JavaScript is disabled in your browser. Please enable JavaScript to view this website.
AB202845

Anti-CD160 antibody

Be the first to review this product! Submit a review

|

(5 Publications)

Rabbit Polyclonal CD160 antibody. Suitable for WB, IHC-P and reacts with Rat, Human samples. Cited in 5 publications. Immunogen corresponding to Synthetic Peptide within Human CD160 aa 50-150 conjugated to Keyhole Limpet Haemocyanin.

View Alternative Names

CD160, BY55, CD160 antigen, Natural killer cell receptor BY55

3 Images
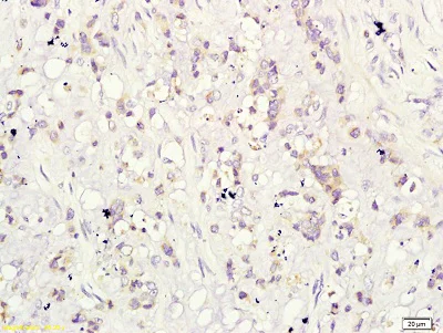
Immunohistochemistry (Formalin/PFA-fixed paraffin-embedded sections) - Anti-CD160 antibody (AB202845)
  • IHC-P

Supplier Data

Immunohistochemistry (Formalin/PFA-fixed paraffin-embedded sections) - Anti-CD160 antibody (AB202845)

Immunohistochemical analysis of formalin-fixed paraffin-embedded Human cervical carcinoma tissue labeling CD160 with ab202845 at 1/200 dilution, followed by conjugation to the secondary antibody and DAB staining.

Immunohistochemistry (Formalin/PFA-fixed paraffin-embedded sections) - Anti-CD160 antibody (AB202845)
  • IHC-P

Supplier Data

Immunohistochemistry (Formalin/PFA-fixed paraffin-embedded sections) - Anti-CD160 antibody (AB202845)

Immunohistochemical analysis of formalin-fixed paraffin-embedded Rat brain tissue labeling CD160 with ab202845 at 1/200 dilution followed by conjugation to the secondary antibody and DAB staining.

Western blot - Anti-CD160 antibody (AB202845)
  • WB

Supplier Data

Western blot - Anti-CD160 antibody (AB202845)

12% Gel.

All lanes:

Western blot - Anti-CD160 antibody (ab202845) at 1/200 dilution

Lane 1:

Rat brain tissue lysate

Lane 2:

Rat kidney tissue lysate

Secondary

All lanes:

Goat Anti-Rabbit IgG Antibody (H+L), HRP Conjugated at 1/3000 dilution

Predicted band size: 20 kDa

Observed band size: 27 kDa

false

Key facts

Host species

Rabbit

Clonality

Polyclonal

Isotype

IgG

Carrier free

No

Reacts with

Rat, Human

Applications

IHC-P, WB

applications

Immunogen

Synthetic Peptide within Human CD160 aa 50-150 conjugated to Keyhole Limpet Haemocyanin. The exact immunogen used to generate this antibody is proprietary information.

O95971

Reactivity data

{ "title": "Reactivity Data", "filters": { "stats": ["", "Species", "Dilution Info", "Notes"], "tabs": { "all-applications": {"fullname" : "All Applications", "shortname": "All Applications"}, "WB" : {"fullname" : "Western blot", "shortname":"WB"}, "IHCP" : {"fullname" : "Immunohistochemistry (Formalin/PFA-fixed paraffin-embedded sections)", "shortname":"IHC-P"} }, "product-promise": { "all": "all", "testedAndGuaranteed": "tested", "guaranteed": "expected", "predicted": "predicted", "notRecommended": "not-recommended" } }, "values": { "Human": { "WB-species-checked": "guaranteed", "WB-species-dilution-info": "", "WB-species-notes": "", "IHCP-species-checked": "testedAndGuaranteed", "IHCP-species-dilution-info": "1/100 - 1/500", "IHCP-species-notes": "<p></p>" }, "Rat": { "WB-species-checked": "testedAndGuaranteed", "WB-species-dilution-info": "1/200", "WB-species-notes": "<p></p>", "IHCP-species-checked": "testedAndGuaranteed", "IHCP-species-dilution-info": "1/100 - 1/500", "IHCP-species-notes": "<p></p>" } } }

Properties and storage information

Form
Liquid
Purification technique
Affinity purification Protein A
Storage buffer
pH: 7.4 Preservative: 0.02% Proclin 300 Constituents: 50% Glycerol (glycerin, glycerine), 48.98% TBS, 1X, 1% BSA
Shipped at conditions
Blue Ice
Appropriate short-term storage duration
1-2 weeks
Appropriate short-term storage conditions
+4°C
Appropriate long-term storage conditions
-20°C
Aliquoting information
Upon delivery aliquot
Storage information
Avoid freeze / thaw cycle

Supplementary information

This supplementary information is collated from multiple sources and compiled automatically.

CD160 also known as BY55 is a glycosylphosphatidylinositol (GPI)-anchored protein with a molecular weight of approximately 27 kDa. This protein is expressed on the surface of natural killer (NK) cells CD8+ T cells and certain NKT cells. It functions as a receptor for MHC class I molecules and HLA-C playing a role in regulating immune responses. Researchers have also identified its expression in some endothelial cells.
Biological function summary

The protein CD160 plays a role in immune modulation by interacting with major histocompatibility complex (MHC) class I ligands. It participates in the immune response by enhancing cytotoxic activity in NK and CD8+ T cells therefore influencing cell-mediated immunity. CD160 does not associate with large signal transduction complexes but operates as a standalone receptor capable of mediating cellular effects upon ligand binding. Although primarily known for its role in immune modulation CD160 can impact endothelial functions suggesting a broader biological significance.

Pathways

CD160 engages in the pathway associated with immune cell signaling. It operates within the natural killer cell signaling cascade contributing to the regulation of cell-mediated cytotoxicity. In the context of adaptive immunity CD160 influences the T cell receptor signaling pathway indirectly coordinating its actions with proteins such as NKG2D and PD-1. These interactions are important in how immune cells assess threats and modulate responses.

CD160 has implications in chronic inflammatory and autoimmune conditions. It is linked to disorders such as inflammatory bowel disease and psoriasis where immune regulation is disrupted. Its interaction with other proteins such as PD-1 may either exacerbate or alleviate symptoms depending on the pathological context. Understanding CD160's role provides insights into therapeutic strategies aimed at modulating immune responses in these conditions.

Product protocols

For this product, it's our understanding that no specific protocols are required. You can visit:

Target data

CD160 antigen. Receptor on immune cells capable to deliver stimulatory or inhibitory signals that regulate cell activation and differentiation. Exists as a GPI-anchored and as a transmembrane form, each likely initiating distinct signaling pathways via phosphoinositol 3-kinase in activated NK cells and via LCK and CD247/CD3 zeta chain in activated T cells (PubMed : 11978774, PubMed : 17307798, PubMed : 19109136). Receptor for both classical and non-classical MHC class I molecules (PubMed : 12486241, PubMed : 9973372). In the context of acute viral infection, recognizes HLA-C and triggers NK cell cytotoxic activity, likely playing a role in anti-viral innate immune response (PubMed : 12486241). On CD8+ T cells, binds HLA-A2-B2M in complex with a viral peptide and provides a costimulatory signal to activated/memory T cells (PubMed : 9973372). Upon persistent antigen stimulation, such as occurs during chronic viral infection, may progressively inhibit TCR signaling in memory CD8+ T cells, contributing to T cell exhaustion (PubMed : 25255144). On endothelial cells, recognizes HLA-G and controls angiogenesis in immune privileged sites (PubMed : 16809620). Receptor or ligand for TNF superfamily member TNFRSF14, participating in bidirectional cell-cell contact signaling between antigen presenting cells and lymphocytes. Upon ligation of TNFRSF14, provides stimulatory signal to NK cells enhancing IFNG production and anti-tumor immune response (By similarity). On activated CD4+ T cells, interacts with TNFRSF14 and down-regulates CD28 costimulatory signaling, restricting memory and alloantigen-specific immune response (PubMed : 18193050). In the context of bacterial infection, acts as a ligand for TNFRSF14 on epithelial cells, triggering the production of antimicrobial proteins and pro-inflammatory cytokines (By similarity).. CD160 antigen, soluble form. The soluble GPI-cleaved form, usually released by activated lymphocytes, might play an immune regulatory role by limiting lymphocyte effector functions.
See full target information CD160

Publications (5)

Recent publications for all applications. Explore the full list and refine your search

Oxidative medicine and cellular longevity 2021:8899274 PubMed34007409

2021

Proteomic Analysis Revealed the Characteristics of Key Proteins Involved in the Regulation of Inflammatory Response, Leukocyte Transendothelial Migration, Phagocytosis, and Immune Process during Early Lung Blast Injury.

Applications

Unspecified application

Species

Unspecified reactive species

Yunen Liu,Changci Tong,Peifang Cong,Ying Liu,Xiuyun Shi,Lin Shi,Shun Mao,Yan Zhao,Hongxu Jin,Mingxiao Hou

Oncology letters 20:235-247 PubMed32565950

2020

lncRNA-CD160 decreases the immunity of CD8 T cells through epigenetic mechanisms in hepatitis B virus infection.

Applications

Unspecified application

Species

Unspecified reactive species

Jiansong Wu,Qiang Niu,Jie Yuan,Xiaodan Xu,Liuxia Cao

Nature medicine 25:1243-1250 PubMed31332390

2019

A case report of clonal EBV-like memory CD4 T cell activation in fatal checkpoint inhibitor-induced encephalitis.

Applications

Unspecified application

Species

Unspecified reactive species

Douglas B Johnson,Wyatt J McDonnell,Paula I Gonzalez-Ericsson,Rami N Al-Rohil,Bret C Mobley,Joe-Elie Salem,Daniel Y Wang,Violeta Sanchez,Yu Wang,Cody A Chastain,Kristi Barker,Yan Liang,Sarah Warren,Joseph M Beechem,Alexander M Menzies,Martin Tio,Georgina V Long,Justine V Cohen,Amanda C Guidon,Méabh O'Hare,Sunandana Chandra,Akansha Chowdhary,Bénédicte Lebrun-Vignes,Simone M Goldinger,Elisabeth J Rushing,Elizabeth I Buchbinder,Simon A Mallal,Chanjuan Shi,Yaomin Xu,Javid J Moslehi,Melinda E Sanders,Jeffrey A Sosman,Justin M Balko

The Journal of experimental medicine 216:1733-1748 PubMed31189656

2019

CXCR4 regulates development in mouse and human hepatocytes.

Applications

Unspecified application

Species

Unspecified reactive species

Hironori Bando,Ariel Pradipta,Shiroh Iwanaga,Toru Okamoto,Daisuke Okuzaki,Shun Tanaka,Joel Vega-Rodríguez,Youngae Lee,Ji Su Ma,Naoya Sakaguchi,Akira Soga,Shinya Fukumoto,Miwa Sasai,Yoshiharu Matsuura,Masao Yuda,Marcelo Jacobs-Lorena,Masahiro Yamamoto

Cancer research 78:6581-6593 PubMed30232222

2018

Reduced CD160 Expression Contributes to Impaired NK-cell Function and Poor Clinical Outcomes in Patients with HCC.

Applications

Unspecified application

Species

Unspecified reactive species

Haoyu Sun,Jing Xu,Qiang Huang,Mei Huang,Kun Li,Kun Qu,Hao Wen,Renyong Lin,Meijuan Zheng,Haiming Wei,Weihua Xiao,Rui Sun,Zhigang Tian,Cheng Sun
View all publications

Product promise

We are committed to supporting your work with high-quality reagents, and we're here for you every step of the way. In the unlikely event that one of our products does not perform as expected, you're protected by our Product Promise.
For full details, please see our Terms & Conditions

Please note: All products are 'FOR RESEARCH USE ONLY. NOT FOR USE IN DIAGNOSTIC OR THERAPEUTIC PROCEDURES'.

For licensing inquiries, please contact partnerships@abcam.com