JavaScript is disabled in your browser. Please enable JavaScript to view this website.
AB281841

Anti-CD133 antibody [EPR24348-38] - BSA and Azide free

Be the first to review this product! Submit a review

|

(0 Publication)

Rabbit Recombinant Monoclonal CD133 antibody. Carrier free. Suitable for IP, Flow Cyt (Intra), WB, IHC-P, IHC-Fr and reacts with Mouse samples.

View Alternative Names

CD133, Prom, Proml1, Prom1, Prominin-1, Antigen AC133 homolog, Prominin-like protein 1

10 Images
Immunohistochemistry (Formalin/PFA-fixed paraffin-embedded sections) - Anti-CD133 antibody [EPR24348-38] - BSA and Azide free (AB281841)
  • IHC-P

Supplier Data

Immunohistochemistry (Formalin/PFA-fixed paraffin-embedded sections) - Anti-CD133 antibody [EPR24348-38] - BSA and Azide free (AB281841)

This data was developed using ab271092, the same antibody clone in a different buffer formulation.

Immunohistochemical analysis of paraffin-embedded Mouse liver tissue labelling CD133 with ab271092 at 1/2000 (0.23 ug/ml) followed by a ready to use LeicaDS9800 (Bond™ Polymer Refine Detection). Positive staining on the biliary ducts of mouse liver. The section was incubated with ab271092 for 30 mins at room temperature. The immunostaining was performed on a Leica Biosystems BOND® RX instrument. Counterstained with Hematoxylin.

Secondary antibody only control : Secondary antibody is a ready to use LeicaDS9800 (Bond™ Polymer Refine Detection).

Heat mediated antigen retrieval with Tris-EDTA buffer (pH 9.0, epitope retrieval solution2) for 20 mins

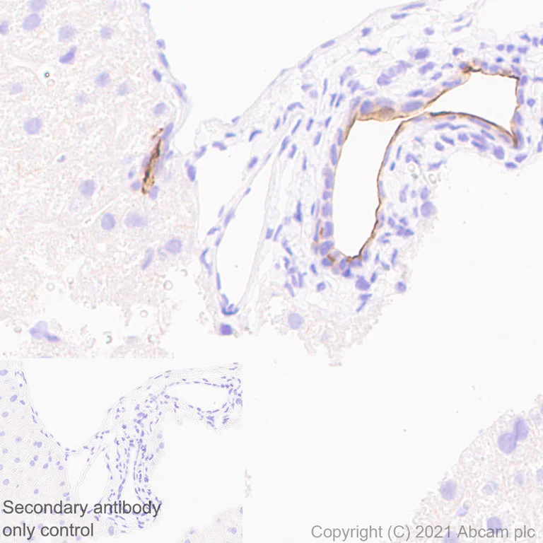
Immunohistochemistry (Formalin/PFA-fixed paraffin-embedded sections) - Anti-CD133 antibody [EPR24348-38] - BSA and Azide free (AB281841)
  • IHC-P

Supplier Data

Immunohistochemistry (Formalin/PFA-fixed paraffin-embedded sections) - Anti-CD133 antibody [EPR24348-38] - BSA and Azide free (AB281841)

This data was developed using ab271092, the same antibody clone in a different buffer formulation.

Immunohistochemical analysis of paraffin-embedded Mouse pancreas tissue labelling CD133 with ab271092 at 1/2000 (0.23 ug/ml) followed by a ready to use LeicaDS9800(Bond™ Polymer Refine Detection). Positive staining on mouse pancreatic ducts.The section was incubated with ab271092 for 30 mins at room temperature.The immunostaining was performed on a Leica Biosystems BOND® RX instrument Counterstained with Hematoxylin.

Secondary antibody only control : Secondary antibody is a ready to use LeicaDS9800 (Bond™ Polymer Refine Detection).

Heat mediated antigen retrieval with Tris-EDTA buffer (pH 9.0, epitope retrieval solution2) for 20 mins

Immunohistochemistry (Formalin/PFA-fixed paraffin-embedded sections) - Anti-CD133 antibody [EPR24348-38] - BSA and Azide free (AB281841)
  • IHC-P

Supplier Data

Immunohistochemistry (Formalin/PFA-fixed paraffin-embedded sections) - Anti-CD133 antibody [EPR24348-38] - BSA and Azide free (AB281841)

This data was developed using ab271092, the same antibody clone in a different buffer formulation.

Immunohistochemical analysis of paraffin-embedded Mouse retina tissue labelling CD133 with ab271092 at 1/2000 (0.23 ug/ml) followed by a ready to use LeicaDS9800 (Bond™ Polymer Refine Detection). Positive staining on the cone and rod cells of mouse retina. The section was incubated with ab271092 for 30 mins at room temperature. The immunostaining was performed on a Leica Biosystems BOND® RX instrument. Counterstained with Hematoxylin.

Secondary antibody only control : Secondary antibody is a ready to use LeicaDS9800 (Bond™ Polymer Refine Detection).

Heat mediated antigen retrieval with Tris-EDTA buffer (pH 9.0, epitope retrieval solution2) for 20 mins

Immunohistochemistry (Frozen sections) - Anti-CD133 antibody [EPR24348-38] - BSA and Azide free (AB281841)
  • IHC-Fr

Supplier Data

Immunohistochemistry (Frozen sections) - Anti-CD133 antibody [EPR24348-38] - BSA and Azide free (AB281841)

This data was developed using ab271092, the same antibody clone in a different buffer formulation.

Immunohistochemical analysis of 4% PFA-fixed, 0.2% Triton X-100 permeabilized frozen Mouse E14.5 embryonic cortex tissue labeling CD133 with ab271092 at 1/100 (4.59 ug/ml) dilution followed by ab150077 Goat Anti-Rabbit IgG H&L (Alexa Fluor® 488) at 1/1000 dilution (Green). Positive staining on the apical membrane of mouse E14.5 embryonic cortex is observed. The nuclear counterstain was DAPI (Blue).

Secondary antibody control : Secondary antibody is ab150077 Goat Anti-Rabbit IgG H&L (Alexa Fluor® 488)at 1/1000 dilution.

Heat mediated antigen retrieval using sodium citrate buffer (10mM citrate pH 6.0 + 0.05% Tween-20).

Immunohistochemistry (Frozen sections) - Anti-CD133 antibody [EPR24348-38] - BSA and Azide free (AB281841)
  • IHC-Fr

Supplier Data

Immunohistochemistry (Frozen sections) - Anti-CD133 antibody [EPR24348-38] - BSA and Azide free (AB281841)

This data was developed using ab271092, the same antibody clone in a different buffer formulation.

Immunohistochemical analysis of 4% PFA-fixed, 0.2% Triton X-100 permeabilized frozen Mouse E14.5 embryonic lung tissue labeling CD133 with ab271092 at 1/100 (4.59 ug/ml) dilution followed by ab150077 Goat Anti-Rabbit IgG H&L (Alexa Fluor® 488) at 1/1000 dilution (Green). Positive staining on the apical membrane of lung buds is observed. The nuclear counterstain was DAPI (Blue).

Secondary antibody control : Secondary antibody is ab150077 Goat Anti-Rabbit IgG H&L (Alexa Fluor® 488)at 1/1000 dilution.

Heat mediated antigen retrieval using sodium citrate buffer (10mM citrate pH 6.0 + 0.05% Tween-20).

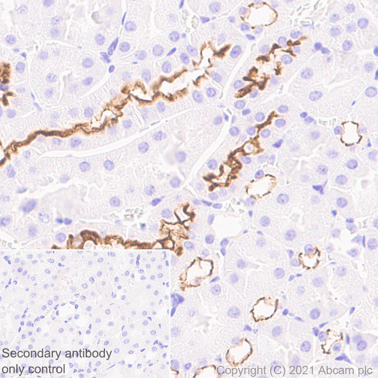
Immunohistochemistry (Formalin/PFA-fixed paraffin-embedded sections) - Anti-CD133 antibody [EPR24348-38] - BSA and Azide free (AB281841)
  • IHC-P

Supplier Data

Immunohistochemistry (Formalin/PFA-fixed paraffin-embedded sections) - Anti-CD133 antibody [EPR24348-38] - BSA and Azide free (AB281841)

This data was developed using ab271092, the same antibody clone in a different buffer formulation.

Immunohistochemical analysis of paraffin-embedded Mouse kidney tissue labelling CD133 with ab271092 at 1/2000 (0.23 ug/ml) followed by a ready to use LeicaDS9800 (Bond™ Polymer Refine Detection). Positive staining on mouse kidney. The section was incubated with ab271092 for 30 mins at room temperature. The immunostaining was performed on a Leica Biosystems BOND® RX instrument. Counterstained with Hematoxylin.

Secondary antibody only control : Secondary antibody is a ready to use LeicaDS9800 (Bond™ Polymer Refine Detection).

Heat mediated antigen retrieval with Tris-EDTA buffer (pH 9.0, epitope retrieval solution2) for 20 mins

Immunohistochemistry (Frozen sections) - Anti-CD133 antibody [EPR24348-38] - BSA and Azide free (AB281841)
  • IHC-Fr

Supplier Data

Immunohistochemistry (Frozen sections) - Anti-CD133 antibody [EPR24348-38] - BSA and Azide free (AB281841)

This data was developed using ab271092, the same antibody clone in a different buffer formulation.

Immunohistochemical analysis of 4% PFA-fixed, 0.2% Triton X-100 permeabilized frozen Mouse E14.5 embryonic kidney tissue labeling CD133 with ab271092 at 1/100 (4.59 ug/ml) dilution followed by ab150077 Goat Anti-Rabbit IgG H&L (Alexa Fluor® 488) at 1/1000 dilution (Green). Positive staining on the apical membrane of mouse E14.5 embryonic kidney is observed. The nuclear counterstain was DAPI (Blue).

Secondary antibody control : Secondary antibody is ab150077 Goat Anti-Rabbit IgG H&L (Alexa Fluor® 488)at 1/1000 dilution.

Heat mediated antigen retrieval using sodium citrate buffer (10mM citrate pH 6.0 + 0.05% Tween-20).

Immunoprecipitation - Anti-CD133 antibody [EPR24348-38] - BSA and Azide free (AB281841)
  • IP

Supplier Data

Immunoprecipitation - Anti-CD133 antibody [EPR24348-38] - BSA and Azide free (AB281841)

This data was developed using ab271092, the same antibody clone in a different buffer formulation.

CD133 was immunoprecipitated from 0.35 mg Mouse E14.5 brain tissue lysate 10 ug with ab271092 at 1/30 dilution (2ug in 0.35mg lysates). Western blot was performed on the immunoprecipitate using ab271092 at 1/1000 dilution. VeriBlot for IP Detection Reagent (HRP)(ab131366) was used at 1/5000 dilution.

Lane 1 : Mouse E14.5 brain tissue lysate 10 ug

Lane 2 : ab271092 IP in Mouse E14.5 brain tissue lysate

Lane 3 : Rabbit monoclonal IgG (ab172730) instead of ab271092 in Mouse E14.5 brain tissue lysate

Blocking and dilution buffer and concentration : 5% NFDM/TBST.

Exposure time : 10 seconds

All lanes:

Immunoprecipitation - Anti-CD133 antibody [EPR24348-38] (<a href='/en-us/products/primary-antibodies/cd133-antibody-epr24348-38-ab271092'>ab271092</a>)

Predicted band size: 97 kDa

Observed band size: 120 kDa

false

Western blot - Anti-CD133 antibody [EPR24348-38] - BSA and Azide free (AB281841)
  • WB

Lab

Western blot - Anti-CD133 antibody [EPR24348-38] - BSA and Azide free (AB281841)

This data was developed using ab271092, the same antibody clone in a different buffer formulation.

Blocking and diluting buffer and concentration : 5% NFDM/TBST

All lanes:

Western blot - Anti-CD133 antibody [EPR24348-38] (<a href='/en-us/products/primary-antibodies/cd133-antibody-epr24348-38-ab271092'>ab271092</a>) at 1/1000 dilution

Lane 1:

Mouse kidney tissue lysate

Lane 2:

Mouse kidney tissue lysate treated with PNGase F

Secondary

All lanes:

Western blot - Goat Anti-Rabbit IgG H&L (HRP) (<a href='/en-us/products/secondary-antibodies/goat-rabbit-igg-h-l-hrp-ab97051'>ab97051</a>) at 1/50000 dilution

Predicted band size: 97 kDa

Observed band size: 120 kDa,97 kDa

false

Exposure time: 10s

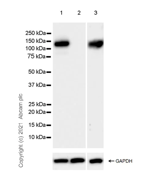
Western blot - Anti-CD133 antibody [EPR24348-38] - BSA and Azide free (AB281841)
  • WB

Lab

Western blot - Anti-CD133 antibody [EPR24348-38] - BSA and Azide free (AB281841)

This data was developed using ab271092, the same antibody clone in a different buffer formulation.

Blocking and diluting buffer and concentration : 5% NFDM/TBST

Negative control : mouse heart (PMID : 17575139).

Exposure time : Lanes 1-2 : 10 seconds; Lane 3 : 70 seconds.

All lanes:

Western blot - Anti-CD133 antibody [EPR24348-38] (<a href='/en-us/products/primary-antibodies/cd133-antibody-epr24348-38-ab271092'>ab271092</a>) at 1/1000 dilution

Lane 1:

Mouse kidney tissue lysate at 20 µg

Lane 2:

Mouse heart tissue lysate at 20 µg

Lane 3:

Mouse E14.5 brain tissue lysate at 20 µg

Secondary

All lanes:

Western blot - Goat Anti-Rabbit IgG H&L (HRP) (<a href='/en-us/products/secondary-antibodies/goat-rabbit-igg-h-l-hrp-ab97051'>ab97051</a>) at 1/50000 dilution

Predicted band size: 97 kDa

Observed band size: 120 kDa

false

Key facts

Host species

Rabbit

Clonality

Monoclonal

Clone number

EPR24348-38

Isotype

IgG

Carrier free

Yes

Reacts with

Mouse

Applications

IHC-Fr, IHC-P, WB, IP, Flow Cyt (Intra)

applications

Immunogen

The exact immunogen used to generate this antibody is proprietary information.

Reactivity data

{ "title": "Reactivity Data", "filters": { "stats": ["", "Species", "Dilution Info", "Notes"], "tabs": { "all-applications": {"fullname" : "All Applications", "shortname": "All Applications"}, "ICCIF" : {"fullname" : "Immunocytochemistry/ Immunofluorescence", "shortname":"ICC/IF"}, "IP" : {"fullname" : "Immunoprecipitation", "shortname":"IP"}, "FlowCytIntra" : {"fullname" : "Flow Cytometry (Intracellular)", "shortname":"Flow Cyt (Intra)"}, "WB" : {"fullname" : "Western blot", "shortname":"WB"}, "IHCP" : {"fullname" : "Immunohistochemistry (Formalin/PFA-fixed paraffin-embedded sections)", "shortname":"IHC-P"}, "IHCFr" : {"fullname" : "Immunohistochemistry (Frozen sections)", "shortname":"IHC-Fr"} }, "product-promise": { "all": "all", "testedAndGuaranteed": "tested", "guaranteed": "expected", "predicted": "predicted", "notRecommended": "not-recommended" } }, "values": { "Human": { "ICCIF-species-checked": "notRecommended", "ICCIF-species-dilution-info": "", "ICCIF-species-notes": "<p></p>", "IP-species-checked": "notRecommended", "IP-species-dilution-info": "", "IP-species-notes": "", "FlowCytIntra-species-checked": "notRecommended", "FlowCytIntra-species-dilution-info": "", "FlowCytIntra-species-notes": "<p></p>", "WB-species-checked": "notRecommended", "WB-species-dilution-info": "", "WB-species-notes": "<p></p>", "IHCP-species-checked": "notRecommended", "IHCP-species-dilution-info": "", "IHCP-species-notes": "<p></p>", "IHCFr-species-checked": "notRecommended", "IHCFr-species-dilution-info": "", "IHCFr-species-notes": "" }, "Mouse": { "ICCIF-species-checked": "notRecommended", "ICCIF-species-dilution-info": "", "ICCIF-species-notes": "<p></p>", "IP-species-checked": "testedAndGuaranteed", "IP-species-dilution-info": "", "IP-species-notes": "<p></p>", "FlowCytIntra-species-checked": "testedAndGuaranteed", "FlowCytIntra-species-dilution-info": "", "FlowCytIntra-species-notes": "<p></p>", "WB-species-checked": "testedAndGuaranteed", "WB-species-dilution-info": "", "WB-species-notes": "<p></p>", "IHCP-species-checked": "testedAndGuaranteed", "IHCP-species-dilution-info": "", "IHCP-species-notes": "<p></p>", "IHCFr-species-checked": "testedAndGuaranteed", "IHCFr-species-dilution-info": "", "IHCFr-species-notes": "<p></p>" }, "Rat": { "ICCIF-species-checked": "notRecommended", "ICCIF-species-dilution-info": "", "ICCIF-species-notes": "<p></p>", "IP-species-checked": "notRecommended", "IP-species-dilution-info": "", "IP-species-notes": "", "FlowCytIntra-species-checked": "notRecommended", "FlowCytIntra-species-dilution-info": "", "FlowCytIntra-species-notes": "", "WB-species-checked": "notRecommended", "WB-species-dilution-info": "", "WB-species-notes": "<p></p>", "IHCP-species-checked": "notRecommended", "IHCP-species-dilution-info": "", "IHCP-species-notes": "<p></p>", "IHCFr-species-checked": "notRecommended", "IHCFr-species-dilution-info": "", "IHCFr-species-notes": "<p></p>" } } }

Product details

ab281841 is the carrier-free version of ab271092.

Patented technology
Our RabMAb® technology is a patented hybridoma-based technology for making rabbit monoclonal antibodies. For details on our patents, please refer to RabMAb® patents.

What are the advantages of a recombinant monoclonal antibody?
This product is a recombinant monoclonal antibody, which offers several advantages including:

  • - High batch-to-batch consistency and reproducibility
  • - Improved sensitivity and specificity
  • - Long-term security of supply
  • - Animal-free batch production

For more information, read more on recombinant antibodies.

Conjugation ready
Our carrier-free antibodies are typically supplied in a PBS-only formulation, purified and free of BSA, sodium azide and glycerol. This conjugation-ready format is designed for use with fluorochromes, metal isotopes, oligonucleotides, and enzymes, which makes them ideal for antibody labelling, functional and cell-based assays, flow-based assays (e.g. mass cytometry) and Multiplex Imaging applications.

Use our conjugation kits for antibody conjugates that are ready-to-use in as little as 20 minutes with 1 minute hands-on-time and 100% antibody recovery: available for fluorescent dyes, HRP, biotin and gold.

Compatibility
This product is compatible with the Maxpar® Antibody Labeling Kit from Fluidigm, without the need for antibody preparation. Maxpar® is a trademark of Fluidigm Canada Inc.

Properties and storage information

Form
Liquid
Purification technique
Affinity purification Protein A
Storage buffer
pH: 7.2 - 7.4 Constituents: PBS
Shipped at conditions
Blue Ice
Appropriate short-term storage conditions
+4°C
Appropriate long-term storage conditions
+4°C

Supplementary information

This supplementary information is collated from multiple sources and compiled automatically.

CD133 also known as Prominin-1 is a transmembrane glycoprotein with a molecular weight of approximately 120 kDa. This protein stands out due to its expression in various stem and progenitor cells including those of the neural hematopoietic and epithelial lineages. CD133 is recognized for its distinct five transmembrane domains and two large extracellular loops. Researchers commonly use CD133 as a cell surface marker to identify stem and progenitor cells. The significance of CD133 extends to immunohistochemistry (IHC) and Western blot applications where it is a popular target for detection and analysis.
Biological function summary

CD133 is involved in maintaining the cellular architecture and signaling processes. It plays a role in cellular differentiation and proliferation while acting as a part of larger protein complexes on the cell surface. This protein is notable as it contributes significantly to the regulation of stem cell properties supporting the growth and repair in various tissues. Anti-CD133 antibodies are valuable tools in studying these functions due to their specificity in targeting this marker.

Pathways

CD133 participates in cellular signaling and transport pathways vital for intercellular communication and homeostasis. It interacts within pathways related to cell polarity and asymmetric division both essential for tissue development and maintenance. CD133 is associated with proteins like CD133/1 and CD133/2 which further highlights its involvement in these complex biological networks and on pathways such as the Wnt signaling pathway which regulates gene expression associated with cell proliferation and differentiation.

Several studies indicate a strong relationship between CD133 expression and certain cancers such as glioblastoma and colorectal cancer. In these cases CD133 serves not only as a marker but also as an indicator of the presence of cancer stem cells which are capable of tumor initiation and maintenance. Furthermore researchers have identified connections between CD133 and other proteins such as c-Met (cMab) within these pathological contexts suggesting interactions that could contribute to disease progression and offering potential targets for therapeutic intervention.

Product protocols

For this product, it's our understanding that no specific protocols are required. You can visit:

Target data

May play a role in cell differentiation, proliferation and apoptosis. Binds cholesterol in cholesterol-containing plasma membrane microdomains and may play a role in the organization of the apical plasma membrane in epithelial cells. During early retinal development acts as a key regulator of disk morphogenesis (PubMed : 19228982). Involved in regulation of MAPK and Akt signaling pathways. In neuroblastoma cells suppresses cell differentiation such as neurite outgrowth in a RET-dependent manner.
See full target information Prom1

Product promise

We are committed to supporting your work with high-quality reagents, and we're here for you every step of the way. In the unlikely event that one of our products does not perform as expected, you're protected by our Product Promise.
For full details, please see our Terms & Conditions

Please note: All products are 'FOR RESEARCH USE ONLY. NOT FOR USE IN DIAGNOSTIC OR THERAPEUTIC PROCEDURES'.

For licensing inquiries, please contact partnerships@abcam.com