JavaScript is disabled in your browser. Please enable JavaScript to view this website.
AB251535

Anti-CD147 antibody [EPR18008-67] - BSA and Azide free

Be the first to review this product! Submit a review

|

(1 Publication)

Rabbit Recombinant Monoclonal CD147 antibody. Carrier free. Suitable for ICC/IF, IP, Flow Cyt, WB, IHC-P and reacts with Mouse samples. Cited in 1 publication.

View Alternative Names

CD147, Basigin, Basic immunoglobulin superfamily, HT7 antigen, Membrane glycoprotein gp42, Bsg

7 Images
Immunocytochemistry/ Immunofluorescence - Anti-CD147 antibody [EPR18008-67] - BSA and Azide free (AB251535)
  • ICC/IF

Supplier Data

Immunocytochemistry/ Immunofluorescence - Anti-CD147 antibody [EPR18008-67] - BSA and Azide free (AB251535)

This data was developed using ab212057, the same antibody clone in a different buffer formulation.

Immunofluorescent analysis of 4% paraformaldehyde-fixed, 0.1% TritonX-100 permeabilized bEnd.3 (mouse brain endothelioma cell line) cells labeling CD147 with ab212057 at 1/250 dilution followed by Goat Anti-Rabbit IgG H&L (Alexa Fluor® 488) (ab150077) secondary antibody at 1/1000 dilution (green). Confocal image showing cell membranous staining on bEnd.3 cell line.

The nuclear counterstain is DAPI (blue). Tubulin is detected with Anti-alpha Tubulin mouse MAb (ab7291) at 1/1000 dilution, followed by Goat Anti-Mouse IgG H&L (Alexa Fluor® 594) (ab150120) secondary antibody at 1/1000 dilution (red).

The negative control are is as follows :

-ve control 1 : ab212057 at 1/250 dilution, followed by Goat Anti-Mouse IgG H&L (Alexa Fluor® 594) (ab150120) secondary antibody at 1/1000 dilution.
-ve control 2 : ab7291 at 1/1000 dilution, followed by Goat Anti-Rabbit IgG H&L (Alexa Fluor® 488) (ab150077) at 1/1000 dilution.

Flow Cytometry - Anti-CD147 antibody [EPR18008-67] - BSA and Azide free (AB251535)
  • Flow Cyt

Supplier Data

Flow Cytometry - Anti-CD147 antibody [EPR18008-67] - BSA and Azide free (AB251535)

This data was developed using ab212057, the same antibody clone in a different buffer formulation.

Flow cytometric analysis of fresh mouse thymocytes labeling CD147 with ab212057 at 1/200 dilution (red) compared with a Rabbit IgG, monoclonal [EPR25A] - Isotype Control (black) and an unlabeled control (cells without incubation with primary antibody and secondary antibody) (blue). Goat Anti-Rabbit IgG H&L (Alexa Fluor® 488) (ab150077), at 1/500 dilution was used as the secondary antibody.

Immunocytochemistry/ Immunofluorescence - Anti-CD147 antibody [EPR18008-67] - BSA and Azide free (AB251535)
  • ICC/IF

Supplier Data

Immunocytochemistry/ Immunofluorescence - Anti-CD147 antibody [EPR18008-67] - BSA and Azide free (AB251535)

This data was developed using ab212057, the same antibody clone in a different buffer formulation.

Immunofluorescent analysis of 4% paraformaldehyde-fixed, 0.1% TritonX-100 permeabilized WEHI-231 (mouse lymphoblast B cell lymphoma cell line) cells labeling CD147 with ab212057 at 1/250 dilution followed by Goat Anti-Rabbit IgG H&L (Alexa Fluor® 488) (ab150077) secondary antibody at 1/1000 dilution (green). Confocal image showing cell membranous staining on bEnd.3 cell line.

The nuclear counterstain is DAPI (blue). Tubulin is detected with Anti-alpha Tubulin mouse MAb (ab7291) at 1/1000 dilution, followed by Goat Anti-Mouse IgG H&L (Alexa Fluor® 594) (ab150120) secondary antibody at 1/1000 dilution (red).

The negative control are is as follows :

-ve control 1 : ab212057 at 1/250 dilution, followed by Goat Anti-Mouse IgG H&L (Alexa Fluor® 594) (ab150120) secondary antibody at 1/1000 dilution.
-ve control 2 : ab7291 at 1/1000 dilution, followed by Goat Anti-Rabbit IgG H&L (Alexa Fluor® 488) (ab150077) at 1/1000 dilution.

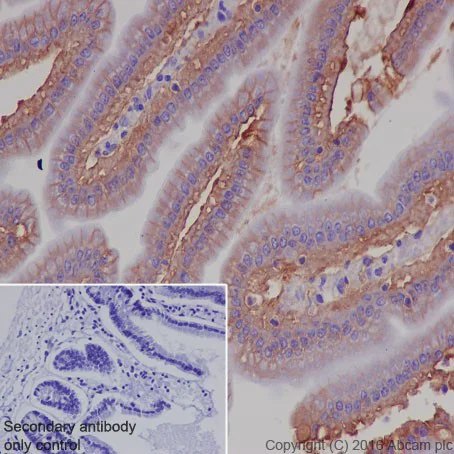
Immunohistochemistry (Formalin/PFA-fixed paraffin-embedded sections) - Anti-CD147 antibody [EPR18008-67] - BSA and Azide free (AB251535)
  • IHC-P

Supplier Data

Immunohistochemistry (Formalin/PFA-fixed paraffin-embedded sections) - Anti-CD147 antibody [EPR18008-67] - BSA and Azide free (AB251535)

This data was developed using ab212057, the same antibody clone in a different buffer formulation.

Immunohistochemical analysis of paraffin-embedded mouse intestine tissue labeling CD147 with ab212057 at 1/8000 dilution, followed by Goat Anti-Rabbit IgG H&L (HRP) (ab97051) at 1/500 dilution. Membranous staining on mouse intestine is observed. Counter stained withematoxylin.

Secondary antibody only control : Used PBS instead of primary antibody, secondary antibody is Goat Anti-Rabbit IgG H&L (HRP) (ab97051) at 1/500 dilution.

Perform heat mediated antigen retrieval with Tris/EDTA buffer pH 9.0 before commencing with IHC staining protocol.

Immunoprecipitation - Anti-CD147 antibody [EPR18008-67] - BSA and Azide free (AB251535)
  • IP

Supplier Data

Immunoprecipitation - Anti-CD147 antibody [EPR18008-67] - BSA and Azide free (AB251535)

This data was developed using ab212057, the same antibody clone in a different buffer formulation.

CD147 was immunoprecipitated from 1 mg of RAW 264.7 (mouse macrophage cell line transformed with Abelson murine leukemia virus) whole cell lysate with ab212057 at 1/50 dilution. Western blot was performed from the immunoprecipitate using ab212057 at 1/5000 dilution. VeriBlot for IP Detection Reagent (HRP) (ab131366), was used for detection at 1/10,000 dilution

Lane 1 : RAW 264.7 whole cell lysate 10μg (Input).

Lane 2 : ab212057 IP in RAW 264.7 whole cell lysate.

Lane 3 : : Rabbit monoclonal IgG (ab172730) instead of ab212057 in RAW 264.7 whole cell lysate.

Blocking and dilution buffer : 5% NFDM/TBST.

Exposure time : 1 second.

All lanes:

Immunoprecipitation - Anti-CD147 antibody [EPR18008-67] (<a href='/en-us/products/primary-antibodies/cd147-antibody-epr18008-67-ab212057'>ab212057</a>)

Predicted band size: 42 kDa

Observed band size: 55 kDa

true

Western blot - Anti-CD147 antibody [EPR18008-67] - BSA and Azide free (AB251535)
  • WB

Supplier Data

Western blot - Anti-CD147 antibody [EPR18008-67] - BSA and Azide free (AB251535)

This data was developed using ab212057, the same antibody clone in a different buffer formulation.

Blocking and dilution buffer : 5% NFDM/TBST.

Exposure times : Lanes 1-2 : 3 minutes; Lane 3 : 10 seconds; Lane 4 : 1 second.

The expression profile observed is consistent with what has been described in the literature (PMID : 16721788; 23966157).

All lanes:

Western blot - Anti-CD147 antibody [EPR18008-67] (<a href='/en-us/products/primary-antibodies/cd147-antibody-epr18008-67-ab212057'>ab212057</a>) at 1/5000 dilution

Lane 1:

RAW 264.7 (mouse macrophage cell line transformed with Abelson murine leukemia virus) whole cell lysate at 10 µg

Lane 2:

Mouse liver lysate at 10 µg

Lane 3:

WEHI-3 (mouse leukemia cell line) whole cell lysate at 10 µg

Lane 4:

bEnd.3 (mouse brain endothelioma cell line) whole cell lysate at 10 µg

Secondary

All lanes:

Western blot - Goat Anti-Rabbit IgG H&L (HRP) (<a href='/en-us/products/secondary-antibodies/goat-rabbit-igg-h-l-hrp-ab97051'>ab97051</a>) at 1/100000 dilution

Predicted band size: 42 kDa

Observed band size: 45-55 kDa

true

Western blot - Anti-CD147 antibody [EPR18008-67] - BSA and Azide free (AB251535)
  • WB

Supplier Data

Western blot - Anti-CD147 antibody [EPR18008-67] - BSA and Azide free (AB251535)

This data was developed using ab212057, the same antibody clone in a different buffer formulation.

Blocking and dilution buffer : 5% NFDM/TBST.

All lanes:

Western blot - Anti-CD147 antibody [EPR18008-67] (<a href='/en-us/products/primary-antibodies/cd147-antibody-epr18008-67-ab212057'>ab212057</a>) at 1/5000 dilution

All lanes:

His-tagged mouse CD147 recombinant protein fragment (aa140-325) at 0.002 µg

Secondary

All lanes:

Western blot - Goat Anti-Rabbit IgG H&L (HRP) (<a href='/en-us/products/secondary-antibodies/goat-rabbit-igg-h-l-hrp-ab97051'>ab97051</a>) at 1/100000 dilution

Predicted band size: 42 kDa

Observed band size: 28 kDa

true

Exposure time: 3min

Key facts

Host species

Rabbit

Clonality

Monoclonal

Clone number

EPR18008-67

Isotype

IgG

Carrier free

Yes

Reacts with

Mouse

Applications

Flow Cyt, ICC/IF, IP, IHC-P, WB

applications

Immunogen

The exact immunogen used to generate this antibody is proprietary information.

Reactivity data

{ "title": "Reactivity Data", "filters": { "stats": ["", "Species", "Dilution Info", "Notes"], "tabs": { "all-applications": {"fullname" : "All Applications", "shortname": "All Applications"}, "ICCIF" : {"fullname" : "Immunocytochemistry/ Immunofluorescence", "shortname":"ICC/IF"}, "IP" : {"fullname" : "Immunoprecipitation", "shortname":"IP"}, "FlowCyt" : {"fullname" : "Flow Cytometry", "shortname":"Flow Cyt"}, "WB" : {"fullname" : "Western blot", "shortname":"WB"}, "IHCP" : {"fullname" : "Immunohistochemistry (Formalin/PFA-fixed paraffin-embedded sections)", "shortname":"IHC-P"} }, "product-promise": { "all": "all", "testedAndGuaranteed": "tested", "guaranteed": "expected", "predicted": "predicted", "notRecommended": "not-recommended" } }, "values": { "Mouse": { "ICCIF-species-checked": "testedAndGuaranteed", "ICCIF-species-dilution-info": "", "ICCIF-species-notes": "<p></p>", "IP-species-checked": "testedAndGuaranteed", "IP-species-dilution-info": "", "IP-species-notes": "<p></p>", "FlowCyt-species-checked": "testedAndGuaranteed", "FlowCyt-species-dilution-info": "", "FlowCyt-species-notes": "<p></p>", "WB-species-checked": "testedAndGuaranteed", "WB-species-dilution-info": "", "WB-species-notes": "<p></p>", "IHCP-species-checked": "testedAndGuaranteed", "IHCP-species-dilution-info": "", "IHCP-species-notes": "<p></p>" } } }

Product details

ab251535 is the carrier-free version of ab212057.

Patented technology
Our RabMAb® technology is a patented hybridoma-based technology for making rabbit monoclonal antibodies. For details on our patents, please refer to RabMAb® patents.

What are the advantages of a recombinant monoclonal antibody?
This product is a recombinant monoclonal antibody, which offers several advantages including:

  • - High batch-to-batch consistency and reproducibility
  • - Improved sensitivity and specificity
  • - Long-term security of supply
  • - Animal-free batch production

For more information, read more on recombinant antibodies.

Conjugation ready
Our carrier-free antibodies are typically supplied in a PBS-only formulation, purified and free of BSA, sodium azide and glycerol. This conjugation-ready format is designed for use with fluorochromes, metal isotopes, oligonucleotides, and enzymes, which makes them ideal for antibody labelling, functional and cell-based assays, flow-based assays (e.g. mass cytometry) and Multiplex Imaging applications.

Use our conjugation kits for antibody conjugates that are ready-to-use in as little as 20 minutes with 1 minute hands-on-time and 100% antibody recovery: available for fluorescent dyes, HRP, biotin and gold.

Compatibility
This product is compatible with the Maxpar® Antibody Labeling Kit from Fluidigm, without the need for antibody preparation. Maxpar® is a trademark of Fluidigm Canada Inc.

Properties and storage information

Form
Liquid
Purification technique
Affinity purification Protein A
Storage buffer
pH: 7.2 - 7.4 Constituents: PBS
Shipped at conditions
Blue Ice
Appropriate short-term storage conditions
+4°C
Appropriate long-term storage conditions
+4°C
Storage information
Do Not Freeze

Supplementary information

This supplementary information is collated from multiple sources and compiled automatically.

CD147 also referred to as EMMPRIN or basigin is a transmembrane glycoprotein with a molecular weight of roughly 50–60 kDa. This protein is found on the surface of many cell types including leukocytes platelets and endothelial cells and it plays a critical role in cell function related to immune responses and cellular interactions. CD147 interacts with several cellular components serving mechanical functions such as facilitating cell-to-cell communication and contributing to the stability of cell structures. The protein is ubiquitously expressed but exhibits higher levels in tissues like the brain skin and liver.
Biological function summary

CD147 engages in multiple roles beyond its mechanical functions. It functions as a part of protein complexes and is involved in processes such as regulation of matrix metalloproteinases (MMPs) which are pivotal in tissue remodeling and repair. It can modulate inflammatory responses and is essential for cellular signaling pathways that affect cellular metabolism and growth. The involvement of CD147 in immune responses indicates its importance in various physiological processes.

Pathways

CD147 plays a significant role in the MAPK and NF-kB signaling pathways which are fundamental for controlling inflammatory responses and cell survival. It interacts with proteins such as integrins and cyclophilins which are important for mediating these pathways. These interactions highlight CD147's impact on cellular dynamics and its potential role in modulating the cellular environment in response to external stimuli.

CD147 has been implicated in cancer promotion and progression as well as inflammatory diseases like rheumatoid arthritis. Its overexpression is often observed in tumors where it interacts with MMPs to facilitate tumor invasion and metastasis. In inflammatory conditions CD147 can influence the behavior of proteins like cytokines exacerbating symptoms and contributing to disease severity. These associations make CD147 a potential target for therapeutic intervention in cancer and inflammatory diseases.

Product protocols

For this product, it's our understanding that no specific protocols are required. You can visit:

Target data

Isoform 1. Essential for normal retinal maturation and development (PubMed : 10967074, PubMed : 11273674, PubMed : 11853760). Acts as a retinal cell surface receptor for NXNL1 and plays an important role in NXNL1-mediated survival of retinal cone photoreceptors (PubMed : 25957687). In association with glucose transporter SLC16A1/GLUT1 and NXNL1, promotes retinal cone survival by enhancing aerobic glycolysis and accelerating the entry of glucose into photoreceptors (PubMed : 25957687).. Isoform 2. Signaling receptor for cyclophilins, essential for PPIA/CYPA and PPIB/CYPB-dependent signaling related to chemotaxis and adhesion of immune cells (By similarity). Plays an important role in targeting the monocarboxylate transporters SLC16A1, SLC16A3 and SLC16A8 to the plasma membrane (PubMed : 12601063). Acts as a coreceptor for vascular endothelial growth factor receptor 2 (KDR/VEGFR2) in endothelial cells enhancing its VEGFA-mediated activation and downstream signaling (By similarity). Promotes angiogenesis through EPAS1/HIF2A-mediated up-regulation of VEGFA and KDR/VEGFR2 in endothelial cells (By similarity). Plays an important role in spermatogenesis; mediates interactions between germ cells and Sertoli cell and is essential for the development/differentiation of germ cells to round spermatids (PubMed : 11882021, PubMed : 23727514).
See full target information Bsg

Publications (1)

Recent publications for all applications. Explore the full list and refine your search

Oncology letters 18:545-552 PubMed31289526

2019

Lymphoepithelioma-like gastric carcinoma treated with partial gastrectomy: Two case reports.

Applications

Unspecified application

Species

Unspecified reactive species

Huihua Cao,Jun Xie,Yongxiang Qian,Yugang Wu,Zhaoqing Tang
View all publications

Product promise

We are committed to supporting your work with high-quality reagents, and we're here for you every step of the way. In the unlikely event that one of our products does not perform as expected, you're protected by our Product Promise.
For full details, please see our Terms & Conditions

Please note: All products are 'FOR RESEARCH USE ONLY. NOT FOR USE IN DIAGNOSTIC OR THERAPEUTIC PROCEDURES'.

For licensing inquiries, please contact partnerships@abcam.com