JavaScript is disabled in your browser. Please enable JavaScript to view this website.
AB264470

Anti-CD134 / OX40L receptor antibody [EPR23000-42] - BSA and Azide free

Be the first to review this product! Submit a review

|

(0 Publication)

Rabbit Recombinant Monoclonal CD134 / OX40L receptor antibody. Carrier free. Suitable for IP, WB, ICC/IF, Flow Cyt (Intra), IHC-P and reacts with Human samples.

View Alternative Names

CD134, TXGP1L, TNFRSF4, Tumor necrosis factor receptor superfamily member 4, ACT35 antigen, OX40L receptor, TAX transcriptionally-activated glycoprotein 1 receptor

6 Images
Immunohistochemistry (Formalin/PFA-fixed paraffin-embedded sections) - Anti-CD134 / OX40L receptor antibody [EPR23000-42] - BSA and Azide free (AB264470)
  • IHC-P

Lab

Immunohistochemistry (Formalin/PFA-fixed paraffin-embedded sections) - Anti-CD134 / OX40L receptor antibody [EPR23000-42] - BSA and Azide free (AB264470)

Tissue Microarrays stained for "Anti-CD134 / OX40L receptor antibody [EPR23000-42]" using "ab264466"in immunohistochemical analysis. This table provides a detailed overview of positive (tick mark) and negative (cross mark) staining per sample type tested. The sections were pre-treated using Heat mediated antigen retrieval using ab93684 (Tris/EDTA buffer, pH 9.0). The sections were incubated with ab264466 at +4°C overnight followed by a ready to use Goat Anti-Rabbit IgG H&L (HRP polymer).

Immunohistochemistry (Formalin/PFA-fixed paraffin-embedded sections) - Anti-CD134 / OX40L receptor antibody [EPR23000-42] - BSA and Azide free (AB264470)
  • IHC-P

Unknown

Immunohistochemistry (Formalin/PFA-fixed paraffin-embedded sections) - Anti-CD134 / OX40L receptor antibody [EPR23000-42] - BSA and Azide free (AB264470)

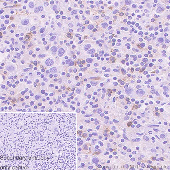
Immunohistochemical analysis of paraffin-embedded Human Hodgkin's lymphoma tissue labeling CD134 / OX40L receptor with ab264466 at 1/4000 dilution (0.13 ug/ml) followed by a ready to use Goat Anti-Rabbit IgG H&L (HRP). Positive staining on human Hodgkin's lymphoma (PMID/8547142) Counterstained with Hematoxylin.

Secondary antibody only control/ Secondary antibody is a ready to use Goat Anti-Rabbit IgG H&L (HRP).

Heat mediated antigen retrieval using ab93684 (Tris/EDTA buffer, pH 9.0).

This data was developed using the same antibody clone in a different buffer formulation containing PBS, BSA, glycerol, and sodium azide (ab264466).

Flow Cytometry (Intracellular) - Anti-CD134 / OX40L receptor antibody [EPR23000-42] - BSA and Azide free (AB264470)
  • Flow Cyt (Intra)

Unknown

Flow Cytometry (Intracellular) - Anti-CD134 / OX40L receptor antibody [EPR23000-42] - BSA and Azide free (AB264470)

Intracellular flow cytometric analysis of 2% Paraformaldehyde fixed, 0.1% Tween-20 permeabilized Human peripheral blood mononuclear cell (PBMC) treated with 10 μg/ml phytohemagglutinin (PHA) for 2days labelling CD132 / OX40L receptor with ab264466 at 1/500 dilution 9Right) (Red) compared with a Rabbit monoclonal IgG (ab172730) control (Left). A Goat anti rabbit IgG (Alexa Fluor® 488, ab150077) at 1/2000 dilution was used as the secondary antibody.

Cells were surface stained with anti-CD3 conjugated to Alexa Fluor® 647. Then fixed with 2% PFA followed by intracellularly stained with rabbit IgG (Left) or ab264466 (Right). (PMID : 9108415, 17609274).

This data was developed using the same antibody clone in a different buffer formulation containing PBS, BSA, glycerol, and sodium azide (ab264466).

Immunocytochemistry/ Immunofluorescence - Anti-CD134 / OX40L receptor antibody [EPR23000-42] - BSA and Azide free (AB264470)
  • ICC/IF

Unknown

Immunocytochemistry/ Immunofluorescence - Anti-CD134 / OX40L receptor antibody [EPR23000-42] - BSA and Azide free (AB264470)

Immunofluorescent analysis of 4% Paraformaldehyde-fixed, 0.1% Triton X-100 permeabilized human PBMCs labelling CD34 / OX40L with ab264466 at 1/50 (10 ug/ml) dilution, followed by ab150077 AlexaFluo488 Goat anti-Rabbit secondary antibody at 1/1000 (2 ug/ml) dilution (Green). Confocal image showing positive staining in human PBMC treated with phytohaemagglutinin (PHA) (10 μg/ml for 2 days) (PMID : 9108415). ab195889 Anti-alpha Tubulin antibody [DM1A] - Microtubule Marker (Alexa Fluor® 594) was used to counterstain tubulin at 1/200 (Red). The Nuclear counterstain was DAPI (Blue).

Secondary antibody only control : Secondary antibody is ab150077 AlexaFluor®488 Goat anti-Rabbit secondary at 1/1000 (2 ug/ml) dilution.

This data was developed using the same antibody clone in a different buffer formulation containing PBS, BSA, glycerol, and sodium azide (ab264466).

Immunohistochemistry (Formalin/PFA-fixed paraffin-embedded sections) - Anti-CD134 / OX40L receptor antibody [EPR23000-42] - BSA and Azide free (AB264470)
  • IHC-P

Unknown

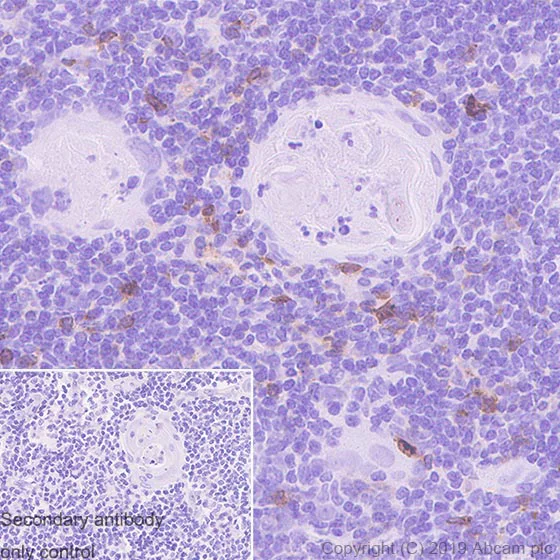
Immunohistochemistry (Formalin/PFA-fixed paraffin-embedded sections) - Anti-CD134 / OX40L receptor antibody [EPR23000-42] - BSA and Azide free (AB264470)

Immunohistochemical analysis of paraffin-embedded Human thymus tissue labeling CD134 / OX40L with ab264466 at 1/4000 dilution (0.13 ug/ml) followed by a ready to use Goat Anti-Rabbit IgG H&L (HRP). Positive staining on T cells of human thymus (PMID/8547142) Counterstained with Hematoxylin.

Secondary antibody only control/ Secondary antibody is a ready to use Goat Anti-Rabbit IgG H&L (HRP).

Heat mediated antigen retrieval using ab93684 (Tris/EDTA buffer, pH 9.0).

This data was developed using the same antibody clone in a different buffer formulation containing PBS, BSA, glycerol, and sodium azide (ab264466).

Immunoprecipitation - Anti-CD134 / OX40L receptor antibody [EPR23000-42] - BSA and Azide free (AB264470)
  • IP

Unknown

Immunoprecipitation - Anti-CD134 / OX40L receptor antibody [EPR23000-42] - BSA and Azide free (AB264470)

CD134 / OX40L receptor was immunoprecipitated from 0.35 mg Human thymus lysate with ab264466 at 1/30 dilution (2ug in 0.35mg lysates). Western blot was performed on the immunoprecipitate using ab264466 at 1/500 dilution. VeriBlot for IP Detection Reagent (HRP) (ab131366) was used at 1/1000 dilution.

Lane 1 : Human thymus lysate 10ug

Lane 2 : ab264466 IP in Human thymus lysate

Lane 3 : Rabbit monoclonal IgG (ab172730) instead of ab264466 in Human thymus lysate

Blocking and dilution buffer and concentration : 5% NFDM/TBST.

Exposure time : 3 min.

This data was developed using the same antibody clone in a different buffer formulation containing PBS, BSA, glycerol, and sodium azide (ab264466).

All lanes:

Immunoprecipitation - Anti-CD134 / OX40L receptor antibody [EPR23000-42] (<a href='/en-us/products/primary-antibodies/cd134-ox40l-receptor-antibody-epr23000-42-ab264466'>ab264466</a>)

Predicted band size: 29 kDa

false

  • Unconjugated

    Anti-CD134 / OX40L receptor antibody [EPR23000-42]

  • 775 Alexa Fluor® 750

    Alexa Fluor® 750 Anti-CD134 / OX40L receptor antibody [EPR23000-42]

  • 578 PE

    PE Anti-CD134 / OX40L receptor antibody [EPR23000-42]

  • 660 APC

    APC Anti-CD134 / OX40L receptor antibody [EPR23000-42]

  • HRP

    HRP Anti-CD134 / OX40L receptor antibody [EPR23000-42]

  • 617 Alexa Fluor® 594

    Alexa Fluor® 594 Anti-CD134 / OX40L receptor antibody [EPR23000-42]

  • 665 Alexa Fluor® 647

    Alexa Fluor® 647 Anti-CD134 / OX40L receptor antibody [EPR23000-42]

  • 565 Alexa Fluor® 555

    Alexa Fluor® 555 Anti-CD134 / OX40L receptor antibody [EPR23000-42]

  • 519 Alexa Fluor® 488

    Alexa Fluor® 488 Anti-CD134 / OX40L receptor antibody [EPR23000-42]

  • 603 Alexa Fluor® 568

    Alexa Fluor® 568 Anti-CD134 / OX40L receptor antibody [EPR23000-42]

Key facts

Host species

Rabbit

Clonality

Monoclonal

Clone number

EPR23000-42

Isotype

IgG

Carrier free

Yes

Reacts with

Human

Applications

IHC-P, Flow Cyt (Intra), IP, ICC/IF, WB

applications

Immunogen

The exact immunogen used to generate this antibody is proprietary information.

Reactivity data

{ "title": "Reactivity Data", "filters": { "stats": ["", "Species", "Dilution Info", "Notes"], "tabs": { "all-applications": {"fullname" : "All Applications", "shortname": "All Applications"}, "IP" : {"fullname" : "Immunoprecipitation", "shortname":"IP"}, "WB" : {"fullname" : "Western blot", "shortname":"WB"}, "ICCIF" : {"fullname" : "Immunocytochemistry/ Immunofluorescence", "shortname":"ICC/IF"}, "FlowCytIntra" : {"fullname" : "Flow Cytometry (Intracellular)", "shortname":"Flow Cyt (Intra)"}, "IHCP" : {"fullname" : "Immunohistochemistry (Formalin/PFA-fixed paraffin-embedded sections)", "shortname":"IHC-P"} }, "product-promise": { "all": "all", "testedAndGuaranteed": "tested", "guaranteed": "expected", "predicted": "predicted", "notRecommended": "not-recommended" } }, "values": { "Human": { "IP-species-checked": "testedAndGuaranteed", "IP-species-dilution-info": "", "IP-species-notes": "<p></p>", "WB-species-checked": "guaranteed", "WB-species-dilution-info": "", "WB-species-notes": "<p></p>", "ICCIF-species-checked": "testedAndGuaranteed", "ICCIF-species-dilution-info": "", "ICCIF-species-notes": "<p></p>", "FlowCytIntra-species-checked": "testedAndGuaranteed", "FlowCytIntra-species-dilution-info": "", "FlowCytIntra-species-notes": "<p></p>", "IHCP-species-checked": "testedAndGuaranteed", "IHCP-species-dilution-info": "", "IHCP-species-notes": "<p></p>" } } }

You may be interested in:

AB231926

Human OX40 ELISA Kit (TNFRSF4)

0

0 Reviews

View product

We recommend this product because it’s often used in the same experiment or related research.

We advise that you always check the datasheet to ensure it fits your experiments, or contact ourtechnical teamfor help.

Product details

ab264470 is the carrier-free version of ab264466.

Patented technology
Our RabMAb® technology is a patented hybridoma-based technology for making rabbit monoclonal antibodies. For details on our patents, please refer to RabMAb® patents.

What are the advantages of a recombinant monoclonal antibody?
This product is a recombinant monoclonal antibody, which offers several advantages including:

  • - High batch-to-batch consistency and reproducibility
  • - Improved sensitivity and specificity
  • - Long-term security of supply
  • - Animal-free batch production

For more information, read more on recombinant antibodies.

Conjugation ready
Our carrier-free antibodies are typically supplied in a PBS-only formulation, purified and free of BSA, sodium azide and glycerol. This conjugation-ready format is designed for use with fluorochromes, metal isotopes, oligonucleotides, and enzymes, which makes them ideal for antibody labelling, functional and cell-based assays, flow-based assays (e.g. mass cytometry) and Multiplex Imaging applications.

Use our conjugation kits for antibody conjugates that are ready-to-use in as little as 20 minutes with 1 minute hands-on-time and 100% antibody recovery: available for fluorescent dyes, HRP, biotin and gold.

Compatibility
This product is compatible with the Maxpar® Antibody Labeling Kit from Fluidigm, without the need for antibody preparation. Maxpar® is a trademark of Fluidigm Canada Inc.

Properties and storage information

Form
Liquid
Purification technique
Affinity purification Protein A
Storage buffer
pH: 7.2 - 7.4 Constituents: PBS
Shipped at conditions
Blue Ice
Appropriate short-term storage conditions
+4°C
Appropriate long-term storage conditions
+4°C
Storage information
Do Not Freeze

Supplementary information

This supplementary information is collated from multiple sources and compiled automatically.

CD134 also known as OX40 or TNFRSF4 is a receptor that plays an essential role in immune response regulation. This receptor is part of the tumor necrosis factor receptor (TNFR) superfamily and has a molecular mass of approximately 50 kDa. CD134 is expressed on activated T cells particularly CD4+ T cells and is present on various other immune cells under specific conditions. The receptor binds to the OX40L its ligand which is expressed on antigen-presenting cells such as dendritic cells and B cells.
Biological function summary

CD134 influences T cell proliferation survival and memory formation being an important component of the immune system's adaptive response. OX40L engagement with CD134 enhances the activation and survival of T cells promoting long-term immunity. This interaction does not form part of a larger complex but functions as a direct signaling mechanism that augments T cell receptor (TCR) signaling leading to increased cytokine production and sustained immune responses essential for controlling infections and cancer.

Pathways

CD134 signaling intersects with the nuclear factor-kappa B (NF-κB) and phosphoinositide 3-kinase (PI3K) pathways. These pathways play significant roles in regulating immune responses and cell survival. Through the NF-κB pathway CD134 influences gene transcription related to immune activation. It also connects with other immune regulatory proteins such as CD28 which further potentiates T cell responses and enhances effector functions.

CD134 has connections to autoimmune diseases and cancers. Overactivity of the CD134-OX40L pathway can lead to exacerbated autoimmune conditions such as lupus. This receptor has also been implicated in tumor immunity where its activation enhances the anti-tumor response of T cells. CD134 interacts with CTLA-4 another immune checkpoint protein playing a role in balancing immune activation and regulation within these disease contexts.

Product protocols

For this product, it's our understanding that no specific protocols are required. You can visit:

Target data

Receptor for TNFSF4/OX40L/GP34. Is a costimulatory molecule implicated in long-term T-cell immunity.. (Microbial infection) Acts as a receptor for human herpesvirus 6B/HHV-6B.
See full target information TNFRSF4

Product promise

We are committed to supporting your work with high-quality reagents, and we're here for you every step of the way. In the unlikely event that one of our products does not perform as expected, you're protected by our Product Promise.
For full details, please see our Terms & Conditions

Associated Products

Select an associated product type
Alternative Product
Primary Antibodies

AB243898

Anti-CD134 / OX40L receptor antibody [BLR042F]

primary-antibodies

cd134-ox40l-receptor-antibody-blr042f-ab243898

0

(0 reviews)

Alternative Product
Primary Antibodies

AB228464

Anti-CD134 / OX40L receptor antibody [SP195] - C-terminal

primary-antibodies

cd134-ox40l-receptor-antibody-sp195-c-terminal-ab228464

0

(0 reviews)

Alternative Product
Primary Antibodies

AB256422

Alexa Fluor® 488 Anti-CD134 / OX40L receptor antibody [OX40]

primary-antibodies

alexa-fluor-488-cd134-ox40l-receptor-antibody-ox40-ab256422

0

(0 reviews)

Alternative Product
Primary Antibodies

AB264465

Anti-CD134 / OX40L receptor antibody [EPR23001-88]

primary-antibodies

cd134-ox40l-receptor-antibody-epr23001-88-ab264465

0

(0 reviews)

Alternative Product
Primary Antibodies

AB76000

Anti-CD134 / OX40L receptor antibody [EPR17Y]

primary-antibodies

cd134-ox40l-receptor-antibody-epr17y-ab76000

0

(0 reviews)

Alternative Product
Primary Antibodies

AB264469

Anti-CD134 / OX40L receptor antibody [EPR23001-88] - BSA and Azide free

primary-antibodies

cd134-ox40l-receptor-antibody-epr23001-88-bsa-and-azide-free-ab264469

0

(0 reviews)

Alternative Version
Primary Antibodies

AB306286

PE Anti-CD134 / OX40L receptor antibody [EPR23000-42]

primary-antibodies

pe-cd134-ox40l-receptor-antibody-epr23000-42-ab306286

0

(0 reviews)

Alternative Version
Primary Antibodies

AB306287

APC Anti-CD134 / OX40L receptor antibody [EPR23000-42]

primary-antibodies

apc-cd134-ox40l-receptor-antibody-epr23000-42-ab306287

0

(0 reviews)

Alternative Version
Primary Antibodies

AB306288

HRP Anti-CD134 / OX40L receptor antibody [EPR23000-42]

primary-antibodies

hrp-cd134-ox40l-receptor-antibody-epr23000-42-ab306288

0

(0 reviews)

Alternative Version
Primary Antibodies

AB310493

Alexa Fluor® 594 Anti-CD134 / OX40L receptor antibody [EPR23000-42]

primary-antibodies

alexa-fluor-594-cd134-ox40l-receptor-antibody-epr23000-42-ab310493

0

(0 reviews)

Alternative Version
Primary Antibodies

AB310089

Alexa Fluor® 647 Anti-CD134 / OX40L receptor antibody [EPR23000-42]

primary-antibodies

alexa-fluor-647-cd134-ox40l-receptor-antibody-epr23000-42-ab310089

0

(0 reviews)

Alternative Version
Primary Antibodies

AB312022

Alexa Fluor® 555 Anti-CD134 / OX40L receptor antibody [EPR23000-42]

primary-antibodies

alexa-fluor-555-cd134-ox40l-receptor-antibody-epr23000-42-ab312022

0

(0 reviews)

Alternative Version
Primary Antibodies

AB309723

Alexa Fluor® 488 Anti-CD134 / OX40L receptor antibody [EPR23000-42]

primary-antibodies

alexa-fluor-488-cd134-ox40l-receptor-antibody-epr23000-42-ab309723

0

(0 reviews)

Alternative Version
Primary Antibodies

AB312499

Alexa Fluor® 568 Anti-CD134 / OX40L receptor antibody [EPR23000-42]

primary-antibodies

alexa-fluor-568-cd134-ox40l-receptor-antibody-epr23000-42-ab312499

0

(0 reviews)

Please note: All products are 'FOR RESEARCH USE ONLY. NOT FOR USE IN DIAGNOSTIC OR THERAPEUTIC PROCEDURES'.

For licensing inquiries, please contact partnerships@abcam.com