JavaScript is disabled in your browser. Please enable JavaScript to view this website.
AB264538

Anti-CD133 antibody [CMab-43]

2

(1 Review)

|

(6 Publications)

Mouse Recombinant Monoclonal CD133 antibody. Suitable for IHC-P, WB and reacts with Human samples. Cited in 6 publications.

View Alternative Names

CD133, PROML1, MSTP061, PROM1, Prominin-1, Antigen AC133, Prominin-like protein 1

3 Images
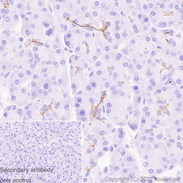
Immunohistochemistry (Formalin/PFA-fixed paraffin-embedded sections) - Anti-CD133 antibody [CMab-43] (AB264538)
  • IHC-P

Unknown

Immunohistochemistry (Formalin/PFA-fixed paraffin-embedded sections) - Anti-CD133 antibody [CMab-43] (AB264538)

Immunohistochemical analysis of paraffin-embedded human pancreas tissue labeling CD133 with ab264538 at 1/2000 dilution followed by a ready to use secondary. Apical staining on ducts of human pancreas. The section was incubated with ab264538 for 30 mins at room temperature. The immunostaining was performed on a Leica Biosystems BOND® RX instrument. Counterstained with Hematoxylin.

Secondary antibody only control : Secondary antibody is ready to use.

Heat mediated antigen retrieval with Citrate buffer (pH 6.0, epitope retrieval solution 1) for 20 mins.

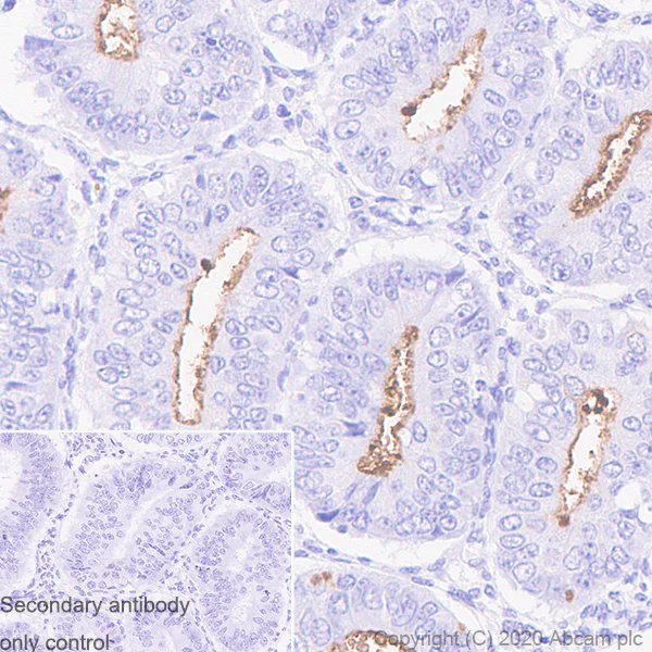
Immunohistochemistry (Formalin/PFA-fixed paraffin-embedded sections) - Anti-CD133 antibody [CMab-43] (AB264538)
  • IHC-P

Unknown

Immunohistochemistry (Formalin/PFA-fixed paraffin-embedded sections) - Anti-CD133 antibody [CMab-43] (AB264538)

Immunohistochemical analysis of paraffin-embedded human endometrium carcinoma tissue labeling CD133 with ab264538 at 1/2000 dilution followed by a ready to use secondary. Apical staining on ducts of human endometrium carcinoma. The section was incubated with ab264538 for 30 mins at room temperature. The immunostaining was performed on a Leica Biosystems BOND® RX instrument. Counterstained with Hematoxylin.

Secondary antibody only control : Secondary antibody is ready to use.

Heat mediated antigen retrieval with Citrate buffer (pH 6.0, epitope retrieval solution 1) for 20 mins.

Western blot - Anti-CD133 antibody [CMab-43] (AB264538)
  • WB

Lab

Western blot - Anti-CD133 antibody [CMab-43] (AB264538)

Blocking and diluting buffer and concentration : 5% NFDM/TBST.

The 128KDa band is glycosylated form which is consistent with what has been described in the literature (PMID : 28910211, 20199106, 30873590).

Exposure time : 7 seconds.

All lanes:

Western blot - Anti-CD133 antibody [CMab-43] (ab264538) at 1/1000 dilution

Lane 1:

Caco-2 (human colorectal adenocarcinoma epithelial cell), whole cell lysate at 20 µg

Lane 2:

HT-29 (human colorectal adenocarcinoma epithelial cell), whole cell lysate at 20 µg

Lane 3:

NCCIT (human pluripotent embryonic carcinoma epithelial cell), whole cell lysate at 20 µg

Secondary

All lanes:

Peroxidase-Conjugated Goat anti-Mouse IgG (H+L) at 1/10000 dilution

Predicted band size: 97 kDa

Observed band size: 128 kDa

false

  • Carrier free

    Anti-CD133 antibody [CMab-43] - BSA and Azide free

Key facts

Host species

Mouse

Clonality

Monoclonal

Clone number

CMab-43

Isotype

IgG2a

Light chain type

kappa

Carrier free

No

Reacts with

Human

Applications

IHC-P, WB

applications

Immunogen

The exact immunogen used to generate this antibody is proprietary information.

Reactivity data

{ "title": "Reactivity Data", "filters": { "stats": ["", "Species", "Dilution Info", "Notes"], "tabs": { "all-applications": {"fullname" : "All Applications", "shortname": "All Applications"}, "IHCP" : {"fullname" : "Immunohistochemistry (Formalin/PFA-fixed paraffin-embedded sections)", "shortname":"IHC-P"}, "WB" : {"fullname" : "Western blot", "shortname":"WB"}, "ICCIF" : {"fullname" : "Immunocytochemistry/ Immunofluorescence", "shortname":"ICC/IF"} }, "product-promise": { "all": "all", "testedAndGuaranteed": "tested", "guaranteed": "expected", "predicted": "predicted", "notRecommended": "not-recommended" } }, "values": { "Human": { "IHCP-species-checked": "testedAndGuaranteed", "IHCP-species-dilution-info": "1/2000", "IHCP-species-notes": "<p></p>", "WB-species-checked": "testedAndGuaranteed", "WB-species-dilution-info": "1/1000", "WB-species-notes": "<p></p>", "ICCIF-species-checked": "notRecommended", "ICCIF-species-dilution-info": "", "ICCIF-species-notes": "<p></p>" }, "Mouse": { "IHCP-species-checked": "notRecommended", "IHCP-species-dilution-info": "1/2000", "IHCP-species-notes": "<p></p>", "WB-species-checked": "notRecommended", "WB-species-dilution-info": "1/1000", "WB-species-notes": "<p></p>", "ICCIF-species-checked": "notRecommended", "ICCIF-species-dilution-info": "", "ICCIF-species-notes": "" }, "Rat": { "IHCP-species-checked": "notRecommended", "IHCP-species-dilution-info": "1/2000", "IHCP-species-notes": "<p></p>", "WB-species-checked": "notRecommended", "WB-species-dilution-info": "1/1000", "WB-species-notes": "<p></p>", "ICCIF-species-checked": "notRecommended", "ICCIF-species-dilution-info": "", "ICCIF-species-notes": "" } } }

Product details

What are the advantages of a recombinant monoclonal antibody?
This product is a recombinant monoclonal antibody, which offers several advantages including:

  • - High batch-to-batch consistency and reproducibility
  • - Improved sensitivity and specificity
  • - Long-term security of supply
  • - Animal-free batch production

For more information, read more on recombinant antibodies.

Want a custom formulation?
This antibody clone is manufactured by Abcam. If you require a custom buffer formulation or conjugation for your experiments, please contact orders@abcam.com

Properties and storage information

Form
Liquid
Purification technique
Affinity purification Protein A
Storage buffer
pH: 7.2 - 7.4 Preservative: 0.01% Sodium azide Constituents: PBS, 40% Glycerol (glycerin, glycerine), 0.05% BSA
Shipped at conditions
Blue Ice
Appropriate short-term storage duration
1-2 weeks
Appropriate short-term storage conditions
+4°C
Appropriate long-term storage conditions
-20°C
Aliquoting information
Upon delivery aliquot
Storage information
Avoid freeze / thaw cycle

Supplementary information

This supplementary information is collated from multiple sources and compiled automatically.

CD133 also known as Prominin-1 is a transmembrane glycoprotein with a molecular weight of approximately 120 kDa. This protein stands out due to its expression in various stem and progenitor cells including those of the neural hematopoietic and epithelial lineages. CD133 is recognized for its distinct five transmembrane domains and two large extracellular loops. Researchers commonly use CD133 as a cell surface marker to identify stem and progenitor cells. The significance of CD133 extends to immunohistochemistry (IHC) and Western blot applications where it is a popular target for detection and analysis.
Biological function summary

CD133 is involved in maintaining the cellular architecture and signaling processes. It plays a role in cellular differentiation and proliferation while acting as a part of larger protein complexes on the cell surface. This protein is notable as it contributes significantly to the regulation of stem cell properties supporting the growth and repair in various tissues. Anti-CD133 antibodies are valuable tools in studying these functions due to their specificity in targeting this marker.

Pathways

CD133 participates in cellular signaling and transport pathways vital for intercellular communication and homeostasis. It interacts within pathways related to cell polarity and asymmetric division both essential for tissue development and maintenance. CD133 is associated with proteins like CD133/1 and CD133/2 which further highlights its involvement in these complex biological networks and on pathways such as the Wnt signaling pathway which regulates gene expression associated with cell proliferation and differentiation.

Several studies indicate a strong relationship between CD133 expression and certain cancers such as glioblastoma and colorectal cancer. In these cases CD133 serves not only as a marker but also as an indicator of the presence of cancer stem cells which are capable of tumor initiation and maintenance. Furthermore researchers have identified connections between CD133 and other proteins such as c-Met (cMab) within these pathological contexts suggesting interactions that could contribute to disease progression and offering potential targets for therapeutic intervention.

Product protocols

For this product, it's our understanding that no specific protocols are required. You can visit:

Target data

May play a role in cell differentiation, proliferation and apoptosis (PubMed : 24556617). Binds cholesterol in cholesterol-containing plasma membrane microdomains and may play a role in the organization of the apical plasma membrane in epithelial cells. During early retinal development acts as a key regulator of disk morphogenesis. Involved in regulation of MAPK and Akt signaling pathways. In neuroblastoma cells suppresses cell differentiation such as neurite outgrowth in a RET-dependent manner (PubMed : 20818439).
See full target information PROM1

Publications (6)

Recent publications for all applications. Explore the full list and refine your search

Nature communications 16:895 PubMed39837811

2025

CD133PD-L1 cancer cells confer resistance to adoptively transferred engineered macrophage-based therapy in melanoma.

Applications

Unspecified application

Species

Unspecified reactive species

Jiaojiao Xu,Zhe Li,Qinli Tong,Sihang Zhang,Jianchen Fang,Aihua Wu,Guoguang Wei,Chen Zhang,Sheng Yu,Binbin Zheng,Hongzheng Lin,Xueling Liao,Zeyu Xiao,Wei Lu

Scientific reports 14:20292 PubMed39217193

2024

Bergenin protects against osteoarthritis by inhibiting STAT3, NF-κB and Jun pathways and suppressing osteoclastogenesis.

Applications

Unspecified application

Species

Unspecified reactive species

Zhiwei Zhang,Bo Li,Shuqin Wu,Yuxin Yang,Binkang Wu,Qi Lai,Fuchong Lai,Fengbo Mo,Yufei Zhong,Song Wang,Runsheng Guo,Bin Zhang

Advanced materials (Deerfield Beach, Fla.) 36:e2304333 PubMed38096399

2023

Inflammation-Targeting Mesenchymal Stem Cells Combined with Photothermal Treatment Attenuate Severe Joint Inflammation.

Applications

Unspecified application

Species

Unspecified reactive species

Min Jun Shin,Jun-Young Park,Jun Young Park,Su Hyun Lim,Hyoungsub Lim,Jin Kyeong Choi,Chul-Kyu Park,Youn Joo Kang,Dongwoo Khang

Journal of oral pathology & medicine : official publication of the International Association of Oral Pathologists and the American Academy of Oral Pathology 52:216-225 PubMed36661031

2023

lncRNA HOXA11-AS maintains the stemness of oral squamous cell carcinoma stem cells and reduces the radiosensitivity by targeting miR-518a-3p/PDK1.

Applications

Unspecified application

Species

Unspecified reactive species

Baojun Li,Yuanjing Lv,Cui Zhang,Cheng Xiang

Frontiers in oncology 11:778096 PubMed34900727

2021

Upregulation of miR-216a-5p by Lentinan Targeted Inhibition of JAK2/STAT3 Signaling Pathway to Reduce Lung Adenocarcinoma Cell Stemness, Promote Apoptosis, and Slow Down the Lung Adenocarcinoma Mechanisms.

Applications

Unspecified application

Species

Unspecified reactive species

Quan Chen,Yiming Zheng,Xia Chen,Pengfei Ge,Pengcheng Wang,Bingbing Wu

Monoclonal antibodies in immunodiagnosis and immun 36:231-235 PubMed28910211

2017

Establishment of CMab-43, a Sensitive and Specific Anti-CD133 Monoclonal Antibody, for Immunohistochemistry.

Applications

Unspecified application

Species

Unspecified reactive species

Shunsuke Itai,Yuki Fujii,Takuro Nakamura,Yao-Wen Chang,Miyuki Yanaka,Noriko Saidoh,Saori Handa,Hiroyoshi Suzuki,Hiroyuki Harada,Shinji Yamada,Mika K Kaneko,Yukinari Kato
View all publications

Product promise

We are committed to supporting your work with high-quality reagents, and we're here for you every step of the way. In the unlikely event that one of our products does not perform as expected, you're protected by our Product Promise.
For full details, please see our Terms & Conditions

Please note: All products are 'FOR RESEARCH USE ONLY. NOT FOR USE IN DIAGNOSTIC OR THERAPEUTIC PROCEDURES'.

For licensing inquiries, please contact partnerships@abcam.com