays significant roles in the renin-angiotensin system and the regulation of inflammatory responses. In the renin-angiotensin system CD13 modulates the activity of angiotensin influencing blood pressure and fluid balance. Through its enzymatic activity CD13 interacts with proteins such as ACE another critical player in this pathway. In inflammation CD13 regulates the availability of chemotactic peptides affecting leukocyte migration and adhesion. The proteins it works with in inflammatory pathways include cytokines which CD13 indirectly modulates by altering chemokine activity.

Aberrant CD13 expression and activity are implicated in cancer and inflammatory diseases. In cancer overexpression of CD13 correlates with tumor growth and metastasis particularly in cancers like renal cell carcinoma and prostate cancer. It can confer an increased malignant phenotype by promoting angiogenesis and immune evasion. In inflammatory disorders dysregulation of CD13 exacerbates diseases such as rheumatoid arthritis through its impact on peptide-mediated signaling and immune cell movement. Its connection with inflammatory cytokines like IL-8 indicates its important role in mediating inflammatory responses.

Product protocols

For this product, it's our understanding that no specific protocols are required. You can visit:

Target data

Broad specificity aminopeptidase which plays a role in the final digestion of peptides generated from hydrolysis of proteins by gastric and pancreatic proteases. Also involved in the processing of various peptides including peptide hormones, such as angiotensin III and IV, neuropeptides, and chemokines. May also be involved the cleavage of peptides bound to major histocompatibility complex class II molecules of antigen presenting cells. May have a role in angiogenesis and promote cholesterol crystallization. May have a role in amino acid transport by acting as binding partner of amino acid transporter SLC6A19 and regulating its activity (By similarity).. (Microbial infection) Acts as a receptor for human coronavirus 229E/HCoV-229E. In case of human coronavirus 229E (HCoV-229E) infection, serves as receptor for HCoV-229E spike glycoprotein.. (Microbial infection) Mediates as well Human cytomegalovirus (HCMV) infection.
See full target information ANPEP

Product promise

We are committed to supporting your work with high-quality reagents, and we're here for you every step of the way. In the unlikely event that one of our products does not perform as expected, you're protected by our Product Promise.
For full details, please see our Terms & Conditions

Associated Products

Select an associated product type
Alternative Product
Primary Antibodies

AB154116

Anti-CD13 antibody

primary-antibodies

cd13-antibody-ab154116

0

(0 reviews)

Alternative Product
Primary Antibodies

AB239271

Alexa Fluor® 488 Anti-CD13 antibody [WM15]

primary-antibodies

alexa-fluor-488-cd13-antibody-wm15-ab239271

0

(0 reviews)

Alternative Product
Primary Antibodies

AB239330

PE/DyLight™ 594 Anti-CD13 antibody [WM15]

primary-antibodies

pe-dylight-594-cd13-antibody-wm15-ab239330

0

(0 reviews)

Alternative Product
Primary Antibodies

AB52461

FITC Anti-CD13 antibody [WM15]

primary-antibodies

fitc-cd13-antibody-wm15-ab52461

5

(2 reviews)

Alternative Product
Primary Antibodies

AB20136

Anti-CD13 antibody [22A5]

primary-antibodies

cd13-antibody-22a5-ab20136

0

(0 reviews)

Alternative Product
Primary Antibodies

AB130430

Biotin Anti-CD13 antibody [WM15]

primary-antibodies

biotin-cd13-antibody-wm15-ab130430

0

(0 reviews)

Alternative Product
Primary Antibodies

AB157316

PerCP/Cy5.5® Anti-CD13 antibody [WM15]

primary-antibodies

percp-cy55-cd13-antibody-wm15-ab157316

0

(0 reviews)

Alternative Product
Primary Antibodies

AB33486

FITC Anti-CD13 antibody [R3-63]

primary-antibodies

fitc-cd13-antibody-r3-63-ab33486

0

(0 reviews)

Alternative Product
Primary Antibodies

AB33490

PE Anti-CD13 antibody [R3-63]

primary-antibodies

pe-cd13-antibody-r3-63-ab33490

0

(0 reviews)

Alternative Product
Primary Antibodies

AB95545

APC Anti-CD13 antibody [WM-15]

primary-antibodies

apc-cd13-antibody-wm-15-ab95545

0

(0 reviews)

Alternative Product
Primary Antibodies

AB227663

Anti-CD13 antibody [SP187]

primary-antibodies

cd13-antibody-sp187-ab227663

0

(0 reviews)

Alternative Product
Primary Antibodies

AB236283

Anti-CD13 antibody

primary-antibodies

cd13-antibody-ab236283

0

(0 reviews)

Alternative Product
Primary Antibodies

AB7417

Anti-CD13 antibody [WM15]

primary-antibodies

cd13-antibody-wm15-ab7417

5

(7 reviews)

Alternative Product
Primary Antibodies

AB197630

Biotin Anti-CD13 antibody [EPR4058]

primary-antibodies

biotin-cd13-antibody-epr4058-ab197630

0

(0 reviews)

Alternative Product
Primary Antibodies

AB108382

Anti-CD13 antibody [EPR4059]

primary-antibodies

cd13-antibody-epr4059-ab108382

5

(3 reviews)

Please note: All products are 'FOR RESEARCH USE ONLY. NOT FOR USE IN DIAGNOSTIC OR THERAPEUTIC PROCEDURES'.

For licensing inquiries, please contact partnerships@abcam.com