JavaScript is disabled in your browser. Please enable JavaScript to view this website.
AB245741

Anti-CD13 antibody [SP187] - BSA and Azide free

Be the first to review this product! Submit a review

|

(1 Publication)

Rabbit Recombinant Monoclonal CD13 antibody. Carrier free. Suitable for IHC-P, WB, ICC/IF and reacts with Human samples. Cited in 1 publication.

View Alternative Names

CD13, APN, PEPN, ANPEP, Aminopeptidase N, AP-N, hAPN, Alanyl aminopeptidase, Aminopeptidase M, Microsomal aminopeptidase, Myeloid plasma membrane glycoprotein CD13, gp150, AP-M

15 Images
Immunohistochemistry (Formalin/PFA-fixed paraffin-embedded sections) - Anti-CD13 antibody [SP187] - BSA and Azide free (AB245741)
  • IHC-P

Supplier Data

Immunohistochemistry (Formalin/PFA-fixed paraffin-embedded sections) - Anti-CD13 antibody [SP187] - BSA and Azide free (AB245741)

Formalin-fixed, paraffin-embedded human lung tissue stained for CD13 using ab227663 at 1/100 dilution in immunohistochemical analysis.

This data was developed using the same antibody clone in a different buffer formulation containing PBS, BSA and sodium azide (ab227663).

Immunohistochemistry (Formalin/PFA-fixed paraffin-embedded sections) - Anti-CD13 antibody [SP187] - BSA and Azide free (AB245741)
  • IHC-P

Supplier Data

Immunohistochemistry (Formalin/PFA-fixed paraffin-embedded sections) - Anti-CD13 antibody [SP187] - BSA and Azide free (AB245741)

Formalin-fixed, paraffin-embedded human tonsil tissue stained for CD13 using ab227663 at 1/100 dilution in immunohistochemical analysis.

This data was developed using the same antibody clone in a different buffer formulation containing PBS#44; BSA#44; and sodium azide (ab227663)

Immunohistochemistry (Formalin/PFA-fixed paraffin-embedded sections) - Anti-CD13 antibody [SP187] - BSA and Azide free (AB245741)
  • IHC-P

Supplier Data

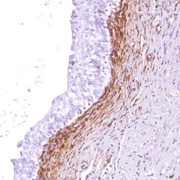
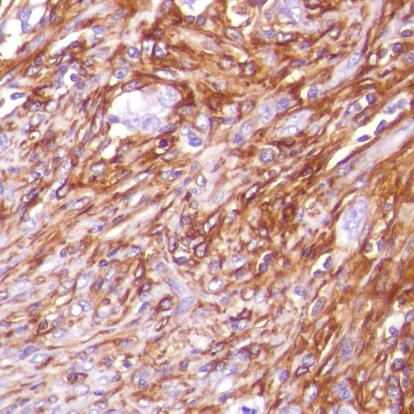
Immunohistochemistry (Formalin/PFA-fixed paraffin-embedded sections) - Anti-CD13 antibody [SP187] - BSA and Azide free (AB245741)

Formalin-fixed, paraffin-embedded human bladder tissue stained for CD13 using ab227663 at 1/100 dilution in immunohistochemical analysis.

This data was developed using the same antibody clone in a different buffer formulation containing PBS, BSA and sodium azide (ab227663).

Immunohistochemistry (Formalin/PFA-fixed paraffin-embedded sections) - Anti-CD13 antibody [SP187] - BSA and Azide free (AB245741)
  • IHC-P

Supplier Data

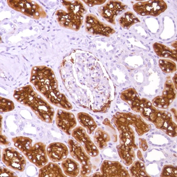
Immunohistochemistry (Formalin/PFA-fixed paraffin-embedded sections) - Anti-CD13 antibody [SP187] - BSA and Azide free (AB245741)

Formalin-fixed, paraffin-embedded human kidney tissue stained for CD13 using ab227663 at 1/100 dilution in immunohistochemical analysis.

This data was developed using the same antibody clone in a different buffer formulation containing PBS, BSA and sodium azide (ab227663).

Immunohistochemistry (Formalin/PFA-fixed paraffin-embedded sections) - Anti-CD13 antibody [SP187] - BSA and Azide free (AB245741)
  • IHC-P

Supplier Data

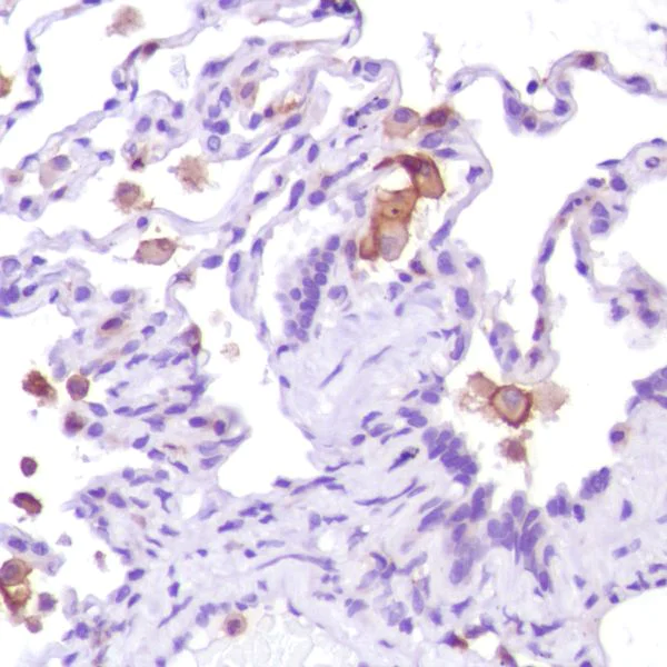
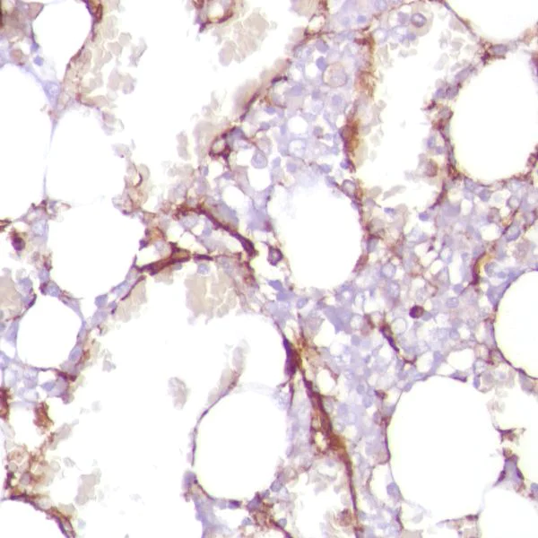
Immunohistochemistry (Formalin/PFA-fixed paraffin-embedded sections) - Anti-CD13 antibody [SP187] - BSA and Azide free (AB245741)

Formalin-fixed, paraffin-embedded human lung tissue stained for CD13 using ab227663 at 1/100 dilution in immunohistochemical analysis.

This data was developed using the same antibody clone in a different buffer formulation containing PBS#44; BSA#44; and sodium azide (ab227663)

Immunohistochemistry (Formalin/PFA-fixed paraffin-embedded sections) - Anti-CD13 antibody [SP187] - BSA and Azide free (AB245741)
  • IHC-P

Supplier Data

Immunohistochemistry (Formalin/PFA-fixed paraffin-embedded sections) - Anti-CD13 antibody [SP187] - BSA and Azide free (AB245741)

Formalin-fixed, paraffin-embedded human spleen tissue stained for CD13 using ab227663 at 1/100 dilution in immunohistochemical analysis.

This data was developed using the same antibody clone in a different buffer formulation containing PBS#44; BSA#44; and sodium azide (ab227663)

Immunohistochemistry (Formalin/PFA-fixed paraffin-embedded sections) - Anti-CD13 antibody [SP187] - BSA and Azide free (AB245741)
  • IHC-P

Supplier Data

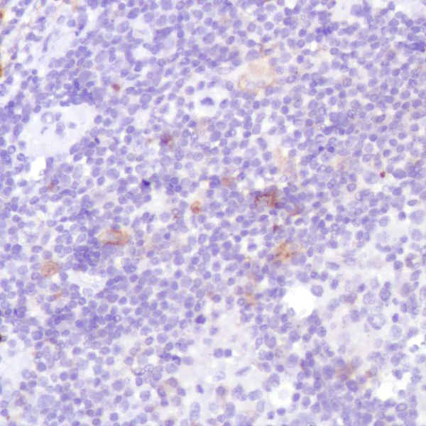
Immunohistochemistry (Formalin/PFA-fixed paraffin-embedded sections) - Anti-CD13 antibody [SP187] - BSA and Azide free (AB245741)

Formalin-fixed, paraffin-embedded human thymus tissue stained for CD13 using ab227663 at 1/100 dilution in immunohistochemical analysis.

This data was developed using the same antibody clone in a different buffer formulation containing PBS#44; BSA#44; and sodium azide (ab227663)

Immunocytochemistry/ Immunofluorescence - Anti-CD13 antibody [SP187] - BSA and Azide free (AB245741)
  • ICC/IF

Lab

Immunocytochemistry/ Immunofluorescence - Anti-CD13 antibody [SP187] - BSA and Azide free (AB245741)

This data was developed using the same antibody clone in a different buffer formulation (ab227663). ab227663 staining CD13 in wild-type THP-1 cells (top panel) and ANPEP knockout THP-1 cells (bottom panel) (ab273759). The cells were fixed with 4% paraformaldehyde (10 min) then permeabilized with 0.1% Triton X-100 for 5 minutes and then blocked with 1% BSA/10% normal goat serum/0.3M glycine in 0.1% PBS-Tween for 1h. The cells were then incubated with ab227663 at 1μg/ml concentration and ab7291 (Mouse monoclonal to alpha Tubulin) at 1/1000 dilution overnight at 4°C followed by a further incubation at room temperature for 1h with a goat secondary antibody to rabbit IgG (Alexa Fluor® 488) (ab150081) at 2 μg/ml (shown in green) and a goat secondary antibody to mouse IgG (Alexa Fluor® 594) (ab150120) at 2 μg/ml (shown in red). Nuclear DNA was labelled in blue with DAPI.
Image was taken with a confocal microscope (Leica-Microsystems TCS SP8).

Immunocytochemistry/ Immunofluorescence - Anti-CD13 antibody [SP187] - BSA and Azide free (AB245741)
  • ICC/IF

Unknown

Immunocytochemistry/ Immunofluorescence - Anti-CD13 antibody [SP187] - BSA and Azide free (AB245741)

Immunocytochemistry/ Immunofluorescence analysis of THP-1 (human monocytic leukemia monocyte) cells labeling CD13 with purified ab227663 at 1/25 (5.32μg/ml). Cells were fixed in 100% Methanol. Cells were counterstained with ab195889 Anti-alpha Tubulin antibody [DM1A] - Microtubule Marker (Alexa Fluor® 594) 1/200 (2.5 μg/ml). Goat anti rabbit IgG (Alexa Fluor® 488, ab150077) was used as the secondary antibody at 1/1000 (2 μg/ml) dilution. DAPI was used as nuclear counterstain. PBS instead of the primary antibody was used as the secondary antibody only control.
This data was developed using the same antibody clone in a different buffer formulation containing PBS, BSA, glycerol, and sodium azide (ab227663).

Immunohistochemistry (Formalin/PFA-fixed paraffin-embedded sections) - Anti-CD13 antibody [SP187] - BSA and Azide free (AB245741)
  • IHC-P

Unknown

Immunohistochemistry (Formalin/PFA-fixed paraffin-embedded sections) - Anti-CD13 antibody [SP187] - BSA and Azide free (AB245741)

Formalin-fixed, paraffin-embedded human tonsil tissue stained for CD13 using ab227663 at 1/100 dilution in immunohistochemical analysis.

This data was developed using the same antibody clone in a different buffer formulation containing PBS, BSA and sodium azide (ab227663).

Immunohistochemistry (Formalin/PFA-fixed paraffin-embedded sections) - Anti-CD13 antibody [SP187] - BSA and Azide free (AB245741)
  • IHC-P

Supplier Data

Immunohistochemistry (Formalin/PFA-fixed paraffin-embedded sections) - Anti-CD13 antibody [SP187] - BSA and Azide free (AB245741)

Flow cytometric analysis of U937 (human histiocytic lymphoma cell line) cell line labeling CD13 with ab227663 at 1/100 dilution (green) compared with a Rabbit IgG negative control (blue).

This data was developed using the same antibody clone in a different buffer formulation containing PBS#44; BSA#44; and sodium azide (ab227663)

Immunohistochemistry (Formalin/PFA-fixed paraffin-embedded sections) - Anti-CD13 antibody [SP187] - BSA and Azide free (AB245741)
  • IHC-P

Supplier Data

Immunohistochemistry (Formalin/PFA-fixed paraffin-embedded sections) - Anti-CD13 antibody [SP187] - BSA and Azide free (AB245741)

Formalin-fixed, paraffin-embedded human spleen tissue stained for CD13 using ab227663 at 1/100 dilution in immunohistochemical analysis.

This data was developed using the same antibody clone in a different buffer formulation containing PBS, BSA and sodium azide (ab227663).

Immunohistochemistry (Formalin/PFA-fixed paraffin-embedded sections) - Anti-CD13 antibody [SP187] - BSA and Azide free (AB245741)
  • IHC-P

Supplier Data

Immunohistochemistry (Formalin/PFA-fixed paraffin-embedded sections) - Anti-CD13 antibody [SP187] - BSA and Azide free (AB245741)

Formalin-fixed, paraffin-embedded human thymus tissue stained for CD13 using ab227663 at 1/100 dilution in immunohistochemical analysis.

This data was developed using the same antibody clone in a different buffer formulation containing PBS, BSA and sodium azide (ab227663).

Immunohistochemistry (Formalin/PFA-fixed paraffin-embedded sections) - Anti-CD13 antibody [SP187] - BSA and Azide free (AB245741)
  • IHC-P

Supplier Data

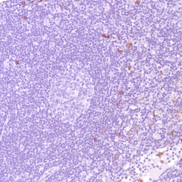
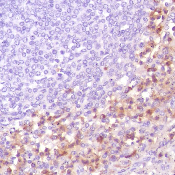
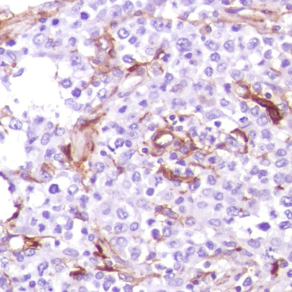
Immunohistochemistry (Formalin/PFA-fixed paraffin-embedded sections) - Anti-CD13 antibody [SP187] - BSA and Azide free (AB245741)

Formalin-fixed, paraffin-embedded human reactive lymph node tissue stained for CD13 using ab227663 at 1/100 dilution in immunohistochemical analysis.

This data was developed using the same antibody clone in a different buffer formulation containing PBS, BSA and sodium azide (ab227663).

Western blot - Anti-CD13 antibody [SP187] - BSA and Azide free (AB245741)
  • WB

Lab

Western blot - Anti-CD13 antibody [SP187] - BSA and Azide free (AB245741)

This data was developed using the same antibody clone in a different buffer formulation (ab227663).

Lanes 1 - 4 : Merged signal (red and green). Green - ab227663 observed at 160 kDa. Red - loading control ab8245 (Mouse anti-GAPDH antibody [6C5]) observed at 37kDa.

ab227663 was shown to react with CD13 in wild-type THP-1 cells in western blot with loss of signal observed in ANPEP knockout cell line ab273759 (knockout cell lysate ab275505). Wild-type and ANPEP knockout THP-1 cell lysates were subjected to SDS-PAGE. Membranes were blocked in 3% milk in TBS-T (0.1% Tween®) before incubation with ab227663 and ab8245 (Mouse anti-GAPDH antibody [6C5]) overnight at 4°C at a 1 in 400 dilution and a 1 in 20000 dilution respectively. Blots were incubated with Goat anti-Rabbit IgG H&L (IRDye® 800CW) preabsorbed (ab216773) and Goat anti-Mouse IgG H&L (IRDye® 680RD) preabsorbed (ab216776) secondary antibodies at 1 in 20000 dilution for 1 hour at room temperature before imaging.

All lanes:

Western blot - Anti-CD13 antibody [SP187] (<a href='/en-us/products/primary-antibodies/cd13-antibody-sp187-ab227663'>ab227663</a>) at 1/400 dilution

Lane 1:

Wild-type THP-1 cell lysate at 30 µg

Lane 2:

Western blot - Human ANPEP (CD13) knockout THP-1 cell lysate (<a href='/en-us/products/cell-lysates/human-anpep-cd13-knockout-thp-1-cell-lysate-ab275505'>ab275505</a>) at 30 µg

Lane 3:

PANC-1 cell lysate at 30 µg

Lane 4:

HEK-293 cell lysate at 30 µg

Secondary

Lanes 1 - 4:

Western blot - Goat anti-Rabbit IgG H&L (IRDye® 800CW) preadsorbed (<a href='/en-us/products/secondary-antibodies/goat-rabbit-igg-h-l-irdye-800cw-preadsorbed-ab216773'>ab216773</a>) at 1/20000 dilution

Lanes 1 - 4:

Western blot - Goat anti-Mouse IgG H&L (IRDye® 680RD) preadsorbed (<a href='/en-us/products/secondary-antibodies/goat-mouse-igg-h-l-irdye-680rd-preadsorbed-ab216776'>ab216776</a>) at 1/20000 dilution

Predicted band size: 109 kDa

Observed band size: 160 kDa,37 kDa

false

Key facts

Host species

Rabbit

Clonality

Monoclonal

Clone number

SP187

Isotype

IgG

Carrier free

Yes

Reacts with

Human

Applications

WB, ICC/IF, IHC-P

applications

Immunogen

The exact immunogen used to generate this antibody is proprietary information.

Reactivity data

{ "title": "Reactivity Data", "filters": { "stats": ["", "Species", "Dilution Info", "Notes"], "tabs": { "all-applications": {"fullname" : "All Applications", "shortname": "All Applications"}, "IHCP" : {"fullname" : "Immunohistochemistry (Formalin/PFA-fixed paraffin-embedded sections)", "shortname":"IHC-P"}, "FlowCyt" : {"fullname" : "Flow Cytometry", "shortname":"Flow Cyt"}, "WB" : {"fullname" : "Western blot", "shortname":"WB"}, "ICCIF" : {"fullname" : "Immunocytochemistry/ Immunofluorescence", "shortname":"ICC/IF"} }, "product-promise": { "all": "all", "testedAndGuaranteed": "tested", "guaranteed": "expected", "predicted": "predicted", "notRecommended": "not-recommended" } }, "values": { "Human": { "IHCP-species-checked": "testedAndGuaranteed", "IHCP-species-dilution-info": "", "IHCP-species-notes": "<p></p>", "FlowCyt-species-checked": "notRecommended", "FlowCyt-species-dilution-info": "", "FlowCyt-species-notes": "<p></p>", "WB-species-checked": "testedAndGuaranteed", "WB-species-dilution-info": "", "WB-species-notes": "<p></p>", "ICCIF-species-checked": "testedAndGuaranteed", "ICCIF-species-dilution-info": "", "ICCIF-species-notes": "<p></p>" }, "Rabbit": { "IHCP-species-checked": "predicted", "IHCP-species-dilution-info": "", "IHCP-species-notes": "", "FlowCyt-species-checked": "notRecommended", "FlowCyt-species-dilution-info": "", "FlowCyt-species-notes": "", "WB-species-checked": "predicted", "WB-species-dilution-info": "", "WB-species-notes": "", "ICCIF-species-checked": "predicted", "ICCIF-species-dilution-info": "", "ICCIF-species-notes": "" } } }

Product details

ab245741 is the carrier-free version of ab227663.

Patented technology
Our RabMAb® technology is a patented hybridoma-based technology for making rabbit monoclonal antibodies. For details on our patents, please refer to RabMAb® patents.

What are the advantages of a recombinant monoclonal antibody?
This product is a recombinant monoclonal antibody, which offers several advantages including:

  • - High batch-to-batch consistency and reproducibility
  • - Improved sensitivity and specificity
  • - Long-term security of supply
  • - Animal-free batch production

For more information, read more on recombinant antibodies.

Conjugation ready
Our carrier-free antibodies are typically supplied in a PBS-only formulation, purified and free of BSA, sodium azide and glycerol. This conjugation-ready format is designed for use with fluorochromes, metal isotopes, oligonucleotides, and enzymes, which makes them ideal for antibody labelling, functional and cell-based assays, flow-based assays (e.g. mass cytometry) and Multiplex Imaging applications.

Use our conjugation kits for antibody conjugates that are ready-to-use in as little as 20 minutes with 1 minute hands-on-time and 100% antibody recovery: available for fluorescent dyes, HRP, biotin and gold.

Compatibility
This product is compatible with the Maxpar® Antibody Labeling Kit from Fluidigm, without the need for antibody preparation. Maxpar® is a trademark of Fluidigm Canada Inc.

Properties and storage information

Form
Liquid
Purification technique
Affinity purification Protein A/G
Purification notes
Purified from TCS by protein A/G.
Storage buffer
pH: 7.2 - 7.4 Constituents: PBS
Shipped at conditions
Blue Ice
Appropriate short-term storage conditions
+4°C
Appropriate long-term storage conditions
+4°C
Storage information
Do Not Freeze

Supplementary information

This supplementary information is collated from multiple sources and compiled automatically.

CD13 also known as aminopeptidase N (ANPEP) is a transmembrane protein with a molecular weight of approximately 150 kDa. It functions as a zinc-dependent metalloenzyme which cleaves N-terminal amino acids from peptides and proteins. CD13 protein is expressed on various cell types including myeloid cells epithelial cells endothelial cells and fibroblasts. Its presence is significantly observed in the brush border of the small intestinal mucosa and the renal proximal tubule. Researchers can study CD13 using anti-CD13 antibodies and CD13 ELISA kits.
Biological function summary

CD13 regulates peptide-mediated signaling and controls the maturation and catabolism of bioactive peptides. The enzymatic function of CD13 influences processes such as cell proliferation motility and angiogenesis. It does not operate as part of a larger complex but its activity modulates several cellular and systemic functions. CD13's role in these biological processes highlights its importance in modulating local and systemic peptide pools which contributes to its diverse physiological effects.

Pathways

CD13 plays significant roles in the renin-angiotensin system and the regulation of inflammatory responses. In the renin-angiotensin system CD13 modulates the activity of angiotensin influencing blood pressure and fluid balance. Through its enzymatic activity CD13 interacts with proteins such as ACE another critical player in this pathway. In inflammation CD13 regulates the availability of chemotactic peptides affecting leukocyte migration and adhesion. The proteins it works with in inflammatory pathways include cytokines which CD13 indirectly modulates by altering chemokine activity.

Aberrant CD13 expression and activity are implicated in cancer and inflammatory diseases. In cancer overexpression of CD13 correlates with tumor growth and metastasis particularly in cancers like renal cell carcinoma and prostate cancer. It can confer an increased malignant phenotype by promoting angiogenesis and immune evasion. In inflammatory disorders dysregulation of CD13 exacerbates diseases such as rheumatoid arthritis through its impact on peptide-mediated signaling and immune cell movement. Its connection with inflammatory cytokines like IL-8 indicates its important role in mediating inflammatory responses.

Product protocols

For this product, it's our understanding that no specific protocols are required. You can visit:

Target data

Broad specificity aminopeptidase which plays a role in the final digestion of peptides generated from hydrolysis of proteins by gastric and pancreatic proteases. Also involved in the processing of various peptides including peptide hormones, such as angiotensin III and IV, neuropeptides, and chemokines. May also be involved the cleavage of peptides bound to major histocompatibility complex class II molecules of antigen presenting cells. May have a role in angiogenesis and promote cholesterol crystallization. May have a role in amino acid transport by acting as binding partner of amino acid transporter SLC6A19 and regulating its activity (By similarity).. (Microbial infection) Acts as a receptor for human coronavirus 229E/HCoV-229E. In case of human coronavirus 229E (HCoV-229E) infection, serves as receptor for HCoV-229E spike glycoprotein.. (Microbial infection) Mediates as well Human cytomegalovirus (HCMV) infection.
See full target information ANPEP

Publications (1)

Recent publications for all applications. Explore the full list and refine your search

Cancer cell 42:396-412.e5 PubMed38242124

2024

Cancer-associated fibroblast phenotypes are associated with patient outcome in non-small cell lung cancer.

Applications

Unspecified application

Species

Unspecified reactive species

Lena Cords,Stefanie Engler,Martina Haberecker,Jan Hendrik Rüschoff,Holger Moch,Natalie de Souza,Bernd Bodenmiller
View all publications

Product promise

We are committed to supporting your work with high-quality reagents, and we're here for you every step of the way. In the unlikely event that one of our products does not perform as expected, you're protected by our Product Promise.
For full details, please see our Terms & Conditions

Please note: All products are 'FOR RESEARCH USE ONLY. NOT FOR USE IN DIAGNOSTIC OR THERAPEUTIC PROCEDURES'.

For licensing inquiries, please contact partnerships@abcam.com