JavaScript is disabled in your browser. Please enable JavaScript to view this website.
AB226355

Anti-CD133 antibody [EPR20980-45]

  • RabMAb
  • Recombinant
  • KO Validated
  • 20ul selling size
  • What is this?

5

(1 Review)

|

(10 Publications)

Rabbit Recombinant Monoclonal CD133 antibody. Suitable for WB, IHC-P and reacts with Human samples. Cited in 10 publications.

View Alternative Names

CD133, PROML1, MSTP061, PROM1, Prominin-1, Antigen AC133, Prominin-like protein 1

5 Images
Immunohistochemistry (Formalin/PFA-fixed paraffin-embedded sections) - Anti-CD133 antibody [EPR20980-45] (AB226355)
  • IHC-P

Supplier Data

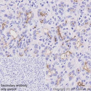
Immunohistochemistry (Formalin/PFA-fixed paraffin-embedded sections) - Anti-CD133 antibody [EPR20980-45] (AB226355)

Immunohistochemical analysis of paraffin-embedded human pancreatic cancer tissue labeling CD133 with ab226355 at 1/1000 dilution, followed by a Goat Anti-Rabbit IgG H&L (HRP), ready to use. Apical/endoluminal staining on ducts of human pancreatic cancer (PMID : 18261235) is observed. Counter stained with hematoxylin.
Secondary antibody only control : Used PBS instead of primary antibody, secondary antibody is a Goat Anti-Rabbit IgG H&L (HRP), ready to use.
Perform heat mediated antigen retrieval using ab93684 (Tris/EDTA buffer, pH 9.0).

Immunohistochemistry (Formalin/PFA-fixed paraffin-embedded sections) - Anti-CD133 antibody [EPR20980-45] (AB226355)
  • IHC-P

Supplier Data

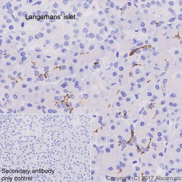
Immunohistochemistry (Formalin/PFA-fixed paraffin-embedded sections) - Anti-CD133 antibody [EPR20980-45] (AB226355)

Immunohistochemical analysis of paraffin-embedded human pancreas tissue labeling CD133 with ab226355 at 1/1000 dilution, followed by a Goat Anti-Rabbit IgG H&L (HRP), ready to use. Apical/endoluminal staining on ducts of human pancreas, and negative on Langerhans cells of the islets (PMID : 18261235) is observed. Counter stained with hematoxylin.
Secondary antibody only control : Used PBS instead of primary antibody, secondary antibody is a Goat Anti-Rabbit IgG H&L (HRP), ready to use.
Perform heat mediated antigen retrieval using ab93684 (Tris/EDTA buffer, pH 9.0).

Western blot - Anti-CD133 antibody [EPR20980-45] (AB226355)
  • WB

Supplier Data

Western blot - Anti-CD133 antibody [EPR20980-45] (AB226355)

Blocking : 5% NFDM/TBST.

Exposure times :

Lane 1 : 3 minutes

Lanes 2-3 : 10 seconds

All lanes:

Western blot - Anti-CD133 antibody [EPR20980-45] (ab226355) at 1/1000 dilution

Lane 1:

Human pancreas lysate at 10 µg

Lane 2:

NT2/D1 (human malignant pluripotent embryonic carcinoma epithelial cell-like), whole cell lysate at 10 µg

Lane 3:

Human fetal kidney lysate at 10 µg

Secondary

Lanes 1 - 2:

Western blot - Goat Anti-Rabbit IgG H&L (HRP) (<a href='/en-us/products/secondary-antibodies/goat-rabbit-igg-h-l-hrp-ab97051'>ab97051</a>) at 1/100000 dilution

Lane 3:

Western blot - Goat Anti-Rabbit IgG H&L (HRP) (<a href='/en-us/products/secondary-antibodies/goat-rabbit-igg-h-l-hrp-ab97051'>ab97051</a>) at 1/50000 dilution

Predicted band size: 97 kDa

Observed band size: 120 kDa

true

Western blot - Anti-CD133 antibody [EPR20980-45] (AB226355)
  • WB

Lab

Western blot - Anti-CD133 antibody [EPR20980-45] (AB226355)

ab226355 was shown to react with CD133 in wild-type HAP1 cells in western blot. Loss of signal was observed when PROM1 knockout sample was used. Membranes were blocked in 3 % milk in TBS-T (0.1 % Tween®) before incubation with ab226355 overnight at 4°C at a 1 in 1000 dilution. Blots were incubated with HRP conjugated Goat anti-Rabbit (H+L) secondary antibody at 1/5000 for 1 hour at room temperature before development with ECL reagent and imaging.

All lanes:

Western blot - Anti-CD133 antibody [EPR20980-45] (ab226355) at 1/1000 dilution

Lane 1:

Wild-type HAP1 cell lysate at 40 µg

Lane 2:

PROM1 knockout HAP1 cell lysate at 40 µg

Lane 3:

Caco-2 cell lysate at 20 µg

Lane 4:

HeLa cell lysate at 20 µg

Predicted band size: 97 kDa

Observed band size: 110 kDa

false

Exposure time: 20min

Western blot - Anti-CD133 antibody [EPR20980-45] (AB226355)
  • WB

Supplier Data

Western blot - Anti-CD133 antibody [EPR20980-45] (AB226355)

Blocking : 5% NFDM/TBST.

The MW observed is consistent with the literature (PMID 20717901; PMID 18645205).

Negative control : HEK-293T (PMID 20167130).

All lanes:

Western blot - Anti-CD133 antibody [EPR20980-45] (ab226355) at 1/1000 dilution

Lane 1:

Caco-2 (human colorectal adenocarcinoma epithelial cell), whole cell lysate at 20 µg

Lane 2:

HT-29 (human colorectal adenocarcinoma epithelial cell), whole cell lysate at 20 µg

Lane 3:

NCCIT (human pluripotent embryonic carcinoma epithelial cell), whole cell lysate at 20 µg

Lane 4:

HEK-293T (human embryonic kidney epithelial cell), whole cell lysate at 20 µg

Secondary

All lanes:

Western blot - Goat Anti-Rabbit IgG H&L (HRP) (<a href='/en-us/products/secondary-antibodies/goat-rabbit-igg-h-l-hrp-ab97051'>ab97051</a>) at 1/100000 dilution

Predicted band size: 97 kDa

Observed band size: 120 kDa

true

Exposure time: 15s

Key facts

Host species

Rabbit

Clonality

Monoclonal

Clone number

EPR20980-45

Isotype

IgG

Carrier free

No

Reacts with

Human

Applications

IHC-P, WB

applications

Immunogen

The exact immunogen used to generate this antibody is proprietary information.

Reactivity data

{ "title": "Reactivity Data", "filters": { "stats": ["", "Species", "Dilution Info", "Notes"], "tabs": { "all-applications": {"fullname" : "All Applications", "shortname": "All Applications"}, "WB" : {"fullname" : "Western blot", "shortname":"WB"}, "IHCP" : {"fullname" : "Immunohistochemistry (Formalin/PFA-fixed paraffin-embedded sections)", "shortname":"IHC-P"} }, "product-promise": { "all": "all", "testedAndGuaranteed": "tested", "guaranteed": "expected", "predicted": "predicted", "notRecommended": "not-recommended" } }, "values": { "Human": { "WB-species-checked": "testedAndGuaranteed", "WB-species-dilution-info": "1/1000", "WB-species-notes": "<p></p>", "IHCP-species-checked": "testedAndGuaranteed", "IHCP-species-dilution-info": "1/1000", "IHCP-species-notes": "<p></p> Perform heat-mediated antigen retrieval with Tris/EDTA buffer pH 9.0 before commencing with IHC staining protocol." } } }

Product details

Patented technology
Our RabMAb® technology is a patented hybridoma-based technology for making rabbit monoclonal antibodies. For details on our patents, please refer to RabMAb® patents.

What are the advantages of a recombinant monoclonal antibody?
This product is a recombinant monoclonal antibody, which offers several advantages including:

  • - High batch-to-batch consistency and reproducibility
  • - Improved sensitivity and specificity
  • - Long-term security of supply
  • - Animal-free batch production

For more information, read more on recombinant antibodies.

Properties and storage information

Form
Liquid
Purification technique
Affinity purification Protein A
Storage buffer
pH: 7.2 - 7.4 Preservative: 0.01% Sodium azide Constituents: PBS, 40% Glycerol (glycerin, glycerine), 0.05% BSA
Shipped at conditions
Blue Ice
Appropriate short-term storage duration
1-2 weeks
Appropriate short-term storage conditions
+4°C
Appropriate long-term storage conditions
-20°C
Aliquoting information
Upon delivery aliquot
Storage information
Avoid freeze / thaw cycle

Supplementary information

This supplementary information is collated from multiple sources and compiled automatically.

CD133 also known as Prominin-1 is a transmembrane glycoprotein with a molecular weight of approximately 120 kDa. This protein stands out due to its expression in various stem and progenitor cells including those of the neural hematopoietic and epithelial lineages. CD133 is recognized for its distinct five transmembrane domains and two large extracellular loops. Researchers commonly use CD133 as a cell surface marker to identify stem and progenitor cells. The significance of CD133 extends to immunohistochemistry (IHC) and Western blot applications where it is a popular target for detection and analysis.
Biological function summary

CD133 is involved in maintaining the cellular architecture and signaling processes. It plays a role in cellular differentiation and proliferation while acting as a part of larger protein complexes on the cell surface. This protein is notable as it contributes significantly to the regulation of stem cell properties supporting the growth and repair in various tissues. Anti-CD133 antibodies are valuable tools in studying these functions due to their specificity in targeting this marker.

Pathways

CD133 participates in cellular signaling and transport pathways vital for intercellular communication and homeostasis. It interacts within pathways related to cell polarity and asymmetric division both essential for tissue development and maintenance. CD133 is associated with proteins like CD133/1 and CD133/2 which further highlights its involvement in these complex biological networks and on pathways such as the Wnt signaling pathway which regulates gene expression associated with cell proliferation and differentiation.

Several studies indicate a strong relationship between CD133 expression and certain cancers such as glioblastoma and colorectal cancer. In these cases CD133 serves not only as a marker but also as an indicator of the presence of cancer stem cells which are capable of tumor initiation and maintenance. Furthermore researchers have identified connections between CD133 and other proteins such as c-Met (cMab) within these pathological contexts suggesting interactions that could contribute to disease progression and offering potential targets for therapeutic intervention.

Product protocols

For this product, it's our understanding that no specific protocols are required. You can visit:

Target data

May play a role in cell differentiation, proliferation and apoptosis (PubMed : 24556617). Binds cholesterol in cholesterol-containing plasma membrane microdomains and may play a role in the organization of the apical plasma membrane in epithelial cells. During early retinal development acts as a key regulator of disk morphogenesis. Involved in regulation of MAPK and Akt signaling pathways. In neuroblastoma cells suppresses cell differentiation such as neurite outgrowth in a RET-dependent manner (PubMed : 20818439).
See full target information PROM1

Publications (10)

Recent publications for all applications. Explore the full list and refine your search

BMC cancer 24:532 PubMed38671389

2024

Desmoglein 2 and desmocollin 2 depletions promote malignancy through distinct mechanisms in triple-negative and luminal breast cancer.

Applications

WB

Species

Human

Ji-Yuan Han,Na Che,Jing Mo,Dan-Fang Zhang,Xiao-Hui Liang,Xue-Yi Dong,Xiu-Lan Zhao,Bao-Cun Sun

Molecular and cellular probes 71:101924 PubMed37536457

2023

Blood exosome marker miRNA-30d-5p: Role and regulation mechanism in cell stemness and gemcitabine resistance of hepatocellular carcinoma.

Applications

WB

Species

Human

Biao Tang,Longhui Xie,Xin Tang,Junjie Tian,Shaofei Xiao

Cancer biology & medicine 20: PubMed36971107

2023

Artificial intelligence-based comprehensive analysis of immune-stemness-tumor budding profile to predict survival of patients with pancreatic adenocarcinoma.

Applications

Unspecified application

Species

Unspecified reactive species

Tianxing Zhou,Quan Man,Xueyang Li,Yongjie Xie,Xupeng Hou,Hailong Wang,Jingrui Yan,Xueqing Wei,Weiwei Bai,Ziyun Liu,Jing Liu,Jihui Hao

Oncology letters 24:230 PubMed35720478

2022

Nogo-A/NgR signaling regulates stemness in cancer stem-like cells derived from U87MG glioblastoma cells.

Applications

WB

Species

Human

Chengjin Ai,Yu Zhou,Kunming Pu,Yi Yang,Yingying Zhou

Journal of cellular and molecular medicine 26:2620-2632 PubMed35419917

2022

Overexpression of FOXD2-AS1 enhances proliferation and impairs differentiation of glioma stem cells by activating the NOTCH pathway via TAF-1.

Applications

IHC-P

Species

Human

Yang Wang,Yanli Cheng,Qi Yang,Lei Kuang,Guolei Liu

Frontiers in oncology 12:781093 PubMed35402219

2022

OCT4 and SOX2 Specific Cytotoxic T Cells Exhibit Not Only Good Efficiency but Also Synergize PD-1 Inhibitor (Nivolumab) in Treating Breast Cancer Stem-Like Cells and Drug-Resistant Breast Cancer Mice.

Applications

Unspecified application

Species

Unspecified reactive species

Wei Peng,Liang Chang,Wenqiang Li,Yanan Liu,Min Zhang

Oncology reports 45:1226-1234 PubMed33650648

2021

ESM1/HIF‑1α pathway modulates chronic intermittent hypoxia‑induced non‑small‑cell lung cancer proliferation, stemness and epithelial‑mesenchymal transition.

Applications

Unspecified application

Species

Unspecified reactive species

Xin Gu,Jie Zhang,Yuheng Shi,Haiji Shen,Yao Li,Yanyan Chen,Li Liang

Life sciences 247:117438 PubMed32070708

2020

Hypoxia-induced USP22-BMI1 axis promotes the stemness and malignancy of glioma stem cells via regulation of HIF-1α.

Applications

WB

Species

Human

Guan-Zhong Qiu,Qiang Liu,Xiao-Gang Wang,Guang-Zhen Xu,Tong Zhao,Mei-Qing Lou

Carcinogenesis 41:25-35 PubMed31111874

2019

TIPE1 impairs stemness maintenance in colorectal cancer through directly targeting β-catenin.

Applications

WB

Species

Human

Tao Ye,Biwei Yang,Chen Wang,Chang Su,Jing Luo,Xiaodi Yang,Hongmei Yu,Zhen Yuan,Zhefeng Meng,Jinglin Xia

Journal of leukocyte biology 106:431-446 PubMed31075185

2019

RhoGDI2 positively regulates the Rho GTPases activation in response to the β2 outside-in signaling in T cells adhesion and migration on ICAM-1.

Applications

Unspecified application

Species

Unspecified reactive species

Wenai Liu,Xuehao Wang,Shan Wang,Xueqing Ba,Tingshuang Xu,Xiaoguang Wang,Xianlu Zeng
View all publications

Product promise

We are committed to supporting your work with high-quality reagents, and we're here for you every step of the way. In the unlikely event that one of our products does not perform as expected, you're protected by our Product Promise.
For full details, please see our Terms & Conditions

Please note: All products are 'FOR RESEARCH USE ONLY. NOT FOR USE IN DIAGNOSTIC OR THERAPEUTIC PROCEDURES'.

For licensing inquiries, please contact partnerships@abcam.com