JavaScript is disabled in your browser. Please enable JavaScript to view this website.
AB133503

Anti-CD14 antibody [EPR3652]

Be the first to review this product! Submit a review

|

(4 Publications)

Rabbit Recombinant Monoclonal CD14 antibody. Suitable for IHC-P, Flow Cyt and reacts with Human samples. Cited in 4 publications.

View Alternative Names

CD14, Monocyte differentiation antigen CD14, My23 antigen, Myeloid cell-specific leucine-rich glycoprotein

6 Images
Flow Cytometry - Anti-CD14 antibody [EPR3652] (AB133503)
  • Flow Cyt

Lab

Flow Cytometry - Anti-CD14 antibody [EPR3652] (AB133503)

Human whole blood was stained with anti-CD14 antibody ab133503 (red line). In brief the erythrocytes were lysed and the cells were then stained with anti-CD14 (ab133503) for 30 min at 4°C. The secondary antibody used was Alexa Fluor® 488 goat anti-rabbit IgG (H&L) (ab150077) at 1/2000 dilution for 30 min at 4°C. Isotype control antibody (black line) was rabbit IgG (monoclonal) (ab172730) used at the same concentration and conditions as the primary antibody. Unlabelled sample (blue line) was also used as a control.

Acquisition of >30000 total events were collected. Gating strategy - peripheral blood monocytes

Immunohistochemistry (Formalin/PFA-fixed paraffin-embedded sections) - Anti-CD14 antibody [EPR3652] (AB133503)
  • IHC-P

Unknown

Immunohistochemistry (Formalin/PFA-fixed paraffin-embedded sections) - Anti-CD14 antibody [EPR3652] (AB133503)

Immunohistochemistry (Formalin/PFA-fixed paraffin-embedded sections) analysis of human tonsil tissue labelling CD14 with unpurified ab133503 at a dilution of 1/100.

Perform heat mediated antigen retrieval before commencing with IHC staining protocol.

Immunohistochemistry (Formalin/PFA-fixed paraffin-embedded sections) - Anti-CD14 antibody [EPR3652] (AB133503)
  • IHC-P

Lab

Immunohistochemistry (Formalin/PFA-fixed paraffin-embedded sections) - Anti-CD14 antibody [EPR3652] (AB133503)

Immunohistochemistry (Formalin/PFA-fixed paraffin-embedded sections) analysis of human tonsil tissue labelling CD14 with purified ab133503 at 1/500. Heat mediated antigen retrieval was performed using Tris/EDTA buffer pH 9. ab97051, a HRP-conjugated goat anti-rabbit IgG (H+L) was used as the secondary antibody (1/500). Negative control using PBS instead of primary antibody. Counterstained with hematoxylin.

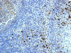
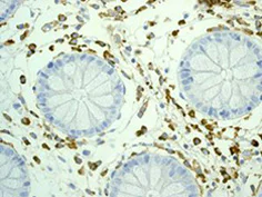
Immunohistochemistry (Formalin/PFA-fixed paraffin-embedded sections) - Anti-CD14 antibody [EPR3652] (AB133503)
  • IHC-P

Unknown

Immunohistochemistry (Formalin/PFA-fixed paraffin-embedded sections) - Anti-CD14 antibody [EPR3652] (AB133503)

Immunohistochemistry (Formalin/PFA-fixed paraffin-embedded sections) analysis of human colon tissue labelling CD14 with unpurified ab133503 at a dilution of 1/100.

Perform heat mediated antigen retrieval before commencing with IHC staining protocol.

Flow Cytometry - Anti-CD14 antibody [EPR3652] (AB133503)
  • Flow Cyt

Lab

Flow Cytometry - Anti-CD14 antibody [EPR3652] (AB133503)

Flow cytometry staining of human peripheral blood mononuclear cells (PBMCs) with ab133503 (right) or Recombinant Rabbit IgG, monoclonal [EPR25A] - Isotype Control (left). PBMCs were incubated for 30 min on ice in 1x PBS containing 10 μg/ml human IgG and 10 % normal goat serum to block FC receptors and non-specific protein-protein interaction followed by the antibody ab133503 or Recombinant Rabbit IgG, monoclonal [EPR25A] - Isotype Control (1x 106 in 100 μl at 1.0 μg/ml (1/2300)) for 30min on ice.

The secondary antibody Goat Anti-Rabbit IgG H&L (Alexa Fluor® 488) preadsorbed was incubated at 1/4000 for 30min on ice

Acquisition of >30000 events were collected using a 50 mW Blue laser (488nm) and 525/40 bandpass filter. Events were gated on CD3 and CD19 negative cells.

OI-RD Scanning - Anti-CD14 antibody [EPR3652] (AB133503)
  • OI-RD Scanning

Unknown

OI-RD Scanning - Anti-CD14 antibody [EPR3652] (AB133503)

We have systematically measured KD (the equilibrium dissociation constant between the antibody and its antigen), of more than 840 recombinant antibodies to assess not only their individual KD values but also to see the average affinity of antibody. Based on the comparison with published literature values for mouse monoclonal antibodies, Recombinant antibodies appear to be on average 1-2 order of magnitude higher affinity.

  • Carrier free

    Anti-CD14 antibody [EPR3652] - BSA and Azide free

  • 578 PE

    PE Anti-CD14 antibody [EPR3652]

  • 660 APC

    APC Anti-CD14 antibody [EPR3652]

Key facts

Host species

Rabbit

Clonality

Monoclonal

Clone number

EPR3652

Isotype

IgG

Carrier free

No

Reacts with

Human

Applications

IHC-P, Flow Cyt

applications

Immunogen

The exact immunogen used to generate this antibody is proprietary information.

Reactivity data

{ "title": "Reactivity Data", "filters": { "stats": ["", "Species", "Dilution Info", "Notes"], "tabs": { "all-applications": {"fullname" : "All Applications", "shortname": "All Applications"}, "IHCP" : {"fullname" : "Immunohistochemistry (Formalin/PFA-fixed paraffin-embedded sections)", "shortname":"IHC-P"}, "FlowCyt" : {"fullname" : "Flow Cytometry", "shortname":"Flow Cyt"} }, "product-promise": { "all": "all", "testedAndGuaranteed": "tested", "guaranteed": "expected", "predicted": "predicted", "notRecommended": "not-recommended" } }, "values": { "Human": { "IHCP-species-checked": "testedAndGuaranteed", "IHCP-species-dilution-info": "1/500", "IHCP-species-notes": "<p><strong>For unpurified use at 1/100 - 1/250.</strong></p>", "FlowCyt-species-checked": "testedAndGuaranteed", "FlowCyt-species-dilution-info": "1/100", "FlowCyt-species-notes": "<p><a href='/en-us/products/primary-antibodies/rabbit-igg-monoclonal-epr25a-isotype-control-ab172730'>ab172730</a> - Rabbit monoclonal IgG, is suitable for use as an isotype control with this antibody.</p>" } } }

Product details

Species reactivity
Mouse, Rat: We have preliminary internal testing data to indicate this antibody may not react with these species.
Please contact us for more information.

Patented technology
Our RabMAb® technology is a patented hybridoma-based technology for making rabbit monoclonal antibodies. For details on our patents, please refer to RabMAb® patents.

What are the advantages of a recombinant monoclonal antibody?
This product is a recombinant monoclonal antibody, which offers several advantages including:

  • - High batch-to-batch consistency and reproducibility
  • - Improved sensitivity and specificity
  • - Long-term security of supply
  • - Animal-free batch production

For more information, read more on recombinant antibodies.

Properties and storage information

Form
Liquid
Purification technique
Affinity purification Protein A
Storage buffer
pH: 7.2 - 7.4 Preservative: 0.01% Sodium azide Constituents: PBS, 40% Glycerol (glycerin, glycerine), 0.05% BSA
Shipped at conditions
Blue Ice
Appropriate short-term storage duration
1-2 weeks
Appropriate short-term storage conditions
+4°C
Appropriate long-term storage conditions
-20°C
Aliquoting information
Upon delivery aliquot
Storage information
Stable for 12 months at -20°C

Supplementary information

This supplementary information is collated from multiple sources and compiled automatically.

CD14 also known as cluster of differentiation 14 is a glycoprotein with a molecular mass of approximately 55 kDa. This protein is expressed mainly on the surface of macrophages monocytes and to a lesser extent on neutrophils. CD14 exists in two forms: membrane-bound (mCD14) and soluble (sCD14). It functions as a co-receptor along with TLR4 (Toll-like receptor 4) and MD-2 for the detection of bacterial lipopolysaccharide (LPS) which is an important component of the outer membrane of Gram-negative bacteria.
Biological function summary

This glycoprotein plays a significant role in the innate immune system by recognizing pathogen-associated molecular patterns (PAMPs). It is part of a receptor complex where CD14 acts alongside LPS binding protein (LPS-R) TLR4 and MD-2 to facilitate pro-inflammatory signaling in response to microbial invasion. By binding to LPS CD14 initiates and amplifies the immune response leading to the production of cytokines and the recruitment of other immune cells to the site of infection.

Pathways

CD14 interacts with the toll-like receptor signaling pathway notably involving TLR4. Upon LPS detection CD14 assists in the activation of TLR4 triggering downstream signaling cascades such as NF-κB and MAPK pathways. These pathways result in the transcription of inflammatory cytokines and are essential for the host defense mechanism. The protein complex involving CD14 further interacts with adaptor proteins like MyD88 and TRIF facilitating signal propagation and the immune system's ability to respond to pathogens.

Researchers have linked CD14 to sepsis and atherosclerosis. High levels of soluble CD14 (sCD14) are often observed in patients with sepsis indicating its participation in excessive systemic inflammation. In atherosclerosis CD14's role in recognizing LPS contributes to chronic inflammation and the development of plaques in arteries. Through these diseases CD14 connects with TLR4 emphasizing its impact on inflammatory responses and its potential as a therapeutic target.

Product protocols

For this product, it's our understanding that no specific protocols are required. You can visit:

Target data

Coreceptor for bacterial lipopolysaccharide (PubMed : 1698311, PubMed : 23264655). In concert with LBP, binds to monomeric lipopolysaccharide and delivers it to the LY96/TLR4 complex, thereby mediating the innate immune response to bacterial lipopolysaccharide (LPS) (PubMed : 20133493, PubMed : 22265692, PubMed : 23264655). Acts via MyD88, TIRAP and TRAF6, leading to NF-kappa-B activation, cytokine secretion and the inflammatory response (PubMed : 8612135). Acts as a coreceptor for TLR2 : TLR6 heterodimer in response to diacylated lipopeptides and for TLR2 : TLR1 heterodimer in response to triacylated lipopeptides, these clusters trigger signaling from the cell surface and subsequently are targeted to the Golgi in a lipid-raft dependent pathway (PubMed : 16880211). Binds electronegative LDL (LDL(-)) and mediates the cytokine release induced by LDL(-) (PubMed : 23880187).
See full target information CD14

Publications (4)

Recent publications for all applications. Explore the full list and refine your search

Frontiers in immunology 13:837391 PubMed35386706

2022

The Distributional Characteristics of M2 Macrophages in the Placental Chorionic Villi are Altered Among the Term Pregnant Women With Uncontrolled Type 2 Diabetes Mellitus.

Applications

Unspecified application

Species

Unspecified reactive species

Muqiu Zhang,Dong Cui,Huixia Yang

FASEB journal : official publication of the Federation of American Societies for Experimental Biology 36:e22248 PubMed35239213

2022

Tumor microenvironment remodeling modulates macrophage phenotype in breast cancer lymphangiogenesis.

Applications

Unspecified application

Species

Unspecified reactive species

Yan Du,Manlin Cao,Yiwen Liu,Yiqing He,Cuixia Yang,Guoliang Zhang,Youben Fan,Feng Gao

The American journal of pathology 191:1774-1786 PubMed34303699

2021

Myeloid Cells Are Enriched in Tonsillar Crypts, Providing Insight into the Viral Tropism of Human Papillomavirus.

Applications

Unspecified application

Species

Unspecified reactive species

Austin K Mattox,Jessica Roelands,Talia M Saal,Yang Cheng,Darawan Rinchai,Wouter Hendrickx,Geoffrey D Young,Thomas J Diefenbach,Alan E Berger,William H Westra,Justin A Bishop,William C Faquin,Francesco M Marincola,Mikael J Pittet,Davide Bedognetti,Sara I Pai

Cancer discovery 6:827-37 PubMed27301722

2016

Analysis of Immune Signatures in Longitudinal Tumor Samples Yields Insight into Biomarkers of Response and Mechanisms of Resistance to Immune Checkpoint Blockade.

Applications

Unspecified application

Species

Unspecified reactive species

Pei-Ling Chen,Whijae Roh,Alexandre Reuben,Zachary A Cooper,Christine N Spencer,Peter A Prieto,John P Miller,Roland L Bassett,Vancheswaran Gopalakrishnan,Khalida Wani,Mariana Petaccia De Macedo,Jacob L Austin-Breneman,Hong Jiang,Qing Chang,Sangeetha M Reddy,Wei-Shen Chen,Michael T Tetzlaff,Russell J Broaddus,Michael A Davies,Jeffrey E Gershenwald,Lauren Haydu,Alexander J Lazar,Sapna P Patel,Patrick Hwu,Wen-Jen Hwu,Adi Diab,Isabella C Glitza,Scott E Woodman,Luis M Vence,Ignacio I Wistuba,Rodabe N Amaria,Lawrence N Kwong,Victor Prieto,R Eric Davis,Wencai Ma,Willem W Overwijk,Arlene H Sharpe,Jianhua Hu,P Andrew Futreal,Jorge Blando,Padmanee Sharma,James P Allison,Lynda Chin,Jennifer A Wargo
View all publications

Product promise

We are committed to supporting your work with high-quality reagents, and we're here for you every step of the way. In the unlikely event that one of our products does not perform as expected, you're protected by our Product Promise.
For full details, please see our Terms & Conditions

Please note: All products are 'FOR RESEARCH USE ONLY. NOT FOR USE IN DIAGNOSTIC OR THERAPEUTIC PROCEDURES'.

For licensing inquiries, please contact partnerships@abcam.com