JavaScript is disabled in your browser. Please enable JavaScript to view this website.
AB230903

Anti-CD14 antibody [SP192] - BSA and Azide free

4

(1 Review)

|

(3 Publications)

Rabbit Recombinant Monoclonal CD14 antibody. Carrier free. Suitable for IHC-P, Flow Cyt, WB and reacts with Human samples. Cited in 3 publications.

View Alternative Names

CD14, Monocyte differentiation antigen CD14, My23 antigen, Myeloid cell-specific leucine-rich glycoprotein

19 Images
Flow Cytometry - Anti-CD14 antibody [SP192] - BSA and Azide free (AB230903)
  • Flow Cyt

Lab

Flow Cytometry - Anti-CD14 antibody [SP192] - BSA and Azide free (AB230903)

This data was developed using the same antibody clone in a different buffer formulation containing PBS, BSA, glycerol, and sodium azide (ab183322).

Flow cytometry staining of human peripheral blood mononuclear cells (PBMCs) with ab183322 (right) or Recombinant Rabbit IgG, monoclonal [EPR25A] - Isotype Control (left). PBMCs were incubated for 30 min on ice in 1x PBS containing 10 µg/ml human IgG and 10 % normal goat serum to block FC receptors and non-specific protein-protein interaction followed by the antibody ab183322 or Recombinant Rabbit IgG, monoclonal [EPR25A] - Isotype Control (1x 106 in 100 µl at 0.008 μg/ml) for 30min on ice. The cells were simultaneously stained with CD19.

The secondary antibody Goat Anti-Rabbit IgG H&L (Alexa Fluor® 488) preadsorbed was incubated at 1/4000 for 30min on ice

Acquisition of >30000 events were collected using a 50 mW Blue laser (488nm) and 525/40 bandpass filter. Events were gated on live cells.

Immunohistochemistry (Formalin/PFA-fixed paraffin-embedded sections) - Anti-CD14 antibody [SP192] - BSA and Azide free (AB230903)
  • IHC-P

Supplier Data

Immunohistochemistry (Formalin/PFA-fixed paraffin-embedded sections) - Anti-CD14 antibody [SP192] - BSA and Azide free (AB230903)

Immunohistochemical analysis of paraffin embedded human tonsil tissue labeling CD14 with ab183322 at 1/100.

This data was developed using the same antibody clone in a different buffer formulation containing PBS, BSA and sodium azide (ab183322).

Immunohistochemistry (Formalin/PFA-fixed paraffin-embedded sections) - Anti-CD14 antibody [SP192] - BSA and Azide free (AB230903)
  • IHC-P

Supplier Data

Immunohistochemistry (Formalin/PFA-fixed paraffin-embedded sections) - Anti-CD14 antibody [SP192] - BSA and Azide free (AB230903)

Immunohistochemical analysis of paraffin embedded Human esophagus tissue labeling CD14 with ab183322 at 1/100.

This data was developed using the same antibody clone in a different buffer formulation containing PBS, BSA, glycerol, and sodium azide (ab183322).

Immunohistochemistry (Formalin/PFA-fixed paraffin-embedded sections) - Anti-CD14 antibody [SP192] - BSA and Azide free (AB230903)
  • IHC-P

Supplier Data

Immunohistochemistry (Formalin/PFA-fixed paraffin-embedded sections) - Anti-CD14 antibody [SP192] - BSA and Azide free (AB230903)

Immunohistochemical analysis of paraffin embedded Human liver tissue labeling CD14 with ab183322 at 1/100.

This data was developed using the same antibody clone in a different buffer formulation containing PBS, BSA, glycerol, and sodium azide (ab183322).

Immunohistochemistry (Formalin/PFA-fixed paraffin-embedded sections) - Anti-CD14 antibody [SP192] - BSA and Azide free (AB230903)
  • IHC-P

Supplier Data

Immunohistochemistry (Formalin/PFA-fixed paraffin-embedded sections) - Anti-CD14 antibody [SP192] - BSA and Azide free (AB230903)

Immunohistochemical analysis of paraffin embedded Human spleen tissue labeling CD14 with ab183322 at 1/100.

This data was developed using the same antibody clone in a different buffer formulation containing PBS, BSA, glycerol, and sodium azide (ab183322).

Flow Cytometry - Anti-CD14 antibody [SP192] - BSA and Azide free (AB230903)
  • Flow Cyt

Unknown

Flow Cytometry - Anti-CD14 antibody [SP192] - BSA and Azide free (AB230903)

Flow Cytometry analysis of human PBMC (human peripheral blood mononuclear cell) cells labeling CD14 with purified ab183322 at 1 : 200 dilution (0.805 μg/ml) - Red. A Goat anti rabbit IgG (Dylight® 488, ab98462) secondary antibody was used at 1 : 2000 dilution. Isotype control - Rabbit monoclonal IgG (ab172730) - Black. Unlabeled control - Blue. This data was developed using the same antibody clone in a different buffer formulation containing PBS, BSA, glycerol, and sodium azide (ab230903)

Immunohistochemistry (Formalin/PFA-fixed paraffin-embedded sections) - Anti-CD14 antibody [SP192] - BSA and Azide free (AB230903)
  • IHC-P

Supplier Data

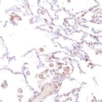
Immunohistochemistry (Formalin/PFA-fixed paraffin-embedded sections) - Anti-CD14 antibody [SP192] - BSA and Azide free (AB230903)

Immunohistochemical analysis of paraffin embedded Human lung tissue labeling CD14 with ab183322 at 1/100.

This data was developed using the same antibody clone in a different buffer formulation containing PBS, BSA, glycerol, and sodium azide (ab183322).

Immunohistochemistry (Formalin/PFA-fixed paraffin-embedded sections) - Anti-CD14 antibody [SP192] - BSA and Azide free (AB230903)
  • IHC-P

Unknown

Immunohistochemistry (Formalin/PFA-fixed paraffin-embedded sections) - Anti-CD14 antibody [SP192] - BSA and Azide free (AB230903)

Immunohistochemistry (Formalin/PFA-fixed paraffin-embedded sections) analysis of Human colon tissue sections labeling CD14 with ab183322 at 1/100 dilution (1.61 μg/ml). Heat mediated antigen retrieval with sodium citrate buffer (pH 6.0, epitope retrieval solution 1) for 10mins Rabbit specific IHC polymer detection kit HRP/DAB (ab209101) was used as the secondary antibody. Hematoxylin was used as a counterstain. Positive staining on stromal cells in the human colon, performed on a Leica Biosystems BOND™ RX instrument.
The section was incubated with ab183322 for 10 mins at room temperature. This image was generated using ab183322, the same clone, but with a different buffer formulation.

Immunohistochemistry (Formalin/PFA-fixed paraffin-embedded sections) - Anti-CD14 antibody [SP192] - BSA and Azide free (AB230903)
  • IHC-P

Supplier Data

Immunohistochemistry (Formalin/PFA-fixed paraffin-embedded sections) - Anti-CD14 antibody [SP192] - BSA and Azide free (AB230903)

Immunohistochemical analysis of paraffin embedded Human HK lymphoma tissue labeling CD14 with ab183322 at 1/100.

This data was developed using the same antibody clone in a different buffer formulation containing PBS, BSA, glycerol, and sodium azide (ab183322).

Immunohistochemistry (Formalin/PFA-fixed paraffin-embedded sections) - Anti-CD14 antibody [SP192] - BSA and Azide free (AB230903)
  • IHC-P

Supplier Data

Immunohistochemistry (Formalin/PFA-fixed paraffin-embedded sections) - Anti-CD14 antibody [SP192] - BSA and Azide free (AB230903)

Immunohistochemical analysis of paraffin embedded Human B cell lymphoma tissue labeling CD14 with ab183322 at 1/100.

This data was developed using the same antibody clone in a different buffer formulation containing PBS, BSA, glycerol, and sodium azide (ab183322).

Immunohistochemistry (Formalin/PFA-fixed paraffin-embedded sections) - Anti-CD14 antibody [SP192] - BSA and Azide free (AB230903)
  • IHC-P

Supplier Data

Immunohistochemistry (Formalin/PFA-fixed paraffin-embedded sections) - Anti-CD14 antibody [SP192] - BSA and Azide free (AB230903)

Immunohistochemical analysis of paraffin embedded Human colon tissue labeling CD14 with ab183322 at 1/100.

This data was developed using the same antibody clone in a different buffer formulation containing PBS, BSA, glycerol, and sodium azide (ab183322).

Immunohistochemistry (Formalin/PFA-fixed paraffin-embedded sections) - Anti-CD14 antibody [SP192] - BSA and Azide free (AB230903)
  • IHC-P

Supplier Data

Immunohistochemistry (Formalin/PFA-fixed paraffin-embedded sections) - Anti-CD14 antibody [SP192] - BSA and Azide free (AB230903)

Immunohistochemical analysis of paraffin embedded Human bladder tissue labeling CD14 with ab183322 at 1/100.

This data was developed using the same antibody clone in a different buffer formulation containing PBS, BSA, glycerol, and sodium azide (ab183322).

Immunohistochemistry (Formalin/PFA-fixed paraffin-embedded sections) - Anti-CD14 antibody [SP192] - BSA and Azide free (AB230903)
  • IHC-P

Supplier Data

Immunohistochemistry (Formalin/PFA-fixed paraffin-embedded sections) - Anti-CD14 antibody [SP192] - BSA and Azide free (AB230903)

Immunohistochemical analysis of paraffin embedded Human bone marrow tissue labeling CD14 with ab183322 at 1/100.

This data was developed using the same antibody clone in a different buffer formulation containing PBS, BSA, glycerol, and sodium azide (ab183322).

Immunohistochemistry (Formalin/PFA-fixed paraffin-embedded sections) - Anti-CD14 antibody [SP192] - BSA and Azide free (AB230903)
  • IHC-P

Unknown

Immunohistochemistry (Formalin/PFA-fixed paraffin-embedded sections) - Anti-CD14 antibody [SP192] - BSA and Azide free (AB230903)

Immunohistochemistry (Formalin/PFA-fixed paraffin-embedded sections) analysis of Human tonsil tissue sections labeling CD14 with ab183322 at 1 : 100 dilution (1.61 μg/ml). Heat mediated antigen retrieval with sodium citrate buffer (pH 6.0, epitope retrieval solution 1) for 10mins Rabbit specific IHC polymer detection kit HRP/DAB (ab209101) was used as the secondary antibody. Hematoxylin was used as a counterstain. Positive staining on the human tonsil, performed on a Leica Biosystems BOND™ RX instrument. The section was incubated with ab183322 for 10 mins at room temperature.

This image was generated using ab183322, the same clone, but with a different buffer formulation.

Immunohistochemistry (Formalin/PFA-fixed paraffin-embedded sections) - Anti-CD14 antibody [SP192] - BSA and Azide free (AB230903)
  • IHC-P

Unknown

Immunohistochemistry (Formalin/PFA-fixed paraffin-embedded sections) - Anti-CD14 antibody [SP192] - BSA and Azide free (AB230903)

Immunohistochemical analysis of paraffin embedded Human endometrium tissue labeling CD14 with ab183322 at 1/100.

This data was developed using the same antibody clone in a different buffer formulation containing PBS, BSA, glycerol, and sodium azide (ab183322).

Immunohistochemistry (Formalin/PFA-fixed paraffin-embedded sections) - Anti-CD14 antibody [SP192] - BSA and Azide free (AB230903)
  • IHC-P

Supplier Data

Immunohistochemistry (Formalin/PFA-fixed paraffin-embedded sections) - Anti-CD14 antibody [SP192] - BSA and Azide free (AB230903)

Immunohistochemical analysis of paraffin embedded Human colon adenocarcinoma tissue labeling CD14 with ab183322 at 1/100.

This data was developed using the same antibody clone in a different buffer formulation containing PBS, BSA, glycerol, and sodium azide (ab183322).

Immunohistochemistry (Formalin/PFA-fixed paraffin-embedded sections) - Anti-CD14 antibody [SP192] - BSA and Azide free (AB230903)
  • IHC-P

Lab

Immunohistochemistry (Formalin/PFA-fixed paraffin-embedded sections) - Anti-CD14 antibody [SP192] - BSA and Azide free (AB230903)

Immunohistochemical analysis of formalin-fixed paraffin-embedded human tonsil labelling CD14 with ab230903 at a concentration of 0.5µg/ml. The immunostaining was performed on a Ventana DISCOVERY ULTRA (Roche Tissue Diagnostics) instrument with an OptiView DAB IHC Detection Kit. Heat mediated antigen retrieval was conducted for 32min with ULTRA cell conditioning solution (CC1 pH8.5). ab220903 anti CD14 antibody was incubated at 37°C for 16min. Sections were counterstained is with Hematoxylin II. Image inset shows absence of staining in secondary antibody only control.

Immunohistochemistry (Formalin/PFA-fixed paraffin-embedded sections) - Anti-CD14 antibody [SP192] - BSA and Azide free (AB230903)
  • IHC-P

Supplier Data

Immunohistochemistry (Formalin/PFA-fixed paraffin-embedded sections) - Anti-CD14 antibody [SP192] - BSA and Azide free (AB230903)

Immunohistochemical analysis of paraffin embedded Human thymus tissue labeling CD14 with ab183322 at 1/100.

This data was developed using the same antibody clone in a different buffer formulation containing PBS, BSA, glycerol, and sodium azide (ab183322).

Flow Cytometry - Anti-CD14 antibody [SP192] - BSA and Azide free (AB230903)
  • Flow Cyt

Lab

Flow Cytometry - Anti-CD14 antibody [SP192] - BSA and Azide free (AB230903)

This data was developed using the same antibody clone in a different buffer formulation containing PBS, BSA, glycerol, and sodium azide (ab183322).

Flow cytometry staining of human peripheral blood mononuclear cells (PBMCs) with ab183322 (right) or Recombinant Rabbit IgG, monoclonal [EPR25A] - Isotype Control (left). PBMCs were incubated for 30 mins on ice in 1x PBS containing 10 µg/ml human IgG and 10 % normal goat serum to block FC receptors and non-specific protein-protein interaction followed by the antibody ab183322 or Recombinant Rabbit IgG, monoclonal [EPR25A] - Isotype Control (1x 106 in 100 µl at 0.008 μg/ml) for 30 mins on ice. The cells were simultaneously stained with CD19.

The secondary antibody Goat Anti-Rabbit IgG H&L (Alexa Fluor® 488) preadsorbed was incubated at 1/4000 dilutionfor 30 mins on ice

Acquisition of >30000 events were collected using a 50 mW Blue laser (488nm) and 525/40 bandpass filter. Events were gated on CD19-ve.

Key facts

Host species

Rabbit

Clonality

Monoclonal

Clone number

SP192

Isotype

IgG

Carrier free

Yes

Reacts with

Human

Applications

Flow Cyt, IHC-P, WB

applications

Immunogen

The exact immunogen used to generate this antibody is proprietary information.

Reactivity data

{ "title": "Reactivity Data", "filters": { "stats": ["", "Species", "Dilution Info", "Notes"], "tabs": { "all-applications": {"fullname" : "All Applications", "shortname": "All Applications"}, "IHCP" : {"fullname" : "Immunohistochemistry (Formalin/PFA-fixed paraffin-embedded sections)", "shortname":"IHC-P"}, "FlowCyt" : {"fullname" : "Flow Cytometry", "shortname":"Flow Cyt"}, "WB" : {"fullname" : "Western blot", "shortname":"WB"} }, "product-promise": { "all": "all", "testedAndGuaranteed": "tested", "guaranteed": "expected", "predicted": "predicted", "notRecommended": "not-recommended" } }, "values": { "Human": { "IHCP-species-checked": "testedAndGuaranteed", "IHCP-species-dilution-info": "", "IHCP-species-notes": "<p>Antigen retrieval: Boil tissue section in 10mM citrate buffer, pH 6.0 for 10 min followed by cooling at room temperature for 20 min.</p>", "FlowCyt-species-checked": "testedAndGuaranteed", "FlowCyt-species-dilution-info": "", "FlowCyt-species-notes": "<p></p>", "WB-species-checked": "testedAndGuaranteed", "WB-species-dilution-info": "", "WB-species-notes": "<p></p>" } } }

Product details

ab230903 is the carrier-free version of ab183322.

What are the advantages of a recombinant monoclonal antibody?
This product is a recombinant monoclonal antibody, which offers several advantages including:

  • - High batch-to-batch consistency and reproducibility
  • - Improved sensitivity and specificity
  • - Long-term security of supply
  • - Animal-free batch production

For more information, read more on recombinant antibodies.

Conjugation ready
Our carrier-free antibodies are typically supplied in a PBS-only formulation, purified and free of BSA, sodium azide and glycerol. This conjugation-ready format is designed for use with fluorochromes, metal isotopes, oligonucleotides, and enzymes, which makes them ideal for antibody labelling, functional and cell-based assays, flow-based assays (e.g. mass cytometry) and Multiplex Imaging applications.

Use our conjugation kits for antibody conjugates that are ready-to-use in as little as 20 minutes with 1 minute hands-on-time and 100% antibody recovery: available for fluorescent dyes, HRP, biotin and gold.

Compatibility
This product is compatible with the Maxpar® Antibody Labeling Kit from Fluidigm, without the need for antibody preparation. Maxpar® is a trademark of Fluidigm Canada Inc.

Properties and storage information

Form
Liquid
Purification technique
Affinity purification Protein A/G
Purification notes
Purified from TCS by protein A/G.
Storage buffer
pH: 7.2 - 7.4 Constituents: PBS
Shipped at conditions
Blue Ice
Appropriate short-term storage conditions
+4°C
Appropriate long-term storage conditions
+4°C
Storage information
Do Not Freeze

Supplementary information

This supplementary information is collated from multiple sources and compiled automatically.

CD14 also known as cluster of differentiation 14 is a glycoprotein with a molecular mass of approximately 55 kDa. This protein is expressed mainly on the surface of macrophages monocytes and to a lesser extent on neutrophils. CD14 exists in two forms: membrane-bound (mCD14) and soluble (sCD14). It functions as a co-receptor along with TLR4 (Toll-like receptor 4) and MD-2 for the detection of bacterial lipopolysaccharide (LPS) which is an important component of the outer membrane of Gram-negative bacteria.
Biological function summary

This glycoprotein plays a significant role in the innate immune system by recognizing pathogen-associated molecular patterns (PAMPs). It is part of a receptor complex where CD14 acts alongside LPS binding protein (LPS-R) TLR4 and MD-2 to facilitate pro-inflammatory signaling in response to microbial invasion. By binding to LPS CD14 initiates and amplifies the immune response leading to the production of cytokines and the recruitment of other immune cells to the site of infection.

Pathways

CD14 interacts with the toll-like receptor signaling pathway notably involving TLR4. Upon LPS detection CD14 assists in the activation of TLR4 triggering downstream signaling cascades such as NF-κB and MAPK pathways. These pathways result in the transcription of inflammatory cytokines and are essential for the host defense mechanism. The protein complex involving CD14 further interacts with adaptor proteins like MyD88 and TRIF facilitating signal propagation and the immune system's ability to respond to pathogens.

Researchers have linked CD14 to sepsis and atherosclerosis. High levels of soluble CD14 (sCD14) are often observed in patients with sepsis indicating its participation in excessive systemic inflammation. In atherosclerosis CD14's role in recognizing LPS contributes to chronic inflammation and the development of plaques in arteries. Through these diseases CD14 connects with TLR4 emphasizing its impact on inflammatory responses and its potential as a therapeutic target.

Product protocols

For this product, it's our understanding that no specific protocols are required. You can visit:

Target data

Coreceptor for bacterial lipopolysaccharide (PubMed : 1698311, PubMed : 23264655). In concert with LBP, binds to monomeric lipopolysaccharide and delivers it to the LY96/TLR4 complex, thereby mediating the innate immune response to bacterial lipopolysaccharide (LPS) (PubMed : 20133493, PubMed : 22265692, PubMed : 23264655). Acts via MyD88, TIRAP and TRAF6, leading to NF-kappa-B activation, cytokine secretion and the inflammatory response (PubMed : 8612135). Acts as a coreceptor for TLR2 : TLR6 heterodimer in response to diacylated lipopeptides and for TLR2 : TLR1 heterodimer in response to triacylated lipopeptides, these clusters trigger signaling from the cell surface and subsequently are targeted to the Golgi in a lipid-raft dependent pathway (PubMed : 16880211). Binds electronegative LDL (LDL(-)) and mediates the cytokine release induced by LDL(-) (PubMed : 23880187).
See full target information CD14

Publications (3)

Recent publications for all applications. Explore the full list and refine your search

Cell 187:3120-3140.e29 PubMed38714197

2024

Mapping the cellular biogeography of human bone marrow niches using single-cell transcriptomics and proteomic imaging.

Applications

Unspecified application

Species

Unspecified reactive species

Shovik Bandyopadhyay,Michael P Duffy,Kyung Jin Ahn,Jonathan H Sussman,Minxing Pang,David Smith,Gwendolyn Duncan,Iris Zhang,Jeffrey Huang,Yulieh Lin,Barbara Xiong,Tamjid Imtiaz,Chia-Hui Chen,Anusha Thadi,Changya Chen,Jason Xu,Melissa Reichart,Zachary Martinez,Caroline Diorio,Chider Chen,Vinodh Pillai,Oraine Snaith,Derek Oldridge,Siddharth Bhattacharyya,Ivan Maillard,Martin Carroll,Charles Nelson,Ling Qin,Kai Tan

Gastric cancer : official journal of the International Gastric Cancer Association and the Japanese Gastric Cancer Association 25:1002-1016 PubMed35925524

2022

ADAMTS10 inhibits aggressiveness via JAK/STAT/c-MYC pathway and reprograms macrophage to create an anti-malignant microenvironment in gastric cancer.

Applications

Unspecified application

Species

Unspecified reactive species

Junyi Zhou,Tuoyang Li,Hao Chen,Yingming Jiang,Yandong Zhao,Jintuan Huang,Zijian Chen,Xiaocheng Tang,Zhenze Huang,Zuli Yang

Nature communications 13:2540 PubMed35534484

2022

Spatial epitranscriptomics reveals A-to-I editome specific to cancer stem cell microniches.

Applications

Unspecified application

Species

Unspecified reactive species

Amos C Lee,Yongju Lee,Ahyoun Choi,Han-Byoel Lee,Kyoungseob Shin,Hyunho Lee,Ji Young Kim,Han Suk Ryu,Hoe Suk Kim,Seung Yeon Ryu,Sangeun Lee,Jong-Ho Cheun,Duck Kyun Yoo,Sumin Lee,Hansol Choi,Taehoon Ryu,Huiran Yeom,Namphil Kim,Jinsung Noh,Yonghee Lee,Inyoung Kim,Sangwook Bae,Jinhyun Kim,Wooseok Lee,Okju Kim,Yushin Jung,Changhoe Kim,Seo Woo Song,Yeongjae Choi,Junho Chung,Byung Gee Kim,Wonshik Han,Sunghoon Kwon
View all publications

Product promise

We are committed to supporting your work with high-quality reagents, and we're here for you every step of the way. In the unlikely event that one of our products does not perform as expected, you're protected by our Product Promise.
For full details, please see our Terms & Conditions

Please note: All products are 'FOR RESEARCH USE ONLY. NOT FOR USE IN DIAGNOSTIC OR THERAPEUTIC PROCEDURES'.

For licensing inquiries, please contact partnerships@abcam.com