JavaScript is disabled in your browser. Please enable JavaScript to view this website.
AB182032

Anti-CD14 antibody [4B4F12]

5

(2 Reviews)

|

(45 Publications)

Anti-CD14 antibody [4B4F12] (ab182032) is a mouse monoclonal antibody detecting CD14 in Western Blot, Flow Cytometry, IHC-P. Suitable for Human, Mouse.

- Over 30 publications

View Alternative Names

CD14, Monocyte differentiation antigen CD14, My23 antigen, Myeloid cell-specific leucine-rich glycoprotein

6 Images
Immunohistochemistry (Formalin/PFA-fixed paraffin-embedded sections) - Anti-CD14 antibody [4B4F12] (AB182032)
  • IHC-P

Supplier Data

Immunohistochemistry (Formalin/PFA-fixed paraffin-embedded sections) - Anti-CD14 antibody [4B4F12] (AB182032)

Immunohistochemical analysis of paraffin-embedded, DAB-stained Human stomach cancer tissues labeling CD14 using ab182032 at 1/200.

Flow Cytometry - Anti-CD14 antibody [4B4F12] (AB182032)
  • Flow Cyt

Supplier Data

Flow Cytometry - Anti-CD14 antibody [4B4F12] (AB182032)

Flow cytometric analysis of Jurkat cells labeling CD14 using ab182032 at 1/200 (green) and a negative control (red).

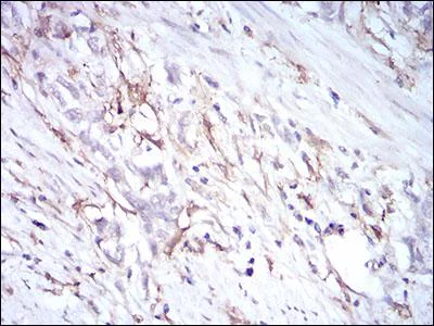
Immunohistochemistry (Formalin/PFA-fixed paraffin-embedded sections) - Anti-CD14 antibody [4B4F12] (AB182032)
  • IHC-P

AbReview43641****

Immunohistochemistry (Formalin/PFA-fixed paraffin-embedded sections) - Anti-CD14 antibody [4B4F12] (AB182032)

Immunohistochemistry (Formalin/PFA-fixed paraffin-embedded sections) analysis of mouse liver tissue section labeling CD14 with ab182032. The tissue was fixed with formaldehyde, heat mediated antigen retrieval was performed followed by blocking with 5% serum for 12 hours at 4°C. The tissue was incubated with undiluted Anti-CD14 antibody [4B4F12] (ab182032) for 12 hours at 4°C.

This image is courtesy of an anonymous abreview.

Western blot - Anti-CD14 antibody [4B4F12] (AB182032)
  • WB

Supplier Data

Western blot - Anti-CD14 antibody [4B4F12] (AB182032)

All lanes:

Western blot - Anti-CD14 antibody [4B4F12] (ab182032) at 1/500 dilution

Lane 1:

HepG2 cell lysate

Lane 2:

A549 cell lysate

Lane 3:

HL60 cell lysate

Lane 4:

mouse RAW264.7 cell lysate

Lane 5:

HeLa cell lysate

Lane 6:

HEK293 cell lysate

Lane 7:

mouse NIH 3T3 cell lysate

Predicted band size: 40 kDa

false

Western blot - Anti-CD14 antibody [4B4F12] (AB182032)
  • WB

Supplier Data

Western blot - Anti-CD14 antibody [4B4F12] (AB182032)

All lanes:

Western blot - Anti-CD14 antibody [4B4F12] (ab182032) at 1/500 dilution

All lanes:

Human CD14 recombinant protein (amino acids 20-214)

Predicted band size: 40 kDa

false

Western blot - Anti-CD14 antibody [4B4F12] (AB182032)
  • WB

Supplier Data

Western blot - Anti-CD14 antibody [4B4F12] (AB182032)

All lanes:

Western blot - Anti-CD14 antibody [4B4F12] (ab182032) at 1/500 dilution

Lane 1:

Lysate from HEK293 cells

Lane 2:

Lysate from HEK293 cells transfected with CD14 (amino acids 20-214)-hIgGFc

Predicted band size: 22 kDa,282 kDa,37 kDa,39 kDa,40 kDa,92 kDa,99 kDa

false

Key facts

Host species

Mouse

Clonality

Monoclonal

Clone number

4B4F12

Isotype

IgG1

Carrier free

No

Reacts with

Mouse, Human

Applications

WB, Flow Cyt, IHC-P

applications

Immunogen

Recombinant Fragment Protein within Human CD14 aa 1-250. The exact immunogen used to generate this antibody is proprietary information.

P08571

Reactivity data

{ "title": "Reactivity Data", "filters": { "stats": ["", "Species", "Dilution Info", "Notes"], "tabs": { "all-applications": {"fullname" : "All Applications", "shortname": "All Applications"}, "FlowCyt" : {"fullname" : "Flow Cytometry", "shortname":"Flow Cyt"}, "WB" : {"fullname" : "Western blot", "shortname":"WB"}, "IHCP" : {"fullname" : "Immunohistochemistry (Formalin/PFA-fixed paraffin-embedded sections)", "shortname":"IHC-P"} }, "product-promise": { "all": "all", "testedAndGuaranteed": "tested", "guaranteed": "expected", "predicted": "predicted", "notRecommended": "not-recommended" } }, "values": { "Human": { "FlowCyt-species-checked": "testedAndGuaranteed", "FlowCyt-species-dilution-info": "1/200 - 1/400", "FlowCyt-species-notes": "<p><a href='/en-us/products/primary-antibodies/mouse-igg1-kappa-monoclonal-15-6e10a7-isotype-control-ab170190'>ab170190</a> - Mouse monoclonal IgG1, is suitable for use as an isotype control with this antibody.</p>", "WB-species-checked": "testedAndGuaranteed", "WB-species-dilution-info": "1/500 - 1/2000", "WB-species-notes": "<p></p>", "IHCP-species-checked": "testedAndGuaranteed", "IHCP-species-dilution-info": "1/200 - 1/1000", "IHCP-species-notes": "<p></p>" }, "Mouse": { "FlowCyt-species-checked": "guaranteed", "FlowCyt-species-dilution-info": "", "FlowCyt-species-notes": "", "WB-species-checked": "testedAndGuaranteed", "WB-species-dilution-info": "1/500 - 1/2000", "WB-species-notes": "<p></p>", "IHCP-species-checked": "guaranteed", "IHCP-species-dilution-info": "", "IHCP-species-notes": "" } } }

Product details

What is this antibody validated in?
Anti-CD14 antibody [4B4F12] (ab182032) is a mouse monoclonal antibody and is validated for use in Western Blot (WB), Flow Cytometry (Flow Cyt), Immunohistochemistry (IHC-P) in Human, Mouse samples.

What is the molecular weight of CD14?
Anti-CD14 [4B4F12] (ab182032) specifically detects a band for CD14 (UniProt: P08571) at a molecular weight of 40kDa.

Trusted by the scientific community
Anti-CD14 [4B4F12] (ab182032) was first used in a scientific publication in 2013 and has been cited over 30 times in peer-reviewed journals.

Properties and storage information

Form
Liquid
Purification technique
Affinity purification Protein G
Purification notes
Purified from tissue culture supernatant.
Storage buffer
Preservative: 0.05% Sodium azide Constituents: PBS
Shipped at conditions
Blue Ice
Appropriate short-term storage duration
1-2 weeks
Appropriate short-term storage conditions
+4°C
Appropriate long-term storage conditions
-20°C
Aliquoting information
Upon delivery aliquot
Storage information
Avoid freeze / thaw cycle

Supplementary information

This supplementary information is collated from multiple sources and compiled automatically.

CD14 also known as cluster of differentiation 14 is a glycoprotein with a molecular mass of approximately 55 kDa. This protein is expressed mainly on the surface of macrophages monocytes and to a lesser extent on neutrophils. CD14 exists in two forms: membrane-bound (mCD14) and soluble (sCD14). It functions as a co-receptor along with TLR4 (Toll-like receptor 4) and MD-2 for the detection of bacterial lipopolysaccharide (LPS) which is an important component of the outer membrane of Gram-negative bacteria.
Biological function summary

This glycoprotein plays a significant role in the innate immune system by recognizing pathogen-associated molecular patterns (PAMPs). It is part of a receptor complex where CD14 acts alongside LPS binding protein (LPS-R) TLR4 and MD-2 to facilitate pro-inflammatory signaling in response to microbial invasion. By binding to LPS CD14 initiates and amplifies the immune response leading to the production of cytokines and the recruitment of other immune cells to the site of infection.

Pathways

CD14 interacts with the toll-like receptor signaling pathway notably involving TLR4. Upon LPS detection CD14 assists in the activation of TLR4 triggering downstream signaling cascades such as NF-κB and MAPK pathways. These pathways result in the transcription of inflammatory cytokines and are essential for the host defense mechanism. The protein complex involving CD14 further interacts with adaptor proteins like MyD88 and TRIF facilitating signal propagation and the immune system's ability to respond to pathogens.

Researchers have linked CD14 to sepsis and atherosclerosis. High levels of soluble CD14 (sCD14) are often observed in patients with sepsis indicating its participation in excessive systemic inflammation. In atherosclerosis CD14's role in recognizing LPS contributes to chronic inflammation and the development of plaques in arteries. Through these diseases CD14 connects with TLR4 emphasizing its impact on inflammatory responses and its potential as a therapeutic target.

Product protocols

For this product, it's our understanding that no specific protocols are required. You can visit:

Target data

Coreceptor for bacterial lipopolysaccharide (PubMed : 1698311, PubMed : 23264655). In concert with LBP, binds to monomeric lipopolysaccharide and delivers it to the LY96/TLR4 complex, thereby mediating the innate immune response to bacterial lipopolysaccharide (LPS) (PubMed : 20133493, PubMed : 22265692, PubMed : 23264655). Acts via MyD88, TIRAP and TRAF6, leading to NF-kappa-B activation, cytokine secretion and the inflammatory response (PubMed : 8612135). Acts as a coreceptor for TLR2 : TLR6 heterodimer in response to diacylated lipopeptides and for TLR2 : TLR1 heterodimer in response to triacylated lipopeptides, these clusters trigger signaling from the cell surface and subsequently are targeted to the Golgi in a lipid-raft dependent pathway (PubMed : 16880211). Binds electronegative LDL (LDL(-)) and mediates the cytokine release induced by LDL(-) (PubMed : 23880187).
See full target information CD14

Publications (45)

Recent publications for all applications. Explore the full list and refine your search

Frontiers in pediatrics 13:1560242 PubMed40746354

2025

Platelet specific knockout of integrin beta-3 (β3) reduces severity of necrotizing enterocolitis in murine neonates.

Applications

Unspecified application

Species

Unspecified reactive species

Marie Amalie Balamurugan,Balamurugan Ramatchandirin,Suneetha Desiraju,Arjun Subrramanya,Juanitaa George Raj,Megan M Ferris,Zainab D Lawal,Oluwabunmi O Olaloye,Liza Konnikova,Krishnan MohanKumar

Cell reports. Medicine 6:101930 PubMed39889711

2025

Neoadjuvant immunotherapy with or without chemotherapy in locally advanced oral squamous cell carcinoma: Randomized, two-arm, phase 2 trial.

Applications

Unspecified application

Species

Unspecified reactive species

Hai-Ming Liu,Xue-Peng Xiong,Zi-Li Yu,Zhe Shao,Gai-Li Chen,Yu-Tong Liu,Xin-Xin Wang,Qiu-Yun Fu,Xiao-Xia Cheng,Jing Li,Jia-Li Zhang,Bo Li,Hong-Yun Gong,Ya-Hua Zhong,Wei Zhang,Jun Jia,Bing Liu,Gang Chen

Biomarker research 12:117 PubMed39385256

2024

Single-cell analysis reveals alternations between the aged and young mice prostates.

Applications

Unspecified application

Species

Unspecified reactive species

Yang Li,Yuhong Ding,Yaxin Hou,Lilong Liu,Zhenghao Liu,Zhipeng Yao,Pengjie Shi,Jinxu Li,Ke Chen,Junyi Hu

Nature cell biology 26:1984-1996 PubMed39379702

2024

Blood-generating heart-forming organoids recapitulate co-development of the human haematopoietic system and the embryonic heart.

Applications

Unspecified application

Species

Unspecified reactive species

Miriana Dardano,Felix Kleemiß,Maike Kosanke,Dorina Lang,Liam Wilson,Annika Franke,Jana Teske,Akshatha Shivaraj,Jeanne de la Roche,Martin Fischer,Lucas Lange,Axel Schambach,Lika Drakhlis,Robert Zweigerdt

Journal for immunotherapy of cancer 12: PubMed39366751

2024

PARP inhibitors enhance antitumor immune responses by triggering pyroptosis via TNF-caspase 8-GSDMD/E axis in ovarian cancer.

Applications

Unspecified application

Species

Unspecified reactive species

Yu Xia,Pu Huang,Yi-Yu Qian,Zanhong Wang,Ning Jin,Xin Li,Wen Pan,Si-Yuan Wang,Ping Jin,Emmanuel Kwateng Drokow,Xiong Li,Qi Zhang,Zhengmao Zhang,Pingfei Li,Yong Fang,Xiang-Ping Yang,Zhiqiang Han,Qing-Lei Gao

Nature communications 15:7941 PubMed39266532

2024

Cellular origin and clonal evolution of human dedifferentiated liposarcoma.

Applications

Unspecified application

Species

Unspecified reactive species

Nadège Gruel,Chloé Quignot,Laëtitia Lesage,Sophie El Zein,Sylvie Bonvalot,Dimitri Tzanis,Khadija Ait Rais,Fabien Quinquis,Bastien Manciot,Julien Vibert,Nadine El Tannir,Ahmed Dahmani,Héloïse Derrien,Didier Decaudin,Ivan Bièche,Laura Courtois,Odette Mariani,Laëtitia K Linares,Laurie Gayte,Sylvain Baulande,Joshua J Waterfall,Olivier Delattre,Gaëlle Pierron,Sarah Watson

Frontiers in immunology 15:1448092 PubMed39104523

2024

Human liver derived mesenchymal stromal cells ameliorate murine ischemia-induced inflammation through macrophage polarization.

Applications

Unspecified application

Species

Unspecified reactive species

Yun Liang,Elif Ozdogan,Michael J Hansen,Hui Tang,Ishran Saadiq,Kyra L Jordan,James D Krier,Deep B Gandhi,Joseph P Grande,Lilach O Lerman,Timucin Taner

Cell death discovery 10:308 PubMed38961068

2024

Plac8-ERK pathway modulation of monocyte function in sepsis.

Applications

Unspecified application

Species

Unspecified reactive species

Teng Zhang,Jing-Nan Fu,Gui-Bing Chen,Xiu Zhang

Nature communications 15:2381 PubMed38493178

2024

Rapid evolution of an adaptive multicellular morphology of Candida auris during systemic infection.

Applications

Unspecified application

Species

Unspecified reactive species

Jian Bing,Zhangyue Guan,Tianhong Zheng,Craig L Ennis,Clarissa J Nobile,Changbin Chen,Haiqing Chu,Guanghua Huang

Cell death & disease 14:447 PubMed37468461

2023

Loss of function mutation in Ank causes aberrant mineralization and acquisition of osteoblast-like-phenotype by the cells of the intervertebral disc.

Applications

Unspecified application

Species

Unspecified reactive species

Takashi Ohnishi,Victoria Tran,Kimheak Sao,Pranay Ramteke,William Querido,Ruteja A Barve,Koen van de Wetering,Makarand V Risbud
View all publications

Product promise

We are committed to supporting your work with high-quality reagents, and we're here for you every step of the way. In the unlikely event that one of our products does not perform as expected, you're protected by our Product Promise.
For full details, please see our Terms & Conditions

Please note: All products are 'FOR RESEARCH USE ONLY. NOT FOR USE IN DIAGNOSTIC OR THERAPEUTIC PROCEDURES'.

For licensing inquiries, please contact partnerships@abcam.com