JavaScript is disabled in your browser. Please enable JavaScript to view this website.
AB188571

Anti-CD163 antibody [EPR14643] - C-terminal

Be the first to review this product! Submit a review

|

(6 Publications)

Rabbit Recombinant Monoclonal CD163 antibody. C-terminal. Suitable for WB, IHC-P and reacts with Human samples. Cited in 6 publications.

View Alternative Names

CD163, M130, Scavenger receptor cysteine-rich type 1 protein M130, Hemoglobin scavenger receptor

3 Images
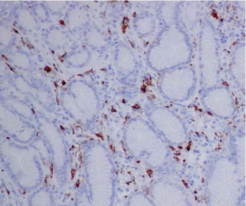
Immunohistochemistry (Formalin/PFA-fixed paraffin-embedded sections) - Anti-CD163 antibody [EPR14643] - C-terminal (AB188571)
  • IHC-P

Supplier Data

Immunohistochemistry (Formalin/PFA-fixed paraffin-embedded sections) - Anti-CD163 antibody [EPR14643] - C-terminal (AB188571)

Immunohistochemical analysis of paraffin-embedded Human stomach tissue labeling CD163 with ab188571 at 1/500 with prediluted ImmunoHistoprobe(Ready to use) HRP Polymer for Rabbit IgG as secondary antibody.

Perform heat mediated antigen retrieval with Tris/EDTA buffer pH 9.0 before commencing with IHC staining protocol.

Immunohistochemistry (Formalin/PFA-fixed paraffin-embedded sections) - Anti-CD163 antibody [EPR14643] - C-terminal (AB188571)
  • IHC-P

Supplier Data

Immunohistochemistry (Formalin/PFA-fixed paraffin-embedded sections) - Anti-CD163 antibody [EPR14643] - C-terminal (AB188571)

Immunohistochemical analysis of paraffin-embedded Human liver tissue labeling CD163 with ab188571 at 1/500. A prediluted HRP Polymer for Rabbit IgG was use as the secondary antibody.

Perform heat mediated antigen retrieval with Tris/EDTA buffer pH 9.0 before commencing with IHC staining protocol.

Western blot - Anti-CD163 antibody [EPR14643] - C-terminal (AB188571)
  • WB

Supplier Data

Western blot - Anti-CD163 antibody [EPR14643] - C-terminal (AB188571)

All lanes:

Western blot - Anti-CD163 antibody [EPR14643] - C-terminal (ab188571) at 1/1000 dilution

Lane 1:

Human fetal liver lysate at 10 µg

Lane 2:

Human placenta lysate at 10 µg

Lane 3:

Human breast cancer lysate at 10 µg

Lane 4:

Human spleen lysate at 10 µg

Secondary

All lanes:

Anti-Rabbit IgG (HRP), specific to the non-reduced form of IgG at 1/500 dilution

Predicted band size: 125 kDa

Observed band size: 150 kDa

false

  • Carrier free

    Anti-CD163 antibody [EPR14643] - BSA and Azide free

Key facts

Host species

Rabbit

Clonality

Monoclonal

Clone number

EPR14643

Isotype

IgG

Carrier free

No

Reacts with

Human

Applications

WB, IHC-P

applications

Immunogen

The exact immunogen used to generate this antibody is proprietary information.

Reactivity data

{ "title": "Reactivity Data", "filters": { "stats": ["", "Species", "Dilution Info", "Notes"], "tabs": { "all-applications": {"fullname" : "All Applications", "shortname": "All Applications"}, "WB" : {"fullname" : "Western blot", "shortname":"WB"}, "IHCP" : {"fullname" : "Immunohistochemistry (Formalin/PFA-fixed paraffin-embedded sections)", "shortname":"IHC-P"} }, "product-promise": { "all": "all", "testedAndGuaranteed": "tested", "guaranteed": "expected", "predicted": "predicted", "notRecommended": "not-recommended" } }, "values": { "Human": { "WB-species-checked": "testedAndGuaranteed", "WB-species-dilution-info": "1/1000 - 1/2000", "WB-species-notes": "<p></p>", "IHCP-species-checked": "testedAndGuaranteed", "IHCP-species-dilution-info": "1/500", "IHCP-species-notes": "<p></p>" } } }

Product details

Patented technology
Our RabMAb® technology is a patented hybridoma-based technology for making rabbit monoclonal antibodies. For details on our patents, please refer to RabMAb® patents.

What are the advantages of a recombinant monoclonal antibody?
This product is a recombinant monoclonal antibody, which offers several advantages including:

  • - High batch-to-batch consistency and reproducibility
  • - Improved sensitivity and specificity
  • - Long-term security of supply
  • - Animal-free batch production

For more information, read more on recombinant antibodies.

Properties and storage information

Form
Liquid
Purification technique
Affinity purification Protein A
Storage buffer
pH: 7.2 - 7.4 Preservative: 0.01% Sodium azide Constituents: PBS, 40% Glycerol (glycerin, glycerine), 0.05% BSA
Shipped at conditions
Blue Ice
Appropriate short-term storage duration
1-2 weeks
Appropriate short-term storage conditions
+4°C
Appropriate long-term storage conditions
-20°C
Aliquoting information
Upon delivery aliquot
Storage information
Avoid freeze / thaw cycle

Supplementary information

This supplementary information is collated from multiple sources and compiled automatically.

CD163 known also as hemoglobin scavenger receptor is a membrane glycoprotein with a molecular weight of approximately 130 kDa. It is predominantly expressed by monocytes and macrophages which are types of immune cells. Located on the cell surface CD163 functions as a receptor that aids in the clearance of hemoglobin-haptoglobin complexes playing a critical role in maintaining iron homeostasis and protecting tissues from oxidative damage. CD163 is not limited to human cells only; researchers often study its function using animal models such as chimeric rodents and chimeric rats.
Biological function summary

CD163 participates in anti-inflammatory processes and is linked to immune modulation. It plays a pivotal role in the resolution of inflammation and promotes the removal of damaged cells and tissues. Through its involvement in the endocytic pathway CD163 interacts with various ligands facilitating interactions with other proteins. In the context of research CD163 functionality can be analyzed using techniques like CD163 IHC CD163 ELISA and CD163 stain in both human and mouse models.

Pathways

CD163 is integral to the inflammation and immune response pathways. It participates in the heme-oxygenase pathway which is essential in the breakdown of heme into biliverdin free iron and carbon monoxide. This pathway involvement is tightly linked with heme oxygenase-1 (HO-1) a cytoprotective enzyme that helps to mitigate inflammatory responses. The interaction with haptoglobin and related proteins provides further insight into its regulatory roles within the immune system.

CD163 is associated with conditions like atherosclerosis and acute inflammation disorders. Its elevated levels indicate macrophage activation observed in chronic inflammations such as cardiovascular diseases. In atherosclerosis CD163 expression correlates with the uptake of oxidized LDL connecting it to progression of the disease. Additionally soluble CD163 levels serve as a biomarker in conditions like chronic liver disease where it is linked to macrophage activation and fibrosis. Within these disorders proteins like LDL and inflammatory cytokines are closely associated with CD163 function and regulation.

Product protocols

For this product, it's our understanding that no specific protocols are required. You can visit:

Target data

Acute phase-regulated receptor involved in clearance and endocytosis of hemoglobin/haptoglobin complexes by macrophages and may thereby protect tissues from free hemoglobin-mediated oxidative damage. May play a role in the uptake and recycling of iron, via endocytosis of hemoglobin/haptoglobin and subsequent breakdown of heme. Binds hemoglobin/haptoglobin complexes in a calcium-dependent and pH-dependent manner. Exhibits a higher affinity for complexes of hemoglobin and multimeric haptoglobin of HP*1F phenotype than for complexes of hemoglobin and dimeric haptoglobin of HP*1S phenotype. Induces a cascade of intracellular signals that involves tyrosine kinase-dependent calcium mobilization, inositol triphosphate production and secretion of IL6 and CSF1. Isoform 3 exhibits the higher capacity for ligand endocytosis and the more pronounced surface expression when expressed in cells.. After shedding, the soluble form (sCD163) may play an anti-inflammatory role, and may be a valuable diagnostic parameter for monitoring macrophage activation in inflammatory conditions.
See full target information CD163

Publications (6)

Recent publications for all applications. Explore the full list and refine your search

Journal of microbiology and biotechnology 35:e2506035 PubMed41016815

2025

Functional Benefits of Low-Molecular-Weight Collagen Peptide in Achilles Tendon and Medial Collateral Ligament Injuries and Anterior Cruciate Ligament Transection-Induced Osteoarthritis.

Applications

Unspecified application

Species

Unspecified reactive species

Eunjung Choi,Myunghee Kim,Dae-Hyo Lee,Sehwan Shim,Do-Un Kim,Jeong-Min Hong,Hee-Chul Chung

Haematologica 110:1339-1350 PubMed39665214

2024

Characterization of tumor microenvironment and cell interaction patterns in testicular and diffuse large B-cell lymphomas.

Applications

Unspecified application

Species

Unspecified reactive species

Matias Autio,Oscar Brück,Marjukka Pollari,Marja-Liisa Karjalainen-Lindsberg,Klaus Beiske,Judit Mészaros Jørgensen,Harald Holte,Teijo Pellinen,Suvi-Katri Leivonen,Sirpa Leppä

European archives of oto-rhino-laryngology : official journal of the European Federation of Oto-Rhino-Laryngological Societies (EUFOS) : affiliated with the German Society for Oto-Rhino-Laryngology - Head and Neck Surgery 281:4201-4211 PubMed38758242

2024

Presence of herpesviruses, parvoviruses, and polyomaviruses in sinonasal lymphoma.

Applications

Unspecified application

Species

Unspecified reactive species

Maria K Jauhiainen,Ushanandini Mohanraj,Maria F Perdomo,Jaana Hagström,Caj Haglund,Antti A Mäkitie,Maria Söderlund-Venermo,Saku T Sinkkonen

Cancer research communications 2:172-181 PubMed36874403

2022

Stromal FAP Expression is Associated with MRI Visibility and Patient Survival in Prostate Cancer.

Applications

Unspecified application

Species

Unspecified reactive species

Teijo Pellinen,Kevin Sandeman,Sami Blom,Riku Turkki,Annabrita Hemmes,Katja Välimäki,Juho Eineluoto,Anu Kenttämies,Stig Nordling,Olli Kallioniemi,Antti Rannikko,Tuomas Mirtti

International journal of molecular sciences 22: PubMed34198548

2021

Targeting Glycolysis in Macrophages Confers Protection Against Pancreatic Ductal Adenocarcinoma.

Applications

Unspecified application

Species

Unspecified reactive species

Hweixian Leong Penny,Je Lin Sieow,Sin Yee Gun,Mai Chan Lau,Bernett Lee,Jasmine Tan,Cindy Phua,Florida Toh,Yvonne Nga,Wei Hseun Yeap,Baptiste Janela,Dilip Kumar,Hao Chen,Joe Yeong,Justin A Kenkel,Angela Pang,Diana Lim,Han Chong Toh,Tony Lim Kiat Hon,Christopher I Johnson,Hanif Javanmard Khameneh,Alessandra Mortellaro,Edgar G Engleman,Olaf Rotzschke,Florent Ginhoux,Jean-Pierre Abastado,Jinmiao Chen,Siew Cheng Wong

The American journal of surgical pathology 44:174-181 PubMed31651527

2019

PD-L1 Expression in Endometrial Carcinoma Cells and Intratumoral Immune Cells: Differences Across Histologic and TCGA-based Molecular Subgroups.

Applications

Unspecified application

Species

Unspecified reactive species

Annukka Pasanen,Terhi Ahvenainen,Teijo Pellinen,Pia Vahteristo,Mikko Loukovaara,Ralf Bützow
View all publications

Product promise

We are committed to supporting your work with high-quality reagents, and we're here for you every step of the way. In the unlikely event that one of our products does not perform as expected, you're protected by our Product Promise.
For full details, please see our Terms & Conditions

Please note: All products are 'FOR RESEARCH USE ONLY. NOT FOR USE IN DIAGNOSTIC OR THERAPEUTIC PROCEDURES'.

For licensing inquiries, please contact partnerships@abcam.com