JavaScript is disabled in your browser. Please enable JavaScript to view this website.
AB264465

Anti-CD134 / OX40L receptor antibody [EPR23001-88]

Be the first to review this product! Submit a review

|

(0 Publication)

Rabbit Recombinant Monoclonal CD134 / OX40L receptor antibody. Suitable for IP, Flow Cyt, WB, IHC-P and reacts with Human samples.

View Alternative Names

CD134, TXGP1L, TNFRSF4, Tumor necrosis factor receptor superfamily member 4, ACT35 antigen, OX40L receptor, TAX transcriptionally-activated glycoprotein 1 receptor

6 Images
Immunohistochemistry (Formalin/PFA-fixed paraffin-embedded sections) - Anti-CD134 / OX40L receptor antibody [EPR23001-88] (AB264465)
  • IHC-P

Unknown

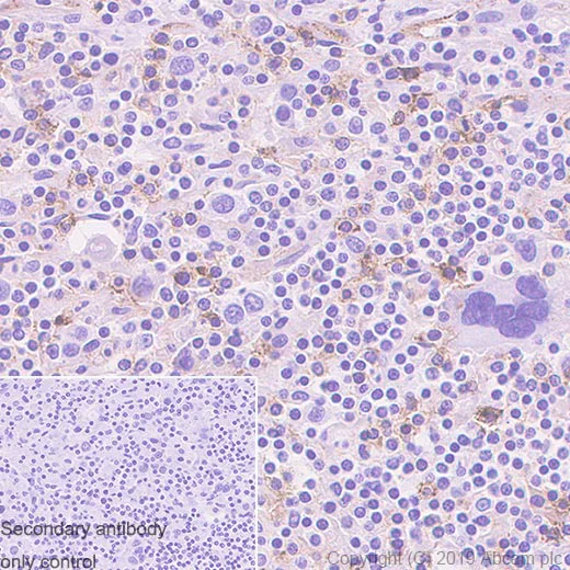
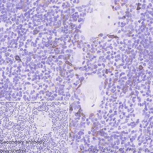
Immunohistochemistry (Formalin/PFA-fixed paraffin-embedded sections) - Anti-CD134 / OX40L receptor antibody [EPR23001-88] (AB264465)

Immunohistochemical analysis of paraffin-embedded Human Hodgkin's lymphoma tissue labeling CD134 / OX40L receptor with ab264465 at 1/2000 dilution (0.26 ug/ml) followed by a ready to use Goat Anti-Rabbit IgG H&L (HRP). Positive staining on human Hodgkin's lymphoma (PMID : 8547142) is observed. Counterstained with Hematoxylin.

Secondary antibody only control : Secondary antibody is a ready to use Goat Anti-Rabbit IgG H&L (HRP).

Heat mediated antigen retrieval using ab93684 (Tris/EDTA buffer, pH 9.0).

Immunohistochemistry (Formalin/PFA-fixed paraffin-embedded sections) - Anti-CD134 / OX40L receptor antibody [EPR23001-88] (AB264465)
  • IHC-P

Unknown

Immunohistochemistry (Formalin/PFA-fixed paraffin-embedded sections) - Anti-CD134 / OX40L receptor antibody [EPR23001-88] (AB264465)

Immunohistochemical analysis of paraffin-embedded Human thymus tissue labeling CD134 / OX40L receptor with ab264465 at 1/2000 dilution (0.26 ug/ml) followed by a ready to use Goat Anti-Rabbit IgG H&L (HRP). Positive staining on T cells of human thymus (PMID : 8547142) is observed. Counterstained with Hematoxylin.

Secondary antibody only control : Secondary antibody is a ready to use Goat Anti-Rabbit IgG H&L (HRP).

Heat mediated antigen retrieval using ab93684 (Tris/EDTA buffer, pH 9.0).

Flow Cytometry - Anti-CD134 / OX40L receptor antibody [EPR23001-88] (AB264465)
  • Flow Cyt

Unknown

Flow Cytometry - Anti-CD134 / OX40L receptor antibody [EPR23001-88] (AB264465)

Flow cytometric analysis of Human peripheral blood mononuclear cell (PBMC) treated with 10μg/ml phytohemagglutinin (PHA) for 2 days labelling CD134 / OX40L receptor with ab264465 at 1/500 dilution compared with a Rabbit monoclonal IgG (ab172730) / Left isotype control. Goat anti rabbit IgG (Alexa Fluor® 488, ab150077) at 1/2000 dilution was used as the secondary antibody.

Cells were stained with rabbit IgG (Left) or ab264465 (Right). Then stained with anti-CD3 conjugated to Alexa Fluor® 647. (PMID : 9108415,17609274).

Gated on viable cells.

Western blot - Anti-CD134 / OX40L receptor antibody [EPR23001-88] (AB264465)
  • WB

Unknown

Western blot - Anti-CD134 / OX40L receptor antibody [EPR23001-88] (AB264465)

Blocking and dilution buffer : 5% NFDM/TBST.

Exposure time : 3 minutes.

This blot was developed using a higher sensitivity ECL substrate.

The molecular weight observed is consistent with what has been described in the literature (PMID : 9108415,23897980).

All lanes:

Western blot - Anti-CD134 / OX40L receptor antibody [EPR23001-88] (ab264465) at 1/1000 dilution

Lane 1:

Human thymus tissue lysate at 10 µg

Lane 2:

Human lymph node lysate at 10 µg

Secondary

All lanes:

Western blot - VeriBlot for IP Detection Reagent (HRP) (<a href='/en-us/products/reagents/veriblot-for-ip-detection-reagent-hrp-ab131366'>ab131366</a>) at 1/1000 dilution

Predicted band size: 29 kDa

Observed band size: 50 kDa

false

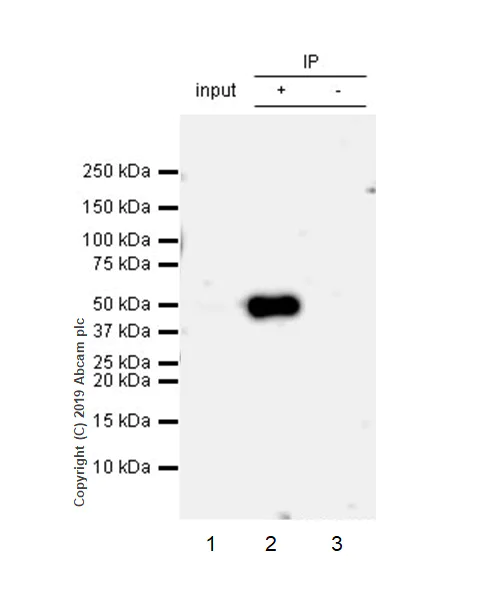
Immunoprecipitation - Anti-CD134 / OX40L receptor antibody [EPR23001-88] (AB264465)
  • IP

Unknown

Immunoprecipitation - Anti-CD134 / OX40L receptor antibody [EPR23001-88] (AB264465)

CD134 / OX40L receptor was immunoprecipitated from 0.35 mg Human thymus lysate with ab264465 at 1/30 dilution (2ug in 0.35mg lysates). Western blot was performed on the immunoprecipitate using ab264465 at 1/500 dilution. VeriBlot for IP Detection Reagent (HRP) (ab131366) was used at 1/1000 dilution.

Lane 1 : Human thymus lysate

Lane 2 : ab264465 IP in Human thymus lysate

Lane 3 : Rabbit monoclonal IgG (ab172730) instead of ab264465 in Human thymus lysate

Blocking and dilution buffer and concentration : 5% NFDM/TBST.

Exposure time : 3 min

All lanes:

Immunoprecipitation - Anti-CD134 / OX40L receptor antibody [EPR23001-88] (ab264465)

Predicted band size: 29 kDa

Observed band size: 50 kDa

false

Western blot - Anti-CD134 / OX40L receptor antibody [EPR23001-88] (AB264465)
  • WB

Unknown

Western blot - Anti-CD134 / OX40L receptor antibody [EPR23001-88] (AB264465)

Blocking and dilution buffer : 5% NFDM/TBST.

Exposure time : 37 seconds.

The expression profile and molecular weight observed is consistent with what has been described in the literature (PMID : 9108415,23897980).

Negative control : Jurkat (PMID : 9108415).

All lanes:

Western blot - Anti-CD134 / OX40L receptor antibody [EPR23001-88] (ab264465) at 1/1000 dilution

Lane 1:

Untreated human PBMC, whole cell lysate at 20 µg

Lane 2:

Human PBMC treated with 10 μg/ml phytohaemagglutinin (PHA) for 2 days, whole cell lysate at 20 µg

Lane 3:

Jurkat (human T cell leukemia T lymphocyte), whole cell lysate at 20 µg

Secondary

All lanes:

Western blot - VeriBlot for IP Detection Reagent (HRP) (<a href='/en-us/products/reagents/veriblot-for-ip-detection-reagent-hrp-ab131366'>ab131366</a>) at 1/500 dilution

Predicted band size: 29 kDa

Observed band size: 50 kDa

false

Key facts

Host species

Rabbit

Clonality

Monoclonal

Clone number

EPR23001-88

Isotype

IgG

Carrier free

No

Reacts with

Human

Applications

IHC-P, Flow Cyt, WB, IP

applications

Immunogen

The exact immunogen used to generate this antibody is proprietary information.

Reactivity data

{ "title": "Reactivity Data", "filters": { "stats": ["", "Species", "Dilution Info", "Notes"], "tabs": { "all-applications": {"fullname" : "All Applications", "shortname": "All Applications"}, "IP" : {"fullname" : "Immunoprecipitation", "shortname":"IP"}, "FlowCyt" : {"fullname" : "Flow Cytometry", "shortname":"Flow Cyt"}, "WB" : {"fullname" : "Western blot", "shortname":"WB"}, "ICCIF" : {"fullname" : "Immunocytochemistry/ Immunofluorescence", "shortname":"ICC/IF"}, "IHCP" : {"fullname" : "Immunohistochemistry (Formalin/PFA-fixed paraffin-embedded sections)", "shortname":"IHC-P"} }, "product-promise": { "all": "all", "testedAndGuaranteed": "tested", "guaranteed": "expected", "predicted": "predicted", "notRecommended": "not-recommended" } }, "values": { "Human": { "IP-species-checked": "testedAndGuaranteed", "IP-species-dilution-info": "1/30", "IP-species-notes": "<p></p>", "FlowCyt-species-checked": "testedAndGuaranteed", "FlowCyt-species-dilution-info": "1/500", "FlowCyt-species-notes": "<p></p>", "WB-species-checked": "testedAndGuaranteed", "WB-species-dilution-info": "1/1000", "WB-species-notes": "<p></p>", "ICCIF-species-checked": "notRecommended", "ICCIF-species-dilution-info": "", "ICCIF-species-notes": "<p></p>", "IHCP-species-checked": "testedAndGuaranteed", "IHCP-species-dilution-info": "1/2000", "IHCP-species-notes": "<p></p> Perform heat-mediated antigen retrieval with Tris/EDTA buffer pH 9.0 before commencing with IHC staining protocol." }, "Mouse": { "IP-species-checked": "notRecommended", "IP-species-dilution-info": "", "IP-species-notes": "", "FlowCyt-species-checked": "notRecommended", "FlowCyt-species-dilution-info": "", "FlowCyt-species-notes": "", "WB-species-checked": "notRecommended", "WB-species-dilution-info": "", "WB-species-notes": "", "ICCIF-species-checked": "notRecommended", "ICCIF-species-dilution-info": "", "ICCIF-species-notes": "<p></p>", "IHCP-species-checked": "notRecommended", "IHCP-species-dilution-info": "", "IHCP-species-notes": "" }, "Rat": { "IP-species-checked": "notRecommended", "IP-species-dilution-info": "", "IP-species-notes": "", "FlowCyt-species-checked": "notRecommended", "FlowCyt-species-dilution-info": "", "FlowCyt-species-notes": "", "WB-species-checked": "notRecommended", "WB-species-dilution-info": "", "WB-species-notes": "", "ICCIF-species-checked": "notRecommended", "ICCIF-species-dilution-info": "", "ICCIF-species-notes": "<p></p>", "IHCP-species-checked": "notRecommended", "IHCP-species-dilution-info": "", "IHCP-species-notes": "" } } }

Product details

Patented technology
Our RabMAb® technology is a patented hybridoma-based technology for making rabbit monoclonal antibodies. For details on our patents, please refer to RabMAb® patents.

What are the advantages of a recombinant monoclonal antibody?
This product is a recombinant monoclonal antibody, which offers several advantages including:

  • - High batch-to-batch consistency and reproducibility
  • - Improved sensitivity and specificity
  • - Long-term security of supply
  • - Animal-free batch production

For more information, read more on recombinant antibodies.

Properties and storage information

Form
Liquid
Purification technique
Affinity purification Protein A
Storage buffer
pH: 7.2 - 7.4 Preservative: 0.01% Sodium azide Constituents: PBS, 40% Glycerol (glycerin, glycerine), 0.05% BSA
Shipped at conditions
Blue Ice
Appropriate short-term storage duration
1-2 weeks
Appropriate short-term storage conditions
+4°C
Appropriate long-term storage conditions
-20°C
Aliquoting information
Upon delivery aliquot
Storage information
Avoid freeze / thaw cycle

Supplementary information

This supplementary information is collated from multiple sources and compiled automatically.

CD134 also known as OX40 or TNFRSF4 is a receptor that plays an essential role in immune response regulation. This receptor is part of the tumor necrosis factor receptor (TNFR) superfamily and has a molecular mass of approximately 50 kDa. CD134 is expressed on activated T cells particularly CD4+ T cells and is present on various other immune cells under specific conditions. The receptor binds to the OX40L its ligand which is expressed on antigen-presenting cells such as dendritic cells and B cells.
Biological function summary

CD134 influences T cell proliferation survival and memory formation being an important component of the immune system's adaptive response. OX40L engagement with CD134 enhances the activation and survival of T cells promoting long-term immunity. This interaction does not form part of a larger complex but functions as a direct signaling mechanism that augments T cell receptor (TCR) signaling leading to increased cytokine production and sustained immune responses essential for controlling infections and cancer.

Pathways

CD134 signaling intersects with the nuclear factor-kappa B (NF-κB) and phosphoinositide 3-kinase (PI3K) pathways. These pathways play significant roles in regulating immune responses and cell survival. Through the NF-κB pathway CD134 influences gene transcription related to immune activation. It also connects with other immune regulatory proteins such as CD28 which further potentiates T cell responses and enhances effector functions.

CD134 has connections to autoimmune diseases and cancers. Overactivity of the CD134-OX40L pathway can lead to exacerbated autoimmune conditions such as lupus. This receptor has also been implicated in tumor immunity where its activation enhances the anti-tumor response of T cells. CD134 interacts with CTLA-4 another immune checkpoint protein playing a role in balancing immune activation and regulation within these disease contexts.

Product protocols

For this product, it's our understanding that no specific protocols are required. You can visit:

Target data

Receptor for TNFSF4/OX40L/GP34. Is a costimulatory molecule implicated in long-term T-cell immunity.. (Microbial infection) Acts as a receptor for human herpesvirus 6B/HHV-6B.
See full target information TNFRSF4

Product promise

We are committed to supporting your work with high-quality reagents, and we're here for you every step of the way. In the unlikely event that one of our products does not perform as expected, you're protected by our Product Promise.
For full details, please see our Terms & Conditions

Please note: All products are 'FOR RESEARCH USE ONLY. NOT FOR USE IN DIAGNOSTIC OR THERAPEUTIC PROCEDURES'.

For licensing inquiries, please contact partnerships@abcam.com