JavaScript is disabled in your browser. Please enable JavaScript to view this website.
AB212391

Anti-CD15 antibody [Leu-M1] - BSA and Azide free

Be the first to review this product! Submit a review

|

(1 Publication)

Mouse Monoclonal CD15 antibody. Carrier free. Suitable for Flow Cyt, IHC-P and reacts with Human samples. Cited in 1 publication. Immunogen corresponding to Cell preparation containing CD15 protein.
2 Images
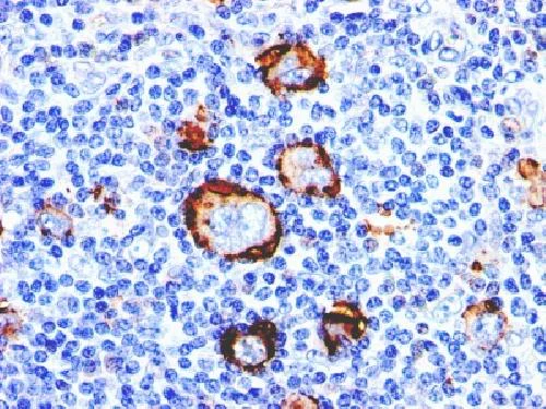
Immunohistochemistry (Formalin/PFA-fixed paraffin-embedded sections) - Anti-CD15 antibody [Leu-M1] - BSA and Azide free (AB212391)
  • IHC-P

Supplier Data

Immunohistochemistry (Formalin/PFA-fixed paraffin-embedded sections) - Anti-CD15 antibody [Leu-M1] - BSA and Azide free (AB212391)

Immunohistochemical analysis of formalin-fixed, paraffin-embedded human Hodgkin's lymphoma tissue section labeling FUT4 with ab212391 at 1μg/mL.

Flow Cytometry - Anti-CD15 antibody [Leu-M1] - BSA and Azide free (AB212391)
  • Flow Cyt

Supplier Data

Flow Cytometry - Anti-CD15 antibody [Leu-M1] - BSA and Azide free (AB212391)

Flow cytometric analysis of Human monocytes labeling FUT4 with ab212391.

Key facts

Host species

Mouse

Clonality

Monoclonal

Clone number

Leu-M1

Isotype

IgM

Light chain type

kappa

Carrier free

Yes

Reacts with

Human

Applications

IHC-P, Flow Cyt

applications

Immunogen

The exact immunogen used to generate this antibody is proprietary information.

Reactivity data

{ "title": "Reactivity Data", "filters": { "stats": ["", "Species", "Dilution Info", "Notes"], "tabs": { "all-applications": {"fullname" : "All Applications", "shortname": "All Applications"}, "FlowCyt" : {"fullname" : "Flow Cytometry", "shortname":"Flow Cyt"}, "IHCP" : {"fullname" : "Immunohistochemistry (Formalin/PFA-fixed paraffin-embedded sections)", "shortname":"IHC-P"} }, "product-promise": { "all": "all", "testedAndGuaranteed": "tested", "guaranteed": "expected", "predicted": "predicted", "notRecommended": "not-recommended" } }, "values": { "Human": { "FlowCyt-species-checked": "testedAndGuaranteed", "FlowCyt-species-dilution-info": "0.5-1 µg for 10^6 Cells", "FlowCyt-species-notes": "<p></p>", "IHCP-species-checked": "testedAndGuaranteed", "IHCP-species-dilution-info": "0.5-1 µg/mL", "IHCP-species-notes": "<p>for 30 minutes at room temperature.</p>" } } }

Properties and storage information

Form
Liquid
Purification notes
ab212391 is purified from Bioreactor Concentrate.
Storage buffer
pH: 7.2 - 7.4 Constituents: PBS
Shipped at conditions
Blue Ice
Appropriate short-term storage duration
1-2 weeks
Appropriate short-term storage conditions
+4°C
Appropriate long-term storage conditions
-20°C
Aliquoting information
Upon delivery aliquot
Storage information
Avoid freeze / thaw cycle

Supplementary information

This supplementary information is collated from multiple sources and compiled automatically.

CD15 also known as Lewis x or 3-fucosyl-N-acetyllactosamine is a carbohydrate antigen with a molecular mass typically not individually defined due to its nature as a glycan. CD15 is expressed on the surface of many human cells including neutrophils and various epithelial cells. It is commonly associated with granulocytes and is used as a cell surface marker. The presence of CD15 can be identified using CD15 antibodies through techniques such as CD15 flow cytometry and CD15 APC labeling.
Biological function summary

CD15 is important in cell-cell interaction mechanisms. It plays a role in mediating adhesion processes particularly in immune responses where it aids neutrophils in adhering to vascular endothelium and transmigrating to sites of infection or inflammation. As a glycoconjugate CD15 forms part of a larger glycoprotein complex on the cell surface interacting with other proteins to facilitate cellular responses and movement.

Pathways

CD15's function as an adhesion molecule ties into key cellular processes such as the selectin pathway. In this pathway it interacts with proteins like E-selectin and L-selectin contributing to leukocyte rolling and extravasation during the immune response. Additionally CD15 is implicated in the signaling pathways that mediate inflammatory responses where its role in neutrophil dynamics is important.

CD15 has notable implications in Hodgkin's lymphoma and certain myeloid leukemias. It is frequently used as a diagnostic marker in these conditions where its overexpression or abnormal expression patterns may signify disease presence or progression. CD15's interaction with other proteins such as CD30 in Hodgkin's lymphoma highlights its utility in understanding the pathological mechanisms and potential therapeutic targets of these disorders.

Product protocols

For this product, it's our understanding that no specific protocols are required. You can visit:

Publications (1)

Recent publications for all applications. Explore the full list and refine your search

iScience 26:107648 PubMed37670782

2023

Antibody attributes, Fc receptor expression, gestation and maternal SARS-CoV-2 infection modulate HSV IgG placental transfer.

Applications

Unspecified application

Species

Unspecified reactive species

Aakash Mahant Mahant,Fatima Estrada Trejo,Jennifer T Aguilan,Simone Sidoli,Sallie R Permar,Betsy C Herold
View all publications

Product promise

We are committed to supporting your work with high-quality reagents, and we're here for you every step of the way. In the unlikely event that one of our products does not perform as expected, you're protected by our Product Promise.
For full details, please see our Terms & Conditions

Please note: All products are 'FOR RESEARCH USE ONLY. NOT FOR USE IN DIAGNOSTIC OR THERAPEUTIC PROCEDURES'.

For licensing inquiries, please contact partnerships@abcam.com