JavaScript is disabled in your browser. Please enable JavaScript to view this website.
AB264466

Anti-CD134 / OX40L receptor antibody [EPR23000-42]

Be the first to review this product! Submit a review

|

(1 Publication)

Rabbit Recombinant Monoclonal CD134 / OX40L receptor antibody. Suitable for IP, WB, ICC/IF, Flow Cyt (Intra), IHC-P and reacts with Human samples. Cited in 1 publication.

View Alternative Names

CD134, TXGP1L, TNFRSF4, Tumor necrosis factor receptor superfamily member 4, ACT35 antigen, OX40L receptor, TAX transcriptionally-activated glycoprotein 1 receptor

8 Images
Immunohistochemistry (Formalin/PFA-fixed paraffin-embedded sections) - Anti-CD134 / OX40L receptor antibody [EPR23000-42] (AB264466)
  • IHC-P

Unknown

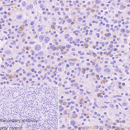
Immunohistochemistry (Formalin/PFA-fixed paraffin-embedded sections) - Anti-CD134 / OX40L receptor antibody [EPR23000-42] (AB264466)

Immunohistochemical analysis of paraffin-embedded human Hodgkin's lymphoma tissue labeling CD134 / OX40L receptor with ab264466 at 1/4000 dilution (0.13 ug/ml) followed by a ready to use Goat Anti-Rabbit IgG H&L (HRP). Positive staining on human Hodgkin's lymphoma (PMID/8547142). Counterstained with Hematoxylin.

Secondary antibody only control : Secondary antibody is a ready to use Goat Anti-Rabbit IgG H&L (HRP).

Heat mediated antigen retrieval using ab93684 (Tris/EDTA buffer, pH 9.0).

Immunohistochemistry (Formalin/PFA-fixed paraffin-embedded sections) - Anti-CD134 / OX40L receptor antibody [EPR23000-42] (AB264466)
  • IHC-P

Lab

Immunohistochemistry (Formalin/PFA-fixed paraffin-embedded sections) - Anti-CD134 / OX40L receptor antibody [EPR23000-42] (AB264466)

Tissue Microarrays stained for "Anti-CD134 / OX40L receptor antibody [EPR23000-42]" using "ab264466"in immunohistochemical analysis. This table provides a detailed overview of positive (tick mark) and negative (cross mark) staining per sample type tested. The sections were pre-treated using Heat mediated antigen retrieval using ab93684 (Tris/EDTA buffer, pH 9.0). The sections were incubated with ab264466 at +4°C overnight followed by a ready to use Goat Anti-Rabbit IgG H&L (HRP polymer).

Western blot - Anti-CD134 / OX40L receptor antibody [EPR23000-42] (AB264466)
  • WB

Unknown

Western blot - Anti-CD134 / OX40L receptor antibody [EPR23000-42] (AB264466)

Blocking and dilution buffer : 5% NFDM/TBST.

Exposure time : 3 minutes.

This blot was developed using a higher sensitivity ECL substrate.

The molecular weight observed is consistent with what has been described in the literature (PMID : 9108415, 23897980).

All lanes:

Western blot - Anti-CD134 / OX40L receptor antibody [EPR23000-42] (ab264466) at 1/1000 dilution

Lane 1:

Human thymus tissue lysate at 10 µg

Lane 2:

Human lymph node at 10 µg

Secondary

All lanes:

Western blot - VeriBlot for IP Detection Reagent (HRP) (<a href='/en-us/products/reagents/veriblot-for-ip-detection-reagent-hrp-ab131366'>ab131366</a>) at 1/1000 dilution

Predicted band size: 29 kDa

Observed band size: 50 kDa

false

Western blot - Anti-CD134 / OX40L receptor antibody [EPR23000-42] (AB264466)
  • WB

Unknown

Western blot - Anti-CD134 / OX40L receptor antibody [EPR23000-42] (AB264466)

Blocking and dilution buffer : 5% NFDM/TBST.

Exposure time : 37 seconds.

The expression profile and molecular weight observed is consistent with what has been described in the literature (PMID : 9108415,23897980).

Negative control : Jurkat (PMID : 9108415).

All lanes:

Western blot - Anti-CD134 / OX40L receptor antibody [EPR23000-42] (ab264466) at 1/1000 dilution

Lane 1:

Untreated human PBMC, whole cell lysate at 20 µg

Lane 2:

Human PBMC treated with 10 μg/ml phytohaemagglutinin (PHA) for 2 days, whole cell lysate at 20 µg

Lane 3:

Jurkat (human T cell leukemia T lymphocyte), whole cell lysate at 20 µg

Secondary

All lanes:

Western blot - VeriBlot for IP Detection Reagent (HRP) (<a href='/en-us/products/reagents/veriblot-for-ip-detection-reagent-hrp-ab131366'>ab131366</a>) at 1/500 dilution

Predicted band size: 29 kDa

Observed band size: 37 kDa,50 kDa

false

Flow Cytometry (Intracellular) - Anti-CD134 / OX40L receptor antibody [EPR23000-42] (AB264466)
  • Flow Cyt (Intra)

Unknown

Flow Cytometry (Intracellular) - Anti-CD134 / OX40L receptor antibody [EPR23000-42] (AB264466)

Intracellular flow cytometric analysis of 2% Paraformaldehyde fixed, 0.1% Tween-20 permeabilized Human peripheral blood mononuclear cell (PBMC) treated with 10 μg/ml phytohemagglutinin (PHA) for 2days labelling CD132 / OX40L receptor with ab264466 at 1/500 dilution 9Right) (Red) compared with a Rabbit monoclonal IgG (ab172730) control (Left). A Goat anti rabbit IgG (Alexa Fluor® 488, ab150077) at 1/2000 dilution was used as the secondary antibody.

Cells were surface stained with anti-CD3 conjugated to Alexa Fluor® 647. Then fixed with 2% PFA followed by intracellularly stained with rabbit IgG (Left) or ab264466 (Right). (PMID : 9108415, 17609274).

Immunocytochemistry/ Immunofluorescence - Anti-CD134 / OX40L receptor antibody [EPR23000-42] (AB264466)
  • ICC/IF

Unknown

Immunocytochemistry/ Immunofluorescence - Anti-CD134 / OX40L receptor antibody [EPR23000-42] (AB264466)

Immunofluorescent analysis of 4% Paraformaldehyde-fixed, 0.1% Triton X-100 permeabilized human PBMCs labelling CD34 / OX40L with ab264466 at 1/50 (10 ug/ml) dilution, followed by ab150077 AlexaFluo488 Goat anti-Rabbit secondary antibody at 1/1000 (2 ug/ml) dilution (Green). Confocal image showing positive staining in human PBMC treated with phytohaemagglutinin (PHA) (10 μg/ml for 2 days) (PMID : 9108415). ab195889 Anti-alpha Tubulin antibody [DM1A] - Microtubule Marker (Alexa Fluor® 594) was used to counterstain tubulin at 1/200 (Red). The Nuclear counterstain was DAPI (Blue).

Secondary antibody only control : Secondary antibody is ab150077 AlexaFluor®488 Goat anti-Rabbit secondary at 1/1000 (2 ug/ml) dilution.

Immunohistochemistry (Formalin/PFA-fixed paraffin-embedded sections) - Anti-CD134 / OX40L receptor antibody [EPR23000-42] (AB264466)
  • IHC-P

Unknown

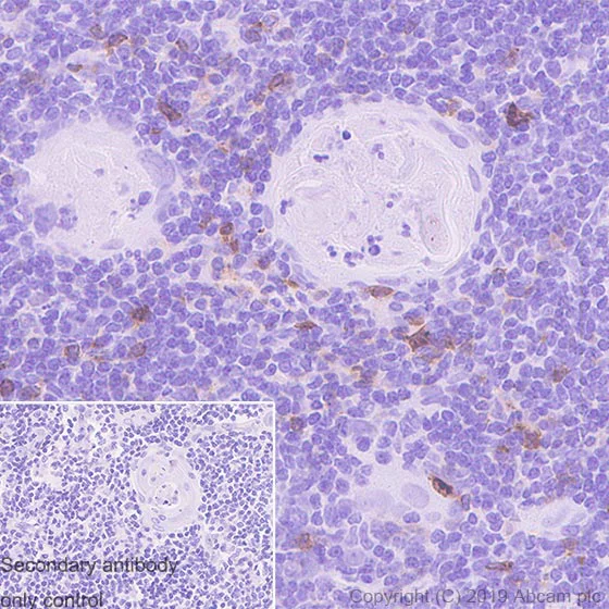
Immunohistochemistry (Formalin/PFA-fixed paraffin-embedded sections) - Anti-CD134 / OX40L receptor antibody [EPR23000-42] (AB264466)

Immunohistochemical analysis of paraffin-embedded human thymus tissue labeling CD134 / OX40L with ab264466 at 1/4000 dilution (0.13 ug/ml) followed by a ready to use Goat Anti-Rabbit IgG H&L (HRP). Positive staining on T cells of human thymus (PMID/8547142). Counterstained with Hematoxylin.

Secondary antibody only control/ Secondary antibody is a ready to use Goat Anti-Rabbit IgG H&L (HRP).

Heat mediated antigen retrieval using ab93684 (Tris/EDTA buffer, pH 9.0).

Immunoprecipitation - Anti-CD134 / OX40L receptor antibody [EPR23000-42] (AB264466)
  • IP

Unknown

Immunoprecipitation - Anti-CD134 / OX40L receptor antibody [EPR23000-42] (AB264466)

CD134 / OX40L receptor was immunoprecipitated from 0.35 mg Human thymus lysate with ab264466 at 1/30 dilution (2ug in 0.35mg lysates). Western blot was performed on the immunoprecipitate using ab264466 at 1/500 dilution. VeriBlot for IP Detection Reagent (HRP) (ab131366) was used at 1/1000 dilution.

Lane 1 : Human thymus lysate 10ug

Lane 2 : ab264466 IP in Human thymus lysate

Lane 3 : Rabbit monoclonal IgG (ab172730) instead of ab264466 in Human thymus lysate

Blocking and dilution buffer and concentration : 5% NFDM/TBST.

Exposure time : 3 min

All lanes:

Immunoprecipitation - Anti-CD134 / OX40L receptor antibody [EPR23000-42] (ab264466)

Predicted band size: 29 kDa

false

  • 578 PE

    PE Anti-CD134 / OX40L receptor antibody [EPR23000-42]

  • 660 APC

    APC Anti-CD134 / OX40L receptor antibody [EPR23000-42]

  • HRP

    HRP Anti-CD134 / OX40L receptor antibody [EPR23000-42]

  • 617 Alexa Fluor® 594

    Alexa Fluor® 594 Anti-CD134 / OX40L receptor antibody [EPR23000-42]

  • 665 Alexa Fluor® 647

    Alexa Fluor® 647 Anti-CD134 / OX40L receptor antibody [EPR23000-42]

  • 565 Alexa Fluor® 555

    Alexa Fluor® 555 Anti-CD134 / OX40L receptor antibody [EPR23000-42]

  • Carrier free

    Anti-CD134 / OX40L receptor antibody [EPR23000-42] - BSA and Azide free

  • 519 Alexa Fluor® 488

    Alexa Fluor® 488 Anti-CD134 / OX40L receptor antibody [EPR23000-42]

  • 603 Alexa Fluor® 568

    Alexa Fluor® 568 Anti-CD134 / OX40L receptor antibody [EPR23000-42]

  • 775 Alexa Fluor® 750

    Alexa Fluor® 750 Anti-CD134 / OX40L receptor antibody [EPR23000-42]

Key facts

Host species

Rabbit

Clonality

Monoclonal

Clone number

EPR23000-42

Isotype

IgG

Carrier free

No

Reacts with

Human

Applications

Flow Cyt (Intra), WB, IP, IHC-P, ICC/IF

applications

Immunogen

The exact immunogen used to generate this antibody is proprietary information.

Reactivity data

{ "title": "Reactivity Data", "filters": { "stats": ["", "Species", "Dilution Info", "Notes"], "tabs": { "all-applications": {"fullname" : "All Applications", "shortname": "All Applications"}, "IP" : {"fullname" : "Immunoprecipitation", "shortname":"IP"}, "WB" : {"fullname" : "Western blot", "shortname":"WB"}, "ICCIF" : {"fullname" : "Immunocytochemistry/ Immunofluorescence", "shortname":"ICC/IF"}, "FlowCytIntra" : {"fullname" : "Flow Cytometry (Intracellular)", "shortname":"Flow Cyt (Intra)"}, "IHCP" : {"fullname" : "Immunohistochemistry (Formalin/PFA-fixed paraffin-embedded sections)", "shortname":"IHC-P"} }, "product-promise": { "all": "all", "testedAndGuaranteed": "tested", "guaranteed": "expected", "predicted": "predicted", "notRecommended": "not-recommended" } }, "values": { "Human": { "IP-species-checked": "testedAndGuaranteed", "IP-species-dilution-info": "1/30", "IP-species-notes": "<p></p>", "WB-species-checked": "testedAndGuaranteed", "WB-species-dilution-info": "1/1000", "WB-species-notes": "<p></p>", "ICCIF-species-checked": "testedAndGuaranteed", "ICCIF-species-dilution-info": "1/50", "ICCIF-species-notes": "<p></p>", "FlowCytIntra-species-checked": "testedAndGuaranteed", "FlowCytIntra-species-dilution-info": "1/500", "FlowCytIntra-species-notes": "<p></p>", "IHCP-species-checked": "testedAndGuaranteed", "IHCP-species-dilution-info": "1/4000", "IHCP-species-notes": "<p></p>" } } }

You may be interested in:

AB231926

Human OX40 ELISA Kit (TNFRSF4)

0

0 Reviews

View product

We recommend this product because it’s often used in the same experiment or related research.

We advise that you always check the datasheet to ensure it fits your experiments, or contact ourtechnical teamfor help.

Product details

Patented technology
Our RabMAb® technology is a patented hybridoma-based technology for making rabbit monoclonal antibodies. For details on our patents, please refer to RabMAb® patents.

What are the advantages of a recombinant monoclonal antibody?
This product is a recombinant monoclonal antibody, which offers several advantages including:

  • - High batch-to-batch consistency and reproducibility
  • - Improved sensitivity and specificity
  • - Long-term security of supply
  • - Animal-free batch production

For more information, read more on recombinant antibodies.

Properties and storage information

Form
Liquid
Purification technique
Affinity purification Protein A
Storage buffer
pH: 7.2 - 7.4 Preservative: 0.01% Sodium azide Constituents: PBS, 40% Glycerol (glycerin, glycerine), 0.05% BSA
Shipped at conditions
Blue Ice
Appropriate short-term storage duration
1-2 weeks
Appropriate short-term storage conditions
+4°C
Appropriate long-term storage conditions
-20°C
Aliquoting information
Upon delivery aliquot
Storage information
Avoid freeze / thaw cycle

Supplementary information

This supplementary information is collated from multiple sources and compiled automatically.

CD134 also known as OX40 or TNFRSF4 is a receptor that plays an essential role in immune response regulation. This receptor is part of the tumor necrosis factor receptor (TNFR) superfamily and has a molecular mass of approximately 50 kDa. CD134 is expressed on activated T cells particularly CD4+ T cells and is present on various other immune cells under specific conditions. The receptor binds to the OX40L its ligand which is expressed on antigen-presenting cells such as dendritic cells and B cells.
Biological function summary

CD134 influences T cell proliferation survival and memory formation being an important component of the immune system's adaptive response. OX40L engagement with CD134 enhances the activation and survival of T cells promoting long-term immunity. This interaction does not form part of a larger complex but functions as a direct signaling mechanism that augments T cell receptor (TCR) signaling leading to increased cytokine production and sustained immune responses essential for controlling infections and cancer.

Pathways

CD134 signaling intersects with the nuclear factor-kappa B (NF-κB) and phosphoinositide 3-kinase (PI3K) pathways. These pathways play significant roles in regulating immune responses and cell survival. Through the NF-κB pathway CD134 influences gene transcription related to immune activation. It also connects with other immune regulatory proteins such as CD28 which further potentiates T cell responses and enhances effector functions.

CD134 has connections to autoimmune diseases and cancers. Overactivity of the CD134-OX40L pathway can lead to exacerbated autoimmune conditions such as lupus. This receptor has also been implicated in tumor immunity where its activation enhances the anti-tumor response of T cells. CD134 interacts with CTLA-4 another immune checkpoint protein playing a role in balancing immune activation and regulation within these disease contexts.

Product protocols

For this product, it's our understanding that no specific protocols are required. You can visit:

Target data

Receptor for TNFSF4/OX40L/GP34. Is a costimulatory molecule implicated in long-term T-cell immunity.. (Microbial infection) Acts as a receptor for human herpesvirus 6B/HHV-6B.
See full target information TNFRSF4

Publications (1)

Recent publications for all applications. Explore the full list and refine your search

Signal transduction and targeted therapy 7:80 PubMed35301282

2022

Therapeutic targeting miR130b counteracts diffuse large B-cell lymphoma progression via OX40/OX40L-mediated interaction with Th17 cells.

Applications

Unspecified application

Species

Unspecified reactive species

Rui Sun,Pei-Pei Zhang,Xiang-Qin Weng,Xiao-Dong Gao,Chuan-Xin Huang,Li Wang,Xiao-Xia Hu,Peng-Peng Xu,Lin Cheng,Lu Jiang,Di Fu,Bin Qu,Yan Zhao,Yan Feng,Hong-Jing Dou,Zhong Zheng,Wei-Li Zhao
View all publications

Product promise

We are committed to supporting your work with high-quality reagents, and we're here for you every step of the way. In the unlikely event that one of our products does not perform as expected, you're protected by our Product Promise.
For full details, please see our Terms & Conditions

Associated Products

Select an associated product type
Alternative Product
Primary Antibodies

AB243898

Anti-CD134 / OX40L receptor antibody [BLR042F]

primary-antibodies

cd134-ox40l-receptor-antibody-blr042f-ab243898

0

(0 reviews)

Alternative Product
Primary Antibodies

AB228464

Anti-CD134 / OX40L receptor antibody [SP195] - C-terminal

primary-antibodies

cd134-ox40l-receptor-antibody-sp195-c-terminal-ab228464

0

(0 reviews)

Alternative Product
Primary Antibodies

AB256422

Alexa Fluor® 488 Anti-CD134 / OX40L receptor antibody [OX40]

primary-antibodies

alexa-fluor-488-cd134-ox40l-receptor-antibody-ox40-ab256422

0

(0 reviews)

Alternative Product
Primary Antibodies

AB264465

Anti-CD134 / OX40L receptor antibody [EPR23001-88]

primary-antibodies

cd134-ox40l-receptor-antibody-epr23001-88-ab264465

0

(0 reviews)

Alternative Product
Primary Antibodies

AB76000

Anti-CD134 / OX40L receptor antibody [EPR17Y]

primary-antibodies

cd134-ox40l-receptor-antibody-epr17y-ab76000

0

(0 reviews)

Alternative Product
Primary Antibodies

AB264469

Anti-CD134 / OX40L receptor antibody [EPR23001-88] - BSA and Azide free

primary-antibodies

cd134-ox40l-receptor-antibody-epr23001-88-bsa-and-azide-free-ab264469

0

(0 reviews)

Please note: All products are 'FOR RESEARCH USE ONLY. NOT FOR USE IN DIAGNOSTIC OR THERAPEUTIC PROCEDURES'.

For licensing inquiries, please contact partnerships@abcam.com