JavaScript is disabled in your browser. Please enable JavaScript to view this website.
AB289979

Anti-CD163 antibody [EPR19518] - Rat IgG2a (Chimeric)

  • BOND RX™ Validated
  • 20ul selling size
  • Recombinant
  • What is this?

Be the first to review this product! Submit a review

|

(2 Publications)

Rat Recombinant Monoclonal CD163 antibody. Suitable for WB, IHC-P and reacts with Human, Mouse, Rat samples. Cited in 2 publications.

View Alternative Names

CD163, M130, Scavenger receptor cysteine-rich type 1 protein M130, Hemoglobin scavenger receptor

7 Images
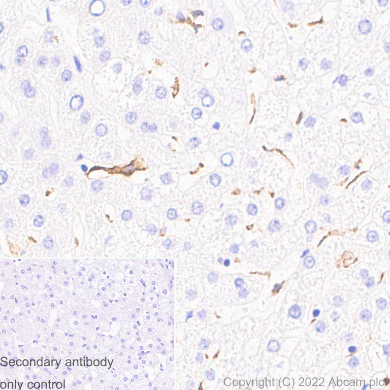
Immunohistochemistry (Formalin/PFA-fixed paraffin-embedded sections) - Anti-CD163 antibody [EPR19518] - Rat IgG2a (Chimeric) (AB289979)
  • IHC-P

Supplier Data

Immunohistochemistry (Formalin/PFA-fixed paraffin-embedded sections) - Anti-CD163 antibody [EPR19518] - Rat IgG2a (Chimeric) (AB289979)

Immunohistochemical analysis of paraffin-embedded Human liver tissue labeling CD163 with ab289979 at 1/250 (4.264 ug/ml) followed by a ready to use LeicaDS9800 (Bond™ Polymer Refine Detection). Positive staining on the Kupffer cells in the human liver. The section was incubated with ab289979 for 30 mins at room temperature, followed by anti-Rat IgG antibody (ab102248) for 8 mins during the LeicaDS9800 kit staining procedure.The immunostaining was performed on a Leica Biosystems BOND® RX instrument Counterstained with Hematoxylin. Secondary antibody only control : Secondary antibody is a ready to use LeicaDS9800 (Bond™ Polymer Refine Detection).Heat mediated antigen retrieval with Citrate buffer (pH 6.0, epitope retrieval solution 1) for 20 mins

Immunohistochemistry (Formalin/PFA-fixed paraffin-embedded sections) - Anti-CD163 antibody [EPR19518] - Rat IgG2a (Chimeric) (AB289979)
  • IHC-P

Supplier Data

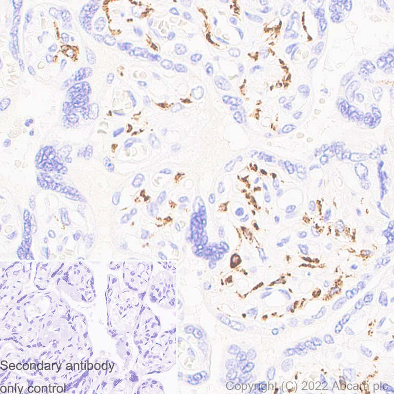
Immunohistochemistry (Formalin/PFA-fixed paraffin-embedded sections) - Anti-CD163 antibody [EPR19518] - Rat IgG2a (Chimeric) (AB289979)

Immunohistochemical analysis of paraffin-embedded Human placenta tissue labeling CD163 with ab289979 at 1/250 (4.264 ug/ml) followed by a ready to use LeicaDS9800 (Bond™ Polymer Refine Detection). Positive staining on the macrophages in the human placenta. The section was incubated with ab289979 for 30 mins at room temperature, followed by anti-Rat IgG antibody (ab102248) for 8 mins during the LeicaDS9800 kit staining procedure.The immunostaining was performed on a Leica Biosystems BOND® RX instrument Counterstained with Hematoxylin. Secondary antibody only control : Secondary antibody is a ready to use LeicaDS9800 (Bond™ Polymer Refine Detection).Heat mediated antigen retrieval with Citrate buffer (pH 6.0, epitope retrieval solution 1) for 20 mins

Immunohistochemistry (Formalin/PFA-fixed paraffin-embedded sections) - Anti-CD163 antibody [EPR19518] - Rat IgG2a (Chimeric) (AB289979)
  • IHC-P

Supplier Data

Immunohistochemistry (Formalin/PFA-fixed paraffin-embedded sections) - Anti-CD163 antibody [EPR19518] - Rat IgG2a (Chimeric) (AB289979)

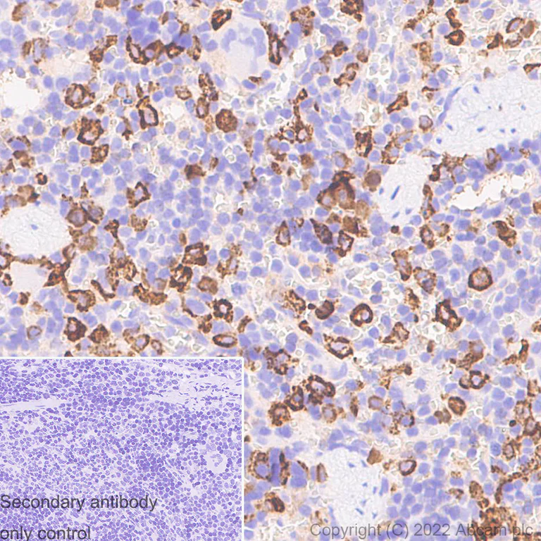
Immunohistochemical analysis of paraffin-embedded Human tonsil tissue labeling CD163 with ab289979 at 1/250 (4.264 ug/ml) followed by a ready to use LeicaDS9800 (Bond™ Polymer Refine Detection). Positive staining on the macrophages in human tonsil. The section was incubated with ab289979 for 30 mins at room temperature, followed by anti-Rat IgG antibody (ab102248) for 8 mins during the LeicaDS9800 kit staining procedure.The immunostaining was performed on a Leica Biosystems BOND® RX instrument Counterstained with Hematoxylin. Secondary antibody only control : Secondary antibody is a ready to use LeicaDS9800 (Bond™ Polymer Refine Detection).Heat mediated antigen retrieval with Citrate buffer (pH 6.0, epitope retrieval solution 1) for 20 mins

Immunohistochemistry (Formalin/PFA-fixed paraffin-embedded sections) - Anti-CD163 antibody [EPR19518] - Rat IgG2a (Chimeric) (AB289979)
  • IHC-P

Supplier Data

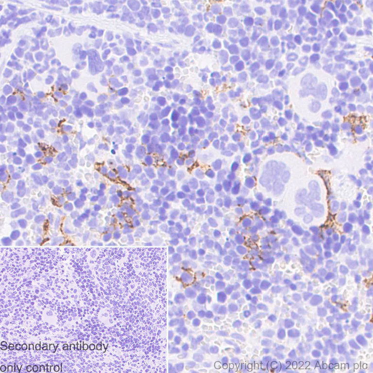
Immunohistochemistry (Formalin/PFA-fixed paraffin-embedded sections) - Anti-CD163 antibody [EPR19518] - Rat IgG2a (Chimeric) (AB289979)

Immunohistochemical analysis of paraffin-embedded Rat spleen tissue labeling CD163 with ab289979 at 1/1000 (1.066 ug/ml) followed by a ready to use LeicaDS9800 (Bond™ Polymer Refine Detection). Positive staining on the macrophages in rat spleen. The section was incubated with ab289979 for 30 mins at room temperature, followed by anti-Rat IgG antibody (ab102248) for 8 mins during the LeicaDS9800 kit staining procedure.The immunostaining was performed on a Leica Biosystems BOND® RX instrument Counterstained with Hematoxylin. Secondary antibody only control : Secondary antibody is a ready to use LeicaDS9800 (Bond™ Polymer Refine Detection).Heat mediated antigen retrieval with Citrate buffer (pH 6.0, epitope retrieval solution 1) for 20 mins

Immunohistochemistry (Formalin/PFA-fixed paraffin-embedded sections) - Anti-CD163 antibody [EPR19518] - Rat IgG2a (Chimeric) (AB289979)
  • IHC-P

Supplier Data

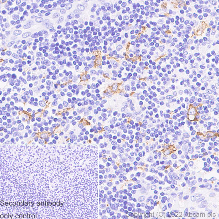
Immunohistochemistry (Formalin/PFA-fixed paraffin-embedded sections) - Anti-CD163 antibody [EPR19518] - Rat IgG2a (Chimeric) (AB289979)

Immunohistochemical analysis of paraffin-embedded Mouse spleen tissue labeling CD163 with ab289979 at 1/250 (4.264 ug/ml) followed by a ready to use LeicaDS9800 (Bond™ Polymer Refine Detection). Positive staining on the macrophages in mouse spleen. The section was incubated with ab289979 for 30 mins at room temperature, followed by anti-Rat IgG antibody (ab102248) for 8 mins during the LeicaDS9800 kit staining procedure.The immunostaining was performed on a Leica Biosystems BOND® RX instrument Counterstained with Hematoxylin. Secondary antibody only control : Secondary antibody is a ready to use LeicaDS9800 (Bond™ Polymer Refine Detection).Heat mediated antigen retrieval with Citrate buffer (pH 6.0, epitope retrieval solution 1) for 20 mins

Western blot - Anti-CD163 antibody [EPR19518] - Rat IgG2a (Chimeric) (AB289979)
  • WB

Supplier Data

Western blot - Anti-CD163 antibody [EPR19518] - Rat IgG2a (Chimeric) (AB289979)

Blocking and diluting buffer and concentration : 5% NFDM/TBST. The molecular weight observed is consistent with what has been described in the literature (PMID : 9712057 & 16517975). Negative control : U937, THP-1 (PMID : 16368951, 10648003). Exposure time : 37 seconds

All lanes:

Western blot - Anti-CD163 antibody [EPR19518] - Rat IgG2a (Chimeric) (ab289979) at 1/1000 dilution

Lane 1:

SU-DHL-1 (human large cell lymphoma histiocytic), whole cell lysate at 20 µg

Lane 2:

THP-1 (human monocytic leukemia monocyte), whole cell lysate at 20 µg

Lane 3:

U937 (human histiocytic lymphoma monocyte), whole cell lysate at 20 µg

Secondary

All lanes:

Western blot - Goat Anti-Rat IgG Fc (HRP) preadsorbed (<a href='/en-us/products/secondary-antibodies/goat-rat-igg-fc-hrp-preadsorbed-ab97090'>ab97090</a>) at 1/20000 dilution

Observed band size: 150 kDa

false

Exposure time: 37s

Western blot - Anti-CD163 antibody [EPR19518] - Rat IgG2a (Chimeric) (AB289979)
  • WB

Supplier Data

Western blot - Anti-CD163 antibody [EPR19518] - Rat IgG2a (Chimeric) (AB289979)

Blocking and diluting buffer and concentration : 5% NFDM/TBST. The molecular weight observed is consistent with what has been described in the literature (PMID : 9712057 & 16517975). Exposure time : Lane 1 : 81 seconds Lane 2 : 37 seconds

All lanes:

Western blot - Anti-CD163 antibody [EPR19518] - Rat IgG2a (Chimeric) (ab289979) at 1/1000 dilution

Lane 1:

Mouse spleen tissue lysate at 20 µg

Lane 2:

Rat spleen tissue lysate at 20 µg

Secondary

All lanes:

Western blot - Goat Anti-Rat IgG Fc (HRP) preadsorbed (<a href='/en-us/products/secondary-antibodies/goat-rat-igg-fc-hrp-preadsorbed-ab97090'>ab97090</a>) at 1/20000 dilution

Observed band size: 150 kDa

false

Exposure time: 37s

Key facts

Host species

Rat

Clonality

Monoclonal

Clone number

EPR19518

Isotype

IgG2a

Carrier free

No

Reacts with

Human, Mouse, Rat

Applications

WB, IHC-P

applications

Immunogen

The exact immunogen used to generate this antibody is proprietary information.

Reactivity data

{ "title": "Reactivity Data", "filters": { "stats": ["", "Species", "Dilution Info", "Notes"], "tabs": { "all-applications": {"fullname" : "All Applications", "shortname": "All Applications"}, "WB" : {"fullname" : "Western blot", "shortname":"WB"}, "IHCP" : {"fullname" : "Immunohistochemistry (Formalin/PFA-fixed paraffin-embedded sections)", "shortname":"IHC-P"}, "IHCFr" : {"fullname" : "Immunohistochemistry (Frozen sections)", "shortname":"IHC-Fr"}, "ICCIF" : {"fullname" : "Immunocytochemistry/ Immunofluorescence", "shortname":"ICC/IF"}, "FlowCytIntra" : {"fullname" : "Flow Cytometry (Intracellular)", "shortname":"Flow Cyt (Intra)"} }, "product-promise": { "all": "all", "testedAndGuaranteed": "tested", "guaranteed": "expected", "predicted": "predicted", "notRecommended": "not-recommended" } }, "values": { "Human": { "WB-species-checked": "testedAndGuaranteed", "WB-species-dilution-info": "1/1000", "WB-species-notes": "<p></p>", "IHCP-species-checked": "testedAndGuaranteed", "IHCP-species-dilution-info": "1/250", "IHCP-species-notes": "<p></p> Perform heat-mediated antigen retrieval with citrate buffer pH 6 before commencing with IHC staining protocol.", "IHCFr-species-checked": "notRecommended", "IHCFr-species-dilution-info": "", "IHCFr-species-notes": "", "ICCIF-species-checked": "notRecommended", "ICCIF-species-dilution-info": "", "ICCIF-species-notes": "<p></p>", "FlowCytIntra-species-checked": "notRecommended", "FlowCytIntra-species-dilution-info": "", "FlowCytIntra-species-notes": "<p></p>" }, "Mouse": { "WB-species-checked": "testedAndGuaranteed", "WB-species-dilution-info": "1/1000", "WB-species-notes": "<p></p>", "IHCP-species-checked": "testedAndGuaranteed", "IHCP-species-dilution-info": "1/250", "IHCP-species-notes": "<p></p> Perform heat-mediated antigen retrieval with citrate buffer pH 6 before commencing with IHC staining protocol.", "IHCFr-species-checked": "notRecommended", "IHCFr-species-dilution-info": "", "IHCFr-species-notes": "<p></p>", "ICCIF-species-checked": "notRecommended", "ICCIF-species-dilution-info": "", "ICCIF-species-notes": "", "FlowCytIntra-species-checked": "notRecommended", "FlowCytIntra-species-dilution-info": "", "FlowCytIntra-species-notes": "<p></p>" }, "Rat": { "WB-species-checked": "testedAndGuaranteed", "WB-species-dilution-info": "1/1000", "WB-species-notes": "<p></p>", "IHCP-species-checked": "testedAndGuaranteed", "IHCP-species-dilution-info": "1/250", "IHCP-species-notes": "<p></p> Perform heat-mediated antigen retrieval with citrate buffer pH 6 before commencing with IHC staining protocol.", "IHCFr-species-checked": "notRecommended", "IHCFr-species-dilution-info": "", "IHCFr-species-notes": "<p></p>", "ICCIF-species-checked": "notRecommended", "ICCIF-species-dilution-info": "", "ICCIF-species-notes": "", "FlowCytIntra-species-checked": "notRecommended", "FlowCytIntra-species-dilution-info": "", "FlowCytIntra-species-notes": "" } } }

Product details

This rat monoclonal chimeric antibody has been engineered from RabMab parent antibody (ab178846). By necessity, some rabbit sequence is retained as part of the variable domain. When multiplexing with other rabbit-derived antibodies, using across absorbed Fc-reactive secondary antibodies are recommended.

What are the advantages of a recombinant monoclonal antibody?
This product is a recombinant monoclonal antibody, which offers several advantages including:

  • - High batch-to-batch consistency and reproducibility
  • - Improved sensitivity and specificity
  • - Long-term security of supply
  • - Animal-free batch production

For more information, read more on recombinant antibodies.

Want a custom formulation?
This antibody clone is manufactured by Abcam. If you require a custom buffer formulation or conjugation for your experiments, please contact orders@abcam.com

Properties and storage information

Form
Liquid
Purification technique
Ion exchange chromatography
Storage buffer
pH: 7.2 - 7.4 Preservative: 0.01% Sodium azide Constituents: PBS, 40% Glycerol (glycerin, glycerine), 0.05% BSA
Shipped at conditions
Blue Ice
Appropriate short-term storage duration
1-2 weeks
Appropriate short-term storage conditions
+4°C
Appropriate long-term storage conditions
-20°C
Storage information
Avoid freeze / thaw cycle

Supplementary information

This supplementary information is collated from multiple sources and compiled automatically.

CD163 known also as hemoglobin scavenger receptor is a membrane glycoprotein with a molecular weight of approximately 130 kDa. It is predominantly expressed by monocytes and macrophages which are types of immune cells. Located on the cell surface CD163 functions as a receptor that aids in the clearance of hemoglobin-haptoglobin complexes playing a critical role in maintaining iron homeostasis and protecting tissues from oxidative damage. CD163 is not limited to human cells only; researchers often study its function using animal models such as chimeric rodents and chimeric rats.
Biological function summary

CD163 participates in anti-inflammatory processes and is linked to immune modulation. It plays a pivotal role in the resolution of inflammation and promotes the removal of damaged cells and tissues. Through its involvement in the endocytic pathway CD163 interacts with various ligands facilitating interactions with other proteins. In the context of research CD163 functionality can be analyzed using techniques like CD163 IHC CD163 ELISA and CD163 stain in both human and mouse models.

Pathways

CD163 is integral to the inflammation and immune response pathways. It participates in the heme-oxygenase pathway which is essential in the breakdown of heme into biliverdin free iron and carbon monoxide. This pathway involvement is tightly linked with heme oxygenase-1 (HO-1) a cytoprotective enzyme that helps to mitigate inflammatory responses. The interaction with haptoglobin and related proteins provides further insight into its regulatory roles within the immune system.

CD163 is associated with conditions like atherosclerosis and acute inflammation disorders. Its elevated levels indicate macrophage activation observed in chronic inflammations such as cardiovascular diseases. In atherosclerosis CD163 expression correlates with the uptake of oxidized LDL connecting it to progression of the disease. Additionally soluble CD163 levels serve as a biomarker in conditions like chronic liver disease where it is linked to macrophage activation and fibrosis. Within these disorders proteins like LDL and inflammatory cytokines are closely associated with CD163 function and regulation.

Product protocols

For this product, it's our understanding that no specific protocols are required. You can visit:

Target data

Acute phase-regulated receptor involved in clearance and endocytosis of hemoglobin/haptoglobin complexes by macrophages and may thereby protect tissues from free hemoglobin-mediated oxidative damage. May play a role in the uptake and recycling of iron, via endocytosis of hemoglobin/haptoglobin and subsequent breakdown of heme. Binds hemoglobin/haptoglobin complexes in a calcium-dependent and pH-dependent manner. Exhibits a higher affinity for complexes of hemoglobin and multimeric haptoglobin of HP*1F phenotype than for complexes of hemoglobin and dimeric haptoglobin of HP*1S phenotype. Induces a cascade of intracellular signals that involves tyrosine kinase-dependent calcium mobilization, inositol triphosphate production and secretion of IL6 and CSF1. Isoform 3 exhibits the higher capacity for ligand endocytosis and the more pronounced surface expression when expressed in cells.. After shedding, the soluble form (sCD163) may play an anti-inflammatory role, and may be a valuable diagnostic parameter for monitoring macrophage activation in inflammatory conditions.
See full target information CD163

Publications (2)

Recent publications for all applications. Explore the full list and refine your search

Biomedicines 13: PubMed40149548

2025

Pan-Cancer Characterization Identifies SLC19A1 as an Unfavorable Prognostic Marker and Associates It with Tumor Infiltration Features.

Applications

Unspecified application

Species

Unspecified reactive species

Yimin Pan,Zhichen Liu,Changwu Wu

Nature communications 15:6480 PubMed39090108

2024

Tregs delivered post-myocardial infarction adopt an injury-specific phenotype promoting cardiac repair via macrophages in mice.

Applications

Unspecified application

Species

Unspecified reactive species

Yasmin K Alshoubaki,Bhavana Nayer,Yen-Zhen Lu,Ekaterina Salimova,Sin Nee Lau,Jean L Tan,Daniela Amann-Zalcenstein,Peter F Hickey,Gonzalo Del Monte-Nieto,Ajithkumar Vasanthakumar,Mikaël M Martino
View all publications

Product promise

We are committed to supporting your work with high-quality reagents, and we're here for you every step of the way. In the unlikely event that one of our products does not perform as expected, you're protected by our Product Promise.
For full details, please see our Terms & Conditions

Please note: All products are 'FOR RESEARCH USE ONLY. NOT FOR USE IN DIAGNOSTIC OR THERAPEUTIC PROCEDURES'.

For licensing inquiries, please contact partnerships@abcam.com