JavaScript is disabled in your browser. Please enable JavaScript to view this website.
AB237943

Anti-CD14 antibody [LPSR/2386] - BSA and Azide free

Be the first to review this product! Submit a review

|

(1 Publication)

Mouse Monoclonal CD14 antibody. Carrier free. Suitable for Protein Array, IHC-P and reacts with Human samples. Cited in 1 publication. Immunogen corresponding to Recombinant Fragment Protein within Human CD14 aa 1-150.

View Alternative Names

CD14, Monocyte differentiation antigen CD14, My23 antigen, Myeloid cell-specific leucine-rich glycoprotein

3 Images
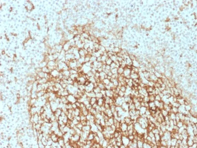
Immunohistochemistry (Formalin/PFA-fixed paraffin-embedded sections) - Anti-CD14 antibody [LPSR/2386] - BSA and Azide free (AB237943)
  • IHC-P

Supplier Data

Immunohistochemistry (Formalin/PFA-fixed paraffin-embedded sections) - Anti-CD14 antibody [LPSR/2386] - BSA and Azide free (AB237943)

Formalin-fixed, paraffin-embedded human tonsil tissue stained for CD14 using ab237943 at 2 μg/ml in immunohistochemical analysis.

Immunohistochemistry (Formalin/PFA-fixed paraffin-embedded sections) - Anti-CD14 antibody [LPSR/2386] - BSA and Azide free (AB237943)
  • IHC-P

Supplier Data

Immunohistochemistry (Formalin/PFA-fixed paraffin-embedded sections) - Anti-CD14 antibody [LPSR/2386] - BSA and Azide free (AB237943)

Formalin-fixed, paraffin-embedded human lymph node tissue stained for CD14 using ab237943 at 2 μg/ml in immunohistochemical analysis.

Protein Array - Anti-CD14 antibody [LPSR/2386] - BSA and Azide free (AB237943)
  • Protein Array

Unknown

Protein Array - Anti-CD14 antibody [LPSR/2386] - BSA and Azide free (AB237943)

This data was produced with ab238089, the same antibody in a different formulation with BSA and Azide.
ab238089 was tested in protein array against over 19000 different full-length human proteins.
Z- and S- Score : The Z-score represents the strength of a signal that a monoclonal antibody (MAb) (in combination with a fluorescently-tagged anti-IgG secondary antibody) produces when binding to a particular protein on the HuProtTM array. Z-scores are described in units of standard deviations (SD's) above the mean value of all signals generated on that array. If targets on HuProtTM are arranged in descending order of the Z-score, the S-score is the difference (also in units of SD's) between the Z-score. S-score therefore represents the relative target specificity of a MAb to its intended target.
A MAb is specific to its intended target if the MAb has an S-score of at least 2.5. For example, if a MAb binds to protein X with a Z-score of 43 and to protein Y with a Z-score of 14, then the S-score for the binding of that MAb to protein X is equal to 29.

Key facts

Host species

Mouse

Clonality

Monoclonal

Clone number

LPSR/2386

Isotype

IgG1

Light chain type

kappa

Carrier free

Yes

Reacts with

Human

Applications

IHC-P, Protein Array

applications

Immunogen

Recombinant Fragment Protein within Human CD14 aa 1-150. The exact immunogen used to generate this antibody is proprietary information.

P08571

Reactivity data

{ "title": "Reactivity Data", "filters": { "stats": ["", "Species", "Dilution Info", "Notes"], "tabs": { "all-applications": {"fullname" : "All Applications", "shortname": "All Applications"}, "ProteinArray" : {"fullname" : "Protein Array", "shortname":"Protein Array"}, "IHCP" : {"fullname" : "Immunohistochemistry (Formalin/PFA-fixed paraffin-embedded sections)", "shortname":"IHC-P"} }, "product-promise": { "all": "all", "testedAndGuaranteed": "tested", "guaranteed": "expected", "predicted": "predicted", "notRecommended": "not-recommended" } }, "values": { "Human": { "ProteinArray-species-checked": "testedAndGuaranteed", "ProteinArray-species-dilution-info": "", "ProteinArray-species-notes": "<p></p>", "IHCP-species-checked": "testedAndGuaranteed", "IHCP-species-dilution-info": "1-2 µg/mL", "IHCP-species-notes": "<p>Primary incubation for 30 minutes at room temperature.</p>" } } }

Properties and storage information

Form
Liquid
Purification technique
Affinity purification Protein A/G
Purification notes
Purified from Bioreactor Concentrate by Protein A/G.
Storage buffer
pH: 7.2 - 7.4 Constituents: PBS
Shipped at conditions
Blue Ice
Appropriate short-term storage duration
1-2 weeks
Appropriate short-term storage conditions
+4°C
Appropriate long-term storage conditions
-20°C
Aliquoting information
Upon delivery aliquot
Storage information
Avoid freeze / thaw cycle

Supplementary information

This supplementary information is collated from multiple sources and compiled automatically.

CD14 also known as cluster of differentiation 14 is a glycoprotein with a molecular mass of approximately 55 kDa. This protein is expressed mainly on the surface of macrophages monocytes and to a lesser extent on neutrophils. CD14 exists in two forms: membrane-bound (mCD14) and soluble (sCD14). It functions as a co-receptor along with TLR4 (Toll-like receptor 4) and MD-2 for the detection of bacterial lipopolysaccharide (LPS) which is an important component of the outer membrane of Gram-negative bacteria.
Biological function summary

This glycoprotein plays a significant role in the innate immune system by recognizing pathogen-associated molecular patterns (PAMPs). It is part of a receptor complex where CD14 acts alongside LPS binding protein (LPS-R) TLR4 and MD-2 to facilitate pro-inflammatory signaling in response to microbial invasion. By binding to LPS CD14 initiates and amplifies the immune response leading to the production of cytokines and the recruitment of other immune cells to the site of infection.

Pathways

CD14 interacts with the toll-like receptor signaling pathway notably involving TLR4. Upon LPS detection CD14 assists in the activation of TLR4 triggering downstream signaling cascades such as NF-κB and MAPK pathways. These pathways result in the transcription of inflammatory cytokines and are essential for the host defense mechanism. The protein complex involving CD14 further interacts with adaptor proteins like MyD88 and TRIF facilitating signal propagation and the immune system's ability to respond to pathogens.

Researchers have linked CD14 to sepsis and atherosclerosis. High levels of soluble CD14 (sCD14) are often observed in patients with sepsis indicating its participation in excessive systemic inflammation. In atherosclerosis CD14's role in recognizing LPS contributes to chronic inflammation and the development of plaques in arteries. Through these diseases CD14 connects with TLR4 emphasizing its impact on inflammatory responses and its potential as a therapeutic target.

Product protocols

For this product, it's our understanding that no specific protocols are required. You can visit:

Target data

Coreceptor for bacterial lipopolysaccharide (PubMed : 1698311, PubMed : 23264655). In concert with LBP, binds to monomeric lipopolysaccharide and delivers it to the LY96/TLR4 complex, thereby mediating the innate immune response to bacterial lipopolysaccharide (LPS) (PubMed : 20133493, PubMed : 22265692, PubMed : 23264655). Acts via MyD88, TIRAP and TRAF6, leading to NF-kappa-B activation, cytokine secretion and the inflammatory response (PubMed : 8612135). Acts as a coreceptor for TLR2 : TLR6 heterodimer in response to diacylated lipopeptides and for TLR2 : TLR1 heterodimer in response to triacylated lipopeptides, these clusters trigger signaling from the cell surface and subsequently are targeted to the Golgi in a lipid-raft dependent pathway (PubMed : 16880211). Binds electronegative LDL (LDL(-)) and mediates the cytokine release induced by LDL(-) (PubMed : 23880187).
See full target information CD14

Publications (1)

Recent publications for all applications. Explore the full list and refine your search

Veterinary sciences 8: PubMed34941853

2021

Gene Silencing Promotes Apoptosis and Suppresses Proliferation of Heat-Stressed Bovine Granulosa Cells via Induction of Oxidative Stress.

Applications

Unspecified application

Species

Unspecified reactive species

Adnan Khan,Muhammad Zahoor Khan,Jinhuan Dou,Huitao Xu,Lei Liu,Huabin Zhu,Yachun Wang
View all publications

Product promise

We are committed to supporting your work with high-quality reagents, and we're here for you every step of the way. In the unlikely event that one of our products does not perform as expected, you're protected by our Product Promise.
For full details, please see our Terms & Conditions

Please note: All products are 'FOR RESEARCH USE ONLY. NOT FOR USE IN DIAGNOSTIC OR THERAPEUTIC PROCEDURES'.

For licensing inquiries, please contact partnerships@abcam.com