JavaScript is disabled in your browser. Please enable JavaScript to view this website.
AB229021

Anti-CD134 / OX40L receptor antibody [EPR22229-5]

5

(1 Review)

|

(5 Publications)

Rabbit Recombinant Monoclonal CD134 / OX40L receptor antibody. Suitable for IP, Flow Cyt, WB, IHC-P and reacts with Rat, Mouse samples. Cited in 5 publications.

View Alternative Names

CD134, Ox40, Txgp1, Tnfrsf4, Tumor necrosis factor receptor superfamily member 4, OX40 antigen, OX40L receptor

6 Images
Flow Cytometry - Anti-CD134 / OX40L receptor antibody [EPR22229-5] (AB229021)
  • Flow Cyt

Supplier Data

Flow Cytometry - Anti-CD134 / OX40L receptor antibody [EPR22229-5] (AB229021)

Flow cytometric analysis of rat primary splenocytes treated with 2.5μg/ml concanavalin A for 72h labeling CD134 / OX40L with ab229021 at 1/500 dilution (Right) compared to cells stained with Alexa Fluor® 647-conjugated CD3 and rabbit IgG (Left). Goat Anti-Rabbit IgG H&L (Alexa Fluor® 488) (ab150077) was used as the secondary antibody at 1/2000 dilution.

Data shown were gated on viable cells.

Flow Cytometry - Anti-CD134 / OX40L receptor antibody [EPR22229-5] (AB229021)
  • Flow Cyt

Supplier Data

Flow Cytometry - Anti-CD134 / OX40L receptor antibody [EPR22229-5] (AB229021)

Flow cytometric analysis of mouse primary splenocytes treated with 2.5μg/ml concanavalin A for 72h labeling CD134 / OX40L with ab229021 at 1/500 dilution (Right) compared to cells stained with Alexa Fluor® 647-conjugated CD3 and rabbit IgG (Left). Goat Anti-Rabbit IgG H&L (Alexa Fluor® 488) (ab150077) was used as the secondary antibody at 1/2000 dilution.

Data shown were gated on viable cells.

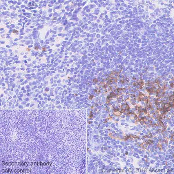
Immunohistochemistry (Formalin/PFA-fixed paraffin-embedded sections) - Anti-CD134 / OX40L receptor antibody [EPR22229-5] (AB229021)
  • IHC-P

Supplier Data

Immunohistochemistry (Formalin/PFA-fixed paraffin-embedded sections) - Anti-CD134 / OX40L receptor antibody [EPR22229-5] (AB229021)

Immunohistochemical analysis of paraffin-embedded rat spleen tissue labeling CD134 / OX40L using ab229021 at 1/1000 dilution, followed by Goat Anti-Rabbit IgG H&L (HRP) Ready to use. Positive staining on T cells in rat spleen (PMID : 15259024; PMID : 10233901). Counterstained with Hematoxylin.

Secondary antibody only control : Used PBS instead of primary antibody, secondary antibody is Goat Anti-Rabbit IgG H&L (HRP) Ready to use.

Heat mediated antigen retrieval with Tris-EDTA buffer (pH 9.0, epitope retrieval solution 2) for 10mins.

The section was incubated with ab229021 for 10 mins at 37℃. The immunostaining staining was performed on a Leica Biosystems BOND® RX instrument.

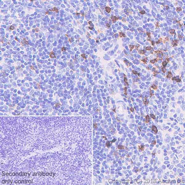
Immunohistochemistry (Formalin/PFA-fixed paraffin-embedded sections) - Anti-CD134 / OX40L receptor antibody [EPR22229-5] (AB229021)
  • IHC-P

Supplier Data

Immunohistochemistry (Formalin/PFA-fixed paraffin-embedded sections) - Anti-CD134 / OX40L receptor antibody [EPR22229-5] (AB229021)

Immunohistochemical analysis of paraffin-embedded mouse spleen tissue labeling CD134 / OX40L using ab229021 at 1/1000 dilution, followed by Goat Anti-Rabbit IgG H&L (HRP) Ready to use. Positive staining on T cells in periarterial lymphatic sheath of mouse spleen (PMID : 15259024; PMID : 10233901). Counterstained with Hematoxylin.

Secondary antibody only control : Used PBS instead of primary antibody, secondary antibody is Goat Anti-Rabbit IgG H&L (HRP) Ready to use.

Heat mediated antigen retrieval with Tris-EDTA buffer (pH 9.0, epitope retrieval solution 2) for 10mins.

The section was incubated with ab229021 for 10 mins at 37℃. The immunostaining staining was performed on a Leica Biosystems BOND® RX instrument.

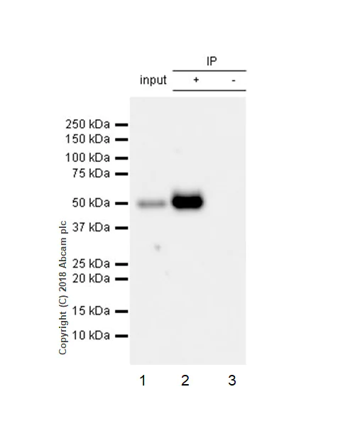
Immunoprecipitation - Anti-CD134 / OX40L receptor antibody [EPR22229-5] (AB229021)
  • IP

Unknown

Immunoprecipitation - Anti-CD134 / OX40L receptor antibody [EPR22229-5] (AB229021)

CD134 / OX40L was immunoprecipitated from 0.35 mg rat splenocytes treated with 2.5μg/ml concanavalin A for 72h lysate using ab229021 at 1/30 dilution. Western blot was performed on the immunoprecipitate using ab229021 at 1/1000 dilution. VeriBlot for IP Detection Reagent (HRP) (ab131366) was used for detection at a 1/5000 dilution.

Lane 1 : Rat splenocytes treated with 2.5μg/ml concanavalin A for 72h lysate 10 μg (input)
Lane 2 : ab229021 IP in Rat splenocytes treated with 2.5μg/ml concanavalin A for 72h lysate.
Lane 3 : Rabbit monoclonal IgG (ab172730) instead of ab229021 in Rat splenocytes treated with 2.5μg/ml concanavalin A for 72h lysate.

Blocking and dilution buffer and concentration : 5% NFDM/TBST.
Exposure time : 20 seconds.

All lanes:

Immunoprecipitation - Anti-CD134 / OX40L receptor antibody [EPR22229-5] (ab229021)

Predicted band size: 29 kDa

false

Western blot - Anti-CD134 / OX40L receptor antibody [EPR22229-5] (AB229021)
  • WB

Supplier Data

Western blot - Anti-CD134 / OX40L receptor antibody [EPR22229-5] (AB229021)

Blocking/Diluting buffer and concentration : 5% NFDM/TBST

CD134 / OX40L is a glycosylated protein and its expression is increased after concanavalin A treatment. PMID 23897980; PMID 17609274

All lanes:

Western blot - Anti-CD134 / OX40L receptor antibody [EPR22229-5] (ab229021) at 1/1000 dilution

Lane 1:

Untreated mouse splenocytes lysate at 20 µg

Lane 2:

Mouse splenocytes treated with 2.5ug/ml concanavalin A for 72h lysate at 20 µg

Lane 3:

Untreated rat splenocytes lysate at 20 µg

Lane 4:

Rat splenocytes treated with 2.5ug/ml concanavalin A for 72h lysate at 20 µg

Secondary

All lanes:

Western blot - Goat Anti-Rabbit IgG H&L (HRP) (<a href='/en-us/products/secondary-antibodies/goat-rabbit-igg-h-l-hrp-ab97051'>ab97051</a>) at 1/100000 dilution

Predicted band size: 29 kDa

Observed band size: 50 kDa

false

Exposure time: 3min

  • Carrier free

    Anti-CD134 / OX40L receptor antibody [EPR22229-5] - BSA and Azide free

Key facts

Host species

Rabbit

Clonality

Monoclonal

Clone number

EPR22229-5

Isotype

IgG

Carrier free

No

Reacts with

Mouse, Rat

Applications

IP, WB, Flow Cyt, IHC-P

applications

Immunogen

The exact immunogen used to generate this antibody is proprietary information.

Reactivity data

{ "title": "Reactivity Data", "filters": { "stats": ["", "Species", "Dilution Info", "Notes"], "tabs": { "all-applications": {"fullname" : "All Applications", "shortname": "All Applications"}, "IP" : {"fullname" : "Immunoprecipitation", "shortname":"IP"}, "FlowCyt" : {"fullname" : "Flow Cytometry", "shortname":"Flow Cyt"}, "WB" : {"fullname" : "Western blot", "shortname":"WB"}, "ICCIF" : {"fullname" : "Immunocytochemistry/ Immunofluorescence", "shortname":"ICC/IF"}, "IHCFr" : {"fullname" : "Immunohistochemistry (Frozen sections)", "shortname":"IHC-Fr"}, "IHCP" : {"fullname" : "Immunohistochemistry (Formalin/PFA-fixed paraffin-embedded sections)", "shortname":"IHC-P"} }, "product-promise": { "all": "all", "testedAndGuaranteed": "tested", "guaranteed": "expected", "predicted": "predicted", "notRecommended": "not-recommended" } }, "values": { "Mouse": { "IP-species-checked": "guaranteed", "IP-species-dilution-info": "", "IP-species-notes": "", "FlowCyt-species-checked": "testedAndGuaranteed", "FlowCyt-species-dilution-info": "1/500", "FlowCyt-species-notes": "<p></p>", "WB-species-checked": "testedAndGuaranteed", "WB-species-dilution-info": "1/1000", "WB-species-notes": "<p></p>", "ICCIF-species-checked": "notRecommended", "ICCIF-species-dilution-info": "", "ICCIF-species-notes": "<p></p>", "IHCFr-species-checked": "notRecommended", "IHCFr-species-dilution-info": "", "IHCFr-species-notes": "<p></p>", "IHCP-species-checked": "testedAndGuaranteed", "IHCP-species-dilution-info": "1/1000", "IHCP-species-notes": "<p></p>" }, "Rat": { "IP-species-checked": "testedAndGuaranteed", "IP-species-dilution-info": "1/30", "IP-species-notes": "<p></p>", "FlowCyt-species-checked": "testedAndGuaranteed", "FlowCyt-species-dilution-info": "1/500", "FlowCyt-species-notes": "<p></p>", "WB-species-checked": "testedAndGuaranteed", "WB-species-dilution-info": "1/1000", "WB-species-notes": "<p></p>", "ICCIF-species-checked": "notRecommended", "ICCIF-species-dilution-info": "", "ICCIF-species-notes": "<p></p>", "IHCFr-species-checked": "notRecommended", "IHCFr-species-dilution-info": "", "IHCFr-species-notes": "<p></p>", "IHCP-species-checked": "testedAndGuaranteed", "IHCP-species-dilution-info": "1/1000", "IHCP-species-notes": "<p></p>" } } }

Product details

Patented technology
Our RabMAb® technology is a patented hybridoma-based technology for making rabbit monoclonal antibodies. For details on our patents, please refer to RabMAb® patents.

What are the advantages of a recombinant monoclonal antibody?
This product is a recombinant monoclonal antibody, which offers several advantages including:

  • - High batch-to-batch consistency and reproducibility
  • - Improved sensitivity and specificity
  • - Long-term security of supply
  • - Animal-free batch production

For more information, read more on recombinant antibodies.

Properties and storage information

Form
Liquid
Purification technique
Affinity purification Protein A
Storage buffer
pH: 7.2 - 7.4 Preservative: 0.01% Sodium azide Constituents: PBS, 40% Glycerol (glycerin, glycerine), 0.05% BSA
Shipped at conditions
Blue Ice
Appropriate short-term storage duration
1-2 weeks
Appropriate short-term storage conditions
+4°C
Appropriate long-term storage conditions
-20°C
Aliquoting information
Upon delivery aliquot
Storage information
Avoid freeze / thaw cycle

Supplementary information

This supplementary information is collated from multiple sources and compiled automatically.

CD134 also known as OX40 or TNFRSF4 is a receptor that plays an essential role in immune response regulation. This receptor is part of the tumor necrosis factor receptor (TNFR) superfamily and has a molecular mass of approximately 50 kDa. CD134 is expressed on activated T cells particularly CD4+ T cells and is present on various other immune cells under specific conditions. The receptor binds to the OX40L its ligand which is expressed on antigen-presenting cells such as dendritic cells and B cells.
Biological function summary

CD134 influences T cell proliferation survival and memory formation being an important component of the immune system's adaptive response. OX40L engagement with CD134 enhances the activation and survival of T cells promoting long-term immunity. This interaction does not form part of a larger complex but functions as a direct signaling mechanism that augments T cell receptor (TCR) signaling leading to increased cytokine production and sustained immune responses essential for controlling infections and cancer.

Pathways

CD134 signaling intersects with the nuclear factor-kappa B (NF-κB) and phosphoinositide 3-kinase (PI3K) pathways. These pathways play significant roles in regulating immune responses and cell survival. Through the NF-κB pathway CD134 influences gene transcription related to immune activation. It also connects with other immune regulatory proteins such as CD28 which further potentiates T cell responses and enhances effector functions.

CD134 has connections to autoimmune diseases and cancers. Overactivity of the CD134-OX40L pathway can lead to exacerbated autoimmune conditions such as lupus. This receptor has also been implicated in tumor immunity where its activation enhances the anti-tumor response of T cells. CD134 interacts with CTLA-4 another immune checkpoint protein playing a role in balancing immune activation and regulation within these disease contexts.

Product protocols

For this product, it's our understanding that no specific protocols are required. You can visit:

Target data

Receptor for TNFSF4/OX40L/GP34. Is a costimulatory molecule implicated in long-term T-cell immunity (By similarity).
See full target information Tnfrsf4

Publications (5)

Recent publications for all applications. Explore the full list and refine your search

Discover oncology 16:1045 PubMed40493100

2025

Multi-omics analysis of tumor necrosis factor superfamily 4 reveals its prognostic value with T cell exhaustion feature in cancer.

Applications

Unspecified application

Species

Unspecified reactive species

Kai Lei,Weiqing Chen,Anqi Wang,Anyu Zeng,Yun Ding,Tianqi Luo,Qi Zhou

Advanced materials (Deerfield Beach, Fla.) 36:e2311420 PubMed38157492

2024

Comparative Proteomics Inspired Self-Stimulated Release Hydrogel Reinforces the Therapeutic Effects of MSC-EVs on Alzheimer's Disease.

Applications

Unspecified application

Species

Unspecified reactive species

Meng Huang,Mengna Zheng,Qingxiang Song,Xinyi Ma,Qian Zhang,Huan Chen,Gan Jiang,Songlei Zhou,Hongzhuan Chen,Gang Wang,Chengxiang Dai,Suke Li,Ping Li,Hao Wang,Ao Zhang,Yukun Huang,Jun Chen,Xiaoling Gao

BMC pharmacology & toxicology 23:16 PubMed35313999

2022

Lentinan alleviates arsenic-induced hepatotoxicity in mice via downregulation of OX40/IL-17A and activation of Nrf2 signaling.

Applications

Unspecified application

Species

Unspecified reactive species

Yuan Yang,Shuang Song,Yuanyuan Nie,Rong Chen,Peng Chen

Molecular therapy. Nucleic acids 26:987-996 PubMed34760340

2021

Smart exosomes with lymph node homing and immune-amplifying capacities for enhanced immunotherapy of metastatic breast cancer.

Applications

Unspecified application

Species

Unspecified reactive species

Panpan Ji,Zheng Yang,Hua Li,Mengying Wei,Guodong Yang,Helin Xing,Qiuyun Li

Journal of controlled release : official journal of the Controlled Release Society 330:1080-1094 PubMed33189786

2020

Development of thermosensitive resiquimod-loaded liposomes for enhanced cancer immunotherapy.

Applications

Unspecified application

Species

Unspecified reactive species

Hua Zhang,Wei-Lun Tang,Azadeh Kheirolomoom,Brett Z Fite,Bo Wu,Kenneth Lau,Mo Baikoghli,Marina Nura Raie,Spencer K Tumbale,Josquin Foiret,Elizabeth S Ingham,Lisa M Mahakian,Sarah M Tam,R Holland Cheng,Alexander D Borowsky,Katherine W Ferrara
View all publications

Product promise

We are committed to supporting your work with high-quality reagents, and we're here for you every step of the way. In the unlikely event that one of our products does not perform as expected, you're protected by our Product Promise.
For full details, please see our Terms & Conditions

Please note: All products are 'FOR RESEARCH USE ONLY. NOT FOR USE IN DIAGNOSTIC OR THERAPEUTIC PROCEDURES'.

For licensing inquiries, please contact partnerships@abcam.com