JavaScript is disabled in your browser. Please enable JavaScript to view this website.
AB232642

Anti-CD133 antibody [EPR16508] - BSA and Azide free

Be the first to review this product! Submit a review

|

(0 Publication)

Rabbit Recombinant Monoclonal CD133 antibody. Carrier free. Suitable for WB, IHC-P and reacts with Human samples.

View Alternative Names

CD133, PROML1, MSTP061, PROM1, Prominin-1, Antigen AC133, Prominin-like protein 1

4 Images
Immunohistochemistry (Formalin/PFA-fixed paraffin-embedded sections) - Anti-CD133 antibody [EPR16508] - BSA and Azide free (AB232642)
  • IHC-P

Lab

Immunohistochemistry (Formalin/PFA-fixed paraffin-embedded sections) - Anti-CD133 antibody [EPR16508] - BSA and Azide free (AB232642)

Immunohistochemical analysis of paraffin-embedded human bladder cancer tissue labeling CD133 with ab222782 at 1/1000 dilution, followed by Goat Anti-Rabbit IgG H&L (HRP) (ready to use). Membranous staining on human bladder cancer tumor cells (PMID : 22899341). Counter stained with Hematoxylin. Perform heat mediated antigen retrieval using ab93684 (Tris/EDTA buffer, pH 9.0).

Secondary antibody only control : Used PBS instead of primary antibody, secondary antibody is Goat Anti-Rabbit IgG H&L (HRP) (ready to use).

This data was developed using the same antibody clone in a different buffer formulation containing PBS, BSA, glycerol, and sodium azide (ab222782).

Immunohistochemistry (Formalin/PFA-fixed paraffin-embedded sections) - Anti-CD133 antibody [EPR16508] - BSA and Azide free (AB232642)
  • IHC-P

Lab

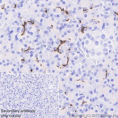
Immunohistochemistry (Formalin/PFA-fixed paraffin-embedded sections) - Anti-CD133 antibody [EPR16508] - BSA and Azide free (AB232642)

Immunohistochemical analysis of paraffin-embedded human kidney tissue labeling CD133 with ab222782 at 1/1000 dilution, followed by Goat Anti-Rabbit IgG H&L (HRP) (ready to use). Membranous staining on parietal layer of Bowman’s capsule and apical staining on renal tubules in human kidney (PMID : 19092120). Counter stained with Hematoxylin. Perform heat mediated antigen retrieval using ab93684 (Tris/EDTA buffer, pH 9.0).

Secondary antibody only control : Used PBS instead of primary antibody, secondary antibody is Goat Anti-Rabbit IgG H&L (HRP) (ready to use).

This data was developed using the same antibody clone in a different buffer formulation containing PBS, BSA, glycerol, and sodium azide (ab222782).

Immunohistochemistry (Formalin/PFA-fixed paraffin-embedded sections) - Anti-CD133 antibody [EPR16508] - BSA and Azide free (AB232642)
  • IHC-P

Lab

Immunohistochemistry (Formalin/PFA-fixed paraffin-embedded sections) - Anti-CD133 antibody [EPR16508] - BSA and Azide free (AB232642)

Immunohistochemical analysis of paraffin-embedded human pancreas tissue labeling CD133 with ab222782 at 1/1000 dilution, followed by Goat Anti-Rabbit IgG H&L (HRP) (ready use). Apical/endoluminal staining of human pancreatic ducts, and negative on Langerhans cells of the islets (PMID : 18261235) is obsevred. Counter stained with Hematoxylin. Heat mediated antigen retrieval was performed using ab93684 (Tris/EDTA buffer, pH 9.0).

Secondary antibody only control : Used PBS instead of primary antibody, secondary antibody is Goat Anti-Rabbit IgG H&L (HRP)(ready to use).

This data was developed using the same antibody clone in a different buffer formulation containing PBS, BSA, glycerol, and sodium azide (ab222782).

Western blot - Anti-CD133 antibody [EPR16508] - BSA and Azide free (AB232642)
  • WB

Lab

Western blot - Anti-CD133 antibody [EPR16508] - BSA and Azide free (AB232642)

ab222782 was shown to react with CD133 in wild-type HAP1 cells in western blot. Loss of signal was observed when PROM1 knockout sample was used. Membranes were blocked in 3 % milk in TBS-T (0.1 % Tween®) before incubation with ab222782 overnight at 4°C at a 1 in 2000 dilution. Blots were incubated with HRP conjugated Goat anti-Rabbit (H+L) secondary antibody at 1/5000 for 1 hour at room temperature before development with ECL reagent and imaging.

All lanes:

Western blot - Anti-CD133 antibody [EPR16508] (<a href='/en-us/products/primary-antibodies/cd133-antibody-epr16508-ab222782'>ab222782</a>) at 1/2000 dilution

Lane 1:

Wild-type HAP1 cell lysate at 40 µg

Lane 2:

PROM1 knockout HAP1 cell lysate at 40 µg

Predicted band size: 97 kDa

Observed band size: 110 kDa

false

Exposure time: 8min

Key facts

Host species

Rabbit

Clonality

Monoclonal

Clone number

EPR16508

Isotype

IgG

Carrier free

Yes

Reacts with

Human

Applications

IHC-P, WB

applications

Immunogen

The exact immunogen used to generate this antibody is proprietary information.

Reactivity data

{ "title": "Reactivity Data", "filters": { "stats": ["", "Species", "Dilution Info", "Notes"], "tabs": { "all-applications": {"fullname" : "All Applications", "shortname": "All Applications"}, "WB" : {"fullname" : "Western blot", "shortname":"WB"}, "IHCP" : {"fullname" : "Immunohistochemistry (Formalin/PFA-fixed paraffin-embedded sections)", "shortname":"IHC-P"} }, "product-promise": { "all": "all", "testedAndGuaranteed": "tested", "guaranteed": "expected", "predicted": "predicted", "notRecommended": "not-recommended" } }, "values": { "Human": { "WB-species-checked": "testedAndGuaranteed", "WB-species-dilution-info": "", "WB-species-notes": "<p></p>", "IHCP-species-checked": "testedAndGuaranteed", "IHCP-species-dilution-info": "", "IHCP-species-notes": "<p></p>" }, "Primates": { "WB-species-checked": "predicted", "WB-species-dilution-info": "", "WB-species-notes": "", "IHCP-species-checked": "predicted", "IHCP-species-dilution-info": "", "IHCP-species-notes": "" } } }

Product details

ab232642 is the carrier-free version of ab222782.

Patented technology
Our RabMAb® technology is a patented hybridoma-based technology for making rabbit monoclonal antibodies. For details on our patents, please refer to RabMAb® patents.

What are the advantages of a recombinant monoclonal antibody?
This product is a recombinant monoclonal antibody, which offers several advantages including:

  • - High batch-to-batch consistency and reproducibility
  • - Improved sensitivity and specificity
  • - Long-term security of supply
  • - Animal-free batch production

For more information, read more on recombinant antibodies.

Conjugation ready
Our carrier-free antibodies are typically supplied in a PBS-only formulation, purified and free of BSA, sodium azide and glycerol. This conjugation-ready format is designed for use with fluorochromes, metal isotopes, oligonucleotides, and enzymes, which makes them ideal for antibody labelling, functional and cell-based assays, flow-based assays (e.g. mass cytometry) and Multiplex Imaging applications.

Use our conjugation kits for antibody conjugates that are ready-to-use in as little as 20 minutes with 1 minute hands-on-time and 100% antibody recovery: available for fluorescent dyes, HRP, biotin and gold.

Compatibility
This product is compatible with the Maxpar® Antibody Labeling Kit from Fluidigm, without the need for antibody preparation. Maxpar® is a trademark of Fluidigm Canada Inc.

Properties and storage information

Form
Liquid
Purification technique
Affinity purification Protein A
Storage buffer
pH: 7.2 - 7.4 Constituents: PBS
Shipped at conditions
Blue Ice
Appropriate short-term storage conditions
+4°C
Appropriate long-term storage conditions
+4°C
Storage information
Do Not Freeze

Supplementary information

This supplementary information is collated from multiple sources and compiled automatically.

CD133 also known as Prominin-1 is a transmembrane glycoprotein with a molecular weight of approximately 120 kDa. This protein stands out due to its expression in various stem and progenitor cells including those of the neural hematopoietic and epithelial lineages. CD133 is recognized for its distinct five transmembrane domains and two large extracellular loops. Researchers commonly use CD133 as a cell surface marker to identify stem and progenitor cells. The significance of CD133 extends to immunohistochemistry (IHC) and Western blot applications where it is a popular target for detection and analysis.
Biological function summary

CD133 is involved in maintaining the cellular architecture and signaling processes. It plays a role in cellular differentiation and proliferation while acting as a part of larger protein complexes on the cell surface. This protein is notable as it contributes significantly to the regulation of stem cell properties supporting the growth and repair in various tissues. Anti-CD133 antibodies are valuable tools in studying these functions due to their specificity in targeting this marker.

Pathways

CD133 participates in cellular signaling and transport pathways vital for intercellular communication and homeostasis. It interacts within pathways related to cell polarity and asymmetric division both essential for tissue development and maintenance. CD133 is associated with proteins like CD133/1 and CD133/2 which further highlights its involvement in these complex biological networks and on pathways such as the Wnt signaling pathway which regulates gene expression associated with cell proliferation and differentiation.

Several studies indicate a strong relationship between CD133 expression and certain cancers such as glioblastoma and colorectal cancer. In these cases CD133 serves not only as a marker but also as an indicator of the presence of cancer stem cells which are capable of tumor initiation and maintenance. Furthermore researchers have identified connections between CD133 and other proteins such as c-Met (cMab) within these pathological contexts suggesting interactions that could contribute to disease progression and offering potential targets for therapeutic intervention.

Product protocols

For this product, it's our understanding that no specific protocols are required. You can visit:

Target data

May play a role in cell differentiation, proliferation and apoptosis (PubMed : 24556617). Binds cholesterol in cholesterol-containing plasma membrane microdomains and may play a role in the organization of the apical plasma membrane in epithelial cells. During early retinal development acts as a key regulator of disk morphogenesis. Involved in regulation of MAPK and Akt signaling pathways. In neuroblastoma cells suppresses cell differentiation such as neurite outgrowth in a RET-dependent manner (PubMed : 20818439).
See full target information PROM1

Product promise

We are committed to supporting your work with high-quality reagents, and we're here for you every step of the way. In the unlikely event that one of our products does not perform as expected, you're protected by our Product Promise.
For full details, please see our Terms & Conditions

Please note: All products are 'FOR RESEARCH USE ONLY. NOT FOR USE IN DIAGNOSTIC OR THERAPEUTIC PROCEDURES'.

For licensing inquiries, please contact partnerships@abcam.com