JavaScript is disabled in your browser. Please enable JavaScript to view this website.
AB203391

Anti-CD137 antibody

Be the first to review this product! Submit a review

|

(6 Publications)

Rabbit Polyclonal CD137 antibody. Suitable for IHC-P and reacts with Rat samples. Cited in 6 publications. Immunogen corresponding to Synthetic Peptide within Human TNFRSF9 aa 100-200 conjugated to Keyhole Limpet Haemocyanin.

View Alternative Names

CD137, ILA, TNFRSF9, Tumor necrosis factor receptor superfamily member 9, 4-1BB ligand receptor, CDw137, T-cell antigen 4-1BB homolog, T-cell antigen ILA

1 Images
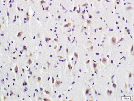
Immunohistochemistry (Formalin/PFA-fixed paraffin-embedded sections) - Anti-CD137 antibody (AB203391)
  • IHC-P

Supplier Data

Immunohistochemistry (Formalin/PFA-fixed paraffin-embedded sections) - Anti-CD137 antibody (AB203391)

Immunohistochemical analysis of formalin-fixed paraffin-embedded rat brain tissue, labeling CD137 using ab203391 at a 1/600 dilution, followed by conjugation to the secondary antibody and DAB staining.

Key facts

Host species

Rabbit

Clonality

Polyclonal

Isotype

IgG

Carrier free

No

Reacts with

Rat

Applications

IHC-P

applications

Immunogen

Synthetic Peptide within Human TNFRSF9 aa 100-200 conjugated to Keyhole Limpet Haemocyanin. The exact immunogen used to generate this antibody is proprietary information.

Q07011

Reactivity data

{ "title": "Reactivity Data", "filters": { "stats": ["", "Species", "Dilution Info", "Notes"], "tabs": { "all-applications": {"fullname" : "All Applications", "shortname": "All Applications"}, "IHCP" : {"fullname" : "Immunohistochemistry (Formalin/PFA-fixed paraffin-embedded sections)", "shortname":"IHC-P"} }, "product-promise": { "all": "all", "testedAndGuaranteed": "tested", "guaranteed": "expected", "predicted": "predicted", "notRecommended": "not-recommended" } }, "values": { "Rat": { "IHCP-species-checked": "testedAndGuaranteed", "IHCP-species-dilution-info": "1/100 - 1/600", "IHCP-species-notes": "<p>Use at 1/50 - 1/200 with fluorescent detection methods.</p> Perform heat-mediated antigen retrieval with citrate buffer pH 6 before commencing with IHC staining protocol." } } }

Properties and storage information

Form
Liquid
Purification technique
Affinity purification Protein A
Storage buffer
pH: 7.4 Preservative: 0.02% Proclin 300 Constituents: 50% Glycerol (glycerin, glycerine), 48.98% TBS, 1X, 1% BSA
Shipped at conditions
Blue Ice
Appropriate short-term storage duration
1-2 weeks
Appropriate short-term storage conditions
+4°C
Appropriate long-term storage conditions
-20°C
Aliquoting information
Upon delivery aliquot
Storage information
Avoid freeze / thaw cycle

Supplementary information

This supplementary information is collated from multiple sources and compiled automatically.

CD137 also known as 4-1BB or TNFRSF9 is a protein that functions as a costimulatory receptor in the immune system. It belongs to the tumor necrosis factor receptor (TNFR) superfamily. CD137 has a mass of approximately 30 kDa. Expression of CD137 occurs mainly on activated T lymphocytes including both CD8+ and CD4+ T cells as well as natural killer (NK) cells dendritic cells and monocytes. The CD137 ligand (CD137L) is the counterpart that engages this receptor transmitting signals important for immune response regulation.
Biological function summary

CD137 plays an important role in T cell activation and survival. It is a member of a receptor-ligand system that enhances immune cell functions. CD137 is part of a receptor complex that when bound by its ligand CD137L promotes cell proliferation and cytokine production. It also supports the development of memory T cells contributing to the body's ability to mount long-term immune responses.

Pathways

CD137 takes part in the NF-kB signaling and MAPK pathways. These pathways are vital for regulating immune responses and inflammation. CD137 signaling through these pathways involves interaction with proteins such as TRAF1 and TRAF2 which help mediate downstream effects critical for cell survival and proliferation. These interactions enhance the body's defense against pathogens and tumors.

CD137 is associated with cancer immunotherapy and autoimmune diseases. In cancer CD137 enhances the anti-tumor activity of immune cells making it a target for immunotherapy strategies. For autoimmune diseases abnormal CD137 expression can lead to excessive immune responses contributing to disease pathogenesis. The protein is also connected to TNF-alpha through its involvement in inflammation suggesting potential intervention points for modulating immune response in related diseases.

Product protocols

For this product, it's our understanding that no specific protocols are required. You can visit:

Target data

Receptor for TNFSF9/4-1BBL. Conveys a signal that enhances CD8(+) T-cell survival, cytotoxicity, and mitochondrial activity, thereby promoting immunity against viruses and tumors (Probable).
See full target information TNFRSF9

Publications (6)

Recent publications for all applications. Explore the full list and refine your search

Frontiers in immunology 13:896744 PubMed35911679

2022

Blockage of Galectin-Receptor Interactions Attenuates Mouse Hepatic Pathology Induced by Infection.

Applications

Unspecified application

Species

Unspecified reactive species

Jian He,Yongheng Hou,Fangli Lu

International immunopharmacology 88:106905 PubMed32905970

2020

The therapeutic potential of resveratrol in a mouse model of melanoma lung metastasis.

Applications

Unspecified application

Species

Unspecified reactive species

Amirhossein Davoodvandi,Maryam Darvish,Sarina Borran,Majid Nejati,Samaneh Mazaheri,Omid Reza Tamtaji,Micheal R Hamblin,Nahid Masoudian,Hamed Mirzaei

Science advances 6:eaaz7492 PubMed32426485

2020

Gene therapy for follistatin mitigates systemic metabolic inflammation and post-traumatic arthritis in high-fat diet-induced obesity.

Applications

Unspecified application

Species

Unspecified reactive species

Ruhang Tang,Natalia S Harasymowicz,Chia-Lung Wu,Kelsey H Collins,Yun-Rak Choi,Sara J Oswald,Farshid Guilak

International journal of obesity (2005) 42:721-727 PubMed29188818

2017

No evidence of white adipocyte browning after endurance exercise training in obese men.

Applications

Unspecified application

Species

Unspecified reactive species

T Tsiloulis,A L Carey,J Bayliss,B Canny,R C R Meex,M J Watt

Cancer prevention research (Philadelphia, Pa.) 10:684-693 PubMed29018057

2017

PD-1 Blockade Prevents the Development and Progression of Carcinogen-Induced Oral Premalignant Lesions.

Applications

Unspecified application

Species

Unspecified reactive species

Jin Wang,Tongxin Xie,Bingbing Wang,William N William,John V Heymach,Adel K El-Naggar,Jeffrey N Myers,Carlos Caulin

Molecular medicine reports 16:1262-1268 PubMed28627614

2017

CagA promotes proliferation and inhibits apoptosis of GES-1 cells by upregulating TRAF1/4-1BB.

Applications

Unspecified application

Species

Unspecified reactive species

Fen Wang,Nanfang Qu,Jin Peng,Chun Yue,Lingzhi Yuan,Yi Yuan
View all publications

Product promise

We are committed to supporting your work with high-quality reagents, and we're here for you every step of the way. In the unlikely event that one of our products does not perform as expected, you're protected by our Product Promise.
For full details, please see our Terms & Conditions

Please note: All products are 'FOR RESEARCH USE ONLY. NOT FOR USE IN DIAGNOSTIC OR THERAPEUTIC PROCEDURES'.

For licensing inquiries, please contact partnerships@abcam.com