JavaScript is disabled in your browser. Please enable JavaScript to view this website.
AB309513

Anti-CD151 antibody [EPR27423-31] - BSA and Azide free

Be the first to review this product! Submit a review

|

(0 Publication)

Rabbit Recombinant Monoclonal CD151 antibody. Carrier free. Suitable for WB, IHC-P, ICC/IF and reacts with Human, Mouse, Rat samples.

View Alternative Names

CD151, TSPAN24, CD151 antigen, GP27, Membrane glycoprotein SFA-1, Platelet-endothelial tetraspan antigen 3, Tetraspanin-24, PETA-3, Tspan-24

10 Images
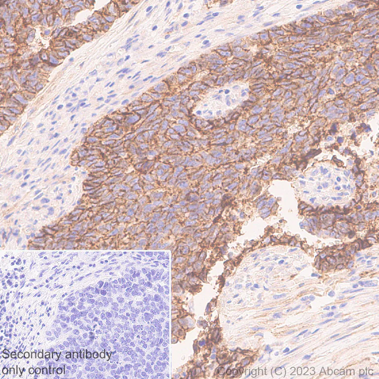
Immunohistochemistry (Formalin/PFA-fixed paraffin-embedded sections) - Anti-CD151 antibody [EPR27423-31] - BSA and Azide free (AB309513)
  • IHC-P

Supplier Data

Immunohistochemistry (Formalin/PFA-fixed paraffin-embedded sections) - Anti-CD151 antibody [EPR27423-31] - BSA and Azide free (AB309513)

This data was developed using ab309512, the same antibody clone in a different buffer formulation. Immunohistochemical analysis of paraffin-embedded Human ovarian cancer tissue labeling CD151 with ab309512 at 1/2000 (0.244 ug/ml) followed by a ready to use LeicaDS9800 (Bond™ Polymer Refine Detection). Membranous staining on human ovarian cancer. The section was incubated with ab309512 for 30 mins at room temperature.The immunostaining was performed on a Leica Biosystems BOND® RX instrument. Incubate slides with 3% Hydrogen Peroxide for 10 mins at room temperature after secondary antibody incubation to reduce the background. Counterstained with Hematoxylin. Secondary antibody only control : Secondary antibody is a ready to use LeicaDS9800 (Bond™ Polymer Refine Detection). Heat mediated antigen retrieval was performed with Tris-EDTA buffer (pH 9.0, Epitope Retrieval Solution2) for 20 mins

Immunohistochemistry (Formalin/PFA-fixed paraffin-embedded sections) - Anti-CD151 antibody [EPR27423-31] - BSA and Azide free (AB309513)
  • IHC-P

Supplier Data

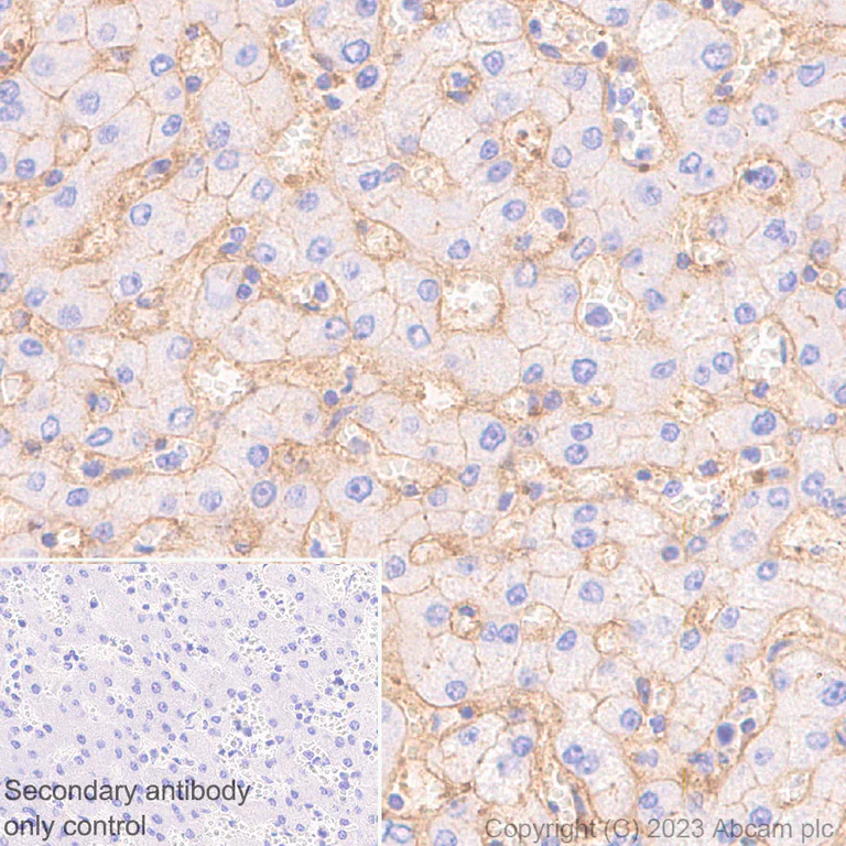
Immunohistochemistry (Formalin/PFA-fixed paraffin-embedded sections) - Anti-CD151 antibody [EPR27423-31] - BSA and Azide free (AB309513)

This data was developed using ab309512, the same antibody clone in a different buffer formulation. Immunohistochemical analysis of paraffin-embedded Human liver tissue labeling CD151 with ab309512 at 1/2000 (0.244 ug/ml) followed by a ready to use LeicaDS9800 (Bond™ Polymer Refine Detection). Membranous staining on endothelium in human liver (PMID : 28473332). The section was incubated with ab309512 for 30 mins at room temperature.The immunostaining was performed on a Leica Biosystems BOND® RX instrument. Incubate slides with 3% Hydrogen Peroxide for 10 mins at room temperature after secondary antibody incubation to reduce the background. Counterstained with Hematoxylin. Secondary antibody only control : Secondary antibody is a ready to use LeicaDS9800 (Bond™ Polymer Refine Detection). Heat mediated antigen retrieval was performed with Tris-EDTA buffer (pH 9.0, Epitope Retrieval Solution2) for 20 mins

Immunocytochemistry/ Immunofluorescence - Anti-CD151 antibody [EPR27423-31] - BSA and Azide free (AB309513)
  • ICC/IF

Supplier Data

Immunocytochemistry/ Immunofluorescence - Anti-CD151 antibody [EPR27423-31] - BSA and Azide free (AB309513)

This data was developed using ab309512, the same antibody clone in a different buffer formulation. Immunofluorescent analysis of 100% methanol-fixed, 0.1% TritonX-100 permeabilized HepG2 (human hepatocellular carcinoma epithelial cell) cells labelling CD151 with ab309512 at 1/50 (9.78 ug/ml) dilution, followed by ab150081 Goat Anti-Rabbit IgG H&L (Alexa Fluor® 488) preadsorbed antibody at 1/1000 2ug/ml dilution (Green). Confocal image showing membranous staining in HepG2 cell line, and no staining in Daudi cell line.Low expression : Daudi (PMID : 12705892).Image was taken with a confocal microscope(Leica-Microsystems, TCS SP8). is observed. ab195889 Anti-alpha Tubulin mouse monoclonal antibody - Microtubule Marker (Alexa Fluor® 594) was used to counterstain tubulin at 1/200 2.5ug/ml dilution (Red). The Nuclear counterstain was DAPI (Blue). Secondary antibody only control : Secondary antibody is ab150081 Goat Anti-Rabbit IgG H&L (Alexa Fluor® 488) preadsorbed at 1/1000 2ug/ml dilution.

Immunocytochemistry/ Immunofluorescence - Anti-CD151 antibody [EPR27423-31] - BSA and Azide free (AB309513)
  • ICC/IF

Supplier Data

Immunocytochemistry/ Immunofluorescence - Anti-CD151 antibody [EPR27423-31] - BSA and Azide free (AB309513)

This data was developed using ab309512, the same antibody clone in a different buffer formulation. Immunofluorescent analysis of 100% methanol-fixed, 0.1% TritonX-100 permeabilized bEnd.3 (mouse brain endothelial cell) cells labelling CD151 with ab309512 at 1/50 (9.78 ug/ml) dilution, followed by ab150081 Goat Anti-Rabbit IgG H&L (Alexa Fluor® 488) preadsorbed antibody at 1/1000 2ug/ml dilution (Green). Confocal image showing membranous staining in bEnd.3 cell line, and no staining in EL4.IL-2 cell line.Low expression : EL4.IL-2 (PMID : 25983660).Image was taken with a confocal microscope(Leica-Microsystems, TCS SP8). is observed. ab195889 Anti-alpha Tubulin mouse monoclonal antibody - Microtubule Marker (Alexa Fluor® 594) was used to counterstain tubulin at 1/200 2.5ug/ml dilution (Red). The Nuclear counterstain was DAPI (Blue). Secondary antibody only control : Secondary antibody is ab150081 Goat Anti-Rabbit IgG H&L (Alexa Fluor® 488) preadsorbed at 1/1000 2ug/ml dilution.

Immunohistochemistry (Formalin/PFA-fixed paraffin-embedded sections) - Anti-CD151 antibody [EPR27423-31] - BSA and Azide free (AB309513)
  • IHC-P

Supplier Data

Immunohistochemistry (Formalin/PFA-fixed paraffin-embedded sections) - Anti-CD151 antibody [EPR27423-31] - BSA and Azide free (AB309513)

This data was developed using ab309512, the same antibody clone in a different buffer formulation. Immunohistochemical analysis of paraffin-embedded Mouse liver tissue labeling CD151 with ab309512 at 1/5000 (0.098 ug/ml) followed by a ready to use LeicaDS9800 (Bond™ Polymer Refine Detection). Membranous staining on endothelium in mouse liver . The section was incubated with ab309512 for 30 mins at room temperature.The immunostaining was performed on a Leica Biosystems BOND® RX instrument. Incubate slides with 3% Hydrogen Peroxide for 10 mins at room temperature after secondary antibody incubation to reduce the background. Counterstained with Hematoxylin. Secondary antibody only control : Secondary antibody is a ready to use LeicaDS9800 (Bond™ Polymer Refine Detection). Heat mediated antigen retrieval was performed with Tris-EDTA buffer (pH 9.0, Epitope Retrieval Solution2) for 20 mins

Immunohistochemistry (Formalin/PFA-fixed paraffin-embedded sections) - Anti-CD151 antibody [EPR27423-31] - BSA and Azide free (AB309513)
  • IHC-P

Supplier Data

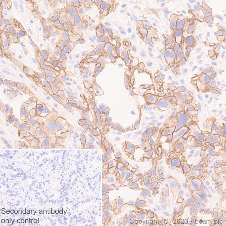
Immunohistochemistry (Formalin/PFA-fixed paraffin-embedded sections) - Anti-CD151 antibody [EPR27423-31] - BSA and Azide free (AB309513)

This data was developed using ab309512, the same antibody clone in a different buffer formulation. Immunohistochemical analysis of paraffin-embedded Mouse pancreatic can tissue labeling CD151 with ab309512 at 1/5000 (0.098 ug/ml) followed by a ready to use LeicaDS9800 (Bond™ Polymer Refine Detection). Membranous staining on mouse pancreatic cancer . The section was incubated with ab309512 for 30 mins at room temperature.The immunostaining was performed on a Leica Biosystems BOND® RX instrument. Incubate slides with 3% Hydrogen Peroxide for 10 mins at room temperature after secondary antibody incubation to reduce the background. Counterstained with Hematoxylin. Secondary antibody only control : Secondary antibody is a ready to use LeicaDS9800 (Bond™ Polymer Refine Detection). Heat mediated antigen retrieval was performed with Tris-EDTA buffer (pH 9.0, Epitope Retrieval Solution2) for 20 mins

Immunohistochemistry (Formalin/PFA-fixed paraffin-embedded sections) - Anti-CD151 antibody [EPR27423-31] - BSA and Azide free (AB309513)
  • IHC-P

Supplier Data

Immunohistochemistry (Formalin/PFA-fixed paraffin-embedded sections) - Anti-CD151 antibody [EPR27423-31] - BSA and Azide free (AB309513)

This data was developed using ab309512, the same antibody clone in a different buffer formulation. Immunohistochemical analysis of paraffin-embedded Rat liver tissue labeling CD151 with ab309512 at 1/5000 (0.098 ug/ml) followed by a ready to use LeicaDS9800 (Bond™ Polymer Refine Detection). Membranous staining on endothelium in rat liver . The section was incubated with ab309512 for 30 mins at room temperature.The immunostaining was performed on a Leica Biosystems BOND® RX instrument. Incubate slides with 3% Hydrogen Peroxide for 10 mins at room temperature after secondary antibody incubation to reduce the background. Counterstained with Hematoxylin. Secondary antibody only control : Secondary antibody is a ready to use LeicaDS9800 (Bond™ Polymer Refine Detection). Heat mediated antigen retrieval was performed with Tris-EDTA buffer (pH 9.0, Epitope Retrieval Solution2) for 20 mins

Western blot - Anti-CD151 antibody [EPR27423-31] - BSA and Azide free (AB309513)
  • WB

Supplier Data

Western blot - Anti-CD151 antibody [EPR27423-31] - BSA and Azide free (AB309513)

This data was developed using ab309512, the same antibody clone in a different buffer formulation. Blocking and diluting buffer and concentration : 5% NFDM/TBST Negative control : Daudi(PMID : 12705892), MOLT-4. In Western blot, anti-GAPDH antibody (ab181602) loading control staining at 1/200000 dilution. Exposure time : 15 seconds

All lanes:

Western blot - Anti-CD151 antibody [EPR27423-31] (<a href='/en-us/products/primary-antibodies/cd151-antibody-epr27423-31-ab309512'>ab309512</a>) at 1/1000 dilution

Lane 1:

HepG2 (human hepatocellar carcinoma epithelial cell) whole cell lysate at 20 µg

Lane 2:

Daudi (human Burkitts lymphoma lymphoblast) whole cell lysate at 20 µg

Lane 3:

MOLT-4 (human lymphoblastic leukemia T lymphoblast) whole cell lysate at 20 µg

Secondary

All lanes:

Western blot - Goat Anti-Rabbit IgG H&L (HRP) (<a href='/en-us/products/secondary-antibodies/goat-rabbit-igg-h-l-hrp-ab97051'>ab97051</a>) at 1/100000 dilution

Observed band size: 28 kDa

false

Exposure time: 15s

Western blot - Anti-CD151 antibody [EPR27423-31] - BSA and Azide free (AB309513)
  • WB

Supplier Data

Western blot - Anti-CD151 antibody [EPR27423-31] - BSA and Azide free (AB309513)

This data was developed using ab309512, the same antibody clone in a different buffer formulation. Blocking and diluting buffer and concentration : 5% NFDM/TBST Exposure time : 26 seconds

All lanes:

Western blot - Anti-CD151 antibody [EPR27423-31] (<a href='/en-us/products/primary-antibodies/cd151-antibody-epr27423-31-ab309512'>ab309512</a>) at 1/1000 dilution

Lane 1:

Human kidney tissue lysate at 20 µg

Lane 2:

Mouse kidney tissue lysate at 20 µg

Lane 3:

Rat kidney tissue lysate at 20 µg

Lane 4:

Human liver tissue lysate at 20 µg

Lane 5:

Mouse liver tissue lysate at 20 µg

Lane 6:

Rat liver tissue lysate at 20 µg

Secondary

All lanes:

Western blot - Goat Anti-Rabbit IgG H&L (HRP) (<a href='/en-us/products/secondary-antibodies/goat-rabbit-igg-h-l-hrp-ab97051'>ab97051</a>) at 1/100000 dilution

Observed band size: 28 kDa

false

Exposure time: 26s

Western blot - Anti-CD151 antibody [EPR27423-31] - BSA and Azide free (AB309513)
  • WB

Supplier Data

Western blot - Anti-CD151 antibody [EPR27423-31] - BSA and Azide free (AB309513)

This data was developed using ab309512, the same antibody clone in a different buffer formulation. Blocking and diluting buffer and concentration : 5% NFDM/TBST Negative control : EL4.IL-2(PMID : 25983660) In Western blot, anti- H3 antibody (ab176842) loading control staining at 1/100000 dilution. Exposure time : 15 seconds

All lanes:

Western blot - Anti-CD151 antibody [EPR27423-31] (<a href='/en-us/products/primary-antibodies/cd151-antibody-epr27423-31-ab309512'>ab309512</a>) at 1/1000 dilution

Lane 1:

bEnd.3 (mouse brain endothelial cell) while cell lysate at 20 µg

Lane 2:

EL4.IL-2 (mouse lymphoma T lymphocyte) whole cell lysate at 20 µg

Secondary

All lanes:

Western blot - Goat Anti-Rabbit IgG H&L (HRP) (<a href='/en-us/products/secondary-antibodies/goat-rabbit-igg-h-l-hrp-ab97051'>ab97051</a>) at 1/100000 dilution

Observed band size: 28 kDa

false

Exposure time: 15s

Key facts

Host species

Rabbit

Clonality

Monoclonal

Clone number

EPR27423-31

Isotype

IgG

Carrier free

Yes

Reacts with

Rat, Human, Mouse

Applications

ICC/IF, IHC-P, WB

applications

Immunogen

The exact immunogen used to generate this antibody is proprietary information.

Reactivity data

{ "title": "Reactivity Data", "filters": { "stats": ["", "Species", "Dilution Info", "Notes"], "tabs": { "all-applications": {"fullname" : "All Applications", "shortname": "All Applications"}, "WB" : {"fullname" : "Western blot", "shortname":"WB"}, "IHCP" : {"fullname" : "Immunohistochemistry (Formalin/PFA-fixed paraffin-embedded sections)", "shortname":"IHC-P"}, "ICCIF" : {"fullname" : "Immunocytochemistry/ Immunofluorescence", "shortname":"ICC/IF"}, "FlowCyt" : {"fullname" : "Flow Cytometry", "shortname":"Flow Cyt"}, "IP" : {"fullname" : "Immunoprecipitation", "shortname":"IP"} }, "product-promise": { "all": "all", "testedAndGuaranteed": "tested", "guaranteed": "expected", "predicted": "predicted", "notRecommended": "not-recommended" } }, "values": { "Human": { "WB-species-checked": "testedAndGuaranteed", "WB-species-dilution-info": "", "WB-species-notes": "<p></p>", "IHCP-species-checked": "testedAndGuaranteed", "IHCP-species-dilution-info": "", "IHCP-species-notes": "<p></p>", "ICCIF-species-checked": "testedAndGuaranteed", "ICCIF-species-dilution-info": "", "ICCIF-species-notes": "<p></p>", "FlowCyt-species-checked": "notRecommended", "FlowCyt-species-dilution-info": "", "FlowCyt-species-notes": "<p></p>", "IP-species-checked": "notRecommended", "IP-species-dilution-info": "", "IP-species-notes": "<p></p>" }, "Mouse": { "WB-species-checked": "testedAndGuaranteed", "WB-species-dilution-info": "", "WB-species-notes": "<p></p>", "IHCP-species-checked": "testedAndGuaranteed", "IHCP-species-dilution-info": "", "IHCP-species-notes": "<p></p>", "ICCIF-species-checked": "testedAndGuaranteed", "ICCIF-species-dilution-info": "", "ICCIF-species-notes": "<p></p>", "FlowCyt-species-checked": "notRecommended", "FlowCyt-species-dilution-info": "", "FlowCyt-species-notes": "<p></p>", "IP-species-checked": "notRecommended", "IP-species-dilution-info": "", "IP-species-notes": "" }, "Rat": { "WB-species-checked": "testedAndGuaranteed", "WB-species-dilution-info": "", "WB-species-notes": "<p></p>", "IHCP-species-checked": "testedAndGuaranteed", "IHCP-species-dilution-info": "", "IHCP-species-notes": "<p></p>", "ICCIF-species-checked": "guaranteed", "ICCIF-species-dilution-info": "", "ICCIF-species-notes": "", "FlowCyt-species-checked": "notRecommended", "FlowCyt-species-dilution-info": "", "FlowCyt-species-notes": "", "IP-species-checked": "notRecommended", "IP-species-dilution-info": "", "IP-species-notes": "" } } }

Product details

Patented technology
Our RabMAb® technology is a patented hybridoma-based technology for making rabbit monoclonal antibodies. For details on our patents, please refer to RabMAb® patents.

What are the advantages of a recombinant monoclonal antibody?
This product is a recombinant monoclonal antibody, which offers several advantages including:

  • - High batch-to-batch consistency and reproducibility
  • - Improved sensitivity and specificity
  • - Long-term security of supply
  • - Animal-free batch production

For more information, read more on recombinant antibodies.

Conjugation ready
Our carrier-free antibodies are typically supplied in a PBS-only formulation, purified and free of BSA, sodium azide and glycerol. This conjugation-ready format is designed for use with fluorochromes, metal isotopes, oligonucleotides, and enzymes, which makes them ideal for antibody labelling, functional and cell-based assays, flow-based assays (e.g. mass cytometry) and Multiplex Imaging applications.

Use our conjugation kits for antibody conjugates that are ready-to-use in as little as 20 minutes with 1 minute hands-on-time and 100% antibody recovery: available for fluorescent dyes, HRP, biotin and gold.

Compatibility
This product is compatible with the Maxpar® Antibody Labeling Kit from Fluidigm, without the need for antibody preparation. Maxpar® is a trademark of Fluidigm Canada Inc.

Properties and storage information

Form
Liquid
Purification technique
Affinity purification Protein A
Storage buffer
pH: 7.2 - 7.4 Constituents: PBS
Shipped at conditions
Blue Ice
Appropriate short-term storage conditions
+4°C
Appropriate long-term storage conditions
+4°C

Supplementary information

This supplementary information is collated from multiple sources and compiled automatically.

CD151 also known as PETA-3 or SFA-1 is a member of the tetraspanin family which are small membrane proteins with molecular mass of about 28 kDa. This protein is commonly expressed on various cells such as epithelial cells endothelial cells and platelets. CD151 is known to interact with integrins especially integrin α3β1 and α6β1 playing significant roles in cell adhesion and migration. It is mostly found in areas where cell-to-cell contact is vital for maintaining tissue integrity and cellular communication.
Biological function summary

CD151 engages in the stabilization of integrin complexes which facilitates signal transduction pathways that influence cellular behaviors like proliferation differentiation and survival. It does not function alone; CD151 is part of a tetraspanin-enriched microdomain (TEM) forming complexes that include proteins such as CD9 CD63 and other integrins. These complexes bring together structural and signaling molecules on the cell membrane creating platforms for efficient signal relay.

Pathways

CD151 plays a role in pathways involving cell adhesion and tissue repair. Notably it is involved in the integrin signaling pathway which is essential for cell-matrix interactions in tissues that require adhesion for repair or restructuring. CD151 interacts with proteins like PI3K and Akt within these pathways which are central to the signaling cascades regulating cellular responses to the extracellular environment.

CD151 participation has been noted in cancer progression and metastasis. It links to the dysregulation observed in integrin functions such as those of integrin α3β1 which directly influences tumor cell invasion and metastasis in cancers like breast and prostate cancer. CD151 also exhibits connections with renal pathologies including Alport syndrome where the lack of functional basement membranes affects kidney function and it interacts with proteins like collagen IV in the disorder's progression.

Product protocols

For this product, it's our understanding that no specific protocols are required. You can visit:

Target data

Structural component of specialized membrane microdomains known as tetraspanin-enriched microdomains (TERMs), which act as platforms for receptor clustering and signaling. Plays a role in various cellular and molecular mechanism through its association with both integrin and non-integrin proteins. These interactions facilitate critical cellular functions, including cell-to-cell communication, wound healing, platelet aggregation, trafficking, cell motility, and angiogenesis (PubMed : 17045834, PubMed : 24723389, PubMed : 31488507). Via interaction with JAM-A/F11R and integrin ITGA3 : ITGB1, promotes the recruitment of signaling molecules such as RAC1, CDC42 and RhoGTPases to facilitate the polarization of epithelial cells and the reorganization of the actin cytoskeleton, which are critical steps in cell migration process (PubMed : 22843693, PubMed : 35067832). Regulates the glycosylation pattern of ITGA3 : ITGB1 thereby modulating its activity (PubMed : 18852263). Plays an essential role in the maintenance of central laminin-binding integrin ITGA6 : ITGB4-containing adhesion complexes (PubMed : 31488507). Essential for the proper assembly of the glomerular and tubular basement membranes in kidney (PubMed : 15265795). Contributes to T-cell activation by modulating integrin signaling leading to activation of downstream targets PTK2 and MAPK1/MAPK3 (PubMed : 24723389).. (Microbial infection) Plays a role in human papillomavirus 16/HPV-16 endocytosis upon binding to cell surface receptor.. (Microbial infection) Plays a role in human cytomegalovirus entry into host cell by contributing to entry receptor binding, membrane fusion, or release of the capsid.
See full target information CD151

Product promise

We are committed to supporting your work with high-quality reagents, and we're here for you every step of the way. In the unlikely event that one of our products does not perform as expected, you're protected by our Product Promise.
For full details, please see our Terms & Conditions

Please note: All products are 'FOR RESEARCH USE ONLY. NOT FOR USE IN DIAGNOSTIC OR THERAPEUTIC PROCEDURES'.

For licensing inquiries, please contact partnerships@abcam.com