JavaScript is disabled in your browser. Please enable JavaScript to view this website.
AB232967

Anti-CD147 antibody

Be the first to review this product! Submit a review

|

(2 Publications)

Rabbit Polyclonal CD147 antibody. Suitable for WB, IHC-P, ICC/IF and reacts with Human samples. Cited in 2 publications. Immunogen corresponding to Recombinant Fragment Protein within Human BSG aa 50-300.

View Alternative Names

CD147, UNQ6505/PRO21383, BSG, Basigin, 5F7, Collagenase stimulatory factor, Extracellular matrix metalloproteinase inducer, Hepatoma-associated antigen, Leukocyte activation antigen M6, OK blood group antigen, Tumor cell-derived collagenase stimulatory factor, EMMPRIN, HAb18G, TCSF

9 Images
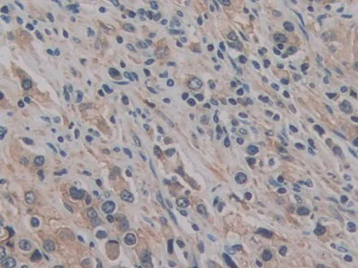
Immunohistochemistry (Formalin/PFA-fixed paraffin-embedded sections) - Anti-CD147 antibody (AB232967)
  • IHC-P

Supplier Data

Immunohistochemistry (Formalin/PFA-fixed paraffin-embedded sections) - Anti-CD147 antibody (AB232967)

Formalin-fixed, paraffin-embedded human glioma tissue stained for CD147 using ab232967 at 10 μg/ml in immunohistochemical analysis.

Secondary used : HRP-Linked Goat anti-Rabbit IgG polyclonal at 2 μg/ml. DAB staining.

Immunohistochemistry (Formalin/PFA-fixed paraffin-embedded sections) - Anti-CD147 antibody (AB232967)
  • IHC-P

Supplier Data

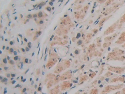
Immunohistochemistry (Formalin/PFA-fixed paraffin-embedded sections) - Anti-CD147 antibody (AB232967)

Formalin-fixed, paraffin-embedded human stomach tissue stained for CD147 using ab232967 at 10 μg/ml in immunohistochemical analysis.

Secondary used : HRP-Linked Goat anti-Rabbit IgG polyclonal at 2 μg/ml. DAB staining.

Immunohistochemistry (Formalin/PFA-fixed paraffin-embedded sections) - Anti-CD147 antibody (AB232967)
  • IHC-P

Supplier Data

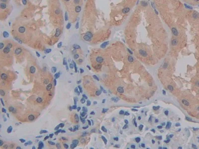
Immunohistochemistry (Formalin/PFA-fixed paraffin-embedded sections) - Anti-CD147 antibody (AB232967)

Formalin-fixed, paraffin-embedded human kidney tissue stained for CD147 using ab232967 at 10 μg/ml in immunohistochemical analysis.

Secondary used : HRP-Linked Goat anti-Rabbit IgG polyclonal at 2 μg/ml. DAB staining.

Immunohistochemistry (Formalin/PFA-fixed paraffin-embedded sections) - Anti-CD147 antibody (AB232967)
  • IHC-P

Supplier Data

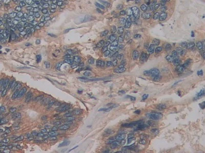
Immunohistochemistry (Formalin/PFA-fixed paraffin-embedded sections) - Anti-CD147 antibody (AB232967)

Formalin-fixed, paraffin-embedded human colorectal cancer tissue stained for CD147 using ab232967 at 10 μg/ml in immunohistochemical analysis.

Secondary used : HRP-Linked Goat anti-Rabbit IgG polyclonal at 2 μg/ml. DAB staining.

Immunohistochemistry (Formalin/PFA-fixed paraffin-embedded sections) - Anti-CD147 antibody (AB232967)
  • IHC-P

Supplier Data

Immunohistochemistry (Formalin/PFA-fixed paraffin-embedded sections) - Anti-CD147 antibody (AB232967)

Formalin-fixed, paraffin-embedded human stomach cancer tissue stained for CD147 using ab232967 at 10 μg/ml in immunohistochemical analysis.

Secondary used : HRP-Linked Goat anti-Rabbit IgG polyclonal at 2 μg/ml. DAB staining.

Immunohistochemistry (Formalin/PFA-fixed paraffin-embedded sections) - Anti-CD147 antibody (AB232967)
  • IHC-P

Supplier Data

Immunohistochemistry (Formalin/PFA-fixed paraffin-embedded sections) - Anti-CD147 antibody (AB232967)

Formalin-fixed, paraffin-embedded human prostate cancer tissue stained for CD147 using ab232967 at 10 μg/ml in immunohistochemical analysis.

Secondary used : HRP-Linked Goat anti-Rabbit IgG polyclonal at 2 μg/ml. DAB staining.

Immunocytochemistry/ Immunofluorescence - Anti-CD147 antibody (AB232967)
  • ICC/IF

Supplier Data

Immunocytochemistry/ Immunofluorescence - Anti-CD147 antibody (AB232967)

HeLa (human epithelial cell line from cervix adenocarcinoma) cells labelling CD147 using ab232967 at 20 μg/ml in ICC/IF. FITC staining.

Western blot - Anti-CD147 antibody (AB232967)
  • WB

Supplier Data

Western blot - Anti-CD147 antibody (AB232967)

All lanes:

Western blot - Anti-CD147 antibody (ab232967) at 2 µg/mL

All lanes:

HeLa (human epithelial cell line from cervix adenocarcinoma) cell lysate

Secondary

All lanes:

HRP-Linked Guinea pig Anti-Rabbit at 1/2000 dilution

Predicted band size: 42 kDa

false

Western blot - Anti-CD147 antibody (AB232967)
  • WB

Supplier Data

Western blot - Anti-CD147 antibody (AB232967)

All lanes:

Western blot - Anti-CD147 antibody (ab232967) at 2 µg/mL

All lanes:

Recombinant human CD147 protein

Secondary

All lanes:

HRP-Linked Guinea pig Anti-Rabbit at 1/2000 dilution

Predicted band size: 42 kDa

false

Key facts

Host species

Rabbit

Clonality

Polyclonal

Isotype

IgG

Carrier free

No

Reacts with

Human

Applications

ICC/IF, IHC-P, WB

applications

Immunogen

Recombinant Fragment Protein within Human BSG aa 50-300. The exact immunogen used to generate this antibody is proprietary information.

P35613

Reactivity data

{ "title": "Reactivity Data", "filters": { "stats": ["", "Species", "Dilution Info", "Notes"], "tabs": { "all-applications": {"fullname" : "All Applications", "shortname": "All Applications"}, "WB" : {"fullname" : "Western blot", "shortname":"WB"}, "IHCP" : {"fullname" : "Immunohistochemistry (Formalin/PFA-fixed paraffin-embedded sections)", "shortname":"IHC-P"}, "ICCIF" : {"fullname" : "Immunocytochemistry/ Immunofluorescence", "shortname":"ICC/IF"} }, "product-promise": { "all": "all", "testedAndGuaranteed": "tested", "guaranteed": "expected", "predicted": "predicted", "notRecommended": "not-recommended" } }, "values": { "Human": { "WB-species-checked": "testedAndGuaranteed", "WB-species-dilution-info": "0.5-2 µg/mL", "WB-species-notes": "<p></p>", "IHCP-species-checked": "testedAndGuaranteed", "IHCP-species-dilution-info": "5-20 µg/mL", "IHCP-species-notes": "<p></p>", "ICCIF-species-checked": "testedAndGuaranteed", "ICCIF-species-dilution-info": "5-20 µg/mL", "ICCIF-species-notes": "<p></p>" } } }

Properties and storage information

Form
Liquid
Purification technique
Affinity purification Protein A
Purification notes
Antigen-specific affinity chromatography followed by Protein A affinity chromatography.
Storage buffer
pH: 7.4 Preservative: 0.02% Sodium azide Constituents: PBS, 55.77% Glycerol (glycerin, glycerine)
Shipped at conditions
Blue Ice
Appropriate short-term storage duration
1-2 weeks
Appropriate short-term storage conditions
+4°C
Appropriate long-term storage conditions
-20°C
Aliquoting information
Upon delivery aliquot
Storage information
Avoid freeze / thaw cycle

Supplementary information

This supplementary information is collated from multiple sources and compiled automatically.

CD147 also referred to as EMMPRIN or basigin is a transmembrane glycoprotein with a molecular weight of roughly 50–60 kDa. This protein is found on the surface of many cell types including leukocytes platelets and endothelial cells and it plays a critical role in cell function related to immune responses and cellular interactions. CD147 interacts with several cellular components serving mechanical functions such as facilitating cell-to-cell communication and contributing to the stability of cell structures. The protein is ubiquitously expressed but exhibits higher levels in tissues like the brain skin and liver.
Biological function summary

CD147 engages in multiple roles beyond its mechanical functions. It functions as a part of protein complexes and is involved in processes such as regulation of matrix metalloproteinases (MMPs) which are pivotal in tissue remodeling and repair. It can modulate inflammatory responses and is essential for cellular signaling pathways that affect cellular metabolism and growth. The involvement of CD147 in immune responses indicates its importance in various physiological processes.

Pathways

CD147 plays a significant role in the MAPK and NF-kB signaling pathways which are fundamental for controlling inflammatory responses and cell survival. It interacts with proteins such as integrins and cyclophilins which are important for mediating these pathways. These interactions highlight CD147's impact on cellular dynamics and its potential role in modulating the cellular environment in response to external stimuli.

CD147 has been implicated in cancer promotion and progression as well as inflammatory diseases like rheumatoid arthritis. Its overexpression is often observed in tumors where it interacts with MMPs to facilitate tumor invasion and metastasis. In inflammatory conditions CD147 can influence the behavior of proteins like cytokines exacerbating symptoms and contributing to disease severity. These associations make CD147 a potential target for therapeutic intervention in cancer and inflammatory diseases.

Product protocols

For this product, it's our understanding that no specific protocols are required. You can visit:

Target data

Isoform 1. Essential for normal retinal maturation and development (By similarity). Acts as a retinal cell surface receptor for NXNL1 and plays an important role in NXNL1-mediated survival of retinal cone photoreceptors (PubMed : 25957687). In association with glucose transporter SLC16A1/GLUT1 and NXNL1, promotes retinal cone survival by enhancing aerobic glycolysis and accelerating the entry of glucose into photoreceptors (PubMed : 25957687). May act as a potent stimulator of IL6 secretion in multiple cell lines that include monocytes (PubMed : 21620857).. Isoform 1. (Microbial infection) Erythrocyte receptor for P.falciparum RH5 which is essential for erythrocyte invasion by the merozoite stage of P.falciparum isolates 3D7 and Dd2.. Isoform 2. Signaling receptor for cyclophilins, essential for PPIA/CYPA and PPIB/CYPB-dependent signaling related to chemotaxis and adhesion of immune cells (PubMed : 11688976, PubMed : 11943775). Plays an important role in targeting monocarboxylate transporters SLC16A1/GLUT1, SLC16A11 and SLC16A12 to the plasma membrane (PubMed : 17127621, PubMed : 21778275, PubMed : 28666119). Acts as a coreceptor for vascular endothelial growth factor receptor 2 (KDR/VEGFR2) in endothelial cells enhancing its VEGFA-mediated activation and downstream signaling (PubMed : 25825981). Promotes angiogenesis through EPAS1/HIF2A-mediated up-regulation of VEGFA (isoform VEGF-165 and VEGF-121) and KDR/VEGFR2 in endothelial cells (PubMed : 19837976). Plays a key role in regulating tumor growth, invasion, metastasis and neoangiogenesis by stimulating the production and release of extracellular matrix metalloproteinases and KDR/VEGFR2 by both tumor cells and stromal cells (fibroblasts and endothelial cells) (PubMed : 11992541, PubMed : 12553375, PubMed : 15833850).. Isoform 2. (Microbial infection) Erythrocyte receptor for P.falciparum RH5 which is essential for erythrocyte invasion by the merozoite stage of P.falciparum isolates 3D7, Dd2, 7G8 and HB3 (PubMed : 22080952, PubMed : 26195724). Binding of P.falciparum RH5 results in BSG dimerization which triggers an increase in intracellular Ca(2+) in the erythrocyte (PubMed : 28409866). This essential step leads to a rearrangement of the erythrocyte cytoskeleton required for the merozoite invasion (PubMed : 28409866).. Isoform 2. (Microbial infection) Can facilitate human SARS coronavirus (SARS-CoV-1) infection via its interaction with virus-associated PPIA/CYPA.. Isoform 2. (Microbial infection) Can facilitate HIV-1 infection via its interaction with virus-associated PPIA/CYPA.. Isoform 2. (Microbial infection) First described as a receptor for severe acute respiratory syndrome coronavirus 2 (SARS-CoV-2), it is not required for SARS-CoV-2 infection.. Isoform 2. (Microbial infection) Acts as a receptor for measles virus.. Isoform 2. (Microbial infection) Promotes entry of pentamer-expressing human cytomegalovirus (HCMV) into epithelial and endothelial cells.
See full target information BSG

Publications (2)

Recent publications for all applications. Explore the full list and refine your search

PLoS pathogens 20:e1012305 PubMed38905309

2024

PoRVA G9P[23] and G5P[7] infections differentially promote PEDV replication by reprogramming glutamine metabolism.

Applications

Unspecified application

Species

Unspecified reactive species

Haixin Liu,Haolun Tian,Pengcheng Hao,Huimin Du,Kun Wang,Yudong Qiu,Xiangrui Yin,Nana Wu,Qian Du,Dewen Tong,Yong Huang

Frontiers in microbiology 12:615165 PubMed33717005

2021

The CD147 Protein Complex Is Involved in Entry of Chikungunya Virus and Related Alphaviruses in Human Cells.

Applications

Unspecified application

Species

Unspecified reactive species

Lien De Caluwé,Sandra Coppens,Katleen Vereecken,Simon Daled,Maarten Dhaenens,Xaveer Van Ostade,Dieter Deforce,Kevin K Ariën,Koen Bartholomeeusen
View all publications

Product promise

We are committed to supporting your work with high-quality reagents, and we're here for you every step of the way. In the unlikely event that one of our products does not perform as expected, you're protected by our Product Promise.
For full details, please see our Terms & Conditions

Please note: All products are 'FOR RESEARCH USE ONLY. NOT FOR USE IN DIAGNOSTIC OR THERAPEUTIC PROCEDURES'.

For licensing inquiries, please contact partnerships@abcam.com