JavaScript is disabled in your browser. Please enable JavaScript to view this website.
AB156769

Anti-CD163 antibody [OTI2G12]

5

(5 Reviews)

|

(71 Publications)

Anti-CD163 antibody [OTI2G12] (ab156769) is a mouse monoclonal antibody detecting CD163 in Western Blot, IHC-P, ICC/IF. Suitable for African green monkey, Human.

- Over 40 publications

View Alternative Names

CD163, M130, Scavenger receptor cysteine-rich type 1 protein M130, Hemoglobin scavenger receptor

5 Images
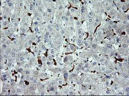
Immunohistochemistry (Formalin/PFA-fixed paraffin-embedded sections) - Anti-CD163 antibody [OTI2G12] (AB156769)
  • IHC-P

Unknown

Immunohistochemistry (Formalin/PFA-fixed paraffin-embedded sections) - Anti-CD163 antibody [OTI2G12] (AB156769)

Paraffin-embedded human liver tissue stained for CD163 with ab156769 (1/150 dilution) in immunohistochemical analysis.

Immunocytochemistry/ Immunofluorescence - Anti-CD163 antibody [OTI2G12] (AB156769)
  • ICC/IF

AbReview37370****

Immunocytochemistry/ Immunofluorescence - Anti-CD163 antibody [OTI2G12] (AB156769)

ab156769 staining CD163 in Human skeletal muscle (Gastrocnemius) by ICC/IF (Immunocytochemistry/immunofluorescence). Cells were fixed with methacarn and blocked with 10% serum for 20 minutes at 25°C. Samples were incubated with primary antibody (1/100) for 14 hours at 4°C. An Alexa Fluor® 555-conjugated Goat anti-mouse polyclonal was used as the secondary antibody (1/200).

This image is courtesy of an anonymous Abreview

Western blot - Anti-CD163 antibody [OTI2G12] (AB156769)
  • WB

Unknown

Western blot - Anti-CD163 antibody [OTI2G12] (AB156769)

HEK-293T cell lysates were generated from transient transfection of the cDNA clone (RC212446)

All lanes:

Western blot - Anti-CD163 antibody [OTI2G12] (ab156769) at 1/1000 dilution

Lane 1:

HEK-293T (human epithelial cell line from embryonic kidney transformed with large T antigen) cell lysate transfected with pCMV6-ENTRY control at 5 µg

Lane 2:

HEK-293T (human epithelial cell line from embryonic kidney transformed with large T antigen) cell lysate transfected with pCMV6-ENTRY CD163 cDNA at 5 µg

Predicted band size: 125 kDa

false

Western blot - Anti-CD163 antibody [OTI2G12] (AB156769)
  • WB

AbReview37811****

Western blot - Anti-CD163 antibody [OTI2G12] (AB156769)

Sample : Human tissue lysate - whole (Skeletal muscle (Gastrocnemius).
Specification : Skeletal muscle (Gastrocnemius).
Blocking step : Milk as blocking agent for 1 hour(s) and 0 minute(s) Concentration : 5% Temperature : 25°C.

ab156769 used at a 1/1000 dilution.

A Goat Anti-Mouse Alexa Fluor® 488 was used as the secondary at a 1/5000 dilution.

CON = Healthy patient known to express basal levels of macrophages.
POS = Patient of interest Non specific bands more faint than band of interest in POS.

All lanes:

Western blot - Anti-CD163 antibody [OTI2G12] (ab156769)

Predicted band size: 125 kDa

false

Exposure time: 2min

Immunocytochemistry/ Immunofluorescence - Anti-CD163 antibody [OTI2G12] (AB156769)
  • ICC/IF

Unknown

Immunocytochemistry/ Immunofluorescence - Anti-CD163 antibody [OTI2G12] (AB156769)

Immunofluorescent analysis of COS-7 (african green monkey kidney fibroblast-like cell line) cells transiently transfected with pCMV6-ENTRY CD163 labeling CD163 with ab156769 at 1/100 dilution.

Key facts

Host species

Mouse

Clonality

Monoclonal

Clone number

OTI2G12

Isotype

IgG1

Carrier free

No

Reacts with

Human, African green monkey

Applications

IHC-P, ICC/IF, WB

applications

Immunogen

Recombinant Full Length Protein corresponding to Human CD163.

Q86VB7

Reactivity data

{ "title": "Reactivity Data", "filters": { "stats": ["", "Species", "Dilution Info", "Notes"], "tabs": { "all-applications": {"fullname" : "All Applications", "shortname": "All Applications"}, "WB" : {"fullname" : "Western blot", "shortname":"WB"}, "IHCP" : {"fullname" : "Immunohistochemistry (Formalin/PFA-fixed paraffin-embedded sections)", "shortname":"IHC-P"}, "ICCIF" : {"fullname" : "Immunocytochemistry/ Immunofluorescence", "shortname":"ICC/IF"} }, "product-promise": { "all": "all", "testedAndGuaranteed": "tested", "guaranteed": "expected", "predicted": "predicted", "notRecommended": "not-recommended" } }, "values": { "Human": { "WB-species-checked": "testedAndGuaranteed", "WB-species-dilution-info": "1/1000", "WB-species-notes": "<p></p>", "IHCP-species-checked": "testedAndGuaranteed", "IHCP-species-dilution-info": "1/150", "IHCP-species-notes": "<p></p>", "ICCIF-species-checked": "guaranteed", "ICCIF-species-dilution-info": "", "ICCIF-species-notes": "" }, "African green monkey": { "WB-species-checked": "guaranteed", "WB-species-dilution-info": "", "WB-species-notes": "", "IHCP-species-checked": "guaranteed", "IHCP-species-dilution-info": "", "IHCP-species-notes": "", "ICCIF-species-checked": "testedAndGuaranteed", "ICCIF-species-dilution-info": "1/100", "ICCIF-species-notes": "<p></p>" } } }

Product details

What is this antibody validated in?
Anti-CD163 antibody [OTI2G12] (ab156769) is a mouse monoclonal antibody and is validated for use in Western Blot (WB), Immunohistochemistry (IHC-P), Immunocytochemistry/immunofluorescence (ICC/IF) in African green monkey, Human samples.

What is the molecular weight of CD163?
Anti-CD163 [OTI2G12] (ab156769) specifically detects a band for CD163 (UniProt: Q86VB7) at a molecular weight of 125kDa.

Trusted by the scientific community
Anti-CD163 [OTI2G12] (ab156769) was first used in a scientific publication in 2013 and has been cited over 40 times in peer-reviewed journals.

Properties and storage information

Form
Liquid
Purification technique
Affinity purification Protein G
Purification notes
ab156769 was purified from cell culture supernatant by affinity chromatography.
Storage buffer
pH: 7.3 Preservative: 0.02% Sodium azide Constituents: PBS, 50% Glycerol (glycerin, glycerine), 1% BSA
Shipped at conditions
Blue Ice
Appropriate short-term storage conditions
+4°C
Appropriate long-term storage conditions
-20°C
Aliquoting information
Upon delivery aliquot
Storage information
Avoid freeze / thaw cycle

Supplementary information

This supplementary information is collated from multiple sources and compiled automatically.

CD163 known also as hemoglobin scavenger receptor is a membrane glycoprotein with a molecular weight of approximately 130 kDa. It is predominantly expressed by monocytes and macrophages which are types of immune cells. Located on the cell surface CD163 functions as a receptor that aids in the clearance of hemoglobin-haptoglobin complexes playing a critical role in maintaining iron homeostasis and protecting tissues from oxidative damage. CD163 is not limited to human cells only; researchers often study its function using animal models such as chimeric rodents and chimeric rats.
Biological function summary

CD163 participates in anti-inflammatory processes and is linked to immune modulation. It plays a pivotal role in the resolution of inflammation and promotes the removal of damaged cells and tissues. Through its involvement in the endocytic pathway CD163 interacts with various ligands facilitating interactions with other proteins. In the context of research CD163 functionality can be analyzed using techniques like CD163 IHC CD163 ELISA and CD163 stain in both human and mouse models.

Pathways

CD163 is integral to the inflammation and immune response pathways. It participates in the heme-oxygenase pathway which is essential in the breakdown of heme into biliverdin free iron and carbon monoxide. This pathway involvement is tightly linked with heme oxygenase-1 (HO-1) a cytoprotective enzyme that helps to mitigate inflammatory responses. The interaction with haptoglobin and related proteins provides further insight into its regulatory roles within the immune system.

CD163 is associated with conditions like atherosclerosis and acute inflammation disorders. Its elevated levels indicate macrophage activation observed in chronic inflammations such as cardiovascular diseases. In atherosclerosis CD163 expression correlates with the uptake of oxidized LDL connecting it to progression of the disease. Additionally soluble CD163 levels serve as a biomarker in conditions like chronic liver disease where it is linked to macrophage activation and fibrosis. Within these disorders proteins like LDL and inflammatory cytokines are closely associated with CD163 function and regulation.

Product protocols

For this product, it's our understanding that no specific protocols are required. You can visit:

Target data

Acute phase-regulated receptor involved in clearance and endocytosis of hemoglobin/haptoglobin complexes by macrophages and may thereby protect tissues from free hemoglobin-mediated oxidative damage. May play a role in the uptake and recycling of iron, via endocytosis of hemoglobin/haptoglobin and subsequent breakdown of heme. Binds hemoglobin/haptoglobin complexes in a calcium-dependent and pH-dependent manner. Exhibits a higher affinity for complexes of hemoglobin and multimeric haptoglobin of HP*1F phenotype than for complexes of hemoglobin and dimeric haptoglobin of HP*1S phenotype. Induces a cascade of intracellular signals that involves tyrosine kinase-dependent calcium mobilization, inositol triphosphate production and secretion of IL6 and CSF1. Isoform 3 exhibits the higher capacity for ligand endocytosis and the more pronounced surface expression when expressed in cells.. After shedding, the soluble form (sCD163) may play an anti-inflammatory role, and may be a valuable diagnostic parameter for monitoring macrophage activation in inflammatory conditions.
See full target information CD163

Publications (71)

Recent publications for all applications. Explore the full list and refine your search

Acta clinica Croatica 63:684-692 PubMed41050242

2025

RELATIONSHIP OF IMMUNOHISTOCHEMICAL EXPRESSION OF CD86/CD163 POSITIVE INTRATUMORAL MACROPHAGES WITH PROGNOSIS OF PANCREATIC DUCTAL ADENOCARCINOMA.

Applications

Unspecified application

Species

Unspecified reactive species

Goran Glavčić,Mario Zovak,Slavica Sović,Silvija Mašić,Nina Blažević,Zvonimir Misir,Zdenko Bilić,Marin Glavčić,Petra Radulović

Parasite immunology 47:e70026 PubMed40947759

2025

In Situ Evaluation of Macrophage Populations and Inflammasome Components in Cutaneous and Mucocutaneous Leishmaniasis.

Applications

Unspecified application

Species

Unspecified reactive species

Caroline de Heleno Chagas de Carvalho,Gabriela Venicia Araujo Flores,Carmen Maria Sandoval Pacheco,Vania Lucia da Ribeiro da Matta,Carolina de Esteves de Morais,Ricardo Romiti,Walter Belda Júnior,Márcia Dalastra Laurenti

Cellular and molecular life sciences : CMLS 82:280 PubMed40682610

2025

CXCL12/CXCR4 modulates macrophage efferocytosis to induce glomerular crescent formation and fibrosis via ELMO1/DOCK180/RAC1 signaling in ANCA-associated glomerulonephritis.

Applications

Unspecified application

Species

Unspecified reactive species

Zilin Liu,Yongqi Deng,Xiaomei Song,Xin Cai,Huaying Xiong,Liwen Tan,Shengsen Wei,Qiulin Li,Xiong Wang,Wei Jiang,Yaxi Chen,Qiu Li,Mo Wang

Scientific reports 15:25065 PubMed40645977

2025

Construction of a macrophage-related prognostic signature and assessment of immune checkpoint inhibitor efficacy of HCC.

Applications

Unspecified application

Species

Unspecified reactive species

Shouge Zang,Hongwei Chen,Yuqian Han,Di Cui,Jiangtao Yu

Cell death discovery 11:317 PubMed40634288

2025

ELAVL1-mediated USP29 mRNA degradation activates TAK1 driving M1 microglial polarization and neural stem cell differentiation dysregulation in spinal cord injury.

Applications

Unspecified application

Species

Unspecified reactive species

Chunhe Sha,Feng Pan,Xiaodong Liu,Zhiqing Wang,Guohui Liu,Kai Huang

The Tohoku journal of experimental medicine : PubMed40571644

2025

MiR-324-3p Drives Malignant Behaviors of Tumor Cells by Promoting M2 Macrophage Polarization in Laryngeal Squamous Cell Carcinoma.

Applications

Unspecified application

Species

Unspecified reactive species

Jinqiao Huang,Xiufen Chen,Xian Chen

Cancer medicine 14:e70974 PubMed40396420

2025

AKR1B1 Expression in the Colorectal Tumor Microenvironment Contributes Towards Its Prognostic Significance.

Applications

Unspecified application

Species

Unspecified reactive species

Seçil Demirkol Canlı,Güneş Güner,Aynur Işık,Branka Sosic-Jurjevi,Aleksandra Djikic Rom,Esin Gülce Seza,Ömer Dizdar,Sandra Dragicevic,Aleksandra Nikolic,Aytekin Akyol,Sreeparna Banerjee

APL bioengineering 9:026112 PubMed40290726

2025

Programmed wound healing in aged skin may be enhanced by mesenchymal cell loaded gene-activated scaffolds.

Applications

Unspecified application

Species

Unspecified reactive species

Priya Das,Martin Maresch,Nigamananda Dey,Noof Sulaiman,Amr Gamal Ashour,Hamad M Ammar,Mohammed Basem,Mohammed A Al Muharraqi,Matthew McGrath,Melvin Varghese Jacob,Fergal J O'Brien,Michael B Keogh

Nature communications 16:3705 PubMed40251193

2025

Covalently reactive microparticles imbibe blood to form fortified clots for rapid hemostasis and prevention of rebleeding.

Applications

Unspecified application

Species

Unspecified reactive species

Ting Chen,Chaonan Xiao,Xianjun Chen,Ziyi Yang,Jingwei Zhao,Bingkun Bao,Qingmei Zeng,Li Jiang,Xinyi Huang,Yi Yang,Qiuning Lin,Wei Gong,Linyong Zhu

Communications biology 8:514 PubMed40155473

2025

Defining gastric cancer ecology: the crucial roles of TREM2 macrophages and fibroblasts in tumor microenvironments.

Applications

Unspecified application

Species

Unspecified reactive species

Qianqian Cao,Dianshui Sun,Can Tu,Jihua Wang,Runjia Fu,Rumei Gong,Yueying Xiao,Qin Liu,Xiaomei Li
View all publications

Product promise

We are committed to supporting your work with high-quality reagents, and we're here for you every step of the way. In the unlikely event that one of our products does not perform as expected, you're protected by our Product Promise.
For full details, please see our Terms & Conditions

Please note: All products are 'FOR RESEARCH USE ONLY. NOT FOR USE IN DIAGNOSTIC OR THERAPEUTIC PROCEDURES'.

For licensing inquiries, please contact partnerships@abcam.com