JavaScript is disabled in your browser. Please enable JavaScript to view this website.
AB300349

Anti-CD137 antibody [EPR25096-57]

Be the first to review this product! Submit a review

|

(0 Publication)

Rabbit Recombinant Monoclonal CD137 antibody. Suitable for IP, Flow Cyt, ICC/IF, WB and reacts with Human samples.

View Alternative Names

CD137, ILA, TNFRSF9, Tumor necrosis factor receptor superfamily member 9, 4-1BB ligand receptor, CDw137, T-cell antigen 4-1BB homolog, T-cell antigen ILA

5 Images
Immunocytochemistry/ Immunofluorescence - Anti-CD137 antibody [EPR25096-57] (AB300349)
  • ICC/IF

Supplier Data

Immunocytochemistry/ Immunofluorescence - Anti-CD137 antibody [EPR25096-57] (AB300349)

Immunofluorescent analysis of 80% Methanol-fixed, 0.1% TritonX-100 permeabilized HDLM-2 (human Hodgkin lymphoma) cells labelling CD137 with ab300349 at 1/500 (1.01 ug/ml) dilution, followed by ab150081 Goat Anti-Rabbit IgG H&L (Alexa Fluor® 488) preadsorbed antibody at 1/1000 2 ug/ml dilution (Green). Confocal image showing cytoplasmic and membranous staining in HDLM-2 cell lineNegative control : Jurkat (PMID : 25409517) is observed. ab195889 Anti-alpha Tubulin mouse monoclonal antibody - Microtubule Marker (Alexa Fluor® 594) was used to counterstain tubulin at 1/200 2.5 ug/ml dilution (Red). The Nuclear counterstain was DAPI (Blue). Secondary antibody only control : Secondary antibody is ab150081 Goat Anti-Rabbit IgG H&L (Alexa Fluor® 488) preadsorbed at 1/1000 2 ug/ml dilution.

Flow Cytometry (Intracellular) - Anti-CD137 antibody [EPR25096-57] (AB300349)
  • Flow Cyt (Intra)

Supplier Data

Flow Cytometry (Intracellular) - Anti-CD137 antibody [EPR25096-57] (AB300349)

Flow cytometric analysis of Jurkat (Human T cell leukemia T lymphocyte, Left) / HDLM-2 (Human Hodgkin lymphoma, Right) cells labelling CD137 with ab300349 at 1/500 dilution (0.1ug) (Red) compared with a Rabbit monoclonal IgG (ab172730) (Black) isotype control and an unlabelled control (cells without incubation with primary antibody and secondary antibody) (Blue). Goat Anti-Rabbit IgG (Alexa Fluor® 488, ab150081) at 1/2000 dilution was used as the secondary antibody. Gated on viable cells.Negative control : Jurkat (PMID : 25409517).

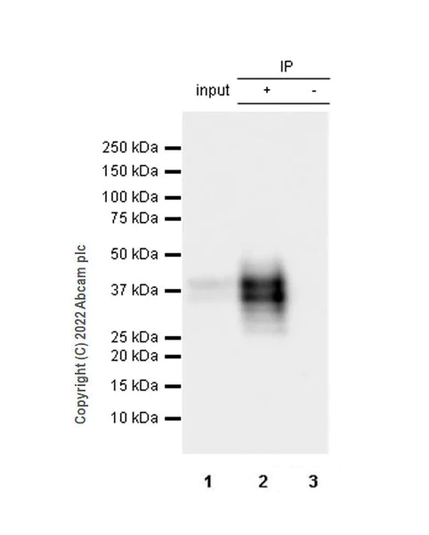
Immunoprecipitation - Anti-CD137 antibody [EPR25096-57] (AB300349)
  • IP

Supplier Data

Immunoprecipitation - Anti-CD137 antibody [EPR25096-57] (AB300349)

CD137 was immunoprecipitated from 0.35 mg HDLM-2 (human Hodgkin lymphoma) whole cell lysate 10 ug with ab300349 at 1/30 dilution (2ug in 0.35mg lysates). Western blot was performed on the immunoprecipitate using ab300349 at 1/1000 dilution. VeriBlot for IP secondary antibody (HRP) (ab131366) was used at 1/5000 dilution.

Lane 1 : HDLM-2 (human Hodgkin lymphoma) whole cell lysate 10 ug

Lane 2 : ab300349 IP in HDLM-2 whole cell lysate

Lane 3 : Rabbit monoclonal IgG (ab172730) instead of ab300349 in HDLM-2 whole cell lysate

Blocking and dilution buffer and concentration : 5% NFDM/TBST.

Exposure time : 15 seconds

All lanes:

Immunoprecipitation - Anti-CD137 antibody [EPR25096-57] (ab300349) at 1/1000 dilution

All lanes:

HDLM-2 whole cell lysate at 10 µg

Secondary

All lanes:

Immunoprecipitation - VeriBlot for IP Detection Reagent (HRP) (<a href='/en-us/products/reagents/veriblot-for-ip-detection-reagent-hrp-ab131366'>ab131366</a>) at 1/5000 dilution

false

Exposure time: 15s

Western blot - Anti-CD137 antibody [EPR25096-57] (AB300349)
  • WB

Supplier Data

Western blot - Anti-CD137 antibody [EPR25096-57] (AB300349)

Blocking and diluting buffer and concentration : 5% NFDM/TBST

All lanes:

Western blot - Anti-CD137 antibody [EPR25096-57] (ab300349) at 1/1000 dilution

Lane 1:

Human tonsil tissue lysate

Lane 2:

Human spleen tissue lysate

Lane 3:

Human lymphoma tissue lysate

Secondary

All lanes:

Goat Anti-Rabbit IgG (HRP) with minimal cross-reactivity with human IgG at 1/2000 dilution

Observed band size: 32 kDa,40 kDa

false

Exposure time: 3min

Western blot - Anti-CD137 antibody [EPR25096-57] (AB300349)
  • WB

Supplier Data

Western blot - Anti-CD137 antibody [EPR25096-57] (AB300349)

Blocking and diluting buffer and concentration : 5% NFDM/TBST

All lanes:

Western blot - Anti-CD137 antibody [EPR25096-57] (ab300349) at 1/1000 dilution

Lane 1:

HDLM-2 (human Hodgkin lymphoma) whole cell lysate 20 µg

Lane 2:

Jurkat (human T cell leukemia T lymphocyte) whole cell lysate 20 µg

Secondary

All lanes:

Western blot - Goat Anti-Rabbit IgG H&L (HRP) (<a href='/en-us/products/secondary-antibodies/goat-rabbit-igg-h-l-hrp-ab97051'>ab97051</a>) at 1/100000 dilution

Observed band size: 32 kDa,40 kDa

false

Exposure time: 103s

  • Carrier free

    Anti-CD137 antibody [EPR25096-57] (BSA and Azide free)

Key facts

Host species

Rabbit

Clonality

Monoclonal

Clone number

EPR25096-57

Isotype

IgG

Carrier free

No

Reacts with

Human

Applications

IP, WB, ICC/IF, Flow Cyt

applications

Immunogen

The exact immunogen used to generate this antibody is proprietary information.

Reactivity data

{ "title": "Reactivity Data", "filters": { "stats": ["", "Species", "Dilution Info", "Notes"], "tabs": { "all-applications": {"fullname" : "All Applications", "shortname": "All Applications"}, "IP" : {"fullname" : "Immunoprecipitation", "shortname":"IP"}, "FlowCyt" : {"fullname" : "Flow Cytometry", "shortname":"Flow Cyt"}, "ICCIF" : {"fullname" : "Immunocytochemistry/ Immunofluorescence", "shortname":"ICC/IF"}, "IHCP" : {"fullname" : "Immunohistochemistry (Formalin/PFA-fixed paraffin-embedded sections)", "shortname":"IHC-P"}, "WB" : {"fullname" : "Western blot", "shortname":"WB"} }, "product-promise": { "all": "all", "testedAndGuaranteed": "tested", "guaranteed": "expected", "predicted": "predicted", "notRecommended": "not-recommended" } }, "values": { "Human": { "IP-species-checked": "testedAndGuaranteed", "IP-species-dilution-info": "1/30", "IP-species-notes": "<p></p>", "FlowCyt-species-checked": "testedAndGuaranteed", "FlowCyt-species-dilution-info": "1/500", "FlowCyt-species-notes": "<p></p>", "ICCIF-species-checked": "testedAndGuaranteed", "ICCIF-species-dilution-info": "1/500", "ICCIF-species-notes": "<p></p>", "IHCP-species-checked": "notRecommended", "IHCP-species-dilution-info": "", "IHCP-species-notes": "<p></p> Perform heat-mediated antigen retrieval with Tris/EDTA buffer pH 9.0 before commencing with IHC staining protocol.", "WB-species-checked": "testedAndGuaranteed", "WB-species-dilution-info": "1/1000", "WB-species-notes": "<p></p>" }, "Mouse": { "IP-species-checked": "notRecommended", "IP-species-dilution-info": "", "IP-species-notes": "", "FlowCyt-species-checked": "notRecommended", "FlowCyt-species-dilution-info": "", "FlowCyt-species-notes": "", "ICCIF-species-checked": "notRecommended", "ICCIF-species-dilution-info": "", "ICCIF-species-notes": "", "IHCP-species-checked": "notRecommended", "IHCP-species-dilution-info": "", "IHCP-species-notes": "<p></p> Perform heat-mediated antigen retrieval with Tris/EDTA buffer pH 9.0 before commencing with IHC staining protocol.", "WB-species-checked": "notRecommended", "WB-species-dilution-info": "1/1000", "WB-species-notes": "<p></p>" }, "Rat": { "IP-species-checked": "notRecommended", "IP-species-dilution-info": "", "IP-species-notes": "", "FlowCyt-species-checked": "notRecommended", "FlowCyt-species-dilution-info": "", "FlowCyt-species-notes": "", "ICCIF-species-checked": "notRecommended", "ICCIF-species-dilution-info": "", "ICCIF-species-notes": "", "IHCP-species-checked": "notRecommended", "IHCP-species-dilution-info": "", "IHCP-species-notes": "<p></p> Perform heat-mediated antigen retrieval with Tris/EDTA buffer pH 9.0 before commencing with IHC staining protocol.", "WB-species-checked": "notRecommended", "WB-species-dilution-info": "1/1000", "WB-species-notes": "<p></p>" } } }

Product details

Patented technology
Our RabMAb® technology is a patented hybridoma-based technology for making rabbit monoclonal antibodies. For details on our patents, please refer to RabMAb® patents.

What are the advantages of a recombinant monoclonal antibody?
This product is a recombinant monoclonal antibody, which offers several advantages including:

  • - High batch-to-batch consistency and reproducibility
  • - Improved sensitivity and specificity
  • - Long-term security of supply
  • - Animal-free batch production

For more information, read more on recombinant antibodies.

Properties and storage information

Form
Liquid
Purification technique
Affinity purification Protein A
Storage buffer
pH: 7.2 - 7.4 Preservative: 0.01% Sodium azide Constituents: PBS, 40% Glycerol (glycerin, glycerine), 0.05% BSA
Shipped at conditions
Blue Ice
Appropriate short-term storage duration
1-2 weeks
Appropriate short-term storage conditions
+4°C
Appropriate long-term storage conditions
-20°C
Aliquoting information
Upon delivery aliquot
Storage information
Avoid freeze / thaw cycle

Supplementary information

This supplementary information is collated from multiple sources and compiled automatically.

CD137 also known as 4-1BB or TNFRSF9 is a protein that functions as a costimulatory receptor in the immune system. It belongs to the tumor necrosis factor receptor (TNFR) superfamily. CD137 has a mass of approximately 30 kDa. Expression of CD137 occurs mainly on activated T lymphocytes including both CD8+ and CD4+ T cells as well as natural killer (NK) cells dendritic cells and monocytes. The CD137 ligand (CD137L) is the counterpart that engages this receptor transmitting signals important for immune response regulation.
Biological function summary

CD137 plays an important role in T cell activation and survival. It is a member of a receptor-ligand system that enhances immune cell functions. CD137 is part of a receptor complex that when bound by its ligand CD137L promotes cell proliferation and cytokine production. It also supports the development of memory T cells contributing to the body's ability to mount long-term immune responses.

Pathways

CD137 takes part in the NF-kB signaling and MAPK pathways. These pathways are vital for regulating immune responses and inflammation. CD137 signaling through these pathways involves interaction with proteins such as TRAF1 and TRAF2 which help mediate downstream effects critical for cell survival and proliferation. These interactions enhance the body's defense against pathogens and tumors.

CD137 is associated with cancer immunotherapy and autoimmune diseases. In cancer CD137 enhances the anti-tumor activity of immune cells making it a target for immunotherapy strategies. For autoimmune diseases abnormal CD137 expression can lead to excessive immune responses contributing to disease pathogenesis. The protein is also connected to TNF-alpha through its involvement in inflammation suggesting potential intervention points for modulating immune response in related diseases.

Product protocols

For this product, it's our understanding that no specific protocols are required. You can visit:

Target data

Receptor for TNFSF9/4-1BBL. Conveys a signal that enhances CD8(+) T-cell survival, cytotoxicity, and mitochondrial activity, thereby promoting immunity against viruses and tumors (Probable).
See full target information TNFRSF9

Product promise

We are committed to supporting your work with high-quality reagents, and we're here for you every step of the way. In the unlikely event that one of our products does not perform as expected, you're protected by our Product Promise.
For full details, please see our Terms & Conditions

Please note: All products are 'FOR RESEARCH USE ONLY. NOT FOR USE IN DIAGNOSTIC OR THERAPEUTIC PROCEDURES'.

For licensing inquiries, please contact partnerships@abcam.com