JavaScript is disabled in your browser. Please enable JavaScript to view this website.
AB308606

Anti-CD16 antibody [SP175] - Mouse IgG2a (Chimeric) - BSA and Azide free

Be the first to review this product! Submit a review

|

(0 Publication)

Mouse Recombinant Monoclonal CD16a antibody. Carrier free. Suitable for IHC-P, Flow Cyt (Intra) and reacts with Human samples.

View Alternative Names

CD16a, CD16A, FCG3, FCGR3, IGFR3, FCGR3A, Low affinity immunoglobulin gamma Fc region receptor III-A, IgG Fc receptor III-A, CD16-II, CD16a antigen, Fc-gamma RIII-alpha, FcR-10, IgG Fc receptor III-2, Fc-gamma RIII, Fc-gamma RIIIa, FcRIII, FcRIIIa, FcgammaRIIIA

5 Images
Immunohistochemistry (Formalin/PFA-fixed paraffin-embedded sections) - Anti-CD16 antibody [SP175] - Mouse IgG2a (Chimeric) - BSA and Azide free (AB308606)
  • IHC-P

Supplier Data

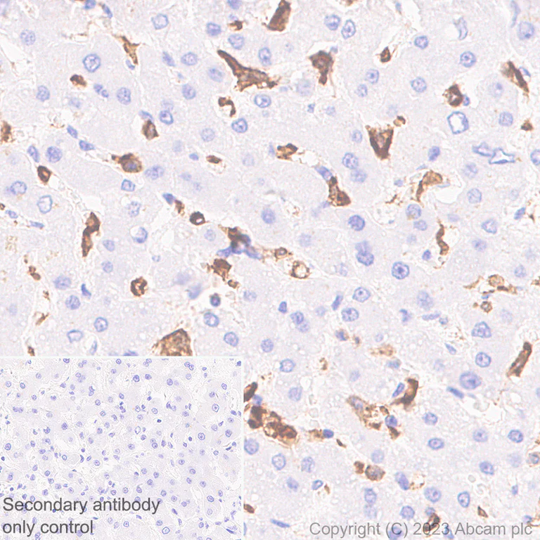
Immunohistochemistry (Formalin/PFA-fixed paraffin-embedded sections) - Anti-CD16 antibody [SP175] - Mouse IgG2a (Chimeric) - BSA and Azide free (AB308606)

This data was produced using ab308605, the same antibody clone but in a different buffer. Immunohistochemical analysis of paraffin-embedded human liver tissue labeling CD16 with ab308605 at 1/5000 (0.206 ug/ml) followed by a ready to use LeicaDS9800 (Bond™ Polymer Refine Detection). Positive staining on Kuffer cells of human liver. The section was incubated with ab308605 for 10 mins at room temperature, followed by anti-mouse IgG2a antibody for 8 mins during the LeicaDS9800 kit staining procedure. The immunostaining was performed on a Leica Biosystems BOND® RX instrument. Counterstained with Hematoxylin. Secondary antibody only control : Secondary antibody is a ready to use LeicaDS9800 (Bond™ Polymer Refine Detection). Heat mediated antigen retrieval was performed with Tris-EDTA buffer (pH 9.0, Epitope Retrieval Solution2) for 10 mins.

Immunohistochemistry (Formalin/PFA-fixed paraffin-embedded sections) - Anti-CD16 antibody [SP175] - Mouse IgG2a (Chimeric) - BSA and Azide free (AB308606)
  • IHC-P

Supplier Data

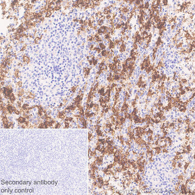
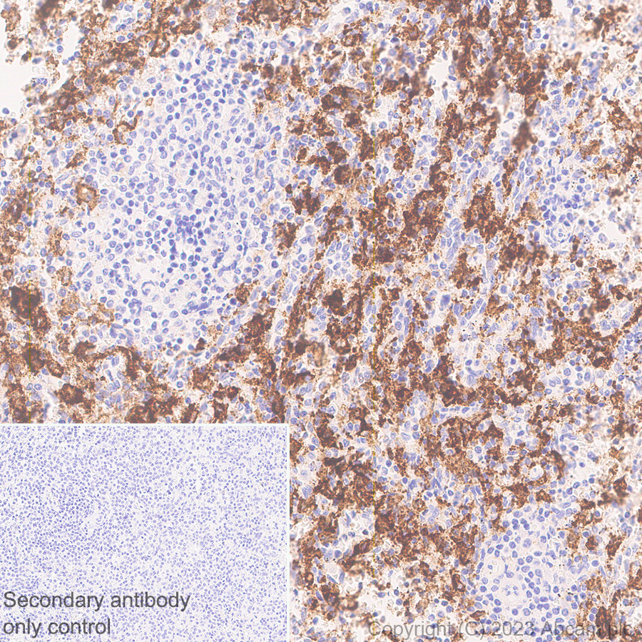
Immunohistochemistry (Formalin/PFA-fixed paraffin-embedded sections) - Anti-CD16 antibody [SP175] - Mouse IgG2a (Chimeric) - BSA and Azide free (AB308606)

This data was produced using ab308605, the same antibody clone but in a different buffer. Immunohistochemical analysis of paraffin-embedded human spleen tissue labeling CD16 with ab308605 at 1/5000 (0.206 ug/ml) followed by a ready to use LeicaDS9800 (Bond™ Polymer Refine Detection). Positive staining on human spleen. The section was incubated with ab308605 for 10 mins at room temperature, followed by anti-mouse IgG2a antibody for 8 mins during the LeicaDS9800 kit staining procedure. The immunostaining was performed on a Leica Biosystems BOND® RX instrument. Counterstained with Hematoxylin. Secondary antibody only control : Secondary antibody is a ready to use LeicaDS9800 (Bond™ Polymer Refine Detection). Heat mediated antigen retrieval was performed with Tris-EDTA buffer (pH 9.0, Epitope Retrieval Solution2) for 10 mins.

Immunohistochemistry (Formalin/PFA-fixed paraffin-embedded sections) - Anti-CD16 antibody [SP175] - Mouse IgG2a (Chimeric) - BSA and Azide free (AB308606)
  • IHC-P

Supplier Data

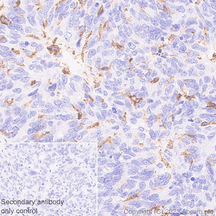
Immunohistochemistry (Formalin/PFA-fixed paraffin-embedded sections) - Anti-CD16 antibody [SP175] - Mouse IgG2a (Chimeric) - BSA and Azide free (AB308606)

This data was produced using ab308605, the same antibody clone but in a different buffer. Immunohistochemical analysis of paraffin-embedded human ovarian cancer tissue labeling CD16 with ab308605 at 1/5000 (0.206 ug/ml) followed by a ready to use LeicaDS9800 (Bond™ Polymer Refine Detection). Positive staining on stromal cells of human ovarian cancer. The section was incubated with ab308605 for 10 mins at room temperature, followed by anti-mouse IgG2a antibody for 8 mins during the LeicaDS9800 kit staining procedure. The immunostaining was performed on a Leica Biosystems BOND® RX instrument. Counterstained with Hematoxylin. Secondary antibody only control : Secondary antibody is a ready to use LeicaDS9800 (Bond™ Polymer Refine Detection). Heat mediated antigen retrieval was performed with Tris-EDTA buffer (pH 9.0, Epitope Retrieval Solution2) for 10 mins.

Flow Cytometry (Intracellular) - Anti-CD16 antibody [SP175] - Mouse IgG2a (Chimeric) - BSA and Azide free (AB308606)
  • Flow Cyt (Intra)

Supplier Data

Flow Cytometry (Intracellular) - Anti-CD16 antibody [SP175] - Mouse IgG2a (Chimeric) - BSA and Azide free (AB308606)

This data was produced using ab308605, the same antibody clone but in a different buffer. Flow cytometric analysis of 2% paraformaldehyde fixed 0.1% Tween-20 permeabilized human PBMC (human peripheral blood mononuclear cell) cells labelling CD16 with ab308605 at 1/1000 dilution (0.1 ug)/Right compared with a mouse monoclonal IgG isotype control/ Left. A Goat anti-Mouse IgG (Alexa Fluor® 488, ab150113) at 1/5000 dilution was used as the secondary antibody. Cells were stained with anti-CD14 conjugated to A647. Fixed with 2% PFA for 10 min followed by intracellularly staining with mouse IgG or ab308605.

Flow Cytometry (Intracellular) - Anti-CD16 antibody [SP175] - Mouse IgG2a (Chimeric) - BSA and Azide free (AB308606)
  • Flow Cyt (Intra)

Supplier Data

Flow Cytometry (Intracellular) - Anti-CD16 antibody [SP175] - Mouse IgG2a (Chimeric) - BSA and Azide free (AB308606)

This data was produced using ab308605, the same antibody clone but in a different buffer. Flow cytometric analysis of 4% paraformaldehyde fixed 90% methanol permeabilized Raji (human Burkitt's lymphoma B lymphocyte) cells labelling CD16 with ab308605 at 1/1000 dilution (0.1 ug)/ (Red) compared with a mouse monoclonal IgG isotype control / Left and an unlabelled control (cells without incubation with primary antibody and secondary antibody) (Blue). A Goat anti-Mouse IgG (Alexa Fluor® 488, ab150113) at 1/5000 dilution was used as the secondary antibody. Negative control : Raji. (PMID : 11207281).

Key facts

Host species

Mouse

Clonality

Monoclonal

Clone number

SP175

Isotype

IgG2a

Carrier free

Yes

Reacts with

Human

Applications

Flow Cyt (Intra), IHC-P

applications

Immunogen

The exact immunogen used to generate this antibody is proprietary information.

Reactivity data

{ "title": "Reactivity Data", "filters": { "stats": ["", "Species", "Dilution Info", "Notes"], "tabs": { "all-applications": {"fullname" : "All Applications", "shortname": "All Applications"}, "IHCP" : {"fullname" : "Immunohistochemistry (Formalin/PFA-fixed paraffin-embedded sections)", "shortname":"IHC-P"}, "FlowCytIntra" : {"fullname" : "Flow Cytometry (Intracellular)", "shortname":"Flow Cyt (Intra)"} }, "product-promise": { "all": "all", "testedAndGuaranteed": "tested", "guaranteed": "expected", "predicted": "predicted", "notRecommended": "not-recommended" } }, "values": { "Human": { "IHCP-species-checked": "testedAndGuaranteed", "IHCP-species-dilution-info": "", "IHCP-species-notes": "<p></p> Perform heat-mediated antigen retrieval with Tris/EDTA buffer pH 9.0 before commencing with IHC staining protocol.", "FlowCytIntra-species-checked": "testedAndGuaranteed", "FlowCytIntra-species-dilution-info": "", "FlowCytIntra-species-notes": "<p></p>" } } }

Product details

This mouse monoclonal chimeric antibody (ab308606) is the carrier-free version of ab308605.

What are the advantages of a recombinant monoclonal antibody?
This product is a recombinant monoclonal antibody, which offers several advantages including:

  • - High batch-to-batch consistency and reproducibility
  • - Improved sensitivity and specificity
  • - Long-term security of supply
  • - Animal-free batch production

For more information, read more on recombinant antibodies.

Conjugation ready
Our carrier-free antibodies are typically supplied in a PBS-only formulation, purified and free of BSA, sodium azide and glycerol. This conjugation-ready format is designed for use with fluorochromes, metal isotopes, oligonucleotides, and enzymes, which makes them ideal for antibody labelling, functional and cell-based assays, flow-based assays (e.g. mass cytometry) and Multiplex Imaging applications.

Use our conjugation kits for antibody conjugates that are ready-to-use in as little as 20 minutes with 1 minute hands-on-time and 100% antibody recovery: available for fluorescent dyes, HRP, biotin and gold.

Compatibility
This product is compatible with the Maxpar® Antibody Labeling Kit from Fluidigm, without the need for antibody preparation. Maxpar® is a trademark of Fluidigm Canada Inc.

Want a custom formulation?
This antibody clone is manufactured by Abcam. If you require a custom buffer formulation or conjugation for your experiments, please contact orders@abcam.com

Properties and storage information

Form
Liquid
Purification technique
Affinity purification Protein A
Storage buffer
pH: 7.2 - 7.4 Constituents: PBS
Shipped at conditions
Blue Ice
Appropriate short-term storage conditions
+4°C
Appropriate long-term storage conditions
+4°C

Supplementary information

This supplementary information is collated from multiple sources and compiled automatically.

CD16 also known as FCGR3A or CD16A protein is a low-affinity receptor for the Fc region of IgG. It weighs approximately 50-70 kDa and exists on the surface of several immune cells such as natural killer (NK) cells some populations of T cells and macrophages. The expression of CD16 mediates various cellular responses including antibody-dependent cellular cytotoxicity (ADCC) where it acts by engaging with immune complexes. Researchers often use anti-CD16 antibodies in flow cytometry to analyze the presence and quantity of CD16-expressing cells.
Biological function summary

This receptor plays a significant role in immune system regulation by contributing to the activation of immune effector cells. CD16 is not part of a larger complex but it operates in concert with CD3 proteins to trigger intracellular signaling pathways upon engagement with its ligand. Its function is important for the antibody-dependent clearance of infected or malignant cells from the body representing an essential linkage between innate and adaptive immunity.

Pathways

Signaling involving CD16 is integrated into the immune response mechanisms that include the Fc gamma receptor-mediated phagocytosis pathway. This pathway involves interactions with IgG antibodies and complements the activity of other Fc gamma receptors such as CD32 and CD64. Through these interactions CD16 enhances phagocytic activity and stimulates the secretion of cytokines and chemokines important for orchestrating an effective immune response.

CD16 plays an important role in conditions like autoimmune diseases and certain cancers. Its expression and function are important in the pathophysiology of systemic lupus erythematosus where an imbalance in immune complex clearance leads to tissue damage. In oncology CD16 aids in the immune system's recognition and elimination of tumor cells working alongside proteins such as CD3 in modulating the body's anti-tumor response. Understanding CD16's involvement in these diseases helps in developing therapeutic strategies that harness the immune system's power such as monoclonal antibody therapies targeting CD16.

Product protocols

For this product, it's our understanding that no specific protocols are required. You can visit:

Target data

Receptor for the invariable Fc fragment of immunoglobulin gamma (IgG). Optimally activated upon binding of clustered antigen-IgG complexes displayed on cell surfaces, triggers lysis of antibody-coated cells, a process known as antibody-dependent cellular cytotoxicity (ADCC). Does not bind free monomeric IgG, thus avoiding inappropriate effector cell activation in the absence of antigenic trigger (PubMed : 11711607, PubMed : 21768335, PubMed : 22023369, PubMed : 24412922, PubMed : 25786175, PubMed : 25816339, PubMed : 28652325, PubMed : 8609432, PubMed : 9242542). Mediates IgG effector functions on natural killer (NK) cells. Binds antigen-IgG complexes generated upon infection and triggers NK cell-dependent cytokine production and degranulation to limit viral load and propagation. Involved in the generation of memory-like adaptive NK cells capable to produce high amounts of IFNG and to efficiently eliminate virus-infected cells via ADCC (PubMed : 24412922, PubMed : 25786175). Regulates NK cell survival and proliferation, in particular by preventing NK cell progenitor apoptosis (PubMed : 29967280, PubMed : 9916693). Following the engagement of antigen-IgG complexes, triggers phosphorylation of immunoreceptor tyrosine-based activation motif (ITAM)-containing adapters with subsequent activation of phosphatidylinositol 3-kinase signaling and sustained elevation of intracellular calcium that ultimately drive NK cell activation. The ITAM-dependent signaling coupled to receptor phosphorylation by PKC mediates robust intracellular calcium flux that leads to production of pro-inflammatory cytokines, whereas in the absence of receptor phosphorylation it mainly activates phosphatidylinositol 3-kinase signaling leading to cell degranulation (PubMed : 1825220, PubMed : 23024279, PubMed : 2532305). Costimulates NK cells and trigger lysis of target cells independently of IgG binding (PubMed : 10318937, PubMed : 23006327). Mediates the antitumor activities of therapeutic antibodies. Upon ligation on monocytes triggers TNFA-dependent ADCC of IgG-coated tumor cells (PubMed : 27670158). Mediates enhanced opsonisation and ADCC in response to afucosylated IgGs (PubMed : 34485821, PubMed : 28566370).. (Microbial infection) Involved in Dengue virus pathogenesis via antibody-dependent enhancement (ADE) mechanism. Secondary infection with Dengue virus triggers elevated levels of afucosylated non-neutralizing IgG1s with reactivity to viral envelope/E protein. Viral antigen-IgG1 complexes bind with high affinity to FCGR3A, facilitating virus entry in myeloid cells and subsequent viral replication.
See full target information FCGR3A

Product promise

We are committed to supporting your work with high-quality reagents, and we're here for you every step of the way. In the unlikely event that one of our products does not perform as expected, you're protected by our Product Promise.
For full details, please see our Terms & Conditions

Please note: All products are 'FOR RESEARCH USE ONLY. NOT FOR USE IN DIAGNOSTIC OR THERAPEUTIC PROCEDURES'.

For licensing inquiries, please contact partnerships@abcam.com