JavaScript is disabled in your browser. Please enable JavaScript to view this website.
AB172729

Anti-CD15 antibody [EPR9521]

Be the first to review this product! Submit a review

|

(6 Publications)

Rabbit Recombinant Monoclonal CD15 antibody. Suitable for IHC-P and reacts with Human samples. Cited in 6 publications.
2 Images
Immunohistochemistry (Formalin/PFA-fixed paraffin-embedded sections) - Anti-CD15 antibody [EPR9521] (AB172729)
  • IHC-P

Supplier Data

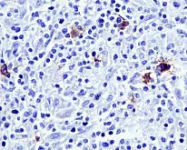
Immunohistochemistry (Formalin/PFA-fixed paraffin-embedded sections) - Anti-CD15 antibody [EPR9521] (AB172729)

Immunohistochemical analysis of paraffin-embedded human Hodgkin's lymphoma tissue labeling CD15 with ab172729 at a 1/50 dilution.

Perform heat mediated antigen retrieval with citrate buffer pH 6 before commencing with IHC staining protocol.

Immunohistochemistry (Formalin/PFA-fixed paraffin-embedded sections) - Anti-CD15 antibody [EPR9521] (AB172729)
  • IHC-P

Unknown

Immunohistochemistry (Formalin/PFA-fixed paraffin-embedded sections) - Anti-CD15 antibody [EPR9521] (AB172729)

Immunohistochemical analysis of paraffin-embedded human spleen tissue labeling CD15 with ab172729 at a 1/50 dilution.

Perform heat mediated antigen retrieval with citrate buffer pH 6 before commencing with IHC staining protocol.

Key facts

Host species

Rabbit

Clonality

Monoclonal

Clone number

EPR9521

Isotype

IgG

Carrier free

No

Reacts with

Human

Applications

IHC-P

applications

Immunogen

The exact immunogen used to generate this antibody is proprietary information.

Reactivity data

{ "title": "Reactivity Data", "filters": { "stats": ["", "Species", "Dilution Info", "Notes"], "tabs": { "all-applications": {"fullname" : "All Applications", "shortname": "All Applications"}, "IHCP" : {"fullname" : "Immunohistochemistry (Formalin/PFA-fixed paraffin-embedded sections)", "shortname":"IHC-P"} }, "product-promise": { "all": "all", "testedAndGuaranteed": "tested", "guaranteed": "expected", "predicted": "predicted", "notRecommended": "not-recommended" } }, "values": { "Human": { "IHCP-species-checked": "testedAndGuaranteed", "IHCP-species-dilution-info": "1/50 - 1/100", "IHCP-species-notes": "<p></p>" } } }

Product details

Patented technology
Our RabMAb® technology is a patented hybridoma-based technology for making rabbit monoclonal antibodies. For details on our patents, please refer to RabMAb® patents.

What are the advantages of a recombinant monoclonal antibody?
This product is a recombinant monoclonal antibody, which offers several advantages including:

  • - High batch-to-batch consistency and reproducibility
  • - Improved sensitivity and specificity
  • - Long-term security of supply
  • - Animal-free batch production

For more information, read more on recombinant antibodies.

Properties and storage information

Form
Liquid
Purification technique
Affinity purification Protein A
Storage buffer
pH: 7.2 - 7.4 Preservative: 0.01% Sodium azide Constituents: PBS, 50% Glycerol (glycerin, glycerine), 0.05% BSA
Shipped at conditions
Blue Ice
Appropriate short-term storage duration
1-2 weeks
Appropriate short-term storage conditions
+4°C
Appropriate long-term storage conditions
-20°C
Aliquoting information
Upon delivery aliquot
Storage information
Avoid freeze / thaw cycle

Supplementary information

This supplementary information is collated from multiple sources and compiled automatically.

CD15 also known as Lewis x or 3-fucosyl-N-acetyllactosamine is a carbohydrate antigen with a molecular mass typically not individually defined due to its nature as a glycan. CD15 is expressed on the surface of many human cells including neutrophils and various epithelial cells. It is commonly associated with granulocytes and is used as a cell surface marker. The presence of CD15 can be identified using CD15 antibodies through techniques such as CD15 flow cytometry and CD15 APC labeling.
Biological function summary

CD15 is important in cell-cell interaction mechanisms. It plays a role in mediating adhesion processes particularly in immune responses where it aids neutrophils in adhering to vascular endothelium and transmigrating to sites of infection or inflammation. As a glycoconjugate CD15 forms part of a larger glycoprotein complex on the cell surface interacting with other proteins to facilitate cellular responses and movement.

Pathways

CD15's function as an adhesion molecule ties into key cellular processes such as the selectin pathway. In this pathway it interacts with proteins like E-selectin and L-selectin contributing to leukocyte rolling and extravasation during the immune response. Additionally CD15 is implicated in the signaling pathways that mediate inflammatory responses where its role in neutrophil dynamics is important.

CD15 has notable implications in Hodgkin's lymphoma and certain myeloid leukemias. It is frequently used as a diagnostic marker in these conditions where its overexpression or abnormal expression patterns may signify disease presence or progression. CD15's interaction with other proteins such as CD30 in Hodgkin's lymphoma highlights its utility in understanding the pathological mechanisms and potential therapeutic targets of these disorders.

Product protocols

For this product, it's our understanding that no specific protocols are required. You can visit:

Publications (6)

Recent publications for all applications. Explore the full list and refine your search

Oncoimmunology 14:2497172 PubMed40271976

2025

Glutamate promotes CCL2 expression to recruit tumor-associated macrophages by restraining EZH2-mediated histone methylation in hepatocellular carcinoma.

Applications

Unspecified application

Species

Unspecified reactive species

Jing Chen,Hong-Wei Sun,Run-Zheng Wang,Yun-Fei Zhang,Wen-Jiao Li,Yong-Kui Wang,Hao Wang,Miao-Miao Jia,Qing-Xia Xu,Hao Zhuang,Ning Xue

Journal for immunotherapy of cancer 12: PubMed39209452

2024

Tumor microenvironment biomarkers predicting pathological response to neoadjuvant chemoimmunotherapy in locally advanced esophageal squamous cell carcinoma: post-hoc analysis of a single center, phase 2 study.

Applications

Unspecified application

Species

Unspecified reactive species

Tingting Feng,Qian Li,Rui Zhu,Chang Yu,Liwei Xu,Lisha Ying,Canming Wang,Weiming Xu,Jinchao Wang,Jing Zhu,Minran Huang,Chenyang Xu,Jiaoyue Jin,Xiaotian Zhang,Tingting Lu,Ying Yang,Changbin Zhu,Qixun Chen,Dan Su

Cancer 130:1499-1512 PubMed38422056

2024

Triple-negative breast cancer survival prediction using artificial intelligence through integrated analysis of tertiary lymphoid structures and tumor budding.

Applications

Unspecified application

Species

Unspecified reactive species

Xupeng Hou,Xueyang Li,Yunwei Han,Hua Xu,Yongjie Xie,Tianxing Zhou,Tongyuan Xue,Xiaolong Qian,Jiazhen Li,Hayson Chenyu Wang,Jingrui Yan,Xiaojing Guo,Ying Liu,Jing Liu

Frontiers in oncology 12:917743 PubMed36203421

2022

Clinical implications of immune checkpoint markers and immune infiltrates in patients with thymic neuroendocrine neoplasms.

Applications

Unspecified application

Species

Unspecified reactive species

Man Liu,Wanming Hu,Yixuan Zhang,Ning Zhang,Luohai Chen,Yuan Lin,Yu Wang,Yanji Luo,Yu Guo,Minhu Chen,Jie Chen

Journal for immunotherapy of cancer 8: PubMed33055204

2020

Infiltrating pattern and prognostic value of tertiary lymphoid structures in resected non-functional pancreatic neuroendocrine tumors.

Applications

Unspecified application

Species

Unspecified reactive species

Wu-Hu Zhang,Wen-Quan Wang,Xuan Han,He-Li Gao,Shuai-Shuai Xu,Shuo Li,Tian-Jiao Li,Hua-Xiang Xu,Hao Li,Long-Yun Ye,Xuan Lin,Chun-Tao Wu,Jiang Long,Xian-Jun Yu,Liang Liu

International journal of oncology 53:257-265 PubMed29749434

2018

miR‑145 inhibits human non‑small-cell lung cancer growth by dual-targeting RIOK2 and NOB1.

Applications

Unspecified application

Species

Unspecified reactive species

Kun Liu,Honglin Chen,Qingsheng You,Qing Ye,Fei Wang,Shuo Wang,Shuanglong Zhang,Kangjun Yu,Weinan Li,Mingming Gu
View all publications

Product promise

We are committed to supporting your work with high-quality reagents, and we're here for you every step of the way. In the unlikely event that one of our products does not perform as expected, you're protected by our Product Promise.
For full details, please see our Terms & Conditions

Please note: All products are 'FOR RESEARCH USE ONLY. NOT FOR USE IN DIAGNOSTIC OR THERAPEUTIC PROCEDURES'.

For licensing inquiries, please contact partnerships@abcam.com