JavaScript is disabled in your browser. Please enable JavaScript to view this website.
AB212396

Anti-CD15 antibody [FUT4/815] - BSA and Azide free

Be the first to review this product! Submit a review

|

(4 Publications)

Mouse Monoclonal CD15 antibody. Carrier free. Suitable for IHC-P and reacts with Human samples. Cited in 4 publications. Immunogen corresponding to Cell preparation containing CD15 protein.
1 Images
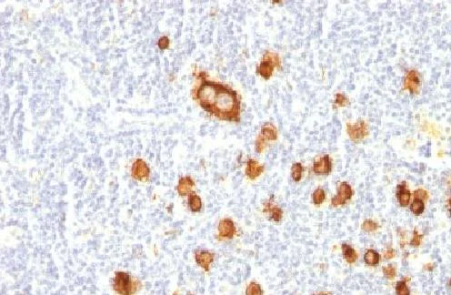
Immunohistochemistry (Formalin/PFA-fixed paraffin-embedded sections) - Anti-CD15 antibody [FUT4/815] - BSA and Azide free (AB212396)
  • IHC-P

Supplier Data

Immunohistochemistry (Formalin/PFA-fixed paraffin-embedded sections) - Anti-CD15 antibody [FUT4/815] - BSA and Azide free (AB212396)

Immunohistochemical analysis of formalin fixed paraffin-embedded section of human Hodgkin's lymphoma tissue labeling FUT4 with ab212396 at 1μg/mL.

Key facts

Host species

Mouse

Clonality

Monoclonal

Clone number

FUT4/815

Isotype

IgM

Light chain type

kappa

Carrier free

Yes

Reacts with

Human

Applications

IHC-P

applications

Immunogen

The exact immunogen used to generate this antibody is proprietary information.

Reactivity data

{ "title": "Reactivity Data", "filters": { "stats": ["", "Species", "Dilution Info", "Notes"], "tabs": { "all-applications": {"fullname" : "All Applications", "shortname": "All Applications"}, "IHCP" : {"fullname" : "Immunohistochemistry (Formalin/PFA-fixed paraffin-embedded sections)", "shortname":"IHC-P"} }, "product-promise": { "all": "all", "testedAndGuaranteed": "tested", "guaranteed": "expected", "predicted": "predicted", "notRecommended": "not-recommended" } }, "values": { "Human": { "IHCP-species-checked": "testedAndGuaranteed", "IHCP-species-dilution-info": "0.5-1 µg/mL", "IHCP-species-notes": "<p></p> Perform heat-mediated antigen retrieval with Tris/EDTA buffer pH 9.0 before commencing with IHC staining protocol." } } }

Properties and storage information

Form
Liquid
Purification technique
Affinity purification Protein A/G
Purification notes
Purified from bioreactor concentrate.
Storage buffer
pH: 7.2 - 7.4 Constituents: PBS
Shipped at conditions
Blue Ice
Appropriate short-term storage duration
1-2 weeks
Appropriate short-term storage conditions
+4°C
Appropriate long-term storage conditions
-20°C
Aliquoting information
Upon delivery aliquot
Storage information
Avoid freeze / thaw cycle

Supplementary information

This supplementary information is collated from multiple sources and compiled automatically.

CD15 also known as Lewis x or 3-fucosyl-N-acetyllactosamine is a carbohydrate antigen with a molecular mass typically not individually defined due to its nature as a glycan. CD15 is expressed on the surface of many human cells including neutrophils and various epithelial cells. It is commonly associated with granulocytes and is used as a cell surface marker. The presence of CD15 can be identified using CD15 antibodies through techniques such as CD15 flow cytometry and CD15 APC labeling.
Biological function summary

CD15 is important in cell-cell interaction mechanisms. It plays a role in mediating adhesion processes particularly in immune responses where it aids neutrophils in adhering to vascular endothelium and transmigrating to sites of infection or inflammation. As a glycoconjugate CD15 forms part of a larger glycoprotein complex on the cell surface interacting with other proteins to facilitate cellular responses and movement.

Pathways

CD15's function as an adhesion molecule ties into key cellular processes such as the selectin pathway. In this pathway it interacts with proteins like E-selectin and L-selectin contributing to leukocyte rolling and extravasation during the immune response. Additionally CD15 is implicated in the signaling pathways that mediate inflammatory responses where its role in neutrophil dynamics is important.

CD15 has notable implications in Hodgkin's lymphoma and certain myeloid leukemias. It is frequently used as a diagnostic marker in these conditions where its overexpression or abnormal expression patterns may signify disease presence or progression. CD15's interaction with other proteins such as CD30 in Hodgkin's lymphoma highlights its utility in understanding the pathological mechanisms and potential therapeutic targets of these disorders.

Product protocols

For this product, it's our understanding that no specific protocols are required. You can visit:

Publications (4)

Recent publications for all applications. Explore the full list and refine your search

Cancer medicine 12:3068-3078 PubMed36082777

2022

Peritumor tertiary lymphoid structures are associated with infiltrating neutrophils and inferior prognosis in hepatocellular carcinoma.

Applications

Unspecified application

Species

Unspecified reactive species

Tianchen Zhang,Xinjun Lei,Weili Jia,Jianhui Li,Ye Nie,Zhenzhen Mao,Yanfang Wang,Kaishan Tao,Wenjie Song

Journal of thoracic disease 13:5973-5985 PubMed34795945

2021

Autophagic tumor-associated macrophages promote the endothelial mesenchymal transition in lung adenocarcinomas through the FUT4/p-ezrin pathway.

Applications

Unspecified application

Species

Unspecified reactive species

Kangwu Wang,Xiao Chen

Cancer biology & therapy 21:937-945 PubMed32835587

2020

Tumor associated neutrophils promote the metastasis of pancreatic ductal adenocarcinoma.

Applications

Unspecified application

Species

Unspecified reactive species

Tao Lianyuan,Li Gang,Tao Ming,Xiu Dianrong,Yuan Chunhui,Ma Zhaolai,Jiang Bin

Immunology 154:144-155 PubMed29211299

2017

Endoplasmic reticulum stress induced LOX-1 CD15 polymorphonuclear myeloid-derived suppressor cells in hepatocellular carcinoma.

Applications

IHC-P

Species

Human

Jiang Nan,Yan-Fang Xing,Bo Hu,Jian-Xin Tang,Hui-Min Dong,Yu-Mei He,Dan-Yun Ruan,Qing-Jian Ye,Jia-Rong Cai,Xiao-Kun Ma,Jie Chen,Xiu-Rong Cai,Ze-Xiao Lin,Xiang-Yuan Wu,Xing Li
View all publications

Product promise

We are committed to supporting your work with high-quality reagents, and we're here for you every step of the way. In the unlikely event that one of our products does not perform as expected, you're protected by our Product Promise.
For full details, please see our Terms & Conditions

Please note: All products are 'FOR RESEARCH USE ONLY. NOT FOR USE IN DIAGNOSTIC OR THERAPEUTIC PROCEDURES'.

For licensing inquiries, please contact partnerships@abcam.com