JavaScript is disabled in your browser. Please enable JavaScript to view this website.
AB278053

Anti-CD133 antibody [RM1002] - Stem Cell Marker

  • BOND RX™ Validated
  • KO Validated
  • RabMAb
  • Recombinant
  • Lab Essentials
  • 20ul selling size
  • What is this?

Be the first to review this product! Submit a review

|

(12 Publications)

Rabbit Recombinant Multiclonal CD133 antibody. Stem Cell marker. Suitable for IP, Flow Cyt, WB, IHC-P and reacts with Human samples. Cited in 12 publications.

View Alternative Names

CD133, PROML1, MSTP061, PROM1, Prominin-1, Antigen AC133, Prominin-like protein 1

9 Images
Flow Cytometry - Anti-CD133 antibody [RM1002] - Stem Cell Marker (AB278053)
  • Flow Cyt

Supplier Data

Flow Cytometry - Anti-CD133 antibody [RM1002] - Stem Cell Marker (AB278053)

Flow cytometric analysis of HEK-293T (Human embryonic kidney epithelial cell, Left panel) / Caco-2 (Human colorectal adenocarcinoma epithelial cell, Right panel) using ab278053 at 1/500 dilution (0.1µg) (red). The isotype control used was the Rabbit monoclonal IgG (ab172730), black line and an unlabelled control (cells without incubation with primary antibody and secondary antibody) (blue). Secondary antibody used was the Goat anti-rabbit IgG (Alexa Fluor® 488, ab150077) at 1/2000 dilution.

Negative control : HEK-293T. (PMID 20167130)
Gated on viable cells.

Immunohistochemistry (Formalin/PFA-fixed paraffin-embedded sections) - Anti-CD133 antibody [RM1002] - Stem Cell Marker (AB278053)
  • IHC-P

Lab

Immunohistochemistry (Formalin/PFA-fixed paraffin-embedded sections) - Anti-CD133 antibody [RM1002] - Stem Cell Marker (AB278053)

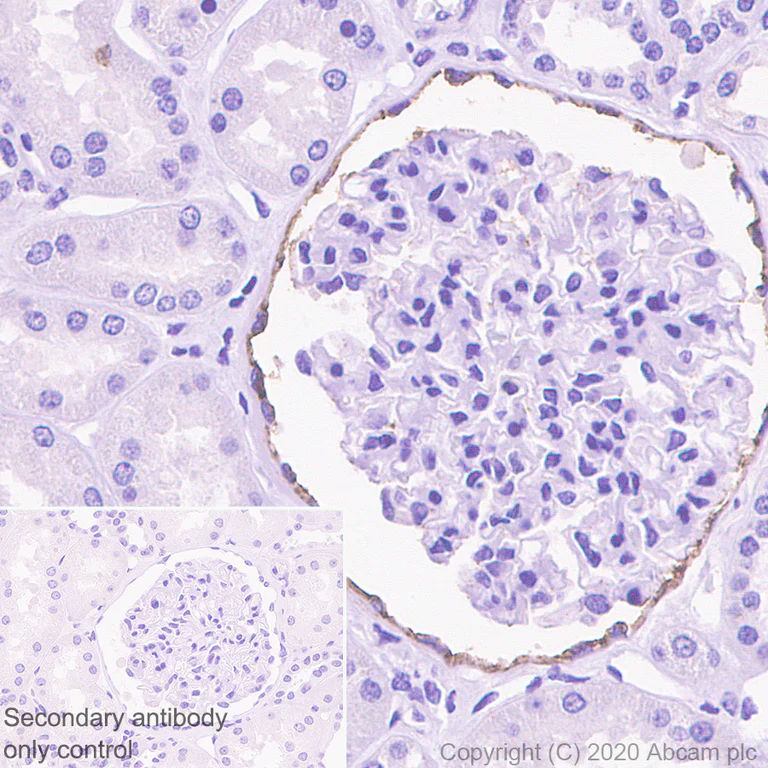
Immunohistochemical analysis of paraffin-embedded human kidney tissue labeling CD133 with ab278053 at 1/1000 (0.5 μg/ml) dilution followed by ready to use Rabbit specific IHC polymer detection kit HRP/DAB (ab209101). Positive staining on Bowman's capsule of human kidney (PMID : 19875807). The section was incubated with ab278053 for 30 mins at room temperature. The immunostaining was performed on a Leica Biosystems BOND® RX instrument. Counterstained with Hematoxylin.

Secondary antibody only control : Secondary antibody is a ready to use Rabbit specific IHC polymer detection kit HRP/DAB (ab209101).

Heat mediated antigen retrieval with Tris-EDTA buffer (pH 9.0, epitope retrieval solution2) for 20 mins.

Flow Cytometry - Anti-CD133 antibody [RM1002] - Stem Cell Marker (AB278053)
  • Flow Cyt

Lab

Flow Cytometry - Anti-CD133 antibody [RM1002] - Stem Cell Marker (AB278053)

Flow cytometric analysis of HEK-293T (Human embryonic kidney epithelial cell, Left panel) / Caco-2 (Human colorectal adenocarcinoma epithelial cell, Right panel ) using ab278053 at 1/500 dilution (0.1μg) (Red). Mouse monoclonal IgG (Black) isotype control and an unlabelled control (cells without incubation with primary antibody and secondary antibody) (Blue). A Goat anti mouse IgG (Alexa Fluor® 488, ab150077) at 1/2000 dilution was used as the secondary antibody.

Negative control : HEK-293T. (PMID 20167130)
Gated on viable cells.

Immunohistochemistry (Frozen sections) - Anti-CD133 antibody [RM1002] - Stem Cell Marker (AB278053)
  • IHC-Fr

Lab

Immunohistochemistry (Frozen sections) - Anti-CD133 antibody [RM1002] - Stem Cell Marker (AB278053)

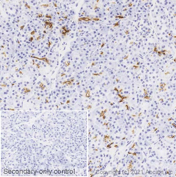
IHC image of CD133 staining in a section of frozen normal human tonsil* performed on a Leica BOND™ system using the standard protocol. The section was fixed in 10% paraformaldehyde (10 min) prior to staining. The section was incubated with ab278053, 1μg/ml, for 15 mins at room temperature and detected using an HRP conjugated compact polymer system. DAB was used as the chromogen. The section was then counterstained with haematoxylin and mounted with DPX. The inset secondary-only control image is taken from an identical assay without primary antibody.
For other IHC staining systems (automated and non-automated) customers should optimize variable parameters such as antigen retrieval conditions, primary antibody concentration and antibody incubation times.
*Tissue obtained from the Human Research Tissue Bank, supported by the NIHR Cambridge Biomedical Research Centre

Immunohistochemistry (Formalin/PFA-fixed paraffin-embedded sections) - Anti-CD133 antibody [RM1002] - Stem Cell Marker (AB278053)
  • IHC-P

Lab

Immunohistochemistry (Formalin/PFA-fixed paraffin-embedded sections) - Anti-CD133 antibody [RM1002] - Stem Cell Marker (AB278053)

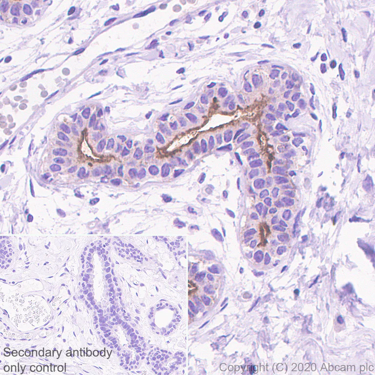
Immunohistochemical analysis of paraffin-embedded human mammary gland tissue labeling CD133 with ab278053 at 1/1000 (0.5 μg/ml) dilution followed by ready to use Rabbit specific IHC polymer detection kit HRP/DAB (ab209101). Apical staining on human mammary gland (PMID : 18261235). The section was incubated with ab278053 for 30 mins at room temperature. The immunostaining was performed on a Leica Biosystems BOND® RX instrument. Counterstained with Hematoxylin.

Secondary antibody only control : Secondary antibody is a ready to use Rabbit specific IHC polymer detection kit HRP/DAB (ab209101).

Heat mediated antigen retrieval with Tris-EDTA buffer (pH 9.0, epitope retrieval solution2) for 20 mins.

Immunohistochemistry (Formalin/PFA-fixed paraffin-embedded sections) - Anti-CD133 antibody [RM1002] - Stem Cell Marker (AB278053)
  • IHC-P

Supplier Data

Immunohistochemistry (Formalin/PFA-fixed paraffin-embedded sections) - Anti-CD133 antibody [RM1002] - Stem Cell Marker (AB278053)

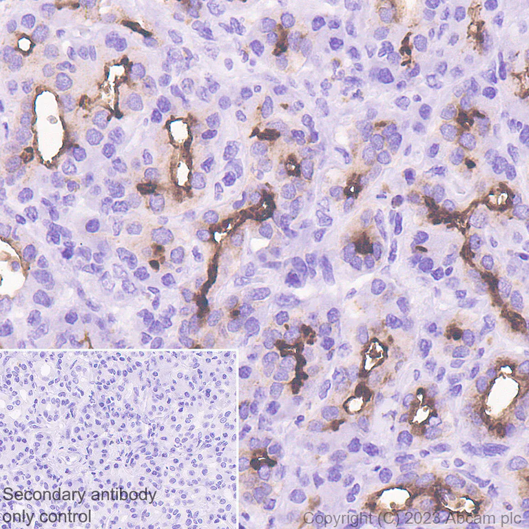
Immunohistochemical analysis of paraffin-embedded human pancreatic carcinoma tissue labelling CD133 with ab278053 at 1 : 1000 dilution (0.5 μg/ml), followed by a ready to use Rabbit specific IHC polymer detection kit HRP/DAB (ab209101). Positive staining on human pancreatic carcinoma is observed. The section was incubated with ab278053 for 30 mins at room temperature. The immunostaining was performed on a Leica Biosystems BOND® RX instrument. Counter stained with Hematoxylin. Secondary antibody only control : Used PBS instead of primary antibody, Secondary antibody is a ready to use Rabbit specific IHC polymer detection kit HRP/DAB (ab209101).

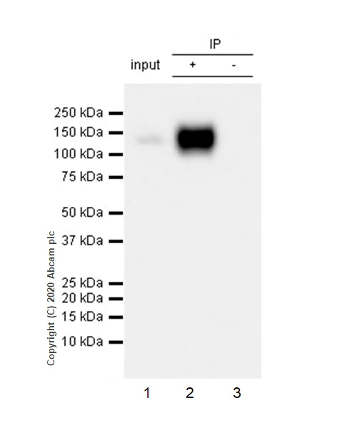
Immunoprecipitation - Anti-CD133 antibody [RM1002] - Stem Cell Marker (AB278053)
  • IP

Lab

Immunoprecipitation - Anti-CD133 antibody [RM1002] - Stem Cell Marker (AB278053)

CD133 was immunoprecipitated from 0.35 mg Caco-2 (Human colorectal adenocarcinoma epithelial cell) whole cell lysate with ab278053 at 1/30 dilution (2μg in 0.35mg lysates). Western blot was performed on the immunoprecipitate using ab278053 at 1/1000 dilution. VeriBlot for IP Detection Reagent (HRP)(ab131366) was used at 1/5000 dilution.

Lane 1 : Caco-2 whole cell lysate 10 μg.

Lane 2 : ab278053 IP in Caco-2 whole cell lysate.

Lane 3 : Rabbit monoclonal IgG (ab172730) instead of ab278053 in Caco-2 whole cell lysate.

Blocking and dilution buffer and concentration : 5% NFDM/TBST.

Exposure time : 3 seconds.

All lanes:

Immunoprecipitation - Anti-CD133 antibody [RM1002] - Stem Cell Marker (ab278053)

Predicted band size: 97 kDa

Observed band size: 120 kDa

false

Western blot - Anti-CD133 antibody [RM1002] - Stem Cell Marker (AB278053)
  • WB

Lab

Western blot - Anti-CD133 antibody [RM1002] - Stem Cell Marker (AB278053)

Blocking/Dilution buffer : 5% NFDM/TBST.

Negative control : HEK-293T (PMID 20167130).

The MW observed is consistent with the literature (PMID 20717901; PMID 18645205).

All lanes:

Western blot - Anti-CD133 antibody [RM1002] - Stem Cell Marker (ab278053) at 1/1000 dilution

Lane 1:

Caco-2 (Human colorectal adenocarcinoma epithelial cell) whole cell lysate at 20 µg

Lane 2:

HEK-293T (Human embryonic kidney epithelial cell) whole cell lysate at 20 µg

Lane 3:

NCCIT (Human pluripotent embryonic carcinoma epithelial cell) whole cell lysate at 20 µg

Lane 4:

HT-29 (Human colorectal adenocarcinoma epithelial cell) whole cell lysate at 20 µg

Secondary

All lanes:

Western blot - Goat Anti-Rabbit IgG H&L (HRP) (<a href='/en-us/products/secondary-antibodies/goat-rabbit-igg-h-l-hrp-ab97051'>ab97051</a>) at 1/100000 dilution

Predicted band size: 97 kDa

Observed band size: 120 kDa

false

Exposure time: 26s

Western blot - Anti-CD133 antibody [RM1002] - Stem Cell Marker (AB278053)
  • WB

Lab

Western blot - Anti-CD133 antibody [RM1002] - Stem Cell Marker (AB278053)

ab278053 was shown to react with PROM1 in wild-type HAP1 cells in western blot. Loss of signal was observed when PROM1 knockout sample was used. Membranes were blocked in 3 % milk in TBS-T (0.1 % Tween®) before incubation with ab278053 overnight at 4°C at a 1 in 1000 dilution. Blots were incubated with HRP conjugated Goat anti-Rabbit (H+L) secondary antibody at 1/5000 for 1 hour at room temperature before development with Optiblot ECL reagent (ab133456) and imaging.

All lanes:

Western blot - Anti-CD133 antibody [RM1002] - Stem Cell Marker (ab278053) at 1/1000 dilution

Lane 1:

Wild-type HAP1 cell lysate at 40 µg

Lane 2:

PROM1 knockout HAP1 cell lysate at 40 µg

Secondary

All lanes:

HRP conjugated Goat anti-Rabbit (H+L) at 1/5000 dilution

Predicted band size: 97 kDa

Observed band size: 120 kDa

false

Exposure time: 20s

  • Carrier free

    Anti-CD133 antibody [RM1002] - BSA and Azide free

Key facts

Host species

Rabbit

Clonality

Multiclonal

Clone number

RM1002

Isotype

IgG

Carrier free

No

Reacts with

Human

Applications

IHC-P, Flow Cyt, WB, IP

applications

Immunogen

The exact immunogen used to generate this antibody is proprietary information.

Reactivity data

{ "title": "Reactivity Data", "filters": { "stats": ["", "Species", "Dilution Info", "Notes"], "tabs": { "all-applications": {"fullname" : "All Applications", "shortname": "All Applications"}, "ICCIF" : {"fullname" : "Immunocytochemistry/ Immunofluorescence", "shortname":"ICC/IF"}, "IP" : {"fullname" : "Immunoprecipitation", "shortname":"IP"}, "FlowCyt" : {"fullname" : "Flow Cytometry", "shortname":"Flow Cyt"}, "WB" : {"fullname" : "Western blot", "shortname":"WB"}, "IHCFr" : {"fullname" : "Immunohistochemistry (Frozen sections)", "shortname":"IHC-Fr"}, "IHCP" : {"fullname" : "Immunohistochemistry (Formalin/PFA-fixed paraffin-embedded sections)", "shortname":"IHC-P"} }, "product-promise": { "all": "all", "testedAndGuaranteed": "tested", "guaranteed": "expected", "predicted": "predicted", "notRecommended": "not-recommended" } }, "values": { "Human": { "ICCIF-species-checked": "notRecommended", "ICCIF-species-dilution-info": "", "ICCIF-species-notes": "<p></p>", "IP-species-checked": "testedAndGuaranteed", "IP-species-dilution-info": "1/30", "IP-species-notes": "<p></p>", "FlowCyt-species-checked": "testedAndGuaranteed", "FlowCyt-species-dilution-info": "1/500", "FlowCyt-species-notes": "<p></p>", "WB-species-checked": "testedAndGuaranteed", "WB-species-dilution-info": "1/1000", "WB-species-notes": "<p></p>", "IHCFr-species-checked": "notRecommended", "IHCFr-species-dilution-info": "", "IHCFr-species-notes": "", "IHCP-species-checked": "testedAndGuaranteed", "IHCP-species-dilution-info": "1/1000", "IHCP-species-notes": "<p></p>" }, "Mouse": { "ICCIF-species-checked": "notRecommended", "ICCIF-species-dilution-info": "", "ICCIF-species-notes": "", "IP-species-checked": "notRecommended", "IP-species-dilution-info": "", "IP-species-notes": "<p></p>", "FlowCyt-species-checked": "notRecommended", "FlowCyt-species-dilution-info": "", "FlowCyt-species-notes": "<p></p>", "WB-species-checked": "notRecommended", "WB-species-dilution-info": "", "WB-species-notes": "<p></p>", "IHCFr-species-checked": "notRecommended", "IHCFr-species-dilution-info": "", "IHCFr-species-notes": "<p></p>", "IHCP-species-checked": "notRecommended", "IHCP-species-dilution-info": "", "IHCP-species-notes": "<p></p>" }, "Rat": { "ICCIF-species-checked": "notRecommended", "ICCIF-species-dilution-info": "", "ICCIF-species-notes": "", "IP-species-checked": "notRecommended", "IP-species-dilution-info": "", "IP-species-notes": "", "FlowCyt-species-checked": "notRecommended", "FlowCyt-species-dilution-info": "", "FlowCyt-species-notes": "", "WB-species-checked": "notRecommended", "WB-species-dilution-info": "", "WB-species-notes": "<p></p>", "IHCFr-species-checked": "notRecommended", "IHCFr-species-dilution-info": "", "IHCFr-species-notes": "", "IHCP-species-checked": "notRecommended", "IHCP-species-dilution-info": "", "IHCP-species-notes": "<p></p>" } } }

Product details

What are recombinant multiclonals?
Recombinant multiclonals are a mixture of recombinant antibodies co-expressed from a library of heavy and light chains. They offer several advantages including:

  • - The sensitivity of polyclonal antibodies by recognising multiple epitopes
  • - High batch-to-batch consistency and reproducibility
  • - Improved sensitivity and specificity
  • - Long-term security of supply
  • - Animal-free batch production

View our range of recombinant multiclonal antibodies.

Patented technology
Our RabMAb® technology is a patented hybridoma-based technology for making rabbit monoclonal antibodies. For details on our patents, please refer to RabMAb® patents.

Properties and storage information

Form
Liquid
Purification technique
Affinity purification Protein A
Storage buffer
Preservative: 0.01% Sodium azide Constituents: PBS, 40% Glycerol (glycerin, glycerine), 0.05% BSA
Shipped at conditions
Blue Ice
Appropriate short-term storage duration
1-2 weeks
Appropriate short-term storage conditions
+4°C
Appropriate long-term storage conditions
-20°C
Aliquoting information
Upon delivery aliquot
Storage information
Avoid freeze / thaw cycle

Supplementary information

This supplementary information is collated from multiple sources and compiled automatically.

CD133 also known as Prominin-1 is a transmembrane glycoprotein with a molecular weight of approximately 120 kDa. This protein stands out due to its expression in various stem and progenitor cells including those of the neural hematopoietic and epithelial lineages. CD133 is recognized for its distinct five transmembrane domains and two large extracellular loops. Researchers commonly use CD133 as a cell surface marker to identify stem and progenitor cells. The significance of CD133 extends to immunohistochemistry (IHC) and Western blot applications where it is a popular target for detection and analysis.
Biological function summary

CD133 is involved in maintaining the cellular architecture and signaling processes. It plays a role in cellular differentiation and proliferation while acting as a part of larger protein complexes on the cell surface. This protein is notable as it contributes significantly to the regulation of stem cell properties supporting the growth and repair in various tissues. Anti-CD133 antibodies are valuable tools in studying these functions due to their specificity in targeting this marker.

Pathways

CD133 participates in cellular signaling and transport pathways vital for intercellular communication and homeostasis. It interacts within pathways related to cell polarity and asymmetric division both essential for tissue development and maintenance. CD133 is associated with proteins like CD133/1 and CD133/2 which further highlights its involvement in these complex biological networks and on pathways such as the Wnt signaling pathway which regulates gene expression associated with cell proliferation and differentiation.

Several studies indicate a strong relationship between CD133 expression and certain cancers such as glioblastoma and colorectal cancer. In these cases CD133 serves not only as a marker but also as an indicator of the presence of cancer stem cells which are capable of tumor initiation and maintenance. Furthermore researchers have identified connections between CD133 and other proteins such as c-Met (cMab) within these pathological contexts suggesting interactions that could contribute to disease progression and offering potential targets for therapeutic intervention.

Product protocols

For this product, it's our understanding that no specific protocols are required. You can visit:

Target data

May play a role in cell differentiation, proliferation and apoptosis (PubMed : 24556617). Binds cholesterol in cholesterol-containing plasma membrane microdomains and may play a role in the organization of the apical plasma membrane in epithelial cells. During early retinal development acts as a key regulator of disk morphogenesis. Involved in regulation of MAPK and Akt signaling pathways. In neuroblastoma cells suppresses cell differentiation such as neurite outgrowth in a RET-dependent manner (PubMed : 20818439).
See full target information PROM1

Publications (12)

Recent publications for all applications. Explore the full list and refine your search

Theranostics 15:9819-9837 PubMed41041071

2025

Endothelial cell-derived SDF-1α elicits stemness traits of glioblastoma dual-regulation of GLI1.

Applications

Unspecified application

Species

Unspecified reactive species

Ye Yuan,Xudong Liu,Liwen Kuang,Shixue Yang,Lihong Wang,Jiao Wang,Sen Wei,Zexuan Yan,Qinghua Ma,Juan Lei,Yu Zhou,Yu Chen,Jiongming Chen,Tao Luo,Kaidi Yang,Mengsi Zhang,Yongsheng Li

Communications biology 8:1209 PubMed40804340

2025

rTMS ameliorates cerebral ischemia-reperfusion injury by inhibiting Golgi apparatus stress through epigenetic modulation of Gli2.

Applications

Unspecified application

Species

Unspecified reactive species

Chunjiao Zhu,Yongmei Fan,Wenna Peng

Cell death discovery 10:103 PubMed38418476

2024

CREB5 promotes the proliferation and self-renewal ability of glioma stem cells.

Applications

Unspecified application

Species

Unspecified reactive species

Hyun-Jin Kim,Hye-Min Jeon,Don Carlo Batara,Seongsoo Lee,Suk Jun Lee,Jinlong Yin,Sang-Ik Park,Minha Park,Jong Bae Seo,Jinik Hwang,Young Joon Oh,Sung-Suk Suh,Sung-Hak Kim

Neoplasma 70:610-620 PubMed38053378

2023

MCM2 promotes the stemness of endometrial cancer cells via the Akt/β-catenin pathway.

Applications

Unspecified application

Species

Unspecified reactive species

Yuening Chu,Xiaoting Jin,Xiaoqing Guo

Acta biochimica et biophysica Sinica 56:129-139 PubMed37674363

2023

ELF4 contributes to esophageal squamous cell carcinoma growth and metastasis by augmenting cancer stemness via FUT9.

Applications

Unspecified application

Species

Unspecified reactive species

Aiping Xu,Mingchuang Sun,Zhaoxing Li,Yuan Chu,Kang Fang,Yunwei Zhang,Jingjing Lian,Li Zhang,Tao Chen,Meidong Xu

Frontiers in bioengineering and biotechnology 11:1154986 PubMed37101749

2023

A small-diameter vascular graft immobilized peptides for capturing endothelial colony-forming cells.

Applications

Unspecified application

Species

Unspecified reactive species

Yaqi Tang,Lu Yin,Shuai Gao,Xiaojing Long,Zhanhui Du,Yingchao Zhou,Shuiyan Zhao,Yue Cao,Silin Pan

International journal of molecular sciences 24: PubMed36902421

2023

Resveratrol Modulates Chemosensitisation to 5-FU via β1-Integrin/HIF-1α Axis in CRC Tumor Microenvironment.

Applications

Unspecified application

Species

Unspecified reactive species

Aranka Brockmueller,Sosmitha Girisa,Ajaikumar B Kunnumakkara,Mehdi Shakibaei

Journal of clinical medicine 12: PubMed36769824

2023

miR-197-3p Promotes Osteosarcoma Stemness and Chemoresistance by Inhibiting SPOPL.

Applications

Unspecified application

Species

Unspecified reactive species

Jingyong Zhang,Shubao Wang,Yang Bai,Aasi Mohammad Ali,Jiewen Deng,Yushi Chen,Yonghui Fu,Ming He

Biomolecules 12: PubMed36551172

2022

Evaluation of B7-H3 Targeted Immunotherapy in a 3D Organoid Model of Craniopharyngioma.

Applications

Unspecified application

Species

Unspecified reactive species

Mei Tang,Caili Chen,Guoqing Wang,Yuelong Wang,Zongliang Zhang,Hexian Li,Qizhong Lu,Zeng Wang,Shasha Zhao,Chen Yang,Kunhong Zhong,Ruyuan Zhang,Liping Guo,Zhu Yuan,Chunlai Nie,Aiping Tong

NPJ breast cancer 8:115 PubMed36309503

2022

LINC00589-dominated ceRNA networks regulate multiple chemoresistance and cancer stem cell-like properties in HER2 breast cancer.

Applications

Unspecified application

Species

Unspecified reactive species

Wendong Bai,Hongyan Peng,Jiarui Zhang,Yongmei Zhao,Zhijun Li,Xuelian Feng,Jiang Zhang,Fei Liang,Li Wang,Nan Zhang,Yize Li,Huayu Zhu,Qiuhe Ji
View all publications

Product promise

We are committed to supporting your work with high-quality reagents, and we're here for you every step of the way. In the unlikely event that one of our products does not perform as expected, you're protected by our Product Promise.
For full details, please see our Terms & Conditions

Please note: All products are 'FOR RESEARCH USE ONLY. NOT FOR USE IN DIAGNOSTIC OR THERAPEUTIC PROCEDURES'.

For licensing inquiries, please contact partnerships@abcam.com