JavaScript is disabled in your browser. Please enable JavaScript to view this website.
AB242024

Anti-CD134 / OX40L receptor antibody [EPR22229-5] - BSA and Azide free

Be the first to review this product! Submit a review

|

(1 Publication)

Rabbit Recombinant Monoclonal CD134 / OX40L receptor antibody. Carrier free. Suitable for IP, Flow Cyt, WB, IHC-P and reacts with Rat, Mouse samples. Cited in 1 publication.

View Alternative Names

CD134, Ox40, Txgp1, Tnfrsf4, Tumor necrosis factor receptor superfamily member 4, OX40 antigen, OX40L receptor

5 Images
Flow Cytometry - Anti-CD134 / OX40L receptor antibody [EPR22229-5] - BSA and Azide free (AB242024)
  • Flow Cyt

Supplier Data

Flow Cytometry - Anti-CD134 / OX40L receptor antibody [EPR22229-5] - BSA and Azide free (AB242024)

Flow cytometric analysis of rat primary splenocytes treated with 2.5μg/ml concanavalin A for 72h labeling CD134 / OX40L with ab229021 at 1/500 dilution (Right) compared to cells stained with Alexa Fluor® 647-conjugated CD3 and rabbit IgG (Left). Goat Anti-Rabbit IgG H&L (Alexa Fluor® 488) (ab150077) was used as the secondary antibody at 1/2000 dilution.

Data shown were gated on viable cells.

This data was developed using the same antibody clone in a different buffer formulation containing PBS, BSA, glycerol, and sodium azide (ab229021).

Flow Cytometry - Anti-CD134 / OX40L receptor antibody [EPR22229-5] - BSA and Azide free (AB242024)
  • Flow Cyt

Supplier Data

Flow Cytometry - Anti-CD134 / OX40L receptor antibody [EPR22229-5] - BSA and Azide free (AB242024)

Flow cytometric analysis of mouse primary splenocytes treated with 2.5μg/ml concanavalin A for 72h labeling CD134 / OX40L with ab229021 at 1/500 dilution (Right) compared to cells stained with Alexa Fluor® 647-conjugated CD3 and rabbit IgG (Left). Goat Anti-Rabbit IgG H&L (Alexa Fluor® 488) (ab150077) was used as the secondary antibody at 1/2000 dilution.

Data shown were gated on viable cells.

This data was developed using the same antibody clone in a different buffer formulation containing PBS, BSA, glycerol, and sodium azide (ab229021).

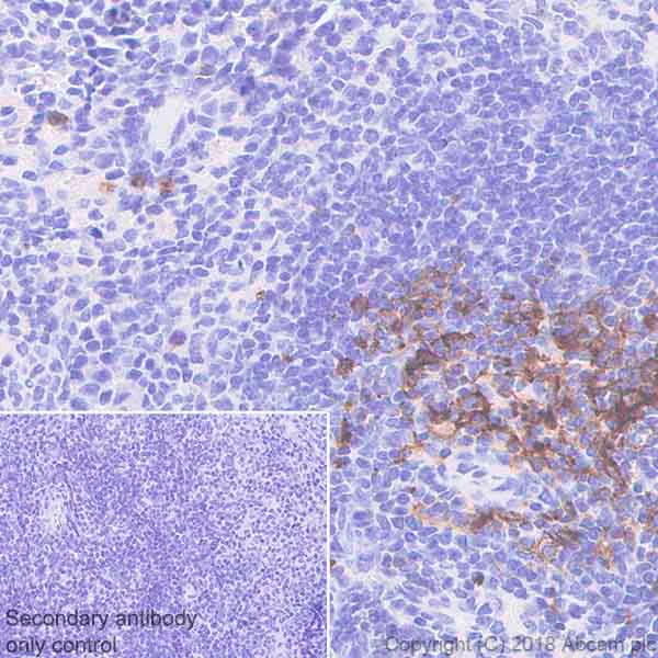
Immunohistochemistry (Formalin/PFA-fixed paraffin-embedded sections) - Anti-CD134 / OX40L receptor antibody [EPR22229-5] - BSA and Azide free (AB242024)
  • IHC-P

Supplier Data

Immunohistochemistry (Formalin/PFA-fixed paraffin-embedded sections) - Anti-CD134 / OX40L receptor antibody [EPR22229-5] - BSA and Azide free (AB242024)

Immunohistochemical analysis of paraffin-embedded rat spleen tissue labeling CD134 / OX40L using ab229021 at 1/1000 dilution, followed by Goat Anti-Rabbit IgG H&L (HRP) Ready to use. Positive staining on T cells in rat spleen (PMID : 15259024; PMID : 10233901). Counterstained with Hematoxylin.

Secondary antibody only control : Used PBS instead of primary antibody, secondary antibody is Goat Anti-Rabbit IgG H&L (HRP) Ready to use.

Heat mediated antigen retrieval with Tris-EDTA buffer (pH 9.0, epitope retrieval solution 2) for 10mins.

The section was incubated with ab229021 for 10 mins at 37℃. The immunostaining staining was performed on a Leica Biosystems BOND® RX instrument.

This data was developed using the same antibody clone in a different buffer formulation containing PBS, BSA, glycerol, and sodium azide (ab229021).

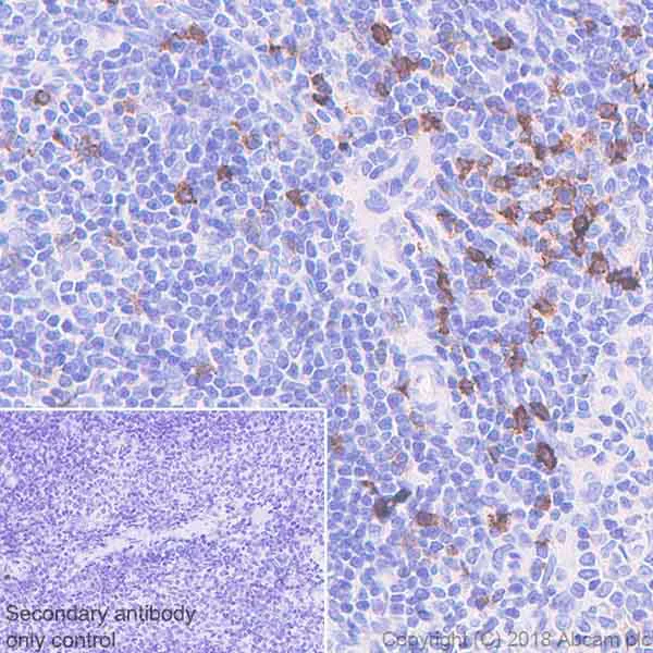
Immunohistochemistry (Formalin/PFA-fixed paraffin-embedded sections) - Anti-CD134 / OX40L receptor antibody [EPR22229-5] - BSA and Azide free (AB242024)
  • IHC-P

Supplier Data

Immunohistochemistry (Formalin/PFA-fixed paraffin-embedded sections) - Anti-CD134 / OX40L receptor antibody [EPR22229-5] - BSA and Azide free (AB242024)

Immunohistochemical analysis of paraffin-embedded mouse spleen tissue labeling CD134 / OX40L using ab229021 at 1/1000 dilution, followed by Goat Anti-Rabbit IgG H&L (HRP) Ready to use. Positive staining on T cells in periarterial lymphatic sheath of mouse spleen (PMID : 15259024; PMID : 10233901). Counterstained with Hematoxylin.

Secondary antibody only control : Used PBS instead of primary antibody, secondary antibody is Goat Anti-Rabbit IgG H&L (HRP) Ready to use.

Heat mediated antigen retrieval with Tris-EDTA buffer (pH 9.0, epitope retrieval solution 2) for 10mins.

The section was incubated with ab229021 for 10 mins at 37℃. The immunostaining staining was performed on a Leica Biosystems BOND® RX instrument.

This data was developed using the same antibody clone in a different buffer formulation containing PBS, BSA, glycerol, and sodium azide (ab229021).

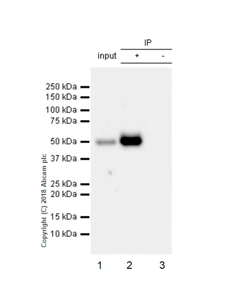
Immunoprecipitation - Anti-CD134 / OX40L receptor antibody [EPR22229-5] - BSA and Azide free (AB242024)
  • IP

Unknown

Immunoprecipitation - Anti-CD134 / OX40L receptor antibody [EPR22229-5] - BSA and Azide free (AB242024)

CD134 / OX40L was immunoprecipitated from 0.35 mg rat splenocytes treated with 2.5μg/ml concanavalin A for 72h lysate using ab229021 at 1/30 dilution. Western blot was performed on the immunoprecipitate using ab229021 at 1/1000 dilution. VeriBlot for IP Detection Reagent (HRP) (ab131366) was used for detection at a 1/5000 dilution.

Lane 1 : Rat splenocytes treated with 2.5μg/ml concanavalin A for 72h lysate 10 μg (input)
Lane 2 : ab229021 IP in Rat splenocytes treated with 2.5μg/ml concanavalin A for 72h lysate.
Lane 3 : Rabbit monoclonal IgG (ab172730) instead of ab229021 in Rat splenocytes treated with 2.5μg/ml concanavalin A for 72h lysate.

Blocking and dilution buffer and concentration : 5% NFDM/TBST.
Exposure time : 20 seconds.

This data was developed using the same antibody clone in a different buffer formulation containing PBS, BSA, glycerol, and sodium azide (ab229021).

All lanes:

Immunoprecipitation - Anti-CD134 / OX40L receptor antibody [EPR22229-5] (<a href='/en-us/products/primary-antibodies/cd134-ox40l-receptor-antibody-epr22229-5-ab229021'>ab229021</a>)

Predicted band size: 29 kDa

false

  • Unconjugated

    Anti-CD134 / OX40L receptor antibody [EPR22229-5]

Key facts

Host species

Rabbit

Clonality

Monoclonal

Clone number

EPR22229-5

Isotype

IgG

Carrier free

Yes

Reacts with

Mouse, Rat

Applications

WB, IP, IHC-P, Flow Cyt

applications

Immunogen

The exact immunogen used to generate this antibody is proprietary information.

Reactivity data

{ "title": "Reactivity Data", "filters": { "stats": ["", "Species", "Dilution Info", "Notes"], "tabs": { "all-applications": {"fullname" : "All Applications", "shortname": "All Applications"}, "IP" : {"fullname" : "Immunoprecipitation", "shortname":"IP"}, "FlowCyt" : {"fullname" : "Flow Cytometry", "shortname":"Flow Cyt"}, "WB" : {"fullname" : "Western blot", "shortname":"WB"}, "ICCIF" : {"fullname" : "Immunocytochemistry/ Immunofluorescence", "shortname":"ICC/IF"}, "IHCFr" : {"fullname" : "Immunohistochemistry (Frozen sections)", "shortname":"IHC-Fr"}, "IHCP" : {"fullname" : "Immunohistochemistry (Formalin/PFA-fixed paraffin-embedded sections)", "shortname":"IHC-P"} }, "product-promise": { "all": "all", "testedAndGuaranteed": "tested", "guaranteed": "expected", "predicted": "predicted", "notRecommended": "not-recommended" } }, "values": { "Mouse": { "IP-species-checked": "guaranteed", "IP-species-dilution-info": "", "IP-species-notes": "", "FlowCyt-species-checked": "testedAndGuaranteed", "FlowCyt-species-dilution-info": "", "FlowCyt-species-notes": "<p></p>", "WB-species-checked": "guaranteed", "WB-species-dilution-info": "", "WB-species-notes": "<p></p>", "ICCIF-species-checked": "notRecommended", "ICCIF-species-dilution-info": "", "ICCIF-species-notes": "<p></p>", "IHCFr-species-checked": "notRecommended", "IHCFr-species-dilution-info": "", "IHCFr-species-notes": "<p></p>", "IHCP-species-checked": "guaranteed", "IHCP-species-dilution-info": "", "IHCP-species-notes": "" }, "Rat": { "IP-species-checked": "testedAndGuaranteed", "IP-species-dilution-info": "", "IP-species-notes": "<p></p>", "FlowCyt-species-checked": "guaranteed", "FlowCyt-species-dilution-info": "", "FlowCyt-species-notes": "", "WB-species-checked": "guaranteed", "WB-species-dilution-info": "", "WB-species-notes": "<p></p>", "ICCIF-species-checked": "notRecommended", "ICCIF-species-dilution-info": "", "ICCIF-species-notes": "<p></p>", "IHCFr-species-checked": "notRecommended", "IHCFr-species-dilution-info": "", "IHCFr-species-notes": "<p></p>", "IHCP-species-checked": "testedAndGuaranteed", "IHCP-species-dilution-info": "", "IHCP-species-notes": "<p></p>" } } }

Product details

ab242024 is the carrier-free version of ab229021.

Patented technology
Our RabMAb® technology is a patented hybridoma-based technology for making rabbit monoclonal antibodies. For details on our patents, please refer to RabMAb® patents.

What are the advantages of a recombinant monoclonal antibody?
This product is a recombinant monoclonal antibody, which offers several advantages including:

  • - High batch-to-batch consistency and reproducibility
  • - Improved sensitivity and specificity
  • - Long-term security of supply
  • - Animal-free batch production

For more information, read more on recombinant antibodies.

Conjugation ready
Our carrier-free antibodies are typically supplied in a PBS-only formulation, purified and free of BSA, sodium azide and glycerol. This conjugation-ready format is designed for use with fluorochromes, metal isotopes, oligonucleotides, and enzymes, which makes them ideal for antibody labelling, functional and cell-based assays, flow-based assays (e.g. mass cytometry) and Multiplex Imaging applications.

Use our conjugation kits for antibody conjugates that are ready-to-use in as little as 20 minutes with 1 minute hands-on-time and 100% antibody recovery: available for fluorescent dyes, HRP, biotin and gold.

Compatibility
This product is compatible with the Maxpar® Antibody Labeling Kit from Fluidigm, without the need for antibody preparation. Maxpar® is a trademark of Fluidigm Canada Inc.

Properties and storage information

Form
Liquid
Purification technique
Affinity purification Protein A
Storage buffer
pH: 7.2 - 7.4 Constituents: PBS
Shipped at conditions
Blue Ice
Appropriate short-term storage conditions
+4°C
Appropriate long-term storage conditions
+4°C
Storage information
Do Not Freeze

Supplementary information

This supplementary information is collated from multiple sources and compiled automatically.

CD134 also known as OX40 or TNFRSF4 is a receptor that plays an essential role in immune response regulation. This receptor is part of the tumor necrosis factor receptor (TNFR) superfamily and has a molecular mass of approximately 50 kDa. CD134 is expressed on activated T cells particularly CD4+ T cells and is present on various other immune cells under specific conditions. The receptor binds to the OX40L its ligand which is expressed on antigen-presenting cells such as dendritic cells and B cells.
Biological function summary

CD134 influences T cell proliferation survival and memory formation being an important component of the immune system's adaptive response. OX40L engagement with CD134 enhances the activation and survival of T cells promoting long-term immunity. This interaction does not form part of a larger complex but functions as a direct signaling mechanism that augments T cell receptor (TCR) signaling leading to increased cytokine production and sustained immune responses essential for controlling infections and cancer.

Pathways

CD134 signaling intersects with the nuclear factor-kappa B (NF-κB) and phosphoinositide 3-kinase (PI3K) pathways. These pathways play significant roles in regulating immune responses and cell survival. Through the NF-κB pathway CD134 influences gene transcription related to immune activation. It also connects with other immune regulatory proteins such as CD28 which further potentiates T cell responses and enhances effector functions.

CD134 has connections to autoimmune diseases and cancers. Overactivity of the CD134-OX40L pathway can lead to exacerbated autoimmune conditions such as lupus. This receptor has also been implicated in tumor immunity where its activation enhances the anti-tumor response of T cells. CD134 interacts with CTLA-4 another immune checkpoint protein playing a role in balancing immune activation and regulation within these disease contexts.

Product protocols

For this product, it's our understanding that no specific protocols are required. You can visit:

Target data

Receptor for TNFSF4/OX40L/GP34. Is a costimulatory molecule implicated in long-term T-cell immunity (By similarity).
See full target information Tnfrsf4

Publications (1)

Recent publications for all applications. Explore the full list and refine your search

Cardiovascular diabetology 21:130 PubMed35831885

2022

Improvement in insulin sensitivity and prevention of high fat diet-induced liver pathology using a CXCR2 antagonist.

Applications

Unspecified application

Species

Unspecified reactive species

Brett E Phillips,Louise Lantier,Carl Engman,Yesica Garciafigueroa,Aatur Singhi,Massimo Trucco,Christos Mantzoros,David Wasserman,Nick Giannoukakis
View all publications

Product promise

We are committed to supporting your work with high-quality reagents, and we're here for you every step of the way. In the unlikely event that one of our products does not perform as expected, you're protected by our Product Promise.
For full details, please see our Terms & Conditions

Please note: All products are 'FOR RESEARCH USE ONLY. NOT FOR USE IN DIAGNOSTIC OR THERAPEUTIC PROCEDURES'.

For licensing inquiries, please contact partnerships@abcam.com