JavaScript is disabled in your browser. Please enable JavaScript to view this website.
AB188190

Anti-CD147 antibody [EPR18008-8]

Be the first to review this product! Submit a review

|

(13 Publications)

Rabbit Recombinant Monoclonal CD147 antibody. Suitable for IP, Flow Cyt, WB, sELISA, ICC/IF, IHC-P and reacts with Mouse, Recombinant fragment - Mouse samples. Cited in 13 publications.

View Alternative Names

CD147, Basigin, Basic immunoglobulin superfamily, HT7 antigen, Membrane glycoprotein gp42, Bsg

10 Images
Immunocytochemistry/ Immunofluorescence - Anti-CD147 antibody [EPR18008-8] (AB188190)
  • ICC/IF

Supplier Data

Immunocytochemistry/ Immunofluorescence - Anti-CD147 antibody [EPR18008-8] (AB188190)

Immunofluorescent analysis of 4% paraformaldehyde-fixed, 0.1% Triton X-100 permeabilized bEND.3 (Mouse brain capillary endothelial cell line) cells labeling CD147 with ab188190 at 1/250 dilution, followed by by Goat Anti-Rabbit IgG H&L (Alexa Fluor® 488) (ab150077) secondary antibody at 1/1000 dilution (green). Confocal image showing cell membrane staining on bEND.3 cell line. The nuclear counter stain is DAPI (blue).

Tubulin is detected with Anti-alpha Tubulin mouse MAb (ab7291) at 1/1000 dilution and Goat Anti-Mouse IgG H&L (Alexa Fluor® 594) (ab150120) secondary antibody at 1/1000 dilution (red).

The negative controls are as follows :
-ve control 1 : ab188190 at 1/250 dilution followed by Goat Anti-Mouse IgG H&L (Alexa Fluor® 594) (ab150120) secondary antibody at 1/1000 dilution.
-ve control 2 : Anti-alpha Tubulin mouse MAb (ab7291) at 1/1000 dilution followed by Goat Anti-Rabbit IgG H&L (Alexa Fluor® 488) (ab150077) secondary antibody at 1/1000 dilution.

Flow Cytometry - Anti-CD147 antibody [EPR18008-8] (AB188190)
  • Flow Cyt

Lab

Flow Cytometry - Anti-CD147 antibody [EPR18008-8] (AB188190)

Flow cytometry staining of C57 BL/6 mouse splenocytes (top) or C57 BL/6 mouse thymocytes (bottom), with ab188190 (right) or Recombinant Rabbit IgG, monoclonal [EPR25A] - Isotype Control (left). Splenocytes or thymocytes were incubated for 30 min at 4°C in 1x PBS containing 10μg/ml anti CD16/CD32 and 10% normal goat serum to block FC receptors and non-specific protein-protein interaction followed by ab188190 or Recombinant Rabbit IgG, monoclonal [EPR25A] - Isotype Control (1x 106 in 100 μl at 0.1 μg/ml (1/21900)) for 30 min at 4°C. The cells were simultaneously stained with CD3.

The secondary antibody Goat Anti-Rabbit IgG H&L (Alexa Fluor® 488) preadsorbed was incubated at 1/4000 for 30min at 4°C

Acquisition of >30000 events were collected using a 50 mW Blue laser (488nm) and 525/40 bandpass filter. Events were gated on viable cells.

Immunocytochemistry/ Immunofluorescence - Anti-CD147 antibody [EPR18008-8] (AB188190)
  • ICC/IF

Supplier Data

Immunocytochemistry/ Immunofluorescence - Anti-CD147 antibody [EPR18008-8] (AB188190)

Immunofluorescent analysis of 4% paraformaldehyde-fixed, 0.1% Triton X-100 permeabilized WEHI-231 (Mouse B Cell Lymphoma cell line) cells labeling CD147 with ab188190 at 1/250 dilution, followed by Goat Anti-Rabbit IgG H&L (Alexa Fluor® 488) (ab150077) secondary antibody at 1/1000 dilution (green). Confocal image showing cell membrane staining on WEHI-231 cell line. The nuclear counter stain is DAPI (blue).

Tubulin is detected with Anti-alpha Tubulin mouse MAb (ab7291) at 1/1000 dilution and Goat Anti-Mouse IgG H&L (Alexa Fluor® 594) (ab150120) secondary antibody at 1/1000 dilution (red).

The negative controls are as follows :
-ve control 1 : ab188190 at 1/250 dilution followed by Goat Anti-Mouse IgG H&L (Alexa Fluor® 594) (ab150120) secondary antibody at 1/1000 dilution.
-ve control 2 : Anti-alpha Tubulin mouse MAb (ab7291) at 1/1000 dilution followed by Goat Anti-Rabbit IgG H&L (Alexa Fluor® 488) (ab150077) secondary antibody at 1/1000 dilution.

Flow Cytometry - Anti-CD147 antibody [EPR18008-8] (AB188190)
  • Flow Cyt

Supplier Data

Flow Cytometry - Anti-CD147 antibody [EPR18008-8] (AB188190)

Flow cytometric analysis of fresh mouse thymocytes labeling CD147 with ab188190 at 1/200 dilution (red) compared with Rabbit IgG, monoclonal [EPR25A] - Isotype Control (ab172730; black) and an unlabeled control (cells without incubation with primary antibody and secondary antibody; blue). Goat Anti-Rabbit IgG (Alexa Fluor® 488) at 1/500 dilution was used as the secondary antibody.

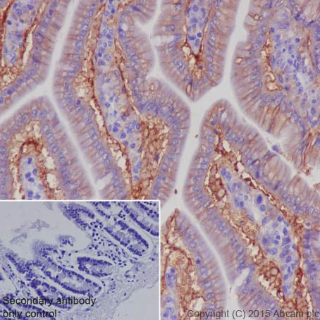
Immunohistochemistry (Formalin/PFA-fixed paraffin-embedded sections) - Anti-CD147 antibody [EPR18008-8] (AB188190)
  • IHC-P

Supplier Data

Immunohistochemistry (Formalin/PFA-fixed paraffin-embedded sections) - Anti-CD147 antibody [EPR18008-8] (AB188190)

Immunohistochemical analysis of paraffin-embedded mouse intestine tissue labeling CD147 with ab188190 at 1/8000 dilution, followed by Goat Anti-Rabbit IgG H&L (HRP) (ab97051) at 1/500 dilution. Membrane staining on mouse intestine is observed. Counter stained with Hematoxylin.

Secondary antibody only control : Used PBS instead of primary antibody, secondary antibody is Goat Anti-Rabbit IgG H&L (HRP) (ab97051) at 1/500 dilution.

Perform heat mediated antigen retrieval with Tris/EDTA buffer pH 9.0 before commencing with IHC staining protocol.

Immunoprecipitation - Anti-CD147 antibody [EPR18008-8] (AB188190)
  • IP

Supplier Data

Immunoprecipitation - Anti-CD147 antibody [EPR18008-8] (AB188190)

CD147 was immunoprecipitated from 1 mg of RAW 264.7 (Mouse macrophage cell line transformed with Abelson murine leukemia virus) whole cell lysate with ab188190 at 1/50 dilution. Western blot was performed from the immunoprecipitate using ab188190 at 1/5000 dilution. VeriBlot for IP Detection Reagent (HRP) (ab131366), was used for detection at 1/10000 dilution.

Lane 1 : RAW 264.7 whole cell lysate 10μg (Input).

Lane 2 : ab188190 IP in RAW 264.7 whole cell lysate.

Lane 3 : Rabbit monoclonal IgG (ab172730) instead of ab188190 in RAW 264.7 whole cell lysate.

Blocking and dilution buffer and concentration : 5% NFDM/TBST.

Exposure time : 1 second.

All lanes:

Immunoprecipitation - Anti-CD147 antibody [EPR18008-8] (ab188190)

Predicted band size: 42 kDa

false

Sandwich ELISA - Anti-CD147 antibody [EPR18008-8] (AB188190)
  • sELISA

Lab

Sandwich ELISA - Anti-CD147 antibody [EPR18008-8] (AB188190)

Standard Curve for CD147 (Analyte : Recombinant mouse CD147 protein) dilution range 0-500 pg/mL using Capture antibody at 0.2 ug/mL and Detector Antibody at 0.5 ug/mL. Secondary antibody : Peroxidase Streptavidin SA-HRP at 1/20000 dilution. Concentration of ab188190 may vary from lot to lot; please use this curve as guideline.

Washing buffer : 1X PBST
Blocking/Diluting buffer and concentration : 1% BSA/PBS

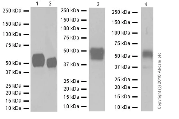
Western blot - Anti-CD147 antibody [EPR18008-8] (AB188190)
  • WB

Supplier Data

Western blot - Anti-CD147 antibody [EPR18008-8] (AB188190)

Blocking/Dilution buffer : 5% NFDM/TBST.

Exposure times : Lane 1/2 : 3 minutes; Lane 3 : 10 seconds; Lane 4 : 1 second.

The expression profile observed is consistent with what has been described in the literature (PMID : 16721788; 23966157).

All lanes:

Western blot - Anti-CD147 antibody [EPR18008-8] (ab188190) at 1/5000 dilution

Lane 1:

RAW 264.7 (Mouse macrophage cell line transformed with Abelson murine leukemia virus) whole cell lysate at 10 µg

Lane 2:

Mouse liver lysate at 10 µg

Lane 3:

WEHI-3 (Mouse leukemia cell line) whole cell lysate at 10 µg

Lane 4:

bEnd.3 (Mouse brain endothelioma cell line) whole cell lysate at 10 µg

Secondary

All lanes:

Western blot - Goat Anti-Rabbit IgG H&L (HRP) (<a href='/en-us/products/secondary-antibodies/goat-rabbit-igg-h-l-hrp-ab97051'>ab97051</a>) at 1/100000 dilution

Predicted band size: 32 kDa,42 kDa

Observed band size: 45-55 kDa

false

Western blot - Anti-CD147 antibody [EPR18008-8] (AB188190)
  • WB

Supplier Data

Western blot - Anti-CD147 antibody [EPR18008-8] (AB188190)

Blocking/Dilution buffer : 5% NFDM/TBST.

Recombinant protein fragment Mouse CD147 contains aa140-325 with a His-Tag®. It was made in house

All lanes:

Western blot - Anti-CD147 antibody [EPR18008-8] (ab188190) at 1/5000 dilution

All lanes:

Mouse CD147 recombinant protein fragment at 0.002 µg

Secondary

All lanes:

Western blot - Goat Anti-Rabbit IgG H&L (HRP) (<a href='/en-us/products/secondary-antibodies/goat-rabbit-igg-h-l-hrp-ab97051'>ab97051</a>) at 1/100000 dilution

Predicted band size: 42 kDa,72 kDa

Observed band size: 28 kDa

false

Exposure time: 3min

Western blot - Anti-CD147 antibody [EPR18008-8] (AB188190)
  • WB

CiteAb

Western blot - Anti-CD147 antibody [EPR18008-8] (AB188190)

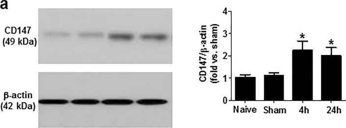
CD147 western blot using anti-CD147 antibody [EPR18008-8] ab188190. Publication image and figure legend from Jin, R., Zhong, W., et al., 2019, J Neuroinflammation, PubMed 31666088.

ab188190 was used in this publication in western blot. This may not be the same as the application(s) guaranteed by Abcam. For a full list of applications guaranteed by Abcam for ab188190 please see the product overview.

Focal cerebral ischemia and reperfusion induces CD147 expression and early inflammatory response in the spleen. a Representative western blot images (left) and semi-quantitation (right) showing CD147 protein levels detected in isolated splenocytes from the following groups (n = 5 mice/group) : naïve (no surgery), sham surgery, and tMCAO at 4 or 24 h tMCAO. b The number of isolated splenocytes from each of the above indicated groups was counted using a hemocytometer. c RT-qPCR analysis of CD147 mRNA levels detected in isolated whole splenocytes at 4 or 24 h after tMCAO, and in the different subpopulations of splenocytes (T or B cells neutrophils, monocytes) sorted by FACS at 4 h after tMCAO. *p < 0.05 vs. naïve or sham controls. d RT-qPCR analysis of mRNA levels of proinflammatory genes (TNF-α, IL1β, IL6, MCP-1) detected in isolated splenocytes from the following groups (n = 5 me/group) : sham surgery, tMCAO + isotype, and tMCAO + αCD147. *p < 0.05 vs. sham; #p < 0.05 vs. tMCAO + isotype

false

  • 519 Alexa Fluor® 488

    Anti-CD147 antibody [EPR18008-8] (Alexa Fluor® 488)

  • Carrier free

    Anti-CD147 antibody [EPR18008-8] - BSA and Azide free

  • 617 Alexa Fluor® 594

    Alexa Fluor® 594 Anti-CD147 antibody [EPR18008-8]

  • 665 Alexa Fluor® 647

    Alexa Fluor® 647 Anti-CD147 antibody [EPR18008-8]

  • 578 PE

    PE Anti-CD147 antibody [EPR18008-8]

  • Carrier free

    Anti-CD147 antibody [EPR18008-8] - BSA and Azide free (Capture)

Key facts

Host species

Rabbit

Clonality

Monoclonal

Clone number

EPR18008-8

Isotype

IgG

Carrier free

No

Reacts with

Mouse

Applications

IHC-P, ICC/IF, WB, sELISA, IP, Flow Cyt

applications

Immunogen

The exact immunogen used to generate this antibody is proprietary information.

Reactivity data

{ "title": "Reactivity Data", "filters": { "stats": ["", "Species", "Dilution Info", "Notes"], "tabs": { "all-applications": {"fullname" : "All Applications", "shortname": "All Applications"}, "IP" : {"fullname" : "Immunoprecipitation", "shortname":"IP"}, "FlowCyt" : {"fullname" : "Flow Cytometry", "shortname":"Flow Cyt"}, "WB" : {"fullname" : "Western blot", "shortname":"WB"}, "sELISA" : {"fullname" : "Sandwich ELISA", "shortname":"sELISA"}, "ICCIF" : {"fullname" : "Immunocytochemistry/ Immunofluorescence", "shortname":"ICC/IF"}, "IHCP" : {"fullname" : "Immunohistochemistry (Formalin/PFA-fixed paraffin-embedded sections)", "shortname":"IHC-P"} }, "product-promise": { "all": "all", "testedAndGuaranteed": "tested", "guaranteed": "expected", "predicted": "predicted", "notRecommended": "not-recommended" } }, "values": { "Mouse": { "IP-species-checked": "testedAndGuaranteed", "IP-species-dilution-info": "1/50", "IP-species-notes": "<p></p>", "FlowCyt-species-checked": "testedAndGuaranteed", "FlowCyt-species-dilution-info": "1/200", "FlowCyt-species-notes": "<p><a href='/en-us/products/primary-antibodies/rabbit-igg-monoclonal-epr25a-isotype-control-ab172730'>ab172730</a> - Rabbit monoclonal IgG, is suitable for use an isotype control with this antibody.</p>", "WB-species-checked": "testedAndGuaranteed", "WB-species-dilution-info": "1/5000", "WB-species-notes": "<p></p>", "sELISA-species-checked": "guaranteed", "sELISA-species-dilution-info": "", "sELISA-species-notes": "", "ICCIF-species-checked": "testedAndGuaranteed", "ICCIF-species-dilution-info": "1/250", "ICCIF-species-notes": "<p></p>", "IHCP-species-checked": "testedAndGuaranteed", "IHCP-species-dilution-info": "1/8000", "IHCP-species-notes": "<p></p>" }, "Recombinant fragment - Mouse": { "IP-species-checked": "notRecommended", "IP-species-dilution-info": "", "IP-species-notes": "", "FlowCyt-species-checked": "notRecommended", "FlowCyt-species-dilution-info": "", "FlowCyt-species-notes": "", "WB-species-checked": "testedAndGuaranteed", "WB-species-dilution-info": "1/5000", "WB-species-notes": "<p></p>", "sELISA-species-checked": "testedAndGuaranteed", "sELISA-species-dilution-info": "", "sELISA-species-notes": "<p></p>", "ICCIF-species-checked": "notRecommended", "ICCIF-species-dilution-info": "", "ICCIF-species-notes": "", "IHCP-species-checked": "notRecommended", "IHCP-species-dilution-info": "", "IHCP-species-notes": "" } } }

Product details

Patented technology
Our RabMAb® technology is a patented hybridoma-based technology for making rabbit monoclonal antibodies. For details on our patents, please refer to RabMAb® patents.

What are the advantages of a recombinant monoclonal antibody?
This product is a recombinant monoclonal antibody, which offers several advantages including:

  • - High batch-to-batch consistency and reproducibility
  • - Improved sensitivity and specificity
  • - Long-term security of supply
  • - Animal-free batch production

For more information, read more on recombinant antibodies.

Properties and storage information

Form
Liquid
Purification technique
Affinity purification Protein A
Storage buffer
pH: 7.2 - 7.4 Preservative: 0.01% Sodium azide Constituents: PBS, 40% Glycerol (glycerin, glycerine), 0.05% BSA
Shipped at conditions
Blue Ice
Appropriate short-term storage duration
1-2 weeks
Appropriate short-term storage conditions
+4°C
Appropriate long-term storage conditions
-20°C
Aliquoting information
Upon delivery aliquot
Storage information
Avoid freeze / thaw cycle

Supplementary information

This supplementary information is collated from multiple sources and compiled automatically.

CD147 also referred to as EMMPRIN or basigin is a transmembrane glycoprotein with a molecular weight of roughly 50–60 kDa. This protein is found on the surface of many cell types including leukocytes platelets and endothelial cells and it plays a critical role in cell function related to immune responses and cellular interactions. CD147 interacts with several cellular components serving mechanical functions such as facilitating cell-to-cell communication and contributing to the stability of cell structures. The protein is ubiquitously expressed but exhibits higher levels in tissues like the brain skin and liver.
Biological function summary

CD147 engages in multiple roles beyond its mechanical functions. It functions as a part of protein complexes and is involved in processes such as regulation of matrix metalloproteinases (MMPs) which are pivotal in tissue remodeling and repair. It can modulate inflammatory responses and is essential for cellular signaling pathways that affect cellular metabolism and growth. The involvement of CD147 in immune responses indicates its importance in various physiological processes.

Pathways

CD147 plays a significant role in the MAPK and NF-kB signaling pathways which are fundamental for controlling inflammatory responses and cell survival. It interacts with proteins such as integrins and cyclophilins which are important for mediating these pathways. These interactions highlight CD147's impact on cellular dynamics and its potential role in modulating the cellular environment in response to external stimuli.

CD147 has been implicated in cancer promotion and progression as well as inflammatory diseases like rheumatoid arthritis. Its overexpression is often observed in tumors where it interacts with MMPs to facilitate tumor invasion and metastasis. In inflammatory conditions CD147 can influence the behavior of proteins like cytokines exacerbating symptoms and contributing to disease severity. These associations make CD147 a potential target for therapeutic intervention in cancer and inflammatory diseases.

Product protocols

For this product, it's our understanding that no specific protocols are required. You can visit:

Target data

Isoform 1. Essential for normal retinal maturation and development (PubMed : 10967074, PubMed : 11273674, PubMed : 11853760). Acts as a retinal cell surface receptor for NXNL1 and plays an important role in NXNL1-mediated survival of retinal cone photoreceptors (PubMed : 25957687). In association with glucose transporter SLC16A1/GLUT1 and NXNL1, promotes retinal cone survival by enhancing aerobic glycolysis and accelerating the entry of glucose into photoreceptors (PubMed : 25957687).. Isoform 2. Signaling receptor for cyclophilins, essential for PPIA/CYPA and PPIB/CYPB-dependent signaling related to chemotaxis and adhesion of immune cells (By similarity). Plays an important role in targeting the monocarboxylate transporters SLC16A1, SLC16A3 and SLC16A8 to the plasma membrane (PubMed : 12601063). Acts as a coreceptor for vascular endothelial growth factor receptor 2 (KDR/VEGFR2) in endothelial cells enhancing its VEGFA-mediated activation and downstream signaling (By similarity). Promotes angiogenesis through EPAS1/HIF2A-mediated up-regulation of VEGFA and KDR/VEGFR2 in endothelial cells (By similarity). Plays an important role in spermatogenesis; mediates interactions between germ cells and Sertoli cell and is essential for the development/differentiation of germ cells to round spermatids (PubMed : 11882021, PubMed : 23727514).. Plays a role in neurite outgrowth.
See full target information Bsg

Publications (13)

Recent publications for all applications. Explore the full list and refine your search

Respiratory research 25:6 PubMed38178133

2024

CD147 induces asthmatic airway remodeling and activation of circulating fibrocytes in a mouse model of asthma.

Applications

Unspecified application

Species

Unspecified reactive species

Zhao Li,Tao Cheng,Yaning Guo,Rong Gao,Xuankun Ma,Xuecong Mao,Xinpeng Han

Signal transduction and targeted therapy 7:382 PubMed36424379

2022

CD147 contributes to SARS-CoV-2-induced pulmonary fibrosis.

Applications

Unspecified application

Species

Unspecified reactive species

Jiao Wu,Liang Chen,Chuan Qin,Fei Huo,Xue Liang,Xu Yang,Kui Zhang,Peng Lin,Jiangning Liu,Zhuan Feng,Jiansheng Zhou,Zhuo Pei,Yatao Wang,Xiu-Xuan Sun,Ke Wang,Jiejie Geng,Zhaohui Zheng,Xianghui Fu,Man Liu,Qingyi Wang,Zheng Zhang,Huijie Bian,Ping Zhu,Zhi-Nan Chen

BMC biology 20:78 PubMed35351114

2022

The repertoire of testicular extracellular vesicle cargoes and their involvement in inter-compartmental communication associated with spermatogenesis.

Applications

Unspecified application

Species

Unspecified reactive species

Kathleen Hoi Kei Choy,Sze Yan Chan,William Lam,Jing Jin,Tingting Zheng,Tin Yu Samuel Law,Sidney Siubun Yu,Weiping Wang,Linxian Li,Gangcai Xie,Howard Chi Ho Yim,Hao Chen,Ellis Kin Lam Fok

Oxidative medicine and cellular longevity 2022:6603296 PubMed35096272

2022

The Role of CD147 in Pathological Cardiac Hypertrophy Is Regulated by Glycosylation.

Applications

Unspecified application

Species

Unspecified reactive species

Fang-Yuan Zhong,Yi-Chao Zhao,Chen-Xu Zhao,Zhi-Chun Gu,Xi-Yuan Lu,Wen-Long Jiang,Ling-Chen Gao,Wen-Li Li,Zi-Han Qin,Heng Ge,Jun Pu

BMC cancer 21:1059 PubMed34565336

2021

EMMPRIN expression is associated with metastatic progression in osteosarcoma.

Applications

Unspecified application

Species

Unspecified reactive species

Han-Soo Kim,Ha Jeong Kim,Mi Ra Lee,Ilkyu Han

Aging 13:16009-16023 PubMed34096887

2021

Calycosin inhibits breast cancer cell migration and invasion by suppressing EMT via BATF/TGF-β1.

Applications

Unspecified application

Species

Unspecified reactive species

Zhenxia Zhang,Min Lin,Junli Wang,Fenglian Yang,Peikui Yang,Yaqun Liu,Zikai Chen,Yuzhong Zheng

CNS neuroscience & therapeutics : PubMed33987940

2021

Endothelial genetic deletion of CD147 induces changes in the dual function of the blood-brain barrier and is implicated in Alzheimer's disease.

Applications

Unspecified application

Species

Unspecified reactive species

Hao Wang,Jian-Jun Lv,Yu Zhao,Hao-Lin Wei,Tian-Jiao Zhang,Hai-Jiao Yang,Zhi-Nan Chen,Jian-Li Jiang

International journal of molecular sciences 22: PubMed33923459

2021

Cerebral Apolipoprotein D Exits the Brain and Accumulates in Peripheral Tissues.

Applications

Unspecified application

Species

Unspecified reactive species

Frederik Desmarais,Vincent Hervé,Karl F Bergeron,Gaétan Ravaut,Morgane Perrotte,Guillaume Fyfe-Desmarais,Eric Rassart,Charles Ramassamy,Catherine Mounier

Cancer gene therapy 29:326-340 PubMed33654226

2021

FOXO3-induced lncRNA LOC554202 contributes to hepatocellular carcinoma progression via the miR-485-5p/BSG axis.

Applications

Unspecified application

Species

Unspecified reactive species

Lin Yang,Wan-Li Deng,Bao-Guo Zhao,Yao Xu,Xiao-Wen Wang,Yu Fang,Hai-Juan Xiao

Frontiers in cell and developmental biology 8:609090 PubMed33490072

2021

Blockade of Macrophage CD147 Protects Against Foam Cell Formation in Atherosclerosis.

Applications

Unspecified application

Species

Unspecified reactive species

Jian-Jun Lv,Hao Wang,Hong-Yong Cui,Ze-Kun Liu,Ren-Yu Zhang,Meng Lu,Can Li,Yu-Le Yong,Man Liu,Hai Zhang,Tian-Jiao Zhang,Kun Zhang,Gang Li,Gang Nan,Cong Zhang,Shuang-Ping Guo,Ling Wang,Zhi-Nan Chen,Huijie Bian
View all publications

Product promise

We are committed to supporting your work with high-quality reagents, and we're here for you every step of the way. In the unlikely event that one of our products does not perform as expected, you're protected by our Product Promise.
For full details, please see our Terms & Conditions

Please note: All products are 'FOR RESEARCH USE ONLY. NOT FOR USE IN DIAGNOSTIC OR THERAPEUTIC PROCEDURES'.

For licensing inquiries, please contact partnerships@abcam.com