JavaScript is disabled in your browser. Please enable JavaScript to view this website.
AB213612

Anti-CD163 antibody [EPR19518] - BSA and Azide free

  • BOND RX™ Validated
  • RabMAb
  • Advanced Validation
  • Recombinant
  • What is this?

Be the first to review this product! Submit a review

|

(10 Publications)

Anti-CD163 antibody [EPR19518] - BSA and Azide free (ab213612) is a rabbit recombinant monoclonal antibody in a PBS only buffer for easy conjugation detecting CD163 in Western Blot, Flow Cytometry, IHC-P, IHC-Fr, mIHC. Suitable for Human, Mouse, Rat.

- Clone EPR19518 is the most cited clone to CD163
- BSA, sodium azide, and glycerol-free for easy conjugation
- Multiplex IHC validated on the Leica BOND® MAX using Opal reagents
- Biophysical QC for unrivalled batch-batch consistency

View Alternative Names

CD163, M130, Scavenger receptor cysteine-rich type 1 protein M130, Hemoglobin scavenger receptor

22 Images
Multiplex immunohistochemistry - Anti-CD163 antibody [EPR19518] - BSA and Azide free (AB213612)
  • mIHC

Supplier Data

Multiplex immunohistochemistry - Anti-CD163 antibody [EPR19518] - BSA and Azide free (AB213612)

Fluorescence multiplex immunohistochemical analysis of human liver (formalin-fixed paraffin-embedded section). Panel A shows merged staining of anti-MASP2 stained on cytoplasm of hepatocytes (ab277520; gray; Opal™690) at 1 : 100 ( 5.22 μg/ml) [Panel B] , anti-CD163 stained on Kupffer cells (ab213612; green; Opal™520) at 1 : 8000 ( 0.13 μg/ml) [Panel C], and anti-eNOS tained on endothelial cells (ab252439; red; Opal™570) at 1 : 200 ( 3.005 μg/ml) [Panel D] on human liver. DAPI was used as a nuclear counter stain. Followed by Opal Polymer HRP Ms + Rb secondary. The immunostaining was performed on a Leica Biosystems BOND® RX instrument with an Opal™ 4-color kit. Image acquisition was performed with Leica SP8 confocal microscope. The section was incubated in three rounds of staining : in the order of ab277520, ab213612, and ab252439 for 30 mins at room temperature. Each round was followed by a separate fluorescent tyramide signal amplification system. Heat mediated antigen retrieval with Tris-EDTA buffer (pH 9.0, epitope retrieval solution2) for 20 mins was used.

Multiplex immunohistochemistry - Anti-CD163 antibody [EPR19518] - BSA and Azide free (AB213612)
  • mIHC

Supplier Data

Multiplex immunohistochemistry - Anti-CD163 antibody [EPR19518] - BSA and Azide free (AB213612)

Multiplex immunohistochemistry analysis of formalin/PFA-fixed paraffin-embedded human liver tissue staining eNOS with ab317582 at a 1 : 1000 (1.004 ug/ml) dilution, ab317582 anti-eNOS used at 1 : 500 (1.032 ug/ml) dilution and ab213612 anti-CD163 used at a 1 : 8000 (0.13 ug/ml) dilution.

Panel A : merged staining of anti-GLUT2 (magenta; Opal™690), anti-eNOS (green; Opal™520) and anti-CD163 (gray; Opal™570) on human liver.
Panel B : anti-GLUT2 staining membrane of hepatocytes in human liver.
Panel C : anti-eNOS staining endothelium in human liver.
Panel D : anti-CD163 staining Kupffer cells in human liver.
Nuclear DNA was labeled with DAPI (shown in blue).

The section was incubated in three rounds of staining : in the order of ab260003, ab317582 and ab213612 for 30 mins at room temperature. Each round was followed by a separate fluorescent tyramide signal amplification system.

The immunostaining was performed on a Leica Biosystems BOND® RX instrument with an Opal™ 4-color kit. Image acquisition was performed with Leica SP8 confocal microscope.

Nuclear counter stain with DAPI.

Heat mediated antigen retrieval with Tris-EDTA buffer (pH 9.0, epitope retrieval solution2) for 20 mins.

Immunohistochemistry (Formalin/PFA-fixed paraffin-embedded sections) - Anti-CD163 antibody [EPR19518] - BSA and Azide free (AB213612)
  • IHC-P

Lab

Immunohistochemistry (Formalin/PFA-fixed paraffin-embedded sections) - Anti-CD163 antibody [EPR19518] - BSA and Azide free (AB213612)

Tissue Microarrays stained for "Anti-CD163 antibody [EPR19518]" using "ab182422"in immunohistochemical analysis. This table provides a detailed overview of positive (tick mark) and negative (cross mark) staining per sample type tested. The sections were pre-treated using Heat mediated antigen retrieval using Bond™ Epitope Retrieval Solution 2 (pH 9.0) for 20 minutes. The sections were incubated with ab182422 for 30 mins at room temperature followed by a ready to use Rabbit specific IHC polymer detection kit HRP/DAB (ab209101). The immunostaining was performed on a Leica Biosystems BOND® RX instrument.

Multiplex immunohistochemistry - Anti-CD163 antibody [EPR19518] - BSA and Azide free (AB213612)
  • mIHC

Supplier Data

Multiplex immunohistochemistry - Anti-CD163 antibody [EPR19518] - BSA and Azide free (AB213612)

Immunohistochemistry (Formalin/PFA-fixed paraffin-embedded sections) analysis of human liver labelling GLUT2 with ab260003 at 1/1000 (B), eNOS with ab317582 at 1/500 dilution (C) and CD163 with ab213612 at 1/8000 dilution (D). Opal Polymer HRP Ms + Rb was used as a secondary antibody, and Nuclear DNA was labeled with DAPI (shown in blue). Heat mediated antigen retrieval with Tris-EDTA buffer (pH 9.0, epitope retrieval solution2) for 20 mins.

Panel A : merged staining of anti-GLUT2 (magenta; Opal™690), anti-eNOS (green; Opal™520) and anti-CD163 (gray; Opal™570) on human liver.
Panel B : anti-GLUT2 staining membrane of hepatocytes in human liver.
Panel C : anti-eNOS staining endothelium in human liver.
Panel D : anti-CD163 staining Kupffer cells in human liver.

The section was incubated in three rounds of staining : in the order of ab260003, ab317582 and ab213612 for 30 mins at room temperature. Each round was followed by a separate fluorescent tyramide signal amplification system.

The immunostaining was performed on a Leica Biosystems BOND® RX instrument with an Opal™ 4-color kit. Image acquisition was performed with Leica SP8 confocal microscope.

Multiplex immunohistochemistry - Anti-CD163 antibody [EPR19518] - BSA and Azide free (AB213612)
  • mIHC

Supplier Data

Multiplex immunohistochemistry - Anti-CD163 antibody [EPR19518] - BSA and Azide free (AB213612)

Fluorescence multiplex immunohistochemical analysis of human liver (formalin-fixed paraffin-embedded section). Panel A shows merged staining of anti-eNOS stained on endothelial cells (ab252439; red; Opal™570) at 1 : 1000 ( 1.004 μg/ml) [Panel B], anti-CD163 stained on Kupffer cells (ab213612; green; Opal™520) at 1 : 8000 ( 0.13 μg/ml) [Panel B], and anti-Glucose Transporter GLUT2 stained on membrane of hepatocytes (ab234440; gray; Opal™690) at 1 : 200 ( 3.005 μg/ml) [Panel D] on human liver. DAPI was used as a nuclear counter stain. Followed by Opal Polymer HRP Ms + Rb secondary. The immunostaining was performed on a Leica Biosystems BOND® RX instrument with an Opal™ 4-color kit. Image acquisition was performed with Leica SP8 confocal microscope. The section was incubated in three rounds of staining : in the order of ab234440, ab213612, and ab252439 for 30 mins at room temperature. Each round was followed by a separate fluorescent tyramide signal amplification system. Heat mediated antigen retrieval with Tris-EDTA buffer (pH 9.0, epitope retrieval solution2) for 20 mins was used.

Immunohistochemistry (Formalin/PFA-fixed paraffin-embedded sections) - Anti-CD163 antibody [EPR19518] - BSA and Azide free (AB213612)
  • IHC-P

Supplier Data

Immunohistochemistry (Formalin/PFA-fixed paraffin-embedded sections) - Anti-CD163 antibody [EPR19518] - BSA and Azide free (AB213612)

This data was developed using the same antibody clone in a different buffer formulation containing PBS, BSA, glycerol, and sodium azide (ab182422).

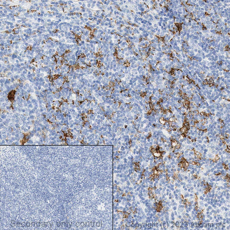
Immunohistochemical analysis of formalin fixed paraffin embedded human tonsil labelling CD163 with ab182422 at 2 µg/ml. The immunostaining was performed on a Ventana DISCOVERY ULTRA (Roche Tissue Diagnostics) instrument with an OptiView DAB IHC Detection Kit. Heat mediated antigen retrieval was conducted for 32min with ULTRA cell conditioning solution (CC1 pH8.5). ab182422 anti CD163 antibody was incubated at 37°C for 16min. Sections were counterstained is with Hematoxylin II. Image inset shows absence of staining in secondary antibody only control.

Flow Cytometry - Anti-CD163 antibody [EPR19518] - BSA and Azide free (AB213612)
  • Flow Cyt

Lab

Flow Cytometry - Anti-CD163 antibody [EPR19518] - BSA and Azide free (AB213612)

This data was developed using ab182422, the same antibody clone in a different buffer formulation.

Flow cytometric analysis of Human PBMC (human peripheral blood mononuclear cell) treated with 50 ng/mL IL10 for 24 hours (Lower) / Untreated control (Upper) cells labelling CD163 with ab182422 at 1/100 compared with a Rabbit monoclonal IgG (ab172730) /Left isotype control and secondary antibody).

Goat Anti-Rabbit IgG (Alexa Fluor® 488, ab150081) at 1/5000 was used as the secondary antibody.

Gated on viable CD14 positive cells.

Flow Cytometry - Anti-CD163 antibody [EPR19518] - BSA and Azide free (AB213612)
  • Flow Cyt

Lab

Flow Cytometry - Anti-CD163 antibody [EPR19518] - BSA and Azide free (AB213612)

This data was developed using ab182422, the same antibody clone in a different buffer formulation.

Flow cytometric analysis of SU-DHL-1 (human histiocytic lymphoblast-like cell) cells labelling CD163 with ab182422 at 1/100 compared with a Rabbit monoclonal IgG (ab172730) / Left isotype control and secondary antibody).

Goat Anti-Rabbit IgG (Alexa Fluor® 647, ab150083) at 1/5000 was used as the secondary antibody.

Gated on viable cells.

Immunohistochemistry (Formalin/PFA-fixed paraffin-embedded sections) - Anti-CD163 antibody [EPR19518] - BSA and Azide free (AB213612)
  • IHC-P

Lab

Immunohistochemistry (Formalin/PFA-fixed paraffin-embedded sections) - Anti-CD163 antibody [EPR19518] - BSA and Azide free (AB213612)

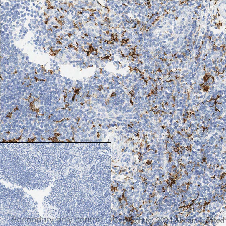
Immunohistochemical analysis of formalin fixed paraffin embedded Human tonsil labelling CD163 with ab213612 at a concentration of 0.5 µg/ml. The immunostaining was performed on a Ventana DISCOVERY ULTRA (Roche Tissue Diagnostics) instrument with a OptiView DAB IHC Detection Kit. Heat mediated antigen retrieval was performed with DISCOVERY cell conditioning solution (CC1) 100°C, pH8.5 for 32mins.

ab213612 anti CD163 antibody EPR19518 was incubated for 16mins at 37°C. Sections were counterstained with Hematoxylin II. Image inset shows absence of staining in secondary antibody only control.

Customers are encouraged to optimise antigen retrieval conditions, antibody concentration, incubation times and temperature for best results in their own IHC assay workflow (automated and manual)

Multiplex immunohistochemistry - Anti-CD163 antibody [EPR19518] - BSA and Azide free (AB213612)
  • mIHC

Collaborator

Multiplex immunohistochemistry - Anti-CD163 antibody [EPR19518] - BSA and Azide free (AB213612)

This data was developed using the same antibody clone in a different buffer formulation containing PBS, BSA, glycerol, and sodium azide (ab182422).

10-color fluorescence multiplex immunohistochemical analysis of human lung cancer tissue (formalin-fixed paraffin-embedded section).

Merged staining of anti-FOXP3 (ab215206; Cyan; TG540N), anti-PD1 (ab52587; Red; TG700N), anti-CD163 (ab182422; Brown; TG650N), anti-HLA-DR (ab92511; Yellow; TG570N), anti-CD4 (ab133616; Violet; TG620N), anti-CD8 alpha (ab101500; Purple; TG540S), anti-CD20 (ab9475; Grey; TG660S), anti-CD68 (ab192847; Green; TG520N), anti-Cytokeratin 19 (ab52625; Light blue; TG440N). TG470SN (dark blue) was used as a nuclear counter stain. The inset image shows the separate CD68 signal.

The section was incubated in nine rounds of staining; in the order of ab215206 (1/100 dilution), ab52587 (1/200 dilution), ab182422 (1/300 dilution), ab92511 (1/200 dilution), ab133616 (1/600 dilution), ab101500 (1/300 dilution), ab9475 (1/100 dilution), ab192847 (1/300 dilution), ab52625 (1/400 dilution); each using a separate fluorescent tyramide signal amplification system.

Sodium citrate antigen retrieval (pH6.0) was used in between rounds of tyramide signal amplification to remove the antibody from the previous round, to avoid any cross-reactivity.

Image acquisition was performed with TissueFAXS Spectra (TissueGnostics).

This image is courtesy of TissueGnostics Asia Pacific Limited

Flow Cytometry - Anti-CD163 antibody [EPR19518] - BSA and Azide free (AB213612)
  • Flow Cyt

Lab

Flow Cytometry - Anti-CD163 antibody [EPR19518] - BSA and Azide free (AB213612)

Flow cytometry analysis of human PBMC cells (Human peripheral blood mononuclear cell) labeling with ab182422 at 1/60 dilution, 11.23 μg/ml (red). Goat anti rabbit IgG (Alexa Fluor® 488, ab150081) was used as the secondary antibody at 1/2000.

This data was developed using the same antibody clone in a different buffer formulation containing PBS, BSA, glycerol, and sodium azide (ab182422).

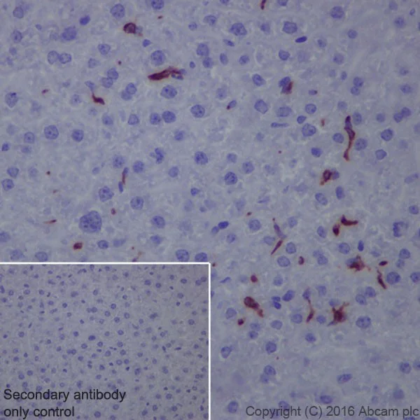
Immunohistochemistry (Formalin/PFA-fixed paraffin-embedded sections) - Anti-CD163 antibody [EPR19518] - BSA and Azide free (AB213612)
  • IHC-P

Unknown

Immunohistochemistry (Formalin/PFA-fixed paraffin-embedded sections) - Anti-CD163 antibody [EPR19518] - BSA and Azide free (AB213612)

This IHC data was generated using the same anti-CD163 antibody clone, EPR19518, in a different buffer formulation (cat# ab182422).

Immunohistochemical analysis of paraffin-embedded Human liver tissue labeling CD163 with ab182422 at 1/500 dilution, followed by Goat Anti-Rabbit IgG H&L (HRP) (ab97051) at 1/500 dilution.

Cytoplasm staining on Kupffer cells of Human liver is observed.

Counter stained with Hematoxylin.

Secondary antibody only control : Used PBS instead of primary antibody, secondary antibody is ab97051 at 1/500 dilution.

Perform heat mediated antigen retrieval with Tris/EDTA buffer pH 9.0 before commencing with IHC staining protocol.

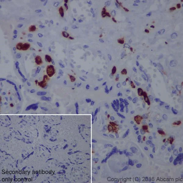
Immunohistochemistry (Formalin/PFA-fixed paraffin-embedded sections) - Anti-CD163 antibody [EPR19518] - BSA and Azide free (AB213612)
  • IHC-P

Supplier Data

Immunohistochemistry (Formalin/PFA-fixed paraffin-embedded sections) - Anti-CD163 antibody [EPR19518] - BSA and Azide free (AB213612)

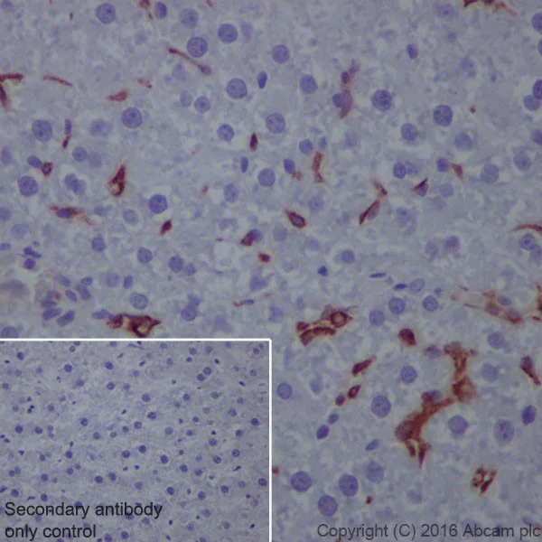
Immunohistochemical analysis of paraffin-embedded human placenta tissue labeling CD163 with ab182422 at 1/500 dilution, followed by Goat Anti-Rabbit IgG H&L (HRP) (ab97051) at 1/500 dilution. Cytoplasm staining on Hofbauer cells in human placenta is observed. Counter stained with Hematoxylin. Secondary antibody only control : Used PBS instead of primary antibody, secondary antibody is ab97051 at 1/500 dilution.

This data was developed using the same antibody clone in a different buffer formulation containing PBS, BSA, glycerol, and sodium azide (ab182422).

Perform heat mediated antigen retrieval with Tris/EDTA buffer pH 9.0 before commencing with IHC staining protocol.

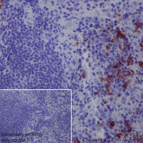
Immunohistochemistry (Formalin/PFA-fixed paraffin-embedded sections) - Anti-CD163 antibody [EPR19518] - BSA and Azide free (AB213612)
  • IHC-P

Lab

Immunohistochemistry (Formalin/PFA-fixed paraffin-embedded sections) - Anti-CD163 antibody [EPR19518] - BSA and Azide free (AB213612)

This data was developed using the same antibody clone in a different buffer formulation containing PBS, BSA, glycerol, and sodium azide (ab182422).

Immunohistochemical analysis of formalin fixed paraffin embedded human tonsil labelling CD163 with ab182422 at 2 µg/ml. The immunostaining was performed on a Ventana DISCOVERY ULTRA (Roche Tissue Diagnostics) instrument with an OptiView DAB IHC Detection Kit. Heat mediated antigen retrieval was conducted for 32min with ULTRA cell conditioning solution (CC1 pH8.5). ab182422 anti CD163 antibody was incubated at 37°C for 16min. Sections were counterstained is with Hematoxylin II. Image inset shows absence of staining in secondary antibody only control.

Immunohistochemistry (Frozen sections) - Anti-CD163 antibody [EPR19518] - BSA and Azide free (AB213612)
  • IHC-Fr

Supplier Data

Immunohistochemistry (Frozen sections) - Anti-CD163 antibody [EPR19518] - BSA and Azide free (AB213612)

Immunohistochemical analysis of 4% paraformaldehyde-fixed, 0.2% Triton X-100 permeabilized frozen mouse liver tissue labeling CD163 with ab182422 at 1/200 dilution, followed by Goat Anti-Rabbit IgG (Alexa Fluor® 488) (ab150077) secondary antibody at 1/1000 dilution (green). The result showed some cytoplasmic staining on mouse liver. The nuclear counterstain is DAPI (blue). Secondary antibody only control : Used PBS instead of primary antibody, secondary antibody is ab150077 at 1/1000 dilution.

This data was developed using the same antibody clone in a different buffer formulation containing PBS, BSA, glycerol, and sodium azide (ab182422).

Immunohistochemistry (Formalin/PFA-fixed paraffin-embedded sections) - Anti-CD163 antibody [EPR19518] - BSA and Azide free (AB213612)
  • IHC-P

Supplier Data

Immunohistochemistry (Formalin/PFA-fixed paraffin-embedded sections) - Anti-CD163 antibody [EPR19518] - BSA and Azide free (AB213612)

Immunohistochemical analysis of paraffin-embedded mouse spleen tissue labeling CD163 with ab182422 at 1/500 dilution, followed by Goat Anti-Rabbit IgG H&L (HRP) (ab97051) at 1/500 dilution. Cytoplasm staining on mouse spleen is observed. Counter stained with Hematoxylin. Secondary antibody only control : Used PBS instead of primary antibody, secondary antibody is ab97051 at 1/500 dilution.

This data was developed using the same antibody clone in a different buffer formulation containing PBS, BSA, glycerol, and sodium azide (ab182422).

Perform heat mediated antigen retrieval with Tris/EDTA buffer pH 9.0 before commencing with IHC staining protocol.

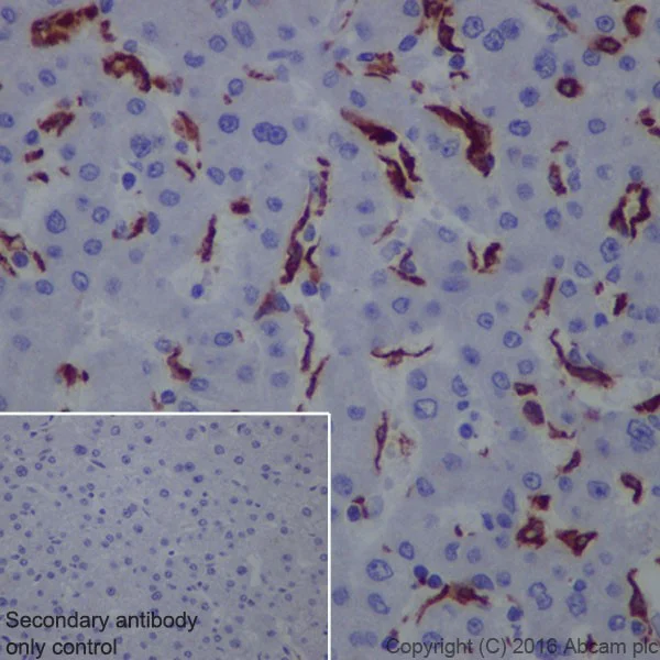
Immunohistochemistry (Formalin/PFA-fixed paraffin-embedded sections) - Anti-CD163 antibody [EPR19518] - BSA and Azide free (AB213612)
  • IHC-P

Supplier Data

Immunohistochemistry (Formalin/PFA-fixed paraffin-embedded sections) - Anti-CD163 antibody [EPR19518] - BSA and Azide free (AB213612)

Immunohistochemical analysis of paraffin-embedded mouse liver tissue labeling CD163 with ab182422 at 1/500 dilution, followed by Goat Anti-Rabbit IgG H&L (HRP) (ab97051) at 1/500 dilution. Cytoplasm staining on Kupffer cells of mouse liver is observed. Counter stained with Hematoxylin. Secondary antibody only control : Used PBS instead of primary antibody, secondary antibody is ab97051 at 1/500 dilution.

This data was developed using the same antibody clone in a different buffer formulation containing PBS, BSA, glycerol, and sodium azide (ab182422).

Perform heat mediated antigen retrieval with Tris/EDTA buffer pH 9.0 before commencing with IHC staining protocol.

Immunohistochemistry (Formalin/PFA-fixed paraffin-embedded sections) - Anti-CD163 antibody [EPR19518] - BSA and Azide free (AB213612)
  • IHC-P

Supplier Data

Immunohistochemistry (Formalin/PFA-fixed paraffin-embedded sections) - Anti-CD163 antibody [EPR19518] - BSA and Azide free (AB213612)

Immunohistochemical analysis of paraffin-embedded rat liver tissue labeling CD163 with ab182422 at 1/500 dilution, followed by Goat Anti-Rabbit IgG H&L (HRP) (ab97051) at 1/500 dilution. Cytoplasm staining on Kupffer cells of rat liver is observed. Counter stained with Hematoxylin. Secondary antibody only control : Used PBS instead of primary antibody, secondary antibody is ab97051 at 1/500 dilution.

This data was developed using the same antibody clone in a different buffer formulation containing PBS, BSA, glycerol, and sodium azide (ab182422).

Perform heat mediated antigen retrieval with Tris/EDTA buffer pH 9.0 before commencing with IHC staining protocol.

Immunohistochemistry (Formalin/PFA-fixed paraffin-embedded sections) - Anti-CD163 antibody [EPR19518] - BSA and Azide free (AB213612)
  • IHC-P

Lab

Immunohistochemistry (Formalin/PFA-fixed paraffin-embedded sections) - Anti-CD163 antibody [EPR19518] - BSA and Azide free (AB213612)

Tissue Microarrays stained for "Anti-CD163 antibody [EPR19518]" using "ab182422"in immunohistochemical analysis. This table provides a detailed overview of positive (tick mark) and negative (cross mark) staining per sample type tested. The sections were pre-treated using Heat mediated antigen retrieval using Bond™ Epitope Retrieval Solution 2 (pH 9.0) for 20 minutes. The sections were incubated with ab182422 for 30 mins at room temperature followed by a ready to use Rabbit specific IHC polymer detection kit HRP/DAB (ab209101). The immunostaining was performed on a Leica Biosystems BOND® RX instrument.

Immunohistochemistry (Frozen sections) - Anti-CD163 antibody [EPR19518] - BSA and Azide free (AB213612)
  • IHC-Fr

Supplier Data

Immunohistochemistry (Frozen sections) - Anti-CD163 antibody [EPR19518] - BSA and Azide free (AB213612)

This IHC data was generated using the same anti-CD163 antibody clone, EPR19518, in a different buffer formulation (cat# ab182422).

Immunohistochemical analysis of 4% paraformaldehyde-fixed, 0.2% Triton X-100 permeabilized frozen Mouse spleen tissue labeling CD163 with ab182422 at 1/200 dilution, followed by Goat Anti-Rabbit IgG (Alexa Fluor® 488) (ab150077) secondary antibody at 1/1000 dilution (green).

The result showed some cytoplasmic staining on mouse spleen.

The nuclear counterstain is DAPI (blue).

Secondary antibody only control : Used PBS instead of primary antibody, secondary antibody is ab150077 at 1/1000 dilution.

Western blot - Anti-CD163 antibody [EPR19518] - BSA and Azide free (AB213612)
  • WB

Lab

Western blot - Anti-CD163 antibody [EPR19518] - BSA and Azide free (AB213612)

This data was developed using ab182422, the same antibody clone in a different buffer formulation. Different batches of ab182422 were tested on Rat liver lysate at 2.0 µg/ml. 15 µg of lysate was loaded in each lane. Bands observed at 150 kDa.

All lanes:

Western blot - Anti-CD163 antibody [EPR19518] (<a href='/en-us/products/primary-antibodies/cd163-antibody-epr19518-ab182422'>ab182422</a>)

Predicted band size: 125 kDa

false

Western blot - Anti-CD163 antibody [EPR19518] - BSA and Azide free (AB213612)
  • WB

Lab

Western blot - Anti-CD163 antibody [EPR19518] - BSA and Azide free (AB213612)

All lanes:

Western blot - Anti-CD163 antibody [EPR19518] - BSA and Azide free (ab213612)

Predicted band size: 125 kDa

false

Exposure time: 30s

Key facts

Host species

Rabbit

Clonality

Monoclonal

Clone number

EPR19518

Isotype

IgG

Carrier free

Yes

Reacts with

Mouse, Rat, Human

Applications

IHC-Fr, Flow Cyt, WB, mIHC, IHC-P

applications

Immunogen

The exact immunogen used to generate this antibody is proprietary information.

Reactivity data

{ "title": "Reactivity Data", "filters": { "stats": ["", "Species", "Dilution Info", "Notes"], "tabs": { "all-applications": {"fullname" : "All Applications", "shortname": "All Applications"}, "mIHC" : {"fullname" : "Multiplex immunohistochemistry", "shortname":"mIHC"}, "FlowCyt" : {"fullname" : "Flow Cytometry", "shortname":"Flow Cyt"}, "WB" : {"fullname" : "Western blot", "shortname":"WB"}, "IHCFr" : {"fullname" : "Immunohistochemistry (Frozen sections)", "shortname":"IHC-Fr"}, "IHCP" : {"fullname" : "Immunohistochemistry (Formalin/PFA-fixed paraffin-embedded sections)", "shortname":"IHC-P"} }, "product-promise": { "all": "all", "testedAndGuaranteed": "tested", "guaranteed": "expected", "predicted": "predicted", "notRecommended": "not-recommended" } }, "values": { "Human": { "mIHC-species-checked": "testedAndGuaranteed", "mIHC-species-dilution-info": "", "mIHC-species-notes": "<p></p>", "FlowCyt-species-checked": "testedAndGuaranteed", "FlowCyt-species-dilution-info": "", "FlowCyt-species-notes": "<p></p>", "WB-species-checked": "testedAndGuaranteed", "WB-species-dilution-info": "", "WB-species-notes": "<p></p>", "IHCFr-species-checked": "guaranteed", "IHCFr-species-dilution-info": "", "IHCFr-species-notes": "", "IHCP-species-checked": "testedAndGuaranteed", "IHCP-species-dilution-info": "", "IHCP-species-notes": "<p></p> Perform heat-mediated antigen retrieval with Tris/EDTA buffer pH 9.0 before commencing with IHC staining protocol." }, "Mouse": { "mIHC-species-checked": "guaranteed", "mIHC-species-dilution-info": "", "mIHC-species-notes": "", "FlowCyt-species-checked": "guaranteed", "FlowCyt-species-dilution-info": "", "FlowCyt-species-notes": "", "WB-species-checked": "testedAndGuaranteed", "WB-species-dilution-info": "", "WB-species-notes": "<p></p>", "IHCFr-species-checked": "testedAndGuaranteed", "IHCFr-species-dilution-info": "", "IHCFr-species-notes": "<p>Antigen retrieval: Heated citrate solution (10mM citrate pH 6.0 + 0.05% Tween-20).</p>", "IHCP-species-checked": "testedAndGuaranteed", "IHCP-species-dilution-info": "", "IHCP-species-notes": "<p></p> Perform heat-mediated antigen retrieval with Tris/EDTA buffer pH 9.0 before commencing with IHC staining protocol." }, "Rat": { "mIHC-species-checked": "guaranteed", "mIHC-species-dilution-info": "", "mIHC-species-notes": "", "FlowCyt-species-checked": "guaranteed", "FlowCyt-species-dilution-info": "", "FlowCyt-species-notes": "", "WB-species-checked": "testedAndGuaranteed", "WB-species-dilution-info": "", "WB-species-notes": "<p></p>", "IHCFr-species-checked": "guaranteed", "IHCFr-species-dilution-info": "", "IHCFr-species-notes": "", "IHCP-species-checked": "testedAndGuaranteed", "IHCP-species-dilution-info": "", "IHCP-species-notes": "<p></p> Perform heat-mediated antigen retrieval with Tris/EDTA buffer pH 9.0 before commencing with IHC staining protocol." } } }

Product details

Product Specifications
Anti-CD163 antibody [EPR19518] - BSA and Azide free (ab213612) is a recombinant rabbit monoclonal antibody which was developed by Abcam using patented rabbit monoclonal antibody technology.
ab213612 is provided in a carrier-free, conjugation ready format, and is validated in Flow Cyt, IHC-Fr, IHC-P, WB and mIHCin human, mouse and rat samples.
Carrier-free antibodies are compatible with our best-in-class range of Lightning-Link® conjugation kits.
Anti-CD163 antibody [EPR19518] - BSA and Azide free (ab213612) specifically detects CD163 (UniProt ID: Q2VLH6; Molecular weight: 117kDa) and is sold in 100 ug and 1mg selling sizes.

Related Products
Antibody clone EPR19518 is also available pre-conjugated to a variety of labels for your convenience - Alexa Fluor® 555,Alexa Fluor® 594, Alexa Fluor® 488, Alexa Fluor® 647, Biotin, PE (ab281746, ab282114, ab313665, ab313666, ab314941, ab314947).

Patented technology
Our RabMAb® technology is a patented hybridoma-based technology for making rabbit monoclonal antibodies. For details on our patents, please refer to RabMAb® patents.

What are the advantages of a recombinant monoclonal antibody?
This product is a recombinant monoclonal antibody, which offers several advantages including:

  • - High batch-to-batch consistency and reproducibility
  • - Improved sensitivity and specificity
  • - Long-term security of supply
  • - Animal-free batch production

For more information, read more on recombinant antibodies.

Conjugation ready
Our carrier-free antibodies are typically supplied in a PBS-only formulation, purified and free of BSA, sodium azide and glycerol. This conjugation-ready format is designed for use with fluorochromes, metal isotopes, oligonucleotides, and enzymes, which makes them ideal for antibody labelling, functional and cell-based assays, flow-based assays (e.g. mass cytometry) and Multiplex Imaging applications.

Use our conjugation kits for antibody conjugates that are ready-to-use in as little as 20 minutes with 1 minute hands-on-time and 100% antibody recovery: available for fluorescent dyes, HRP, biotin and gold.

Compatibility
This product is compatible with the Maxpar® Antibody Labeling Kit from Fluidigm, without the need for antibody preparation. Maxpar® is a trademark of Fluidigm Canada Inc.

Properties and storage information

Form
Liquid
Purification technique
Affinity purification Protein A
Storage buffer
pH: 7.2 - 7.4 Constituents: PBS
Shipped at conditions
Blue Ice
Appropriate short-term storage conditions
+4°C
Appropriate long-term storage conditions
+4°C
Storage information
Do Not Freeze

Supplementary information

This supplementary information is collated from multiple sources and compiled automatically.

CD163 known also as hemoglobin scavenger receptor is a membrane glycoprotein with a molecular weight of approximately 130 kDa. It is predominantly expressed by monocytes and macrophages which are types of immune cells. Located on the cell surface CD163 functions as a receptor that aids in the clearance of hemoglobin-haptoglobin complexes playing a critical role in maintaining iron homeostasis and protecting tissues from oxidative damage. CD163 is not limited to human cells only; researchers often study its function using animal models such as chimeric rodents and chimeric rats.
Biological function summary

CD163 participates in anti-inflammatory processes and is linked to immune modulation. It plays a pivotal role in the resolution of inflammation and promotes the removal of damaged cells and tissues. Through its involvement in the endocytic pathway CD163 interacts with various ligands facilitating interactions with other proteins. In the context of research CD163 functionality can be analyzed using techniques like CD163 IHC CD163 ELISA and CD163 stain in both human and mouse models.

Pathways

CD163 is integral to the inflammation and immune response pathways. It participates in the heme-oxygenase pathway which is essential in the breakdown of heme into biliverdin free iron and carbon monoxide. This pathway involvement is tightly linked with heme oxygenase-1 (HO-1) a cytoprotective enzyme that helps to mitigate inflammatory responses. The interaction with haptoglobin and related proteins provides further insight into its regulatory roles within the immune system.

CD163 is associated with conditions like atherosclerosis and acute inflammation disorders. Its elevated levels indicate macrophage activation observed in chronic inflammations such as cardiovascular diseases. In atherosclerosis CD163 expression correlates with the uptake of oxidized LDL connecting it to progression of the disease. Additionally soluble CD163 levels serve as a biomarker in conditions like chronic liver disease where it is linked to macrophage activation and fibrosis. Within these disorders proteins like LDL and inflammatory cytokines are closely associated with CD163 function and regulation.

Product protocols

For this product, it's our understanding that no specific protocols are required. You can visit:

Target data

Acute phase-regulated receptor involved in clearance and endocytosis of hemoglobin/haptoglobin complexes by macrophages and may thereby protect tissues from free hemoglobin-mediated oxidative damage. May play a role in the uptake and recycling of iron, via endocytosis of hemoglobin/haptoglobin and subsequent breakdown of heme. Binds hemoglobin/haptoglobin complexes in a calcium-dependent and pH-dependent manner. Exhibits a higher affinity for complexes of hemoglobin and multimeric haptoglobin of HP*1F phenotype than for complexes of hemoglobin and dimeric haptoglobin of HP*1S phenotype. Induces a cascade of intracellular signals that involves tyrosine kinase-dependent calcium mobilization, inositol triphosphate production and secretion of IL6 and CSF1. Isoform 3 exhibits the higher capacity for ligand endocytosis and the more pronounced surface expression when expressed in cells.. After shedding, the soluble form (sCD163) may play an anti-inflammatory role, and may be a valuable diagnostic parameter for monitoring macrophage activation in inflammatory conditions.
See full target information CD163

Publications (10)

Recent publications for all applications. Explore the full list and refine your search

Frontiers in immunology 14:1331287 PubMed38299146

2024

The CXCL16-CXCR6 axis in glioblastoma modulates T-cell activity in a spatiotemporal context.

Applications

Unspecified application

Species

Unspecified reactive species

Tzu-Yi Chia,Leah K Billingham,Lauren Boland,Joshua L Katz,Victor A Arrieta,Jack Shireman,Aurora-Lopez Rosas,Susan L DeLay,Kaylee Zillinger,Yuheng Geng,Jeandre Kruger,Caylee Silvers,Hanxiang Wang,Gustavo Ignacio Vazquez Cervantes,David Hou,Si Wang,Hanxiao Wan,Adam Sonabend,Peng Zhang,Catalina Lee-Chang,Jason Miska

Frontiers in immunology 14:1295218 PubMed38268923

2024

Antigen-presenting B cells promote TCF-1 PD1 stem-like CD8 T-cell proliferation in glioblastoma.

Applications

Unspecified application

Species

Unspecified reactive species

David Hou,Hanxiao Wan,Joshua L Katz,Si Wang,Brandyn A Castro,Gustavo I Vazquez-Cervantes,Victor A Arrieta,Silpol Dhiantravan,Hinda Najem,Aida Rashidi,Tzu-Yi Chia,Tarlan Arjmandi,Jimena Collado,Leah Billingham,Aurora Lopez-Rosas,Yu Han,Adam M Sonabend,Amy B Heimberger,Peng Zhang,Jason Miska,Catalina Lee-Chang

Cell metabolism 36:62-77.e8 PubMed38134929

2023

Myeloid cell-derived creatine in the hypoxic niche promotes glioblastoma growth.

Applications

Unspecified application

Species

Unspecified reactive species

Aida Rashidi,Leah K Billingham,Andrew Zolp,Tzu-Yi Chia,Caylee Silvers,Joshua L Katz,Cheol H Park,Suzi Delay,Lauren Boland,Yuheng Geng,Steven M Markwell,Crismita Dmello,Victor A Arrieta,Kaylee Zilinger,Irene M Jacob,Aurora Lopez-Rosas,David Hou,Brandyn Castro,Alicia M Steffens,Kathleen McCortney,Jordain P Walshon,Mariah S Flowers,Hanchen Lin,Hanxiang Wang,Junfei Zhao,Adam Sonabend,Peng Zhang,Atique U Ahmed,Daniel J Brat,Dieter H Heiland,Catalina Lee-Chang,Maciej S Lesniak,Navdeep S Chandel,Jason Miska

Journal of oncology 2022:9514697 PubMed35813857

2022

Cancer-Associated Fibroblast-Derived Exosomal miRNA-320a Promotes Macrophage M2 Polarization by Regulating PTEN/PI3K Signaling in Pancreatic Cancer.

Applications

Unspecified application

Species

Unspecified reactive species

Mingkun Zhao,Aobo Zhuang,Yuan Fang

Nature cancer 2:1372-1386 PubMed35121903

2022

ERK1/2 phosphorylation predicts survival following anti-PD-1 immunotherapy in recurrent glioblastoma.

Applications

Unspecified application

Species

Unspecified reactive species

Víctor A Arrieta,Andrew X Chen,J Robert Kane,Seong Jae Kang,Cynthia Kassab,Crismita Dmello,Junfei Zhao,Kirsten B Burdett,Pavan S Upadhyayula,Catalina Lee-Chang,Joseph Shilati,Dinesh Jaishankar,Li Chen,Andrew Gould,Daniel Zhang,Jinzhou Yuan,Wenting Zhao,Xiaoyang Ling,Jared K Burks,Brice Laffleur,Christina Amidei,Jeffrey N Bruce,Rimas V Lukas,Jonathan T Yamaguchi,David Cieremans,Gerson Rothschild,Uttiya Basu,Matthew McCord,Daniel J Brat,Hui Zhang,Lee A D Cooper,Bin Zhang,Peter Sims,Tim F Cloughesy,Robert Prins,Peter Canoll,Roger Stupp,Amy B Heimberger,Craig Horbinski,Fabio M Iwamoto,Raul Rabadan,Adam M Sonabend

Nature communications 12:5024 PubMed34408137

2021

Single-cell evaluation reveals shifts in the tumor-immune niches that shape and maintain aggressive lesions in the breast.

Applications

Unspecified application

Species

Unspecified reactive species

Vidya C Sinha,Amanda L Rinkenbaugh,Mingchu Xu,Xinhui Zhou,Xiaomei Zhang,Sabrina Jeter-Jones,Jiansu Shao,Yuan Qi,John A Zebala,Dean Y Maeda,Florencia McAllister,Helen Piwnica-Worms

Nature cancer 2:545-562 PubMed35122017

2021

Neutrophil oxidative stress mediates obesity-associated vascular dysfunction and metastatic transmigration.

Applications

Unspecified application

Species

Unspecified reactive species

Sheri A C McDowell,Robin B E Luo,Azadeh Arabzadeh,Samuel Doré,Nicolas C Bennett,Valérie Breton,Elham Karimi,Morteza Rezanejad,Ryan R Yang,Katherine D Lach,Marianne S M Issac,Bozena Samborska,Lucas J M Perus,Dan Moldoveanu,Yuhong Wei,Benoit Fiset,Roni F Rayes,Ian R Watson,Lawrence Kazak,Marie-Christine Guiot,Pierre O Fiset,Jonathan D Spicer,Andrew J Dannenberg,Logan A Walsh,Daniela F Quail

Frontiers in oncology 10:595082 PubMed33363026

2020

Reconstruction of Immune Microenvironment and Signaling Pathways in Endometrioid Endometrial Adenocarcinoma During Formation of Lymphovascular Space Involvement and Lymph Node Metastasis.

Applications

Unspecified application

Species

Unspecified reactive species

Yuan Cheng,Xiaobo Zhang,Zhiqi Wang,Jianliu Wang

FASEB journal : official publication of the Federation of American Societies for Experimental Biology 34:8001-8011 PubMed32333612

2020

Peripheral blood CD163(+) monocytes and soluble CD163 in dry and neovascular age-related macular degeneration.

Applications

Unspecified application

Species

Unspecified reactive species

Narsis Daftarian,Souska Zandi,Golbarg Piryaie,Mahin Nikougoftar Zarif,Ehsan Ranaei Pirmardan,Muneo Yamaguchi,Qurban Behzadian Nejad,Hossein Hasanpour,Shahram Samiei,Isabel B Pfister,Zahra-Soheila Soheili,Shintaro Nakao,Aliaa Barakat,Justus G Garweg,Hamid Ahmadieh,Ali Hafezi-Moghadam

Frontiers in cellular neuroscience 13:108 PubMed30949031

2019

Ascorbic Acid Facilitates Neural Regeneration After Sciatic Nerve Crush Injury.

Applications

Unspecified application

Species

Unspecified reactive species

Lixia Li,Yuanyuan Li,Zhihao Fan,Xianghai Wang,Zhenlin Li,Jinkun Wen,Junyao Deng,Dandan Tan,Mengjie Pan,Xiaofang Hu,Haowen Zhang,Muhua Lai,Jiasong Guo
View all publications

Product promise

We are committed to supporting your work with high-quality reagents, and we're here for you every step of the way. In the unlikely event that one of our products does not perform as expected, you're protected by our Product Promise.
For full details, please see our Terms & Conditions

Please note: All products are 'FOR RESEARCH USE ONLY. NOT FOR USE IN DIAGNOSTIC OR THERAPEUTIC PROCEDURES'.

For licensing inquiries, please contact partnerships@abcam.com