JavaScript is disabled in your browser. Please enable JavaScript to view this website.
AB222782

Anti-CD133 antibody [EPR16508]

  • RabMAb
  • Recombinant
  • KO Validated
  • 20ul selling size
  • What is this?

5

(1 Review)

|

(51 Publications)

Rabbit Recombinant Monoclonal CD133 antibody. Suitable for WB, IHC-P and reacts with Human samples. Cited in 51 publications.

View Alternative Names

CD133, PROML1, MSTP061, PROM1, Prominin-1, Antigen AC133, Prominin-like protein 1

8 Images
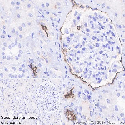
Immunohistochemistry (Formalin/PFA-fixed paraffin-embedded sections) - Anti-CD133 antibody [EPR16508] (AB222782)
  • IHC-P

Lab

Immunohistochemistry (Formalin/PFA-fixed paraffin-embedded sections) - Anti-CD133 antibody [EPR16508] (AB222782)

Immunohistochemical analysis of paraffin-embedded human kidney tissue labeling CD133 with ab222782 at 1/1000 dilution, followed by Goat Anti-Rabbit IgG H&L (HRP) (ready to use). Membranous staining on parietal layer of Bowman's capsule and apical staining on renal tubules in human kidney (PMID : 19092120). Counter stained with Hematoxylin. Perform heat mediated antigen retrieval using ab93684 (Tris/EDTA buffer, pH 9.0).

Secondary antibody only control : Used PBS instead of primary antibody, secondary antibody is Goat Anti-Rabbit IgG H&L (HRP) (ready to use).

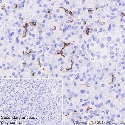
Immunohistochemistry (Formalin/PFA-fixed paraffin-embedded sections) - Anti-CD133 antibody [EPR16508] (AB222782)
  • IHC-P

Lab

Immunohistochemistry (Formalin/PFA-fixed paraffin-embedded sections) - Anti-CD133 antibody [EPR16508] (AB222782)

Immunohistochemical analysis of paraffin-embedded human pancreas tissue labeling CD133 with ab222782 at 1/1000 dilution, followed by Goat Anti-Rabbit IgG H&L (HRP)(ready use). Apical/endoluminal staining of human pancreatic ducts, and negative on Langerhans cells of the islets (PMID : 18261235). Counter stained with Hematoxylin. Perform heat mediated antigen retrieval using ab93684 (Tris/EDTA buffer, pH 9.0).

Secondary antibody only control : Used PBS instead of primary antibody, secondary antibody is Goat Anti-Rabbit IgG H&L (HRP)(ready to use).

Immunohistochemistry (Formalin/PFA-fixed paraffin-embedded sections) - Anti-CD133 antibody [EPR16508] (AB222782)
  • IHC-P

Lab

Immunohistochemistry (Formalin/PFA-fixed paraffin-embedded sections) - Anti-CD133 antibody [EPR16508] (AB222782)

Immunohistochemical analysis of paraffin-embedded human bladder cancer tissue labeling CD133 with ab222782 at 1/1000 dilution, followed by Goat Anti-Rabbit IgG H&L (HRP) (ready to use). Membranous staining on human bladder cancer tumor cells (PMID : 22899341). Counter stained with Hematoxylin. Perform heat mediated antigen retrieval using ab93684 (Tris/EDTA buffer, pH 9.0).

Secondary antibody only control : Used PBS instead of primary antibody, secondary antibody is Goat Anti-Rabbit IgG H&L (HRP) (ready to use).

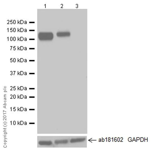
Western blot - Anti-CD133 antibody [EPR16508] (AB222782)
  • WB

Lab

Western blot - Anti-CD133 antibody [EPR16508] (AB222782)

ab222782 was shown to react with CD133 in wild-type HAP1 cells in western blot. Loss of signal was observed when PROM1 knockout sample was used. Membranes were blocked in 3 % milk in TBS-T (0.1 % Tween®) before incubation with ab222782 overnight at 4°C at a 1 in 2000 dilution. Blots were incubated with HRP conjugated Goat anti-Rabbit (H+L) secondary antibody at 1/5000 for 1 hour at room temperature before development with ECL reagent and imaging.

All lanes:

Western blot - Anti-CD133 antibody [EPR16508] (ab222782) at 1/2000 dilution

Lane 1:

Wild-type HAP1 cell lysate at 40 µg

Lane 2:

PROM1 knockout HAP1 cell lysate at 40 µg

Predicted band size: 97 kDa

Observed band size: 110 kDa

false

Exposure time: 8min

Western blot - Anti-CD133 antibody [EPR16508] (AB222782)
  • WB

Lab

Western blot - Anti-CD133 antibody [EPR16508] (AB222782)

Blocking buffer : 5% NFDM/TBST.

The MW observed is consistent with the literature (PMID 20717901; PMID 18645205).

All lanes:

Western blot - Anti-CD133 antibody [EPR16508] (ab222782) at 1/2000 dilution

Lane 1:

Human fetal pancreas lysate at 20 µg

Lane 2:

Human fetal kidney lysate at 20 µg

Secondary

All lanes:

Western blot - Goat Anti-Rabbit IgG H&L (HRP) (<a href='/en-us/products/secondary-antibodies/goat-rabbit-igg-h-l-hrp-ab97051'>ab97051</a>) at 1/100000 dilution

Predicted band size: 97 kDa

false

Exposure time: 3min

Western blot - Anti-CD133 antibody [EPR16508] (AB222782)
  • WB

Lab

Western blot - Anti-CD133 antibody [EPR16508] (AB222782)

Blocking buffer : 5% NFDM/TBST.

The MW observed is consistent with the literature (PMID 20717901; PMID 18645205).

All lanes:

Western blot - Anti-CD133 antibody [EPR16508] (ab222782) at 1/10000 dilution

All lanes:

NCCIT (Human pluripotent embryonic carcinoma epithelial cell), whole cell lysate at 20 µg

Secondary

All lanes:

Western blot - Goat Anti-Rabbit IgG H&L (HRP) (<a href='/en-us/products/secondary-antibodies/goat-rabbit-igg-h-l-hrp-ab97051'>ab97051</a>) at 1/100000 dilution

Predicted band size: 97 kDa

false

Exposure time: 15s

Western blot - Anti-CD133 antibody [EPR16508] (AB222782)
  • WB

Lab

Western blot - Anti-CD133 antibody [EPR16508] (AB222782)

Negative control : HeLa (PMID 9389721).

The MW observed is consistent with the literature (PMID 20717901; PMID 18645205).

Blocking buffer : 5% NFDM/TBST.

All lanes:

Western blot - Anti-CD133 antibody [EPR16508] (ab222782) at 1/10000 dilution

Lane 1:

Caco-2 (Human colorectal adenocarcinoma epithelial cell), whole cell lysate at 20 µg

Lane 2:

HT-29 (Human colorectal adenocarcinoma epithelial cell), whole cell lysate at 20 µg

Lane 3:

HeLa (Human cervix adenocarcinoma epithelial cell), whole cell lysate at 20 µg

Secondary

All lanes:

Western blot - Goat Anti-Rabbit IgG H&L (HRP) (<a href='/en-us/products/secondary-antibodies/goat-rabbit-igg-h-l-hrp-ab97051'>ab97051</a>) at 1/100000 dilution

Predicted band size: 97 kDa

false

Exposure time: 5s

Western blot - Anti-CD133 antibody [EPR16508] (AB222782)
  • WB

CiteAb

Western blot - Anti-CD133 antibody [EPR16508] (AB222782)

CD133 western blot using anti-CD133 antibody [EPR16508] ab222782. Publication image and figure legend from Shi, M., An, G., et al., 2023, Cancers (Basel), PubMed 37173968.

ab222782 was used in this publication in western blot. This may not be the same as the application(s) guaranteed by Abcam. For a full list of applications guaranteed by Abcam for ab222782 please see the product overview.

Correlation between UVRAG expression and therapeutic resistance. (A) Relative expression of UVRAG in HCT8, HCT8-5Fu, and HCT8-60Gy cells. (B) The sensitivity of HCT8-CON and HCT8-UVRAG cells to radiotherapy. (C) UVRAG knockdown increased 5-Fu sensitivity. (D) UVRAG overexpression decreased 5-Fu sensitivity. (E) Relative mRNA expression of UVRAG in HCT116 and HCT116-self cells. (F) Relative mRNA expression of UVRAG in HCT116 DCLK- and HCT116 DCLK+ cells. (G) Western blot of PD-L1, UVARG, ABCG2, BMI1, and SP1 after upregulating UVARG or downregulating UVRAG. The uncropped blots are shown in Figure S1. (H) Spheroid formation in UVRAG overexpressed HCT116 and its control cells. (I) Stem cell score evaluated via ssGSEA in patients with UVRAG higher expression and UVARG lower expression. Independent-samples t-test (A,E,F). Mann Whitney U test (I). * p < 0.05, ** p < 0.01.

false

  • Carrier free

    Anti-CD133 antibody [EPR16508] - BSA and Azide free

Key facts

Host species

Rabbit

Clonality

Monoclonal

Clone number

EPR16508

Isotype

IgG

Carrier free

No

Reacts with

Human

Applications

IHC-P, WB

applications

Immunogen

The exact immunogen used to generate this antibody is proprietary information.

Reactivity data

{ "title": "Reactivity Data", "filters": { "stats": ["", "Species", "Dilution Info", "Notes"], "tabs": { "all-applications": {"fullname" : "All Applications", "shortname": "All Applications"}, "WB" : {"fullname" : "Western blot", "shortname":"WB"}, "IHCP" : {"fullname" : "Immunohistochemistry (Formalin/PFA-fixed paraffin-embedded sections)", "shortname":"IHC-P"} }, "product-promise": { "all": "all", "testedAndGuaranteed": "tested", "guaranteed": "expected", "predicted": "predicted", "notRecommended": "not-recommended" } }, "values": { "Human": { "WB-species-checked": "testedAndGuaranteed", "WB-species-dilution-info": "1/2000", "WB-species-notes": "<p></p>", "IHCP-species-checked": "testedAndGuaranteed", "IHCP-species-dilution-info": "1/1000", "IHCP-species-notes": "<p></p>" }, "Primates": { "WB-species-checked": "predicted", "WB-species-dilution-info": "", "WB-species-notes": "", "IHCP-species-checked": "predicted", "IHCP-species-dilution-info": "", "IHCP-species-notes": "" } } }

Product details

Patented technology
Our RabMAb® technology is a patented hybridoma-based technology for making rabbit monoclonal antibodies. For details on our patents, please refer to RabMAb® patents.

What are the advantages of a recombinant monoclonal antibody?
This product is a recombinant monoclonal antibody, which offers several advantages including:

  • - High batch-to-batch consistency and reproducibility
  • - Improved sensitivity and specificity
  • - Long-term security of supply
  • - Animal-free batch production

For more information, read more on recombinant antibodies.

Properties and storage information

Form
Liquid
Purification technique
Affinity purification Protein A
Storage buffer
pH: 7.2 - 7.4 Preservative: 0.01% Sodium azide Constituents: PBS, 40% Glycerol (glycerin, glycerine), 0.05% BSA
Shipped at conditions
Blue Ice
Appropriate short-term storage duration
1-2 weeks
Appropriate short-term storage conditions
+4°C
Appropriate long-term storage conditions
-20°C
Aliquoting information
Upon delivery aliquot
Storage information
Avoid freeze / thaw cycle

Supplementary information

This supplementary information is collated from multiple sources and compiled automatically.

CD133 also known as Prominin-1 is a transmembrane glycoprotein with a molecular weight of approximately 120 kDa. This protein stands out due to its expression in various stem and progenitor cells including those of the neural hematopoietic and epithelial lineages. CD133 is recognized for its distinct five transmembrane domains and two large extracellular loops. Researchers commonly use CD133 as a cell surface marker to identify stem and progenitor cells. The significance of CD133 extends to immunohistochemistry (IHC) and Western blot applications where it is a popular target for detection and analysis.
Biological function summary

CD133 is involved in maintaining the cellular architecture and signaling processes. It plays a role in cellular differentiation and proliferation while acting as a part of larger protein complexes on the cell surface. This protein is notable as it contributes significantly to the regulation of stem cell properties supporting the growth and repair in various tissues. Anti-CD133 antibodies are valuable tools in studying these functions due to their specificity in targeting this marker.

Pathways

CD133 participates in cellular signaling and transport pathways vital for intercellular communication and homeostasis. It interacts within pathways related to cell polarity and asymmetric division both essential for tissue development and maintenance. CD133 is associated with proteins like CD133/1 and CD133/2 which further highlights its involvement in these complex biological networks and on pathways such as the Wnt signaling pathway which regulates gene expression associated with cell proliferation and differentiation.

Several studies indicate a strong relationship between CD133 expression and certain cancers such as glioblastoma and colorectal cancer. In these cases CD133 serves not only as a marker but also as an indicator of the presence of cancer stem cells which are capable of tumor initiation and maintenance. Furthermore researchers have identified connections between CD133 and other proteins such as c-Met (cMab) within these pathological contexts suggesting interactions that could contribute to disease progression and offering potential targets for therapeutic intervention.

Product protocols

For this product, it's our understanding that no specific protocols are required. You can visit:

Target data

May play a role in cell differentiation, proliferation and apoptosis (PubMed : 24556617). Binds cholesterol in cholesterol-containing plasma membrane microdomains and may play a role in the organization of the apical plasma membrane in epithelial cells. During early retinal development acts as a key regulator of disk morphogenesis. Involved in regulation of MAPK and Akt signaling pathways. In neuroblastoma cells suppresses cell differentiation such as neurite outgrowth in a RET-dependent manner (PubMed : 20818439).
See full target information PROM1

Publications (51)

Recent publications for all applications. Explore the full list and refine your search

BioFactors (Oxford, England) 51:e70029 PubMed40546096

2025

LINC01783 Promotes Glioma Tumorigenesis by Enhancing GATA3 Expression Through CBP-Mediated H3K27 Acetylation to Suppress PTEN Expression.

Applications

Unspecified application

Species

Unspecified reactive species

Shaocai Hao,Linlin Wang,Shengyu Sun,Hechun Xia

Journal of experimental & clinical cancer research : CR 44:112 PubMed40181456

2025

TRAF7 knockdown induces cellular senescence and synergizes with lomustine to inhibit glioma progression and recurrence.

Applications

Unspecified application

Species

Unspecified reactive species

Yu Chen,Tongyu Zhou,Rongrong Zhou,Wen Sun,Yan Li,Qiyi Zhou,Dongcheng Xu,Yuxin Zhao,Peihao Hu,Jingrui Liang,Yumeng Zhang,Bin Zhong,Juncheng Yao,Di Jing

Discover oncology 16:403 PubMed40140224

2025

Evodiamine inhibits colorectal cancer cell stemness by disturbing ubiquitin specific protease 4 mediated SOX9 stabilization.

Applications

Unspecified application

Species

Unspecified reactive species

Siqi Chen,Jinfeng Yang,Guangying Qi,Jiawei Zhao,Yujing Chen,Xiaotong Guo,Juzheng Zhang,Jinfeng Gan,Zhiyuan Jian,Jiamin Jin

Translational cancer research 14:1265-1281 PubMed40104739

2025

Role of cancer stem cell heterogeneity in intrahepatic cholangiocarcinoma.

Applications

Unspecified application

Species

Unspecified reactive species

Yiwang Zhang,Juping Xie,Xiangqi Huang,Jintian Gao,Zhiyong Xiong

Thoracic cancer 16:e70023 PubMed40051202

2025

NSUN4 Facilitates the Activity of Oncogenic Protein CDC20 to Promote NSCLC Development by Mediating m5C Modification of CDC20 mRNA.

Applications

Unspecified application

Species

Unspecified reactive species

Zhilong Li,Xianzhen Wu

The Kaohsiung journal of medical sciences 41:e12930 PubMed39789998

2025

FOXA1 activates NOLC1 transcription through NOTCH pathway to promote cell stemness in lung adenocarcinoma.

Applications

Unspecified application

Species

Unspecified reactive species

Ji-Fa Li,Xiao-Qiong Bao,Wen-Wen Yu,Xiang-Xiang Chen,Yang-Yang Ni,Yu-Bo Shi,Jin-Cong Wang,Yang-Jie Sun,Ai-Li Chen,Wei-Long Zhou,Hua Ye

International journal of biological sciences 21:382-399 PubMed39744423

2025

Folic Acid-Modified Milk Exosomes Delivering c-Kit siRNA Overcome EGFR-TKIs Resistance in Lung Cancer by Suppressing mTOR Signaling and Stemness.

Applications

Unspecified application

Species

Unspecified reactive species

Zihan Xu,Li Wang,Li Tu,Tao Liu,Yong Zhang,Yingying He,Guixiu Xiao,Ganlu Ouyang,Xuelei Ma,Feng Luo

Experimental and therapeutic medicine 28:456 PubMed39478737

2024

Formononetin suppresses the malignant progression of papillary thyroid carcinoma depending on downregulation of CBX4.

Applications

Unspecified application

Species

Unspecified reactive species

Hongbo Yu,Ji Qu,Haixin Gou,Ying Zhou

Atherosclerosis 397:118549 PubMed39141976

2024

CRISPR/Cas9-mediated suppression of A4GALT rescues endothelial cell dysfunction in a fabry disease vasculopathy model derived from human induced pluripotent stem cells.

Applications

Unspecified application

Species

Unspecified reactive species

Yoo Jin Shin,Seung Yun Chae,Hanbi Lee,Xianying Fang,Sheng Cui,Sun Woo Lim,Kang In Lee,Jae Young Lee,Can Li,Chul Woo Yang,Byung Ha Chung

International journal of molecular medicine 54: PubMed38994756

2024

Luteolin enhances drug chemosensitivity by downregulating the FAK/PI3K/AKT pathway in paclitaxel‑resistant esophageal squamous cell carcinoma.

Applications

Unspecified application

Species

Unspecified reactive species

Zhenzhen Yang,Hongtao Liu,Yinsen Song,Na Gao,Pan Gao,Yiran Hui,Yueheng Li,Tianli Fan
View all publications

Product promise

We are committed to supporting your work with high-quality reagents, and we're here for you every step of the way. In the unlikely event that one of our products does not perform as expected, you're protected by our Product Promise.
For full details, please see our Terms & Conditions

Please note: All products are 'FOR RESEARCH USE ONLY. NOT FOR USE IN DIAGNOSTIC OR THERAPEUTIC PROCEDURES'.

For licensing inquiries, please contact partnerships@abcam.com