JavaScript is disabled in your browser. Please enable JavaScript to view this website.
AB17080

Anti-CD15 antibody [MMA]

Be the first to review this product! Submit a review

|

(4 Publications)

Mouse Monoclonal CD15 antibody. Suitable for IHC-P, Flow Cyt, IHC-Fr and reacts with Human samples. Cited in 4 publications.
3 Images
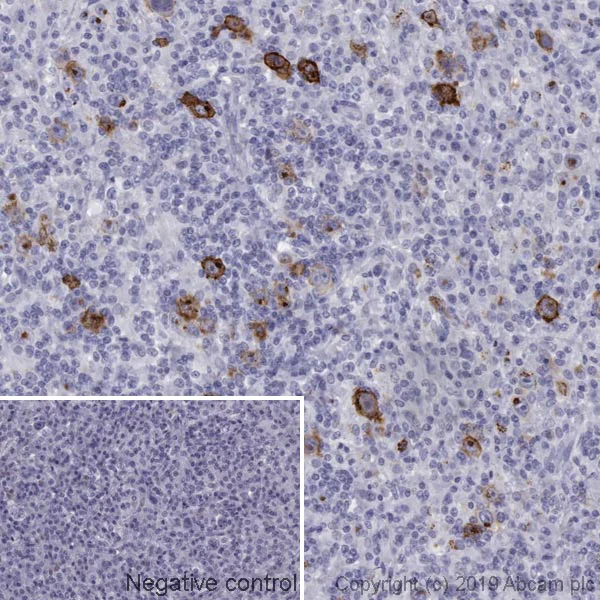
Immunohistochemistry (Formalin/PFA-fixed paraffin-embedded sections) - Anti-CD15 antibody [MMA] (AB17080)
  • IHC-P

Lab

Immunohistochemistry (Formalin/PFA-fixed paraffin-embedded sections) - Anti-CD15 antibody [MMA] (AB17080)

IHC image of CD15 staining in Human tonsil formalin fixed paraffin embedded tissue section*. The section was pre-treated using pressure cooker heat mediated antigen retrieval with sodium citrate buffer (pH6). The section was incubated with ab17080, 1μg/ml, for 15 mins at room temperature. A Goat polyclonal Secondary Antibody to Mouse IgM secondary antibody (ab97230) was used to detect the primary, and visualized using an HRP conjugated ABC system. The section was counterstained with haematoxylin and mounted with DPX.
*Tissue obtained from the Human Research Tissue Bank, supported by the NIHR Cambridge Biomedical Research Centre

Flow Cytometry - Anti-CD15 antibody [MMA] (AB17080)
  • Flow Cyt

Lab

Flow Cytometry - Anti-CD15 antibody [MMA] (AB17080)

Human whole blood stained with ab17080 (right) or mouse IgM isotype control ab91545 (left). Red blood cells of 200ul human whole blood were lysed, then cells were incubated for 30 min on ice in 1x PBS containing 10ug/ml human IgG and 10 % normal goat serum to block FC receptors and non-specific protein-protein interaction followed by the antibody (ab17080 ) or IgM isotype control (ab91545) (100ul at 1ug/ml) for 30 min on ice.

The secondary antibody Goat Anti-Mouse IgM mu chain (Alexa Fluor® 488) (ab150121) was used at 1/2000 dilution for 30 min at 4° C. Acquisition of >30,000 events were collected using a 50 mW Blue laser (488nm) and 530/30 bandpass filter. Events were collected with the forward and side light-scatter characteristics of viable cells.

Immunohistochemistry (Frozen sections) - Anti-CD15 antibody [MMA] (AB17080)
  • IHC-Fr

Lab

Immunohistochemistry (Frozen sections) - Anti-CD15 antibody [MMA] (AB17080)

IHC image of CD15 staining in a section of frozen normal human spleen*. The section was fixed using 10% formaldehyde in 1XPBS for 10 minutes. No antigen retrieval step was performed prior to staining. Non-specific protein-protein interactions were then blocked in TBS containing 0.025% (v/v) Triton X-100, 0.3M glycine and 1% (w/v) BSA for 1h at room temperature. The section was then incubated overnight at +4°C in TBS containing 0.025% (v/v) Triton X-100 and 1% (w/v) BSA with ab17080 at 1μg/ml. The section was then incubated with ab150117 (Goat Anti-Mouse IgG H&L (Alexa Fluor® 488), 1/1000)) (shown in green) for 1 hour at room temperature. DAPI was used to stain the cell nuclei (blue) at a concentration of 1.43μM. The secondary-only control insert image is taken from an identical assay without primary antibody. The section was then mounted using Fluoromount®. Image was taken with a confocal microscope (Leica-Microsystems, TCS SP8). For IHC staining systems (automated and non-automated), customers should optimize variable parameters such as antibody concentrations and incubation times. *Tissue obtained from the Human Research Tissue Bank, supported by the NIHR Cambridge Biomedical Research Centre.

Key facts

Host species

Mouse

Clonality

Monoclonal

Clone number

MMA

Isotype

IgM

Light chain type

kappa

Carrier free

No

Reacts with

Human

Applications

IHC-P, IHC-Fr, Flow Cyt

applications

Reactivity data

{ "title": "Reactivity Data", "filters": { "stats": ["", "Species", "Dilution Info", "Notes"], "tabs": { "all-applications": {"fullname" : "All Applications", "shortname": "All Applications"}, "IHCP" : {"fullname" : "Immunohistochemistry (Formalin/PFA-fixed paraffin-embedded sections)", "shortname":"IHC-P"}, "FlowCyt" : {"fullname" : "Flow Cytometry", "shortname":"Flow Cyt"}, "IHCFr" : {"fullname" : "Immunohistochemistry (Frozen sections)", "shortname":"IHC-Fr"} }, "product-promise": { "all": "all", "testedAndGuaranteed": "tested", "guaranteed": "expected", "predicted": "predicted", "notRecommended": "not-recommended" } }, "values": { "Human": { "IHCP-species-checked": "testedAndGuaranteed", "IHCP-species-dilution-info": "1 µg/mL", "IHCP-species-notes": "<p></p>", "FlowCyt-species-checked": "testedAndGuaranteed", "FlowCyt-species-dilution-info": "1 µg/mL", "FlowCyt-species-notes": "<p></p>", "IHCFr-species-checked": "testedAndGuaranteed", "IHCFr-species-dilution-info": "1 µg/mL", "IHCFr-species-notes": "<p></p>" } } }

Product details

Want a custom formulation?
This antibody clone is manufactured by Abcam. If you require a custom buffer formulation or conjugation for your experiments, please contact orders@abcam.com

Properties and storage information

Form
Liquid
Storage buffer
Preservative: 0.02% Sodium azide Constituents: PBS
Shipped at conditions
Blue Ice
Appropriate short-term storage duration
1-2 weeks
Appropriate short-term storage conditions
+4°C
Appropriate long-term storage conditions
-20°C
Aliquoting information
Upon delivery aliquot
Storage information
Avoid freeze / thaw cycle

Supplementary information

This supplementary information is collated from multiple sources and compiled automatically.

CD15 also known as Lewis x or 3-fucosyl-N-acetyllactosamine is a carbohydrate antigen with a molecular mass typically not individually defined due to its nature as a glycan. CD15 is expressed on the surface of many human cells including neutrophils and various epithelial cells. It is commonly associated with granulocytes and is used as a cell surface marker. The presence of CD15 can be identified using CD15 antibodies through techniques such as CD15 flow cytometry and CD15 APC labeling.
Biological function summary

CD15 is important in cell-cell interaction mechanisms. It plays a role in mediating adhesion processes particularly in immune responses where it aids neutrophils in adhering to vascular endothelium and transmigrating to sites of infection or inflammation. As a glycoconjugate CD15 forms part of a larger glycoprotein complex on the cell surface interacting with other proteins to facilitate cellular responses and movement.

Pathways

CD15's function as an adhesion molecule ties into key cellular processes such as the selectin pathway. In this pathway it interacts with proteins like E-selectin and L-selectin contributing to leukocyte rolling and extravasation during the immune response. Additionally CD15 is implicated in the signaling pathways that mediate inflammatory responses where its role in neutrophil dynamics is important.

CD15 has notable implications in Hodgkin's lymphoma and certain myeloid leukemias. It is frequently used as a diagnostic marker in these conditions where its overexpression or abnormal expression patterns may signify disease presence or progression. CD15's interaction with other proteins such as CD30 in Hodgkin's lymphoma highlights its utility in understanding the pathological mechanisms and potential therapeutic targets of these disorders.

Product protocols

For this product, it's our understanding that no specific protocols are required. You can visit:

Publications (4)

Recent publications for all applications. Explore the full list and refine your search

Cancer immunology, immunotherapy : CII 74:43 PubMed39751915

2025

Transferrin receptor uptakes iron from tumor-associated neutrophils to regulate invasion patterns of OSCC.

Applications

Unspecified application

Species

Unspecified reactive species

Qian Si,Yuhan Wang,Wanqiu Lu,Zijian Liu,Yuxian Song,Sheng Chen,Shu Xia,Huiling Li,Pei Weng,Yue Jing,Qiuya Yu,Feng Zhu,Xiaoxin Zhang,Xiaofeng Huang,Yanhong Ni

Molecular and cellular biochemistry 478:2779-2787 PubMed36920577

2023

Individuals with type 2 diabetes have higher density of small intestinal neurotensin-expressing cells.

Applications

Unspecified application

Species

Unspecified reactive species

Filipa P Ferreira,Sofia S Pereira,Madalena M Costa,Marta Guimarães,Nicolai J Wewer Albrechtsen,Jens J Holst,Mário Nora,Mariana P Monteiro

Cell reports. Medicine 4:100900 PubMed36652909

2023

Immunogenomic analysis of human brain metastases reveals diverse immune landscapes across genetically distinct tumors.

Applications

Unspecified application

Species

Unspecified reactive species

Ángel F Álvarez-Prado,Roeltje R Maas,Klara Soukup,Florian Klemm,Mara Kornete,Fanny S Krebs,Vincent Zoete,Sabina Berezowska,Jean-Philippe Brouland,Andreas F Hottinger,Roy T Daniel,Monika E Hegi,Johanna A Joyce

Oncology reports 43:251-259 PubMed31746403

2019

Gastric cancer cells alter the immunosuppressive function of neutrophils.

Applications

Unspecified application

Species

Unspecified reactive species

Soichiro Hiramatsu,Hiroaki Tanaka,Junya Nishimura,Yoshihito Yamakoshi,Chie Sakimura,Tatsuro Tamura,Takahiro Toyokawa,Kazuya Muguruma,Masakazu Yashiro,Kosei Hirakawa,Masaichi Ohira
View all publications

Product promise

We are committed to supporting your work with high-quality reagents, and we're here for you every step of the way. In the unlikely event that one of our products does not perform as expected, you're protected by our Product Promise.
For full details, please see our Terms & Conditions

Please note: All products are 'FOR RESEARCH USE ONLY. NOT FOR USE IN DIAGNOSTIC OR THERAPEUTIC PROCEDURES'.

For licensing inquiries, please contact partnerships@abcam.com