JavaScript is disabled in your browser. Please enable JavaScript to view this website.
AB302565

Anti-CD161 antibody [EPR26340-6] (BSA and Azide free)

  • BOND RX™ Validated
  • RabMAb
  • Advanced Validation
  • Recombinant
  • What is this?

5

(2 Reviews)

|

(0 Publication)

Rabbit Recombinant Monoclonal KLRB1 antibody. Carrier free. Suitable for ICC/IF, IHC-P, mIHC, Flow Cyt and reacts with Human samples.

View Alternative Names

CD161, CLEC5B, NKRP1A, KLRB1, Killer cell lectin-like receptor subfamily B member 1, C-type lectin domain family 5 member B, HNKR-P1a, Natural killer cell surface protein P1A, NKR-P1A

9 Images
Multiplex immunohistochemistry - Anti-CD161 antibody [EPR26340-6] (BSA and Azide free) (AB302565)
  • mIHC

Supplier Data

Multiplex immunohistochemistry - Anti-CD161 antibody [EPR26340-6] (BSA and Azide free) (AB302565)

This data was developed using ab302564, the same antibody clone in a different buffer formulation.

Multiplex immunohistochemical analysis of formalin/PFA-fixed paraffin-embedded sections of human NK-T lymphoma tissue labeling CD-161 with ab302564 at 1 : 100 dilution (4.96 μg/mL) colored in red (Opal™570, red). Panel A : merged staining of anti-CD3 (ab16669, grey; Opal™690), anti-CD161(ab302564, red; Opal™570) and anti-NKG2A (ab260035, green; Opal™520) on human NK-T lymphoma. Panel B : anti-CD161 staining only. ab302564 (Opal™ 570, Red) at 1/100 dilution (4.96 µg/mL) Panel C : anti-NKG2A staining only. ; ab260035, (Opal™ 520, Green) NKG2A at 1/2000 dilution (0.283 µg/mL) Panel D : anti-CD3 staining only. CD3 staining only; ab16669 (Opal™ 690, Gray) at 1/2000 dilution (0.0675 µg/mL) The section was incubated in three rounds of staining : in the order of ab16669 for 30 mins, ab302564 for 30 mins and ab260035 for 30 mins at room temperature. Each round was followed by a separate fluorescent tyramide signal amplification system. Nuclear stained with DAPI. Heat mediated antigen retrieval with Tris-EDTA buffer (pH 9.0, epitope retrieval solution2) for 20 mins was used. The immunostaining was performed on a Leica Biosystems BOND® RX instrument with an Opal™ 4-color kit. Image acquisition was performed with Leica SP8 confocal microscope.

Immunohistochemistry (Formalin/PFA-fixed paraffin-embedded sections) - Anti-CD161 antibody [EPR26340-6] (BSA and Azide free) (AB302565)
  • IHC-P

Supplier Data

Immunohistochemistry (Formalin/PFA-fixed paraffin-embedded sections) - Anti-CD161 antibody [EPR26340-6] (BSA and Azide free) (AB302565)

This data was developed using ab302564, the same antibody clone in a different buffer formulation. Immunohistochemical analysis of paraffin-embedded Human skeletal muscl tissue labeling CD161 with ab302564 at 1/100 (4.96 ug/ml) followed by a ready to use LeicaDS9800 (Bond™ Polymer Refine Detection) was used. Negative control : no staining on human skeletal muscle. The section was incubated with ab302564 for 30 mins at room temperature.The immunostaining was performed on a Leica Biosystems BOND® RX instrument Counterstained with Hematoxylin. Secondary antibody only control : Secondary antibody is a ready to use LeicaDS9800 (Bond™ Polymer Refine Detection) was used. Heat mediated antigen retrieval with Tris-EDTA buffer (pH 9.0, epitope retrieval solution2) for 20 mins

Immunohistochemistry (Formalin/PFA-fixed paraffin-embedded sections) - Anti-CD161 antibody [EPR26340-6] (BSA and Azide free) (AB302565)
  • IHC-P

Supplier Data

Immunohistochemistry (Formalin/PFA-fixed paraffin-embedded sections) - Anti-CD161 antibody [EPR26340-6] (BSA and Azide free) (AB302565)

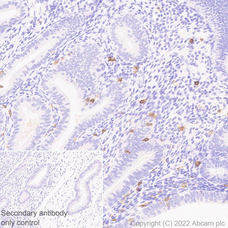
This data was developed using ab302564, the same antibody clone in a different buffer formulation. Immunohistochemical analysis of paraffin-embedded Human endometrium tissue labeling CD161 with ab302564 at 1/100 (4.96 ug/ml) followed by a ready to use LeicaDS9800 (Bond™ Polymer Refine Detection) was used. Positive staining on immune cells of human endometrium. The section was incubated with ab302564 for 30 mins at room temperature.The immunostaining was performed on a Leica Biosystems BOND® RX instrument Counterstained with Hematoxylin. Secondary antibody only control : Secondary antibody is a ready to use LeicaDS9800 (Bond™ Polymer Refine Detection) was used. Heat mediated antigen retrieval with Tris-EDTA buffer (pH 9.0, epitope retrieval solution2) for 20 mins

Immunohistochemistry (Formalin/PFA-fixed paraffin-embedded sections) - Anti-CD161 antibody [EPR26340-6] (BSA and Azide free) (AB302565)
  • IHC-P

Supplier Data

Immunohistochemistry (Formalin/PFA-fixed paraffin-embedded sections) - Anti-CD161 antibody [EPR26340-6] (BSA and Azide free) (AB302565)

This data was developed using ab302564, the same antibody clone in a different buffer formulation. Immunohistochemical analysis of paraffin-embedded Human spleen tissue labeling CD161 with ab302564 at 1/100 (4.96 ug/ml) followed by a ready to use LeicaDS9800 (Bond™ Polymer Refine Detection) was used. Positive staining on human spleen. The section was incubated with ab302564 for 30 mins at room temperature.The immunostaining was performed on a Leica Biosystems BOND® RX instrument Counterstained with Hematoxylin. Secondary antibody only control : Secondary antibody is a ready to use LeicaDS9800 (Bond™ Polymer Refine Detection) was used. Heat mediated antigen retrieval with Tris-EDTA buffer (pH 9.0, epitope retrieval solution2) for 20 mins

Immunohistochemistry (Formalin/PFA-fixed paraffin-embedded sections) - Anti-CD161 antibody [EPR26340-6] (BSA and Azide free) (AB302565)
  • IHC-P

Supplier Data

Immunohistochemistry (Formalin/PFA-fixed paraffin-embedded sections) - Anti-CD161 antibody [EPR26340-6] (BSA and Azide free) (AB302565)

This data was developed using ab302564, the same antibody clone in a different buffer formulation. Immunohistochemical analysis of paraffin-embedded (A) HEK-293T ((human tissue labeling CD161 with ab302564 at 1/100 (4.96 ug/ml) followed by a ready to use LeicaDS9800 (Bond™ Polymer Refine Detection) was used. Positive staining on (A) HEK-293T transfected with a Myc-His tagged CD161 construct, no staining on (B) HEK-293T transfected with empty plasmid. The section was incubated with ab302564 for 30 mins at room temperature.The immunostaining was performed on a Leica Biosystems BOND® RX instrument Counterstained with Hematoxylin. Secondary antibody only control : Secondary antibody is a ready to use LeicaDS9800 (Bond™ Polymer Refine Detection) was used. Heat mediated antigen retrieval with Tris-EDTA buffer (pH 9.0, epitope retrieval solution2) for 20 mins

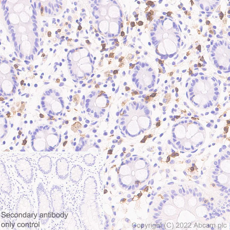
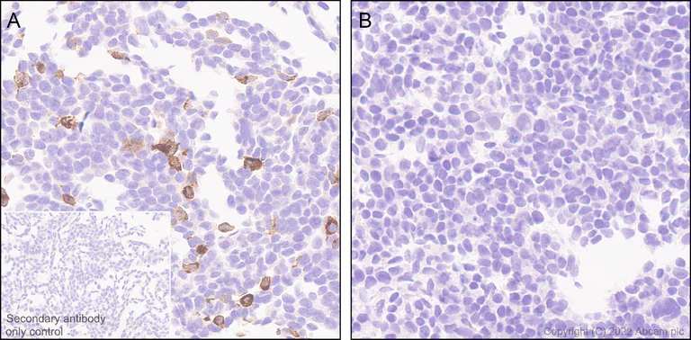
Immunohistochemistry (Formalin/PFA-fixed paraffin-embedded sections) - Anti-CD161 antibody [EPR26340-6] (BSA and Azide free) (AB302565)
  • IHC-P

Supplier Data

Immunohistochemistry (Formalin/PFA-fixed paraffin-embedded sections) - Anti-CD161 antibody [EPR26340-6] (BSA and Azide free) (AB302565)

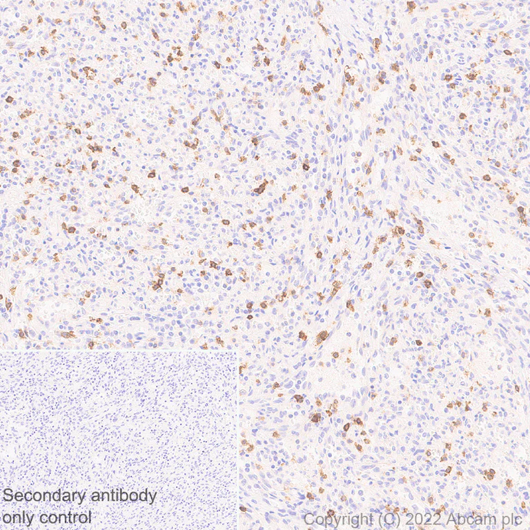
This data was developed using ab302564, the same antibody clone in a different buffer formulation. Immunohistochemical analysis of paraffin-embedded human colon tissue labeling CD161 with ab302564 at 1/100 dilution (4.96 µg/mL) followed by a ready to use Leica DS9800 (BOND™ Polymer Refine Detection kit). Positive staining on immune cells of human colon. The section was incubated with ab302564 for 30 mins at room temperature. The immunostaining was performed on a Leica Biosystems BOND® RX instrument. Counterstained with Hematoxylin. Secondary antibody only control : Secondary antibody is a ready to use Leica DS9800 (BOND™ Polymer Refine Detection kit). Heat mediated antigen retrieval with Tris-EDTA buffer (pH 9.0, epitope retrieval solution 2) for 20 mins was used.

Immunocytochemistry/ Immunofluorescence - Anti-CD161 antibody [EPR26340-6] (BSA and Azide free) (AB302565)
  • ICC/IF

Supplier Data

Immunocytochemistry/ Immunofluorescence - Anti-CD161 antibody [EPR26340-6] (BSA and Azide free) (AB302565)

This data was developed using ab302564, the same antibody clone in a different buffer formulation. Immunofluorescent analysis of 4% Paraformaldehyde-fixed, 0.1% TritonX-100 permeabilized Human PBMC (human peripheral blood mononuclear cell) cells labelling CD161 with ab302564 at 1/50 (9.92 ug/ml) dilution, followed by ab150081 Goat Anti-Rabbit IgG H&L (Alexa Fluor® 488) preadsorbed antibody at 1/1000 2 ug/mL dilution (Green). Confocal image showing membrane and cytoplasmic staining in subsets of human PBMC. is observed. ab195889 Anti-alpha Tubulin mouse monoclonal antibody - Microtubule Marker (Alexa Fluor® 594) was used to counterstain tubulin at 1/200 2.5ug/ml dilution (Red). The Nuclear counterstain was DAPI (Blue). Secondary antibody only control : Secondary antibody is ab150081 Goat Anti-Rabbit IgG H&L (Alexa Fluor® 488) preadsorbed at 1/1000 2 ug/mL dilution.

Flow Cytometry - Anti-CD161 antibody [EPR26340-6] (BSA and Azide free) (AB302565)
  • Flow Cyt

Supplier Data

Flow Cytometry - Anti-CD161 antibody [EPR26340-6] (BSA and Azide free) (AB302565)

This data was developed using ab302564, the same antibody clone in a different buffer formulation.

Flow cytometric analysis of Human PBMC (human peripheral blood mononuclear cell) cells labelling CD161 with ab302564 at 1/500 dilution (0.1ug)/ Right compared with a Rabbit monoclonal IgG (ab172730) / Left isotype control and an unlabelled control (cells without incubation with primary antibody and secondary antibody) (Blue). Goat Anti-Rabbit IgG (Alexa Fluor® 488, ab150081) at 1/2000 dilution was used as the secondary antibody. Negative control : B lymphocytes (CD19+). Gated on viable cells.

Flow Cytometry - Anti-CD161 antibody [EPR26340-6] (BSA and Azide free) (AB302565)
  • Flow Cyt

Supplier Data

Flow Cytometry - Anti-CD161 antibody [EPR26340-6] (BSA and Azide free) (AB302565)

This data was developed using ab302564, the same antibody clone in a different buffer formulation. Flow cytometric analysis of Human PBMC (human peripheral blood mononuclear cell) cells labelling CD161 with ab302564 at 1/500 dilution (0.1ug)/ Right compared with a Rabbit monoclonal IgG (ab172730) / Left isotype control and an unlabelled control (cells without incubation with primary antibody and secondary antibody) (Blue). Goat Anti-Rabbit IgG (Alexa Fluor® 488, ab150081) at 1/2000 dilution was used as the secondary antibody. Cells were co-stained with anti-CD4 conjugated to APC/Fire™ 750. Gated on viable cells.

Key facts

Host species

Rabbit

Clonality

Monoclonal

Clone number

EPR26340-6

Isotype

IgG

Carrier free

Yes

Reacts with

Human

Applications

mIHC, IHC-P, Flow Cyt, ICC/IF

applications

Immunogen

The exact immunogen used to generate this antibody is proprietary information.

Reactivity data

{ "title": "Reactivity Data", "filters": { "stats": ["", "Species", "Dilution Info", "Notes"], "tabs": { "all-applications": {"fullname" : "All Applications", "shortname": "All Applications"}, "ICCIF" : {"fullname" : "Immunocytochemistry/ Immunofluorescence", "shortname":"ICC/IF"}, "WB" : {"fullname" : "Western blot", "shortname":"WB"}, "IHCP" : {"fullname" : "Immunohistochemistry (Formalin/PFA-fixed paraffin-embedded sections)", "shortname":"IHC-P"}, "mIHC" : {"fullname" : "Multiplex immunohistochemistry", "shortname":"mIHC"}, "FlowCyt" : {"fullname" : "Flow Cytometry", "shortname":"Flow Cyt"}, "IP" : {"fullname" : "Immunoprecipitation", "shortname":"IP"} }, "product-promise": { "all": "all", "testedAndGuaranteed": "tested", "guaranteed": "expected", "predicted": "predicted", "notRecommended": "not-recommended" } }, "values": { "Human": { "ICCIF-species-checked": "testedAndGuaranteed", "ICCIF-species-dilution-info": "", "ICCIF-species-notes": "<p></p>", "WB-species-checked": "notRecommended", "WB-species-dilution-info": "", "WB-species-notes": "<p></p>", "IHCP-species-checked": "testedAndGuaranteed", "IHCP-species-dilution-info": "", "IHCP-species-notes": "<p></p>", "mIHC-species-checked": "testedAndGuaranteed", "mIHC-species-dilution-info": "", "mIHC-species-notes": "<p></p>", "FlowCyt-species-checked": "testedAndGuaranteed", "FlowCyt-species-dilution-info": "", "FlowCyt-species-notes": "<p></p>", "IP-species-checked": "notRecommended", "IP-species-dilution-info": "", "IP-species-notes": "<p></p>" }, "Mouse": { "ICCIF-species-checked": "notRecommended", "ICCIF-species-dilution-info": "", "ICCIF-species-notes": "<p></p>", "WB-species-checked": "notRecommended", "WB-species-dilution-info": "", "WB-species-notes": "", "IHCP-species-checked": "notRecommended", "IHCP-species-dilution-info": "", "IHCP-species-notes": "<p></p>", "mIHC-species-checked": "notRecommended", "mIHC-species-dilution-info": "", "mIHC-species-notes": "<p></p>", "FlowCyt-species-checked": "notRecommended", "FlowCyt-species-dilution-info": "", "FlowCyt-species-notes": "", "IP-species-checked": "notRecommended", "IP-species-dilution-info": "", "IP-species-notes": "" }, "Rat": { "ICCIF-species-checked": "notRecommended", "ICCIF-species-dilution-info": "", "ICCIF-species-notes": "", "WB-species-checked": "notRecommended", "WB-species-dilution-info": "", "WB-species-notes": "", "IHCP-species-checked": "notRecommended", "IHCP-species-dilution-info": "", "IHCP-species-notes": "<p></p>", "mIHC-species-checked": "notRecommended", "mIHC-species-dilution-info": "", "mIHC-species-notes": "<p></p>", "FlowCyt-species-checked": "notRecommended", "FlowCyt-species-dilution-info": "", "FlowCyt-species-notes": "", "IP-species-checked": "notRecommended", "IP-species-dilution-info": "", "IP-species-notes": "" } } }

Product details

Want a custom formulation?
This antibody clone is manufactured by Abcam. If you require a custom buffer formulation or conjugation for your experiments, please contact orders@abcam.com

Patented technology
Our RabMAb® technology is a patented hybridoma-based technology for making rabbit monoclonal antibodies. For details on our patents, please refer to RabMAb® patents.

What are the advantages of a recombinant monoclonal antibody?
This product is a recombinant monoclonal antibody, which offers several advantages including:

  • - High batch-to-batch consistency and reproducibility
  • - Improved sensitivity and specificity
  • - Long-term security of supply
  • - Animal-free batch production

For more information, read more on recombinant antibodies.

Conjugation ready
Our carrier-free antibodies are typically supplied in a PBS-only formulation, purified and free of BSA, sodium azide and glycerol. This conjugation-ready format is designed for use with fluorochromes, metal isotopes, oligonucleotides, and enzymes, which makes them ideal for antibody labelling, functional and cell-based assays, flow-based assays (e.g. mass cytometry) and Multiplex Imaging applications.

Use our conjugation kits for antibody conjugates that are ready-to-use in as little as 20 minutes with 1 minute hands-on-time and 100% antibody recovery: available for fluorescent dyes, HRP, biotin and gold.

Properties and storage information

Form
Liquid
Purification technique
Affinity purification Protein A
Storage buffer
pH: 7.2 - 7.4 Constituents: PBS
Shipped at conditions
Blue Ice
Appropriate short-term storage conditions
+4°C
Appropriate long-term storage conditions
+4°C

Supplementary information

This supplementary information is collated from multiple sources and compiled automatically.

CD161 also known as NKRP1A or KLRB1 is a type II transmembrane protein expressed primarily on natural killer (NK) cells and subsets of T cells. Weighing approximately 30-40 kDa CD161 functions as a C-type lectin receptor involved in the immune response. Its expression can be detected in various tissues including the liver and spleen. Researchers utilize tools such as mouse CD161 PE as well as CD161 APC antibodies for study of its cell surface expression and role in immune modulation.
Biological function summary

CD161 plays a role in immune system regulation by mediating NK cell and T cell activity. It does not operate as part of a complex but interacts with other cellular receptors to modulate immune responses. For example it serves as an inhibitory receptor often through engagement with its ligand LLT1 to temper immune responses and prevent overactivation. This balance is key to maintaining immune homeostasis and facilitates pathogen clearance while avoiding excessive tissue damage.

Pathways

CD161 is involved in the immune checkpoint pathways and is linked to inflammatory response signaling. These pathways play an important role in the immune system's ability to discern self from non-self determining the intensity and character of the body's defense mechanisms. Other proteins such as CTLA-4 and PD-1 also function within these pathways contributing to the regulation of immune cell activity and preventing autoimmunity.

CD161 is associated with inflammatory diseases and cancer. Its involvement in immune checkpoints implicates it in conditions such as autoimmune diseases where it may fail to properly regulate immune activity including multiple sclerosis. In cancer CD161 expression on T cells has been examined in the context of its inhibitory role potentially modulating the immune system's ability to target tumor cells effectively. In these scenarios its interaction with LLT1 and other immune checkpoint proteins influences the disease course and therapeutic outcomes.

Product protocols

For this product, it's our understanding that no specific protocols are required. You can visit:

Target data

Plays an inhibitory role on natural killer (NK) cells cytotoxicity. Activation results in specific acid sphingomyelinase/SMPD1 stimulation with subsequent marked elevation of intracellular ceramide. Activation also leads to AKT1/PKB and RPS6KA1/RSK1 kinases stimulation as well as markedly enhanced T-cell proliferation induced by anti-CD3. Acts as a lectin that binds to the terminal carbohydrate Gal-alpha(1,3)Gal epitope as well as to the N-acetyllactosamine epitope. Binds also to CLEC2D/LLT1 as a ligand and inhibits NK cell-mediated cytotoxicity as well as interferon-gamma secretion in target cells.
See full target information KLRB1

Product promise

We are committed to supporting your work with high-quality reagents, and we're here for you every step of the way. In the unlikely event that one of our products does not perform as expected, you're protected by our Product Promise.
For full details, please see our Terms & Conditions

Please note: All products are 'FOR RESEARCH USE ONLY. NOT FOR USE IN DIAGNOSTIC OR THERAPEUTIC PROCEDURES'.

For licensing inquiries, please contact partnerships@abcam.com