JavaScript is disabled in your browser. Please enable JavaScript to view this website.
AB227058

Anti-CD130 (gp130) antibody - C-terminal

Be the first to review this product! Submit a review

|

(3 Publications)

Rabbit Polyclonal CD130 (gp130) antibody. C-terminal. Suitable for WB, IHC-P, ICC/IF and reacts with Human samples. Cited in 3 publications. Immunogen corresponding to Recombinant Fragment Protein within Human IL6ST.

View Alternative Names

CD130, Interleukin-6 receptor subunit beta, IL-6 receptor subunit beta, IL-6R subunit beta, IL-6R-beta, IL-6RB, CDw130, Interleukin-6 signal transducer, Membrane glycoprotein 130, Oncostatin-M receptor subunit alpha, gp130, IL6ST

1 Images
Immunohistochemistry (Formalin/PFA-fixed paraffin-embedded sections) - Anti-CD130 (gp130) antibody - C-terminal (AB227058)
  • IHC-P

Supplier Data

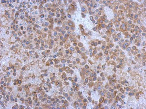
Immunohistochemistry (Formalin/PFA-fixed paraffin-embedded sections) - Anti-CD130 (gp130) antibody - C-terminal (AB227058)

Paraffin-embedded human J5 xenograft tissue stained for CD130 (gp130) using ab227058 at 1/500 dilution in immunohistochemical analysis.

Key facts

Host species

Rabbit

Clonality

Polyclonal

Isotype

IgG

Carrier free

No

Reacts with

Human

Applications

ICC/IF, WB, IHC-P

applications

Immunogen

Recombinant Fragment Protein within Human IL6ST. The exact immunogen used to generate this antibody is proprietary information.

P40189

Reactivity data

{ "title": "Reactivity Data", "filters": { "stats": ["", "Species", "Dilution Info", "Notes"], "tabs": { "all-applications": {"fullname" : "All Applications", "shortname": "All Applications"}, "WB" : {"fullname" : "Western blot", "shortname":"WB"}, "IHCP" : {"fullname" : "Immunohistochemistry (Formalin/PFA-fixed paraffin-embedded sections)", "shortname":"IHC-P"}, "ICCIF" : {"fullname" : "Immunocytochemistry/ Immunofluorescence", "shortname":"ICC/IF"} }, "product-promise": { "all": "all", "testedAndGuaranteed": "tested", "guaranteed": "expected", "predicted": "predicted", "notRecommended": "not-recommended" } }, "values": { "Human": { "WB-species-checked": "guaranteed", "WB-species-dilution-info": "1/500 - 1/3000", "WB-species-notes": "<p></p>", "IHCP-species-checked": "testedAndGuaranteed", "IHCP-species-dilution-info": "1/100 - 1/1000", "IHCP-species-notes": "<p></p>", "ICCIF-species-checked": "guaranteed", "ICCIF-species-dilution-info": "1/100 - 1/1000", "ICCIF-species-notes": "<p></p>" }, "Mouse": { "WB-species-checked": "predicted", "WB-species-dilution-info": "", "WB-species-notes": "", "IHCP-species-checked": "predicted", "IHCP-species-dilution-info": "", "IHCP-species-notes": "", "ICCIF-species-checked": "predicted", "ICCIF-species-dilution-info": "", "ICCIF-species-notes": "" }, "Rat": { "WB-species-checked": "predicted", "WB-species-dilution-info": "", "WB-species-notes": "", "IHCP-species-checked": "predicted", "IHCP-species-dilution-info": "", "IHCP-species-notes": "", "ICCIF-species-checked": "predicted", "ICCIF-species-dilution-info": "", "ICCIF-species-notes": "" }, "Dog": { "WB-species-checked": "predicted", "WB-species-dilution-info": "", "WB-species-notes": "", "IHCP-species-checked": "predicted", "IHCP-species-dilution-info": "", "IHCP-species-notes": "", "ICCIF-species-checked": "predicted", "ICCIF-species-dilution-info": "", "ICCIF-species-notes": "" }, "Pig": { "WB-species-checked": "predicted", "WB-species-dilution-info": "", "WB-species-notes": "", "IHCP-species-checked": "predicted", "IHCP-species-dilution-info": "", "IHCP-species-notes": "", "ICCIF-species-checked": "predicted", "ICCIF-species-dilution-info": "", "ICCIF-species-notes": "" }, "Rhesus monkey": { "WB-species-checked": "predicted", "WB-species-dilution-info": "", "WB-species-notes": "", "IHCP-species-checked": "predicted", "IHCP-species-dilution-info": "", "IHCP-species-notes": "", "ICCIF-species-checked": "predicted", "ICCIF-species-dilution-info": "", "ICCIF-species-notes": "" } } }

Properties and storage information

Form
Liquid
Purification technique
Affinity purification Immunogen
Storage buffer
pH: 7 Preservative: 0.025% Proclin 300 Constituents: PBS, 20% Glycerol (glycerin, glycerine), 1% BSA
Shipped at conditions
Blue Ice
Appropriate short-term storage duration
1-2 weeks
Appropriate short-term storage conditions
+4°C
Appropriate long-term storage conditions
-20°C
Aliquoting information
Upon delivery aliquot
Storage information
Avoid freeze / thaw cycle

Supplementary information

This supplementary information is collated from multiple sources and compiled automatically.

CD130 also known as gp130 or the IL-6 signal transducer (IL6ST) is a protein weighing around 130 kDa. This receptor is encoded by the IL6ST gene and widely expressed on the surface of cells across multiple tissues. CD130 functions mechanically as a signal transducing receptor facilitating the assembly of receptor complexes necessary for the initiation of signal transduction. It plays a major role in cytokine receptor signaling particularly interacting with interleukin-6 (IL-6) family cytokines.
Biological function summary

CD130 functions as part of the high-affinity receptor complex for certain cytokines. It partners with other receptors such as CD126 to form a complex that initiates signaling pathways after ligand binding contributing to a range of immune responses. Its role is thorough across many cellular processes including differentiation proliferation and apoptosis. In addition to immune signaling CD130 is involved in several growth factor signaling pathways.

Pathways

CD130 serves a significant role in signal transduction particularly in the Janus kinase/signal transducers and activators of transcription (JAK/STAT) pathway. It works in concert with related proteins like JAK1 and STAT3 to transmit signals from extracellular cytokines to the nucleus influencing gene expression. Additionally CD130 can also be found active in the MAPK/ERK pathway which is important for cellular response to growth signals.

CD130 plays a connection especially to inflammatory conditions and certain cancers. Aberrant signaling involving CD130 has been linked to disorders like rheumatoid arthritis where it contributes to the inflammation process. Additionally it relates to multiple myeloma a cancer where abnormal CD130 interactions with proteins like IL-6 may enhance cell survival and proliferation presenting potential targets for therapeutic intervention.

Product protocols

For this product, it's our understanding that no specific protocols are required. You can visit:

Target data

Signal-transducing molecule (PubMed : 2261637). The receptor systems for IL6, LIF, OSM, CNTF, IL11, CTF1 and BSF3 can utilize IL6ST for initiating signal transmission. Binding of IL6 to IL6R induces IL6ST homodimerization and formation of a high-affinity receptor complex, which activates the intracellular JAK-MAPK and JAK-STAT3 signaling pathways (PubMed : 19915009, PubMed : 2261637, PubMed : 23294003). That causes phosphorylation of IL6ST tyrosine residues which in turn activates STAT3 (PubMed : 19915009, PubMed : 23294003, PubMed : 25731159). In parallel, the IL6 signaling pathway induces the expression of two cytokine receptor signaling inhibitors, SOCS1 and SOCS3, which inhibit JAK and terminate the activity of the IL6 signaling pathway as a negative feedback loop (By similarity). Also activates the yes-associated protein 1 (YAP) and NOTCH pathways to control inflammation-induced epithelial regeneration, independently of STAT3 (By similarity). Acts as a receptor for the neuroprotective peptide humanin as part of a complex with IL27RA/WSX1 and CNTFR (PubMed : 19386761). Mediates signals which regulate immune response, hematopoiesis, pain control and bone metabolism (By similarity). Has a role in embryonic development (By similarity). Essential for survival of motor and sensory neurons and for differentiation of astrocytes (By similarity). Required for expression of TRPA1 in nociceptive neurons (By similarity). Required for the maintenance of PTH1R expression in the osteoblast lineage and for the stimulation of PTH-induced osteoblast differentiation (By similarity). Required for normal trabecular bone mass and cortical bone composition (By similarity).. Isoform 2. Binds to the soluble IL6 : sIL6R complex (hyper-IL6), thereby blocking IL6 trans-signaling. Inhibits sIL6R-dependent acute phase response (PubMed : 11121117, PubMed : 21990364, PubMed : 30279168). Also blocks IL11 cluster signaling through IL11R (PubMed : 30279168).
See full target information IL6ST

Publications (3)

Recent publications for all applications. Explore the full list and refine your search

Cell death & disease 15:148 PubMed38360812

2024

Farnesoid X receptor promotes non-small cell lung cancer metastasis by activating Jak2/STAT3 signaling via transactivation of IL-6ST and IL-6 genes.

Applications

Unspecified application

Species

Unspecified reactive species

Xiuye Jin,Bin Shang,Junren Wang,Jian Sun,Jing Li,Bin Liang,Xingguang Wang,Lili Su,Wenjie You,Shujuan Jiang

Immunity, inflammation and disease 11:e933 PubMed37506135

2023

Buyang Huanwu Decoction promotes the neurological recovery of traumatic spinal cord injury via inhibiting apoptosis, inflammation, and oxidative stress.

Applications

Unspecified application

Species

Unspecified reactive species

Xu Li,Yingjun Song,Yang Yang,Guofu Zhang

BMC pulmonary medicine 22:324 PubMed36008805

2022

METTL3 promotes non-small cell lung cancer (NSCLC) cell proliferation and colony formation in a m6A-YTHDF1 dependent way.

Applications

Unspecified application

Species

Unspecified reactive species

Xuejun Dou,Zhiyuan Wang,Weiqiang Lu,Libin Miao,Yuefeng Zhao
View all publications

Product promise

We are committed to supporting your work with high-quality reagents, and we're here for you every step of the way. In the unlikely event that one of our products does not perform as expected, you're protected by our Product Promise.
For full details, please see our Terms & Conditions

Please note: All products are 'FOR RESEARCH USE ONLY. NOT FOR USE IN DIAGNOSTIC OR THERAPEUTIC PROCEDURES'.

For licensing inquiries, please contact partnerships@abcam.com