JavaScript is disabled in your browser. Please enable JavaScript to view this website.
AB135377

Anti-CD15 antibody [SP159]

  • BOND RX™ Validated
  • Advanced Validation
  • RabMAb
  • Recombinant
  • What is this?

5

(1 Review)

|

(12 Publications)

Anti-CD15 antibody [SP159] (ab135377) is a rabbit monoclonal antibody detecting CD15 in Flow Cytometry, IHC-P, mIHC. Suitable for Human.

- Multiplex IHC validated on the Leica BOND® MAX using Opal reagents
- Biophysical QC for unrivalled batch-batch consistency
9 Images
Immunohistochemistry (Formalin/PFA-fixed paraffin-embedded sections) - Anti-CD15 antibody [SP159] (AB135377)
  • IHC-P

Unknown

Immunohistochemistry (Formalin/PFA-fixed paraffin-embedded sections) - Anti-CD15 antibody [SP159] (AB135377)

Immunohistochemistry (Formalin/PFA-fixed paraffin-embedded sections) analysis of Human spleen tissue sections labeling CD15 with ab135377 at 1/50 dilution (3.14 μg/ml). Heat mediated antigen retrieval with Bond™ Epitope Retrieval Solution 2 (pH 9.0) for 10mins. Goat Anti-Rabbit & Mouse IgG (HRP) was used as the secondary antibody. Hematoxylin was used as a counterstain. Positive staining on the human spleen, performed on a Leica Biosystems BOND™ RX instrument.
The section was incubated with ab135377 for 30 mins at room temperature.

Immunohistochemistry (Formalin/PFA-fixed paraffin-embedded sections) - Anti-CD15 antibody [SP159] (AB135377)
  • IHC-P

Unknown

Immunohistochemistry (Formalin/PFA-fixed paraffin-embedded sections) - Anti-CD15 antibody [SP159] (AB135377)

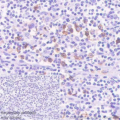
Immunohistochemistry (Formalin/PFA-fixed paraffin-embedded sections) analysis of Human Hodgkin's lymphoma tissue sections labeling CD15 with ab135377 at 1/50 dilution (3.14 μg/ml). Heat mediated antigen retrieval with Bond™ Epitope Retrieval Solution 2 (pH 9.0) for 10mins. Goat Anti-Rabbit & Mouse IgG (HRP) was used as the secondary antibody. Hematoxylin was used as a counterstain. Positive staining on the human Hodgkin's lymphoma, performed on a Leica Biosystems BOND™ RX instrument.
The section was incubated with ab135377 for 30 mins at room temperature.

Immunohistochemistry (Formalin/PFA-fixed paraffin-embedded sections) - Anti-CD15 antibody [SP159] (AB135377)
  • IHC-P

Unknown

Immunohistochemistry (Formalin/PFA-fixed paraffin-embedded sections) - Anti-CD15 antibody [SP159] (AB135377)

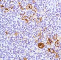
Immunohistochemical analysis of formalin-fixed, paraffin-embedded Human Hodgkin's Lymphoma tissue labelling CD15 with ab135377 at 1/100 dilution.

Flow Cytometry - Anti-CD15 antibody [SP159] (AB135377)
  • Flow Cyt

Unknown

Flow Cytometry - Anti-CD15 antibody [SP159] (AB135377)

Flow cytometry analysis of THP-1 (human acute monocytic leukemia) labeling CD15 with purified ab135377 at 1/20 dilution (7.85 μg/ml) (red). Goat anti rabbit IgG (Alexa Fluor® 488, ab150081) at 1/2000 dilution was used as a secondary antibody. Isotype control - Rabbit monoclonal IgG (ab172730) (Black). Unlableled control - Unlabelled cells (blue).

Flow Cytometry - Anti-CD15 antibody [SP159] (AB135377)
  • Flow Cyt

Supplier Data

Flow Cytometry - Anti-CD15 antibody [SP159] (AB135377)

Flow cytometric analysis of rabbit anti-CD15 (SP159) antibody ab135377 (1/200) in HL-60 cells(green) compared to negative control of rabbit IgG (blue).

Immunohistochemistry (Formalin/PFA-fixed paraffin-embedded sections) - Anti-CD15 antibody [SP159] (AB135377)
  • IHC-P

Unknown

Immunohistochemistry (Formalin/PFA-fixed paraffin-embedded sections) - Anti-CD15 antibody [SP159] (AB135377)

Immunohistochemistry (Formalin/PFA-fixed paraffin-embedded sections) analysis of Human cervix carcinoma tissue sections labeling CD15 with ab135377 at 1/50 dilution (3.14 μg/ml). Heat mediated antigen retrieval with Bond™ Epitope Retrieval Solution 2 (pH 9.0) for 10mins. Goat Anti-Rabbit & Mouse IgG (HRP) was used as the secondary antibody. Hematoxylin was used as a counterstain. Positive staining on the human cervix carcinoma, performed on a Leica Biosystems BOND™ RX instrument.
The section was incubated with ab135377 for 30 mins at room temperature.

Multiplex immunohistochemistry - Anti-CD15 antibody [SP159] (AB135377)
  • mIHC

Lab

Multiplex immunohistochemistry - Anti-CD15 antibody [SP159] (AB135377)

Multiplex immunohistochemistry analysis of formalin/PFA-fixed paraffin-embedded human spleen tissue staining CD15 with ab135377 at a 1/50 dilution and ab272713 anti-S100A12/CGRP used at 1/5000 dilution. Opal Polymer HRP Ms + Rb was used as a secondary, and DAPI was used for a nuclear counter stain. Heat mediated antigen retrieval with Tris-EDTA buffer (pH 9.0, epitope retrieval solution2) for 20 mins.

Panel A : merged staining of anti-CD15 (green; Opal520), anti-S100A12/CGRP (magenta; Opal690) on human spleen.
Panel B : anti-CD15 stained granulocytes and monocytes on human spleen.
Panel C : anti-S100A12/CGRP stained neutrophils and monocytes on human spleen.
Panel D : Nuclear DNA was labeled with DAPI (shown in blue).

The section was incubated in three rounds of staining : in the order of ab135377 and ab272713 for 30 mins at room temperature. Each round was followed by a separate fluorescent tyramide signal amplification system.

The immunostaining was performed on a Leica Biosystems BOND® RX instrument with an Opal 4-color kit. Image acquisition was performed with Leica SP8 confocal microscope.

Multiplex immunohistochemistry - Anti-CD15 antibody [SP159] (AB135377)
  • mIHC

Lab

Multiplex immunohistochemistry - Anti-CD15 antibody [SP159] (AB135377)

Multiplex immunohistochemistry analysis of formalin/PFA-fixed paraffin-embedded human Hodgkin's lymphoma tissue staining CD15 with ab135377 at a 1/50 dilution and ab272713 anti-S100A12/CGRP used at 1/5000 dilution. Opal Polymer HRP Ms + Rb was used as a secondary, and DAPI was used for a nuclear counter stain. Heat mediated antigen retrieval with Tris-EDTA buffer (pH 9.0, epitope retrieval solution2) for 20 mins.

Panel A : merged staining of anti-CD15 (green; Opal520) and anti-S100A12/CGRP (magenta; Opal690) on human Hodgkin's lymphoma.
Panel B : anti-CD15 stained granulocytes and monocytes on human Hodgkin's lymphoma.
Panel C : anti-S100A12/CGRP stained neutrophils and monocytes on human Hodgkin's lymphoma.
Panel D : Nuclear DNA was labeled with DAPI (shown in blue).

The section was incubated in three rounds of staining : in the order of ab135377 and ab272713 for 30 mins at room temperature. Each round was followed by a separate fluorescent tyramide signal amplification system.

The immunostaining was performed on a Leica Biosystems BOND® RX instrument with an Opal 4-color kit. Image acquisition was performed with Leica SP8 confocal microscope.

Flow Cytometry - Anti-CD15 antibody [SP159] (AB135377)
  • Flow Cyt

Lab

Flow Cytometry - Anti-CD15 antibody [SP159] (AB135377)

Flow cytometric analysis of human neutrophils cells labelling CD15 with ab135377 at 1/2000 compared with a Rabbit monoclonal IgG (ab172730) / Left isotype control and an unlabelled control (cells without incubation with primary antibody and secondary antibody).

Goat Anti-Rabbit IgG (Alexa Fluor® 488 (ab150081) at 1/5000 was used as the secondary antibody.

Gated on viable cells.

Key facts

Host species

Rabbit

Clonality

Monoclonal

Clone number

SP159

Isotype

IgG

Carrier free

No

Reacts with

Human

Applications

Flow Cyt, IHC-P, mIHC

applications

Immunogen

The exact immunogen used to generate this antibody is proprietary information.

Reactivity data

{ "title": "Reactivity Data", "filters": { "stats": ["", "Species", "Dilution Info", "Notes"], "tabs": { "all-applications": {"fullname" : "All Applications", "shortname": "All Applications"}, "IHCP" : {"fullname" : "Immunohistochemistry (Formalin/PFA-fixed paraffin-embedded sections)", "shortname":"IHC-P"}, "FlowCyt" : {"fullname" : "Flow Cytometry", "shortname":"Flow Cyt"}, "mIHC" : {"fullname" : "Multiplex immunohistochemistry", "shortname":"mIHC"} }, "product-promise": { "all": "all", "testedAndGuaranteed": "tested", "guaranteed": "expected", "predicted": "predicted", "notRecommended": "not-recommended" } }, "values": { "Human": { "IHCP-species-checked": "testedAndGuaranteed", "IHCP-species-dilution-info": "1/50", "IHCP-species-notes": "<p>Perform heat mediated antigen retrieval by boiling tissue section in 1mM EDTA buffer, pH 8.0 for 10 min followed by cooling at room temperature for 20 min. Incubate with primary antibody for 10 minutes at room temperature.</p>", "FlowCyt-species-checked": "testedAndGuaranteed", "FlowCyt-species-dilution-info": "1/50 - 1/2000", "FlowCyt-species-notes": "<p></p>", "mIHC-species-checked": "testedAndGuaranteed", "mIHC-species-dilution-info": "1/50 - 1/2000", "mIHC-species-notes": "<p></p> Perform heat-mediated antigen retrieval with Tris/EDTA buffer pH 9.0 before commencing with IHC staining protocol." }, "Mouse": { "IHCP-species-checked": "notRecommended", "IHCP-species-dilution-info": "", "IHCP-species-notes": "", "FlowCyt-species-checked": "notRecommended", "FlowCyt-species-dilution-info": "1/50 - 1/2000", "FlowCyt-species-notes": "<p></p>", "mIHC-species-checked": "notRecommended", "mIHC-species-dilution-info": "", "mIHC-species-notes": "<p></p>" } } }

Product details

What is this antibody validated in?
Anti-CD15 antibody [SP159] (ab135377) is a rabbit recombinant monoclonal antibody and is validated for use in Flow Cytometry (Flow Cyt), Immunohistochemistry (IHC-P), Multiplex IHC (mIHC) in Human samples.

Collaboration
Anti-CD15 [SP159] (ab135377) is a clone from the portfolio of Spring Bioscience (Roche) SP clones which have been optimised for immunohistochemistry (IHC).

Other related products
We have a range of other formats of antibody clone [SP159] also available for your convenience: ab135377, Carrier free - ab240092, ab279458, Alexa Fluor® 488 - ab281581, Alexa Fluor® 555 - ab281744, Alexa Fluor® 647 - ab281929

What are the advantages of a recombinant monoclonal antibody?
This product is a recombinant monoclonal antibody, which offers several advantages including:

  • - High batch-to-batch consistency and reproducibility
  • - Improved sensitivity and specificity
  • - Long-term security of supply
  • - Animal-free batch production

For more information, read more on recombinant antibodies.

Properties and storage information

Form
Liquid
Purification technique
Affinity purification Protein A
Purification notes
Purified from TCS by protein A/G.
Storage buffer
pH: 7.2 - 7.4 Preservative: 0.1% Sodium azide Constituents: PBS, 1% BSA
Shipped at conditions
Blue Ice
Appropriate short-term storage conditions
+4°C
Appropriate long-term storage conditions
+4°C
Storage information
Do Not Freeze

Supplementary information

This supplementary information is collated from multiple sources and compiled automatically.

CD15 also known as Lewis x or 3-fucosyl-N-acetyllactosamine is a carbohydrate antigen with a molecular mass typically not individually defined due to its nature as a glycan. CD15 is expressed on the surface of many human cells including neutrophils and various epithelial cells. It is commonly associated with granulocytes and is used as a cell surface marker. The presence of CD15 can be identified using CD15 antibodies through techniques such as CD15 flow cytometry and CD15 APC labeling.
Biological function summary

CD15 is important in cell-cell interaction mechanisms. It plays a role in mediating adhesion processes particularly in immune responses where it aids neutrophils in adhering to vascular endothelium and transmigrating to sites of infection or inflammation. As a glycoconjugate CD15 forms part of a larger glycoprotein complex on the cell surface interacting with other proteins to facilitate cellular responses and movement.

Pathways

CD15's function as an adhesion molecule ties into key cellular processes such as the selectin pathway. In this pathway it interacts with proteins like E-selectin and L-selectin contributing to leukocyte rolling and extravasation during the immune response. Additionally CD15 is implicated in the signaling pathways that mediate inflammatory responses where its role in neutrophil dynamics is important.

CD15 has notable implications in Hodgkin's lymphoma and certain myeloid leukemias. It is frequently used as a diagnostic marker in these conditions where its overexpression or abnormal expression patterns may signify disease presence or progression. CD15's interaction with other proteins such as CD30 in Hodgkin's lymphoma highlights its utility in understanding the pathological mechanisms and potential therapeutic targets of these disorders.

Product protocols

For this product, it's our understanding that no specific protocols are required. You can visit:

Publications (12)

Recent publications for all applications. Explore the full list and refine your search

Communications biology 8:359 PubMed40044768

2025

New mouse models for exploring renal tumor extension into the inferior vena cava.

Applications

Unspecified application

Species

Unspecified reactive species

Xiubin Li,Huaikang Li,Xupeng Zhao,Jichen Wang,Di Li,Qiuyang Li,Qingjiang Xu,Shengpan Wu,Qiyang Liang,Shangwei Li,Qilong Jiao,Kan Liu,Songliang Du,Cheng Peng,Baojun Wang,Liangyou Gu,Xu Zhang,Qingbo Huang,Xin Ma

Cell & bioscience 15:24 PubMed39972392

2025

KAT8 catalyzes the acetylation of SEPP1 at lysine 247/249 and modulates the activity of CD8 T cells via LRP8 to promote anti-tumor immunity in pancreatic cancer.

Applications

Unspecified application

Species

Unspecified reactive species

Zhongfei Zhu,Gang Nie,Xiaobo Peng,Xianbao Zhan,Dan Ding

Cancer immunology, immunotherapy : CII 74:43 PubMed39751915

2025

Transferrin receptor uptakes iron from tumor-associated neutrophils to regulate invasion patterns of OSCC.

Applications

Unspecified application

Species

Unspecified reactive species

Qian Si,Yuhan Wang,Wanqiu Lu,Zijian Liu,Yuxian Song,Sheng Chen,Shu Xia,Huiling Li,Pei Weng,Yue Jing,Qiuya Yu,Feng Zhu,Xiaoxin Zhang,Xiaofeng Huang,Yanhong Ni

Translational oncology 52:102224 PubMed39700646

2024

Evaluation of S100A8/A9 and neutrophils as prognostic markers in metastatic melanoma patients under immune-checkpoint inhibition.

Applications

Unspecified application

Species

Unspecified reactive species

Yasmin F Melzer,Nadine L Fergen,Christian Mess,Julia-Christina Stadler,Glenn Geidel,Ysabel A Schwietzer,Julian Kött,Klaus Pantel,Stefan W Schneider,Jochen Utikal,Ewa Wladykowski,Sabine Vidal-Y-Sy,Alexander T Bauer,Christoffer Gebhardt

Cell reports. Medicine 5:101415 PubMed38382467

2024

Disruption of MerTK increases the efficacy of checkpoint inhibitor by enhancing ferroptosis and immune response in hepatocellular carcinoma.

Applications

Unspecified application

Species

Unspecified reactive species

Shun Wang,Le Zhu,Tianen Li,Xinxin Lin,Yan Zheng,Da Xu,Yu Guo,Ze Zhang,Yan Fu,Hao Wang,Xufeng Wang,Tiantian Zou,Xiaotian Shen,Lumin Zhang,Nannan Lai,Lu Lu,Lunxiu Qin,Qiongzhu Dong

American journal of physiology. Heart and circulatory physiology 323:H1262-H1269 PubMed36367689

2022

SARS-CoV-2 infection downregulates myocardial ACE2 and potentiates cardiac inflammation in humans and hamsters.

Applications

Unspecified application

Species

Unspecified reactive species

Anissa Viveiros,Ryan S Noyce,Mahmoud Gheblawi,Daniele Colombo,Leanne M Bilawchuk,Xavier Clemente-Casares,David J Marchant,Zamaneh Kassiri,Franca Del Nonno,David H Evans,Gavin Y Oudit

Aging 14:7126-7136 PubMed36098743

2022

Zbtb34 promotes embryonic stem cell proliferation by elongating telomere length.

Applications

Unspecified application

Species

Unspecified reactive species

Zheng Liu,Xinran Wei,Yue Gao,Xiaodie Gao,Xia Li,Yujuan Zhong,Xiujuan Wang,Chong Liu,Tianle Shi,Jiabin Lv,Tao Liu

Nature communications 13:4583 PubMed35933512

2022

Neutrophils restrain sepsis associated coagulopathy via extracellular vesicles carrying superoxide dismutase 2 in a murine model of lipopolysaccharide induced sepsis.

Applications

Unspecified application

Species

Unspecified reactive species

Wenjie Bao,Huayue Xing,Shiwei Cao,Xin Long,Haifeng Liu,Junwei Ma,Fan Guo,Zimu Deng,Xiaolong Liu

Frontiers in immunology 12:577517 PubMed34084158

2021

Neutrophil Extracellular Traps and Macrophage Extracellular Traps Predict Postoperative Recurrence in Resectable Nonfunctional Pancreatic Neuroendocrine Tumors.

Applications

Unspecified application

Species

Unspecified reactive species

Shuai-Shuai Xu,Hao Li,Tian-Jiao Li,Shuo Li,Huan-Yu Xia,Jiang Long,Chun-Tao Wu,Wen-Quan Wang,Wu-Hu Zhang,He-Li Gao,Xuan Han,Long-Yun Ye,Xuan Lin,Hua-Xiang Xu,Xian-Jun Yu,Liang Liu

Acta neuropathologica 138:1033-1052 PubMed31463571

2019

The dystroglycan receptor maintains glioma stem cells in the vascular niche.

Applications

Unspecified application

Species

Unspecified reactive species

Bryan W Day,Justin D Lathia,Zara C Bruce,Rochelle C J D'Souza,Ulrich Baumgartner,Kathleen S Ensbey,Yi Chieh Lim,Brett W Stringer,Seçkin Akgül,Carolin Offenhäuser,Yuchen Li,Paul R Jamieson,Fiona M Smith,Courtney L R Jurd,Thomas Robertson,Po-Ling Inglis,Zarnie Lwin,Rosalind L Jeffree,Terrance G Johns,Krishna P L Bhat,Jeremy N Rich,Kevin P Campbell,Andrew W Boyd
View all publications

Product promise

We are committed to supporting your work with high-quality reagents, and we're here for you every step of the way. In the unlikely event that one of our products does not perform as expected, you're protected by our Product Promise.
For full details, please see our Terms & Conditions

Please note: All products are 'FOR RESEARCH USE ONLY. NOT FOR USE IN DIAGNOSTIC OR THERAPEUTIC PROCEDURES'.

For licensing inquiries, please contact partnerships@abcam.com