JavaScript is disabled in your browser. Please enable JavaScript to view this website.
AB203118

Anti-CD146 antibody

Be the first to review this product! Submit a review

|

(1 Publication)

Rabbit Polyclonal CD146 antibody. Suitable for IHC-P and reacts with Rat, Human samples. Cited in 1 publication. Immunogen corresponding to Synthetic Peptide within Human MCAM aa 200-250 conjugated to Keyhole Limpet Haemocyanin.

View Alternative Names

CD146, MUC18, MCAM, Cell surface glycoprotein MUC18, Cell surface glycoprotein P1H12, Melanoma cell adhesion molecule, Melanoma-associated antigen A32, Melanoma-associated antigen MUC18, S-endo 1 endothelial-associated antigen

2 Images
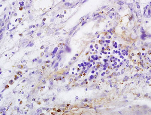
Immunohistochemistry (Formalin/PFA-fixed paraffin-embedded sections) - Anti-CD146 antibody (AB203118)
  • IHC-P

Supplier Data

Immunohistochemistry (Formalin/PFA-fixed paraffin-embedded sections) - Anti-CD146 antibody (AB203118)

Immunohistochemical analysis of formalin/PFA-fixed paraffin-embedded human cervical carcinoma tissue sections labeling CD146 with ab203118 at a 1/200 dilution, followed by conjugation to the secondary antibody and DAB staining.

Immunohistochemistry (Formalin/PFA-fixed paraffin-embedded sections) - Anti-CD146 antibody (AB203118)
  • IHC-P

Supplier Data

Immunohistochemistry (Formalin/PFA-fixed paraffin-embedded sections) - Anti-CD146 antibody (AB203118)

Immunohistochemical analysis of formalin/PFA-fixed paraffin-embedded rat brain tissue sections labeling CD146 with ab203118 at a 1/400 dilution, followed by conjugation to the secondary antibody and DAB staining.

Key facts

Host species

Rabbit

Clonality

Polyclonal

Isotype

IgG

Carrier free

No

Reacts with

Rat, Human

Applications

IHC-P

applications

Immunogen

Synthetic Peptide within Human MCAM aa 200-250 conjugated to Keyhole Limpet Haemocyanin. The exact immunogen used to generate this antibody is proprietary information.

P43121

Reactivity data

{ "title": "Reactivity Data", "filters": { "stats": ["", "Species", "Dilution Info", "Notes"], "tabs": { "all-applications": {"fullname" : "All Applications", "shortname": "All Applications"}, "IHCP" : {"fullname" : "Immunohistochemistry (Formalin/PFA-fixed paraffin-embedded sections)", "shortname":"IHC-P"} }, "product-promise": { "all": "all", "testedAndGuaranteed": "tested", "guaranteed": "expected", "predicted": "predicted", "notRecommended": "not-recommended" } }, "values": { "Human": { "IHCP-species-checked": "testedAndGuaranteed", "IHCP-species-dilution-info": "1/100 - 1/500", "IHCP-species-notes": "<p>Use at 1/50 - 1/200 with fluorescent detection methods.</p> Perform heat-mediated antigen retrieval with citrate buffer pH 6 before commencing with IHC staining protocol." }, "Rat": { "IHCP-species-checked": "testedAndGuaranteed", "IHCP-species-dilution-info": "1/100 - 1/500", "IHCP-species-notes": "<p>Use at 1/50 - 1/200 with fluorescent detection methods.</p> Perform heat-mediated antigen retrieval with citrate buffer pH 6 before commencing with IHC staining protocol." } } }

Properties and storage information

Form
Liquid
Purification technique
Affinity purification Protein A
Storage buffer
pH: 7.4 Preservative: 0.02% Proclin 300 Constituents: 50% Glycerol (glycerin, glycerine), 48.98% TBS, 1X, 1% BSA
Shipped at conditions
Blue Ice
Appropriate short-term storage duration
1-2 weeks
Appropriate short-term storage conditions
+4°C
Appropriate long-term storage conditions
-20°C
Aliquoting information
Upon delivery aliquot
Storage information
Avoid freeze / thaw cycle

Supplementary information

This supplementary information is collated from multiple sources and compiled automatically.

CD146 also known as MCAM or MUC18 is a cell adhesion molecule that belongs to the immunoglobulin superfamily. With a mass of approximately 113 kDa CD146 is expressed mainly on the surface of endothelial cells but it can also be found on smooth muscle cells some T-cells and in certain cancerous tissues. This protein plays a role in cell-cell adhesion contributing to the integrity and signaling functions within tissue microenvironments.
Biological function summary

CD146 influences the migration and organization of cells within the vascular system. It serves as a component of cell adhesion complexes facilitating interactions between endothelial cells and other cell types. Additionally CD146 contributes to angiogenesis the process by which new blood vessels form from existing vasculature which is critical during tissue development and repair. This function makes it an important element in maintaining normal physiological processes.

Pathways

CD146 participates in the Wnt/β-catenin and MAPK signaling pathways which are vital in cell proliferation and differentiation. Through the Wnt/β-catenin pathway CD146 interacts with other proteins like Frizzled receptors to regulate gene transcription. In the MAPK pathway it is linked with signaling cascades that involve proteins such as ERK leading to cellular responses necessary for growth and response to external stimuli.

CD146 has been implicated in melanoma progression and cardiovascular diseases. Its overexpression in melanoma associates it with increased tumor growth and metastasis often involving interactions with other adhesion molecules like integrins. In cardiovascular diseases CD146 relates to atherosclerosis as its expression on endothelial cells can promote inflammatory responses. Understanding these connections provides insights into potential therapeutic targets for treating these conditions.

Product protocols

For this product, it's our understanding that no specific protocols are required. You can visit:

Target data

Plays a role in cell adhesion, and in cohesion of the endothelial monolayer at intercellular junctions in vascular tissue. Its expression may allow melanoma cells to interact with cellular elements of the vascular system, thereby enhancing hematogeneous tumor spread. Could be an adhesion molecule active in neural crest cells during embryonic development. Acts as a surface receptor that triggers tyrosine phosphorylation of FYN and PTK2/FAK1, and a transient increase in the intracellular calcium concentration.
See full target information MCAM

Publications (1)

Recent publications for all applications. Explore the full list and refine your search

Frontiers of medicine 10:286-96 PubMed27324024

2016

Influence of the intensity and loading time of direct current electric field on the directional migration of rat bone marrow mesenchymal stem cells.

Applications

Unspecified application

Species

Unspecified reactive species

Xiaoyu Wang,Yuxuan Gao,Haigang Shi,Na Liu,Wei Zhang,Hongbo Li
View all publications

Product promise

We are committed to supporting your work with high-quality reagents, and we're here for you every step of the way. In the unlikely event that one of our products does not perform as expected, you're protected by our Product Promise.
For full details, please see our Terms & Conditions

Please note: All products are 'FOR RESEARCH USE ONLY. NOT FOR USE IN DIAGNOSTIC OR THERAPEUTIC PROCEDURES'.

For licensing inquiries, please contact partnerships@abcam.com