JavaScript is disabled in your browser. Please enable JavaScript to view this website.
AB308607

Anti-CD16 antibody [SP175] - Rat IgG2a (Chimeric)

  • BOND RX™ Validated
  • 20ul selling size
  • Recombinant
  • What is this?

Be the first to review this product! Submit a review

|

(0 Publication)

Anti-CD16 antibody [SP175] is a Rat Monoclonal antibody that is used in CD16 IHC-P. Suitable for Human samples.

CD16, also known as FcγRIII, is a receptor found on natural killer cells, neutrophils, monocytes, and macrophages. It plays a key role in antibody-dependent cellular cytotoxicity (ADCC), enabling immune cells to target and destroy infected or cancerous cells. CD16's involvement in signal transduction and immune response regulation makes it a significant focus in research for therapeutic applications.

View Alternative Names

CD16a, CD16A, FCG3, FCGR3, IGFR3, FCGR3A, Low affinity immunoglobulin gamma Fc region receptor III-A, IgG Fc receptor III-A, CD16-II, CD16a antigen, Fc-gamma RIII-alpha, FcR-10, IgG Fc receptor III-2, Fc-gamma RIII, Fc-gamma RIIIa, FcRIII, FcRIIIa, FcgammaRIIIA

3 Images
Immunohistochemistry (Formalin/PFA-fixed paraffin-embedded sections) - Anti-CD16 antibody [SP175] - Rat IgG2a (Chimeric) (AB308607)
  • IHC-P

Supplier Data

Immunohistochemistry (Formalin/PFA-fixed paraffin-embedded sections) - Anti-CD16 antibody [SP175] - Rat IgG2a (Chimeric) (AB308607)

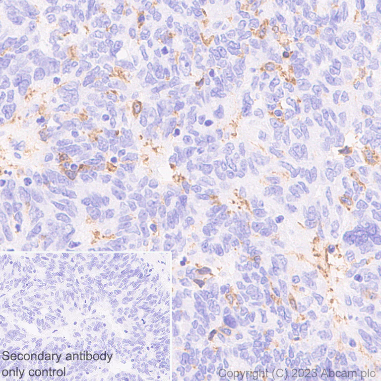
Immunohistochemical analysis of paraffin-embedded human ovarian cancer tissue labeling CD16 with ab308607 at 1/1000 (0.93 ug/ml) followed by a ready to use LeicaDS9800 (Bond™ Polymer Refine Detection). Positive staining on stromal cells of human ovarian cancer. The section was incubated with ab308607 for 10 mins at room temperature, followed by anti-rat IgG antibody (ab102248) for 8 mins during the LeicaDS9800 kit staining procedure. The immunostaining was performed on a Leica Biosystems BOND® RX instrument. Counterstained with Hematoxylin. Secondary antibody only control : Secondary antibody is a ready to use LeicaDS9800 (Bond™ Polymer Refine Detection). Heat mediated antigen retrieval was performed with Tris-EDTA buffer (pH 9.0, Epitope Retrieval Solution2) for 10 mins.

Immunohistochemistry (Formalin/PFA-fixed paraffin-embedded sections) - Anti-CD16 antibody [SP175] - Rat IgG2a (Chimeric) (AB308607)
  • IHC-P

Supplier Data

Immunohistochemistry (Formalin/PFA-fixed paraffin-embedded sections) - Anti-CD16 antibody [SP175] - Rat IgG2a (Chimeric) (AB308607)

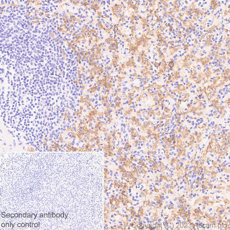
Immunohistochemical analysis of paraffin-embedded human spleen tissue labeling CD16 with ab308607 at 1/1000 (0.93 ug/ml) followed by a ready to use LeicaDS9800 (Bond™ Polymer Refine Detection). Positive staining on human spleen. The section was incubated with ab308607 for 10 mins at room temperature, followed by anti-rat IgG antibody (ab102248) for 8 mins during the LeicaDS9800 kit staining procedure. The immunostaining was performed on a Leica Biosystems BOND® RX instrument. Counterstained with Hematoxylin. Secondary antibody only control : Secondary antibody is a ready to use LeicaDS9800 (Bond™ Polymer Refine Detection). Heat mediated antigen retrieval was performed with Tris-EDTA buffer (pH 9.0, Epitope Retrieval Solution2) for 10 mins.

Immunohistochemistry (Formalin/PFA-fixed paraffin-embedded sections) - Anti-CD16 antibody [SP175] - Rat IgG2a (Chimeric) (AB308607)
  • IHC-P

Supplier Data

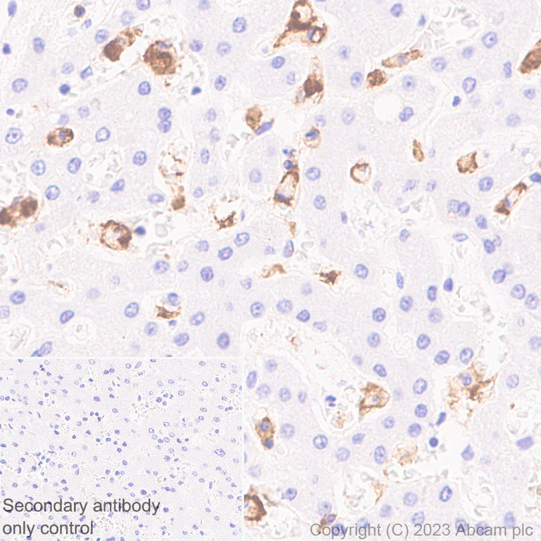
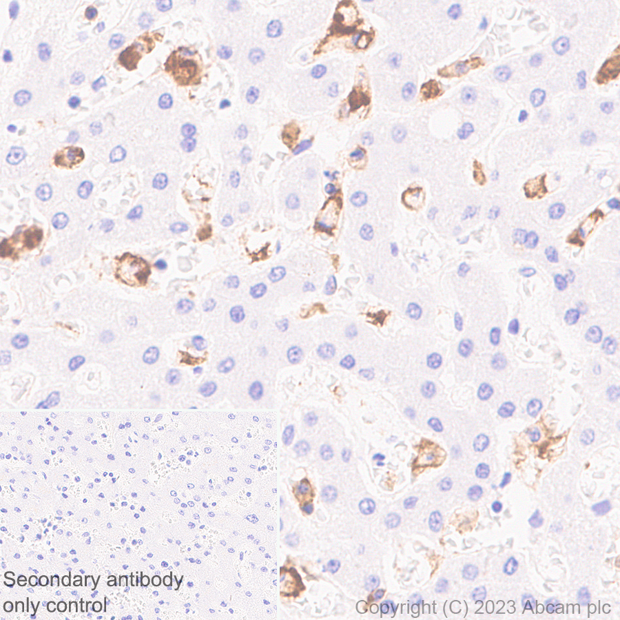
Immunohistochemistry (Formalin/PFA-fixed paraffin-embedded sections) - Anti-CD16 antibody [SP175] - Rat IgG2a (Chimeric) (AB308607)

Immunohistochemical analysis of paraffin-embedded human liver tissue labeling CD16 with ab308607 at 1/1000 (0.93 ug/ml) followed by a ready to use LeicaDS9800 (Bond™ Polymer Refine Detection). Positive staining on Kuffer cells of human liver. The section was incubated with ab308607 for 10 mins at room temperature, followed by anti-rat IgG antibody (ab102248) for 8 mins during the LeicaDS9800 kit staining procedure. The immunostaining was performed on a Leica Biosystems BOND® RX instrument. Counterstained with Hematoxylin. Secondary antibody only control : Secondary antibody is a ready to use LeicaDS9800 (Bond™ Polymer Refine Detection). Heat mediated antigen retrieval was performed with Tris-EDTA buffer (pH 9.0, Epitope Retrieval Solution2) for 10 mins.

  • Carrier free

    Anti-CD16 antibody [SP175] - Rat IgG2a (Chimeric) - BSA and Azide free

Key facts

Host species

Rat

Clonality

Monoclonal

Clone number

SP175

Isotype

IgG2a

Carrier free

No

Reacts with

Human

Applications

IHC-P

applications

Immunogen

The exact immunogen used to generate this antibody is proprietary information.

Reactivity data

{ "title": "Reactivity Data", "filters": { "stats": ["", "Species", "Dilution Info", "Notes"], "tabs": { "all-applications": {"fullname" : "All Applications", "shortname": "All Applications"}, "IHCP" : {"fullname" : "Immunohistochemistry (Formalin/PFA-fixed paraffin-embedded sections)", "shortname":"IHC-P"}, "FlowCytIntra" : {"fullname" : "Flow Cytometry (Intracellular)", "shortname":"Flow Cyt (Intra)"} }, "product-promise": { "all": "all", "testedAndGuaranteed": "tested", "guaranteed": "expected", "predicted": "predicted", "notRecommended": "not-recommended" } }, "values": { "Human": { "IHCP-species-checked": "testedAndGuaranteed", "IHCP-species-dilution-info": "1/1000", "IHCP-species-notes": "<p></p> Perform heat-mediated antigen retrieval with Tris/EDTA buffer pH 9.0 before commencing with IHC staining protocol.", "FlowCytIntra-species-checked": "notRecommended", "FlowCytIntra-species-dilution-info": "", "FlowCytIntra-species-notes": "<p></p>" } } }

You may be interested in:

AB316909

Human CD16 ELISA Kit- Extracellular

0

0 Reviews

View product

We recommend this product because it’s often used in the same experiment or related research.

We advise that you always check the datasheet to ensure it fits your experiments, or contact ourtechnical teamfor help.

Product details

This rat monoclonal chimeric antibody has been engineered from a RabMAb parent antibody (ab183354). By design, some rabbit sequence is retained as part of the variable domain. When multiplexing with other rabbit-derived antibodies, using cross absorbed FC-reactive secondary antibodies are recommended.

What are the advantages of a recombinant monoclonal antibody?
This product is a recombinant monoclonal antibody, which offers several advantages including:

  • - High batch-to-batch consistency and reproducibility
  • - Improved sensitivity and specificity
  • - Long-term security of supply
  • - Animal-free batch production

For more information, read more on recombinant antibodies.

Want a custom formulation?
This antibody clone is manufactured by Abcam. If you require a custom buffer formulation or conjugation for your experiments, please contact orders@abcam.com

Properties and storage information

Form
Liquid
Purification technique
Ion exchange chromatography
Storage buffer
pH: 7.2 - 7.4 Preservative: 0.01% Sodium azide Constituents: PBS, 40% Glycerol (glycerin, glycerine), 0.05% BSA
Shipped at conditions
Blue Ice
Appropriate short-term storage duration
1-2 weeks
Appropriate short-term storage conditions
+4°C
Appropriate long-term storage conditions
-20°C
Aliquoting information
Upon delivery aliquot
Storage information
Avoid freeze / thaw cycle

Supplementary information

This supplementary information is collated from multiple sources and compiled automatically.

CD16 also known as FCGR3A or CD16A protein is a low-affinity receptor for the Fc region of IgG. It weighs approximately 50-70 kDa and exists on the surface of several immune cells such as natural killer (NK) cells some populations of T cells and macrophages. The expression of CD16 mediates various cellular responses including antibody-dependent cellular cytotoxicity (ADCC) where it acts by engaging with immune complexes. Researchers often use anti-CD16 antibodies in flow cytometry to analyze the presence and quantity of CD16-expressing cells.
Biological function summary

This receptor plays a significant role in immune system regulation by contributing to the activation of immune effector cells. CD16 is not part of a larger complex but it operates in concert with CD3 proteins to trigger intracellular signaling pathways upon engagement with its ligand. Its function is important for the antibody-dependent clearance of infected or malignant cells from the body representing an essential linkage between innate and adaptive immunity.

Pathways

Signaling involving CD16 is integrated into the immune response mechanisms that include the Fc gamma receptor-mediated phagocytosis pathway. This pathway involves interactions with IgG antibodies and complements the activity of other Fc gamma receptors such as CD32 and CD64. Through these interactions CD16 enhances phagocytic activity and stimulates the secretion of cytokines and chemokines important for orchestrating an effective immune response.

CD16 plays an important role in conditions like autoimmune diseases and certain cancers. Its expression and function are important in the pathophysiology of systemic lupus erythematosus where an imbalance in immune complex clearance leads to tissue damage. In oncology CD16 aids in the immune system's recognition and elimination of tumor cells working alongside proteins such as CD3 in modulating the body's anti-tumor response. Understanding CD16's involvement in these diseases helps in developing therapeutic strategies that harness the immune system's power such as monoclonal antibody therapies targeting CD16.

Product protocols

For this product, it's our understanding that no specific protocols are required. You can visit:

Target data

Receptor for the invariable Fc fragment of immunoglobulin gamma (IgG). Optimally activated upon binding of clustered antigen-IgG complexes displayed on cell surfaces, triggers lysis of antibody-coated cells, a process known as antibody-dependent cellular cytotoxicity (ADCC). Does not bind free monomeric IgG, thus avoiding inappropriate effector cell activation in the absence of antigenic trigger (PubMed : 11711607, PubMed : 21768335, PubMed : 22023369, PubMed : 24412922, PubMed : 25786175, PubMed : 25816339, PubMed : 28652325, PubMed : 8609432, PubMed : 9242542). Mediates IgG effector functions on natural killer (NK) cells. Binds antigen-IgG complexes generated upon infection and triggers NK cell-dependent cytokine production and degranulation to limit viral load and propagation. Involved in the generation of memory-like adaptive NK cells capable to produce high amounts of IFNG and to efficiently eliminate virus-infected cells via ADCC (PubMed : 24412922, PubMed : 25786175). Regulates NK cell survival and proliferation, in particular by preventing NK cell progenitor apoptosis (PubMed : 29967280, PubMed : 9916693). Fc-binding subunit that associates with CD247 and/or FCER1G adapters to form functional signaling complexes. Following the engagement of antigen-IgG complexes, triggers phosphorylation of immunoreceptor tyrosine-based activation motif (ITAM)-containing adapters with subsequent activation of phosphatidylinositol 3-kinase signaling and sustained elevation of intracellular calcium that ultimately drive NK cell activation. The ITAM-dependent signaling coupled to receptor phosphorylation by PKC mediates robust intracellular calcium flux that leads to production of pro-inflammatory cytokines, whereas in the absence of receptor phosphorylation it mainly activates phosphatidylinositol 3-kinase signaling leading to cell degranulation (PubMed : 1825220, PubMed : 23024279, PubMed : 2532305). Costimulates NK cells and trigger lysis of target cells independently of IgG binding (PubMed : 10318937, PubMed : 23006327). Mediates the antitumor activities of therapeutic antibodies. Upon ligation on monocytes triggers TNFA-dependent ADCC of IgG-coated tumor cells (PubMed : 27670158). Mediates enhanced ADCC in response to afucosylated IgGs (PubMed : 34485821).. (Microbial infection) Involved in Dengue virus pathogenesis via antibody-dependent enhancement (ADE) mechanism. Secondary infection with Dengue virus triggers elevated levels of afucosylated non-neutralizing IgG1s with reactivity to viral envelope/E protein. Viral antigen-IgG1 complexes bind with high affinity to FCGR3A, facilitating virus entry in myeloid cells and subsequent viral replication.
See full target information FCGR3A

Product promise

We are committed to supporting your work with high-quality reagents, and we're here for you every step of the way. In the unlikely event that one of our products does not perform as expected, you're protected by our Product Promise.
For full details, please see our Terms & Conditions

Associated Products

Select an associated product type
Alternative Version
Primary Antibodies

AB183354

Anti-CD16 antibody [SP175]

primary-antibodies

cd16-antibody-sp175-ab183354

5

(2 reviews)

Please note: All products are 'FOR RESEARCH USE ONLY. NOT FOR USE IN DIAGNOSTIC OR THERAPEUTIC PROCEDURES'.

For licensing inquiries, please contact partnerships@abcam.com