JavaScript is disabled in your browser. Please enable JavaScript to view this website.
AB245199

Anti-CD16 + CD32 antibody [EPR22345] - BSA and Azide free

Be the first to review this product! Submit a review

|

(1 Publication)

Rabbit Recombinant Monoclonal FCGR3 antibody. Carrier free. Suitable for WB, IHC-P and reacts with Mouse, Recombinant fragment - Mouse samples. Cited in 1 publication.

View Alternative Names

CD16, Low affinity immunoglobulin gamma Fc region receptor III, IgG Fc receptor III, Fc-gamma RIII, FcRIII, Fcgr3

2 Images
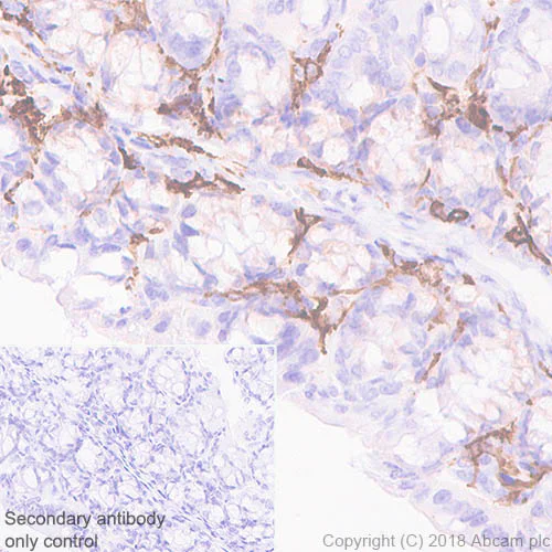
Immunohistochemistry (Formalin/PFA-fixed paraffin-embedded sections) - Anti-CD16 + CD32 antibody [EPR22345] - BSA and Azide free (AB245199)
  • IHC-P

Unknown

Immunohistochemistry (Formalin/PFA-fixed paraffin-embedded sections) - Anti-CD16 + CD32 antibody [EPR22345] - BSA and Azide free (AB245199)

Immunohistochemical analysis of paraffin-embedded mouse colon tissue labeling CD16 with ab228971 at 1/4,000 dilution, followed by a ready to use Goat Anti-Rabbit IgG H&L (HRP). Cytoplasmic staining on stromal cells in mouse colon (PMID : 26512139) is observed. Counterstained with hematoxylin.

Secondary antibody only control : Used PBS instead of primary antibody, secondary antibody is a ready to use Goat Anti-Rabbit IgG H&L (HRP).

Perform heat mediated antigen retrieval using ab93684 (Tris/EDTA buffer, pH 9.0).

This data was developed using the same antibody clone in a different buffer formulation containing PBS, BSA, glycerol, and sodium azide (ab228971).

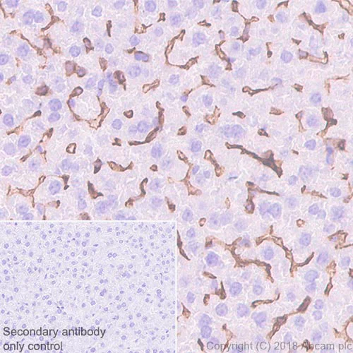
Immunohistochemistry (Formalin/PFA-fixed paraffin-embedded sections) - Anti-CD16 + CD32 antibody [EPR22345] - BSA and Azide free (AB245199)
  • IHC-P

Unknown

Immunohistochemistry (Formalin/PFA-fixed paraffin-embedded sections) - Anti-CD16 + CD32 antibody [EPR22345] - BSA and Azide free (AB245199)

Immunohistochemical analysis of paraffin-embedded mouse liver tissue labeling CD16 with ab228971 at 1/4,000 dilution, followed by a ready to use Goat Anti-Rabbit IgG H&L (HRP). Cytoplasmic staining on Kupffer cells and sinusoidal cells of mouse liver (PMID : 26512139) is observed. Counterstained with hematoxylin.
Secondary antibody only control : Used PBS instead of primary antibody, secondary antibody is a ready to use Goat Anti-Rabbit IgG H&L (HRP).

Perform heat mediated antigen retrieval using ab93684 (Tris/EDTA buffer, pH 9.0).

This data was developed using the same antibody clone in a different buffer formulation containing PBS, BSA, glycerol, and sodium azide (ab228971).

Key facts

Host species

Rabbit

Clonality

Monoclonal

Clone number

EPR22345

Isotype

IgG

Carrier free

Yes

Reacts with

Mouse

Applications

IHC-P, WB

applications

Immunogen

The exact immunogen used to generate this antibody is proprietary information.

Reactivity data

{ "title": "Reactivity Data", "filters": { "stats": ["", "Species", "Dilution Info", "Notes"], "tabs": { "all-applications": {"fullname" : "All Applications", "shortname": "All Applications"}, "ICCIF" : {"fullname" : "Immunocytochemistry/ Immunofluorescence", "shortname":"ICC/IF"}, "IP" : {"fullname" : "Immunoprecipitation", "shortname":"IP"}, "FlowCyt" : {"fullname" : "Flow Cytometry", "shortname":"Flow Cyt"}, "WB" : {"fullname" : "Western blot", "shortname":"WB"}, "IHCP" : {"fullname" : "Immunohistochemistry (Formalin/PFA-fixed paraffin-embedded sections)", "shortname":"IHC-P"} }, "product-promise": { "all": "all", "testedAndGuaranteed": "tested", "guaranteed": "expected", "predicted": "predicted", "notRecommended": "not-recommended" } }, "values": { "Mouse": { "ICCIF-species-checked": "notRecommended", "ICCIF-species-dilution-info": "", "ICCIF-species-notes": "<p></p>", "IP-species-checked": "notRecommended", "IP-species-dilution-info": "", "IP-species-notes": "<p></p>", "FlowCyt-species-checked": "notRecommended", "FlowCyt-species-dilution-info": "", "FlowCyt-species-notes": "<p></p>", "WB-species-checked": "testedAndGuaranteed", "WB-species-dilution-info": "", "WB-species-notes": "<p></p>", "IHCP-species-checked": "testedAndGuaranteed", "IHCP-species-dilution-info": "", "IHCP-species-notes": "<p></p>" }, "Recombinant fragment - Mouse": { "ICCIF-species-checked": "notRecommended", "ICCIF-species-dilution-info": "", "ICCIF-species-notes": "", "IP-species-checked": "notRecommended", "IP-species-dilution-info": "", "IP-species-notes": "", "FlowCyt-species-checked": "notRecommended", "FlowCyt-species-dilution-info": "", "FlowCyt-species-notes": "", "WB-species-checked": "testedAndGuaranteed", "WB-species-dilution-info": "", "WB-species-notes": "<p></p>", "IHCP-species-checked": "notRecommended", "IHCP-species-dilution-info": "", "IHCP-species-notes": "" } } }

Product details

ab245199 is the carrier-free version of ab228971.

Patented technology
Our RabMAb® technology is a patented hybridoma-based technology for making rabbit monoclonal antibodies. For details on our patents, please refer to RabMAb® patents.

What are the advantages of a recombinant monoclonal antibody?
This product is a recombinant monoclonal antibody, which offers several advantages including:

  • - High batch-to-batch consistency and reproducibility
  • - Improved sensitivity and specificity
  • - Long-term security of supply
  • - Animal-free batch production

For more information, read more on recombinant antibodies.

Conjugation ready
Our carrier-free antibodies are typically supplied in a PBS-only formulation, purified and free of BSA, sodium azide and glycerol. This conjugation-ready format is designed for use with fluorochromes, metal isotopes, oligonucleotides, and enzymes, which makes them ideal for antibody labelling, functional and cell-based assays, flow-based assays (e.g. mass cytometry) and Multiplex Imaging applications.

Use our conjugation kits for antibody conjugates that are ready-to-use in as little as 20 minutes with 1 minute hands-on-time and 100% antibody recovery: available for fluorescent dyes, HRP, biotin and gold.

Compatibility
This product is compatible with the Maxpar® Antibody Labeling Kit from Fluidigm, without the need for antibody preparation. Maxpar® is a trademark of Fluidigm Canada Inc.

Properties and storage information

Form
Liquid
Purification technique
Affinity purification Protein A
Storage buffer
pH: 7.2 - 7.4 Constituents: PBS
Shipped at conditions
Blue Ice
Appropriate short-term storage conditions
+4°C
Appropriate long-term storage conditions
+4°C
Storage information
Do Not Freeze

Supplementary information

This supplementary information is collated from multiple sources and compiled automatically.

CD16/CD32 also known as FcγRIII and FcγRII are types of Fc gamma receptors. CD16 refers to FcγRIII while CD32 refers to FcγRII. These proteins are involved in binding the Fc region of IgG antibodies. CD16 has a mass of about 50-65 kDa whereas CD32 varies around 40-45 kDa depending on its isoform. These receptors are expressed on the surface of various immune cells like natural killer cells macrophages monocytes and some T cells playing important roles in immune responses.
Biological function summary

CD16/CD32 are critical for mediating antibody-dependent cellular cytotoxicity (ADCC) and phagocytosis. These proteins do not generally form a part of a larger complex but interact directly with immunoglobulins. They enhance the ability of immune cells to clear pathogens and infected cells from the body. These receptors contribute to the activation of signaling pathways that promote the destruction of targets opsonized with antibodies thereby linking adaptive and innate immune responses.

Pathways

These receptors influence the immune signaling cascades such as the NF-kB and MAPK pathways. These pathways are important for inflammatory responses and cellular activation. CD16/CD32 interactions lead to pathways that involve downstream signaling molecules like Syk and PI3K. This allows for immune modulation and assists in communicating between different types of immune responses orchestrating a coordinated attack against pathogens.

CD16/CD32 have been connected to autoimmune diseases and certain cancers. These receptors are implicated in disorders like rheumatoid arthritis where their function can become dysregulated contributing to chronic inflammation. In cancers CD16 is important for mediating immune cell interactions in therapies that use antibodies to target cancerous cells. CD32's expression also links to conditions like systemic lupus erythematosus where altered receptor function impacts disease progression often interacting with proteins involved in immune regulation.

Product protocols

For this product, it's our understanding that no specific protocols are required. You can visit:

Target data

Receptor for the Fc region of complexed immunoglobulins gamma. Low affinity receptor which binds to IgG1, IgG2a and IgG2b (PubMed : 17558411). Mediates neutrophil activation by IgG complexes redundantly with Fcgr4 (PubMed : 18097064).
See full target information Fcgr3

Additional targets

Fcgr2

Publications (1)

Recent publications for all applications. Explore the full list and refine your search

ESC heart failure 11:1205-1217 PubMed38288506

2024

CircRbms1 fosters MST1 mRNA and protein levels to motivate myocardial ischaemia-reperfusion injury via autophagic status.

Applications

Unspecified application

Species

Unspecified reactive species

Qin Liu,Guorong Lai,Yanhui Hu,Fan Yang,Chao Zhang,Dongsheng Le,Fumou Deng,Xianliang Xing,Binquan Tang,Huanhuan Jie,Yingping Liang,Enjun Lei
View all publications

Product promise

We are committed to supporting your work with high-quality reagents, and we're here for you every step of the way. In the unlikely event that one of our products does not perform as expected, you're protected by our Product Promise.
For full details, please see our Terms & Conditions

Please note: All products are 'FOR RESEARCH USE ONLY. NOT FOR USE IN DIAGNOSTIC OR THERAPEUTIC PROCEDURES'.

For licensing inquiries, please contact partnerships@abcam.com