JavaScript is disabled in your browser. Please enable JavaScript to view this website.
AB316219

Anti-CD163 antibody [RM1114] - BSA and Azide free

Be the first to review this product! Submit a review

|

(0 Publication)

Rabbit Recombinant Multiclonal CD163 antibody. Carrier free. Suitable for Flow Cyt (Intra), ICC/IF, IHC-P, IP, WB and reacts with Human, Mouse, Rat samples.

View Alternative Names

CD163, M130, Scavenger receptor cysteine-rich type 1 protein M130, Hemoglobin scavenger receptor

10 Images
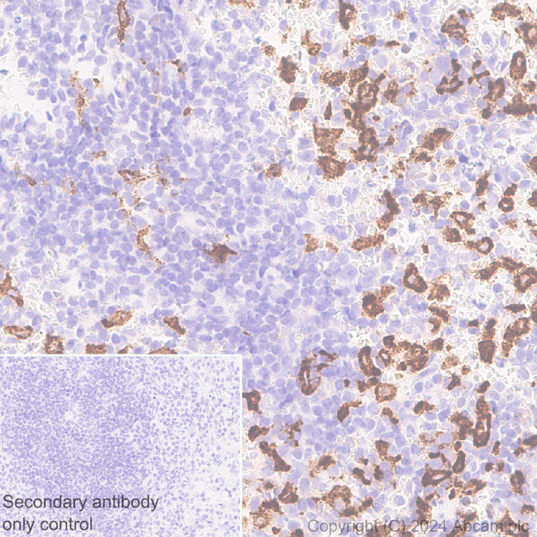
Immunohistochemistry (Formalin/PFA-fixed paraffin-embedded sections) - Anti-CD163 antibody [RM1114] - BSA and Azide free (AB316219)
  • IHC-P

Supplier Data

Immunohistochemistry (Formalin/PFA-fixed paraffin-embedded sections) - Anti-CD163 antibody [RM1114] - BSA and Azide free (AB316219)

This data was developed using ab316218, the same antibody clone in a different buffer formulation.

Immunohistochemical analysis of paraffin-embedded Human colon tissue labeling CD163 with ab316218 at 1/500 (0.988 ug/ml) dilution, followed by a ready to use LeicaDS9800 (Bond™ Polymer Refine Detection).

Positive staining on immune cells of human colon in (A) ab316218, non-specific staining on human colon in (B) ab87099.
The image on (A) ab316218 is applied with Anti-CD163 antibody at 1/500 dilution and (B) ab87099 is applied with Anti-CD163 antibody at 1/200 dilution.
The section was incubated with ab316218 or ab87099 for 30 mins at room temperature.
The immunostaining was performed on a Leica Biosystems BOND® RX instrument.

Counterstained with Hematoxylin.

Secondary antibody only control : Secondary antibody is a ready to use LeicaDS9800 (Bond™ Polymer Refine Detection).

Heat mediated antigen retrieval was performed with Tris-EDTA buffer (pH 9.0, Epitope Retrieval Solution2) for 20 mins.

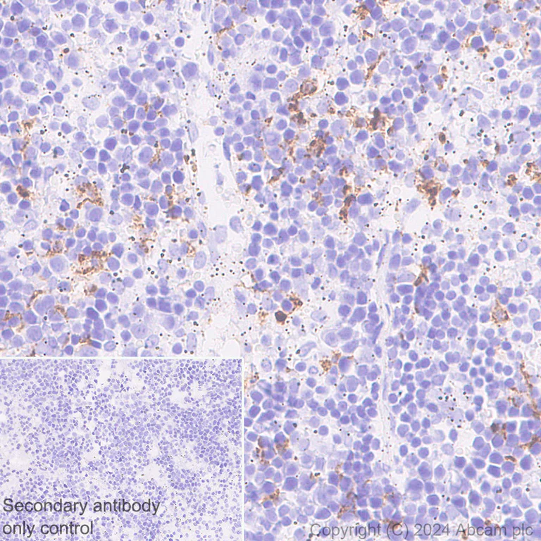
Immunohistochemistry (Formalin/PFA-fixed paraffin-embedded sections) - Anti-CD163 antibody [RM1114] - BSA and Azide free (AB316219)
  • IHC-P

Supplier Data

Immunohistochemistry (Formalin/PFA-fixed paraffin-embedded sections) - Anti-CD163 antibody [RM1114] - BSA and Azide free (AB316219)

This data was developed using ab316218, the same antibody clone in a different buffer formulation.

Immunohistochemical analysis of paraffin-embedded Human spleen tissue labeling CD163 with ab316218 at 1/500 (0.988 ug/ml) dilution, followed by a ready to use LeicaDS9800 (Bond™ Polymer Refine Detection).

Positive staining on human spleen in (A) ab316218 and (B) ab87099.
The image on (A) ab316218 is applied with Anti-CD163 antibody at 1/500 dilution and (B) ab87099 is applied with Anti-CD163 antibody at 1/200 dilution.
The section was incubated with ab316218 or ab87099 for 30 mins at room temperature.
The immunostaining was performed on a Leica Biosystems BOND® RX instrument.

Counterstained with Hematoxylin.

Secondary antibody only control : Secondary antibody is a ready to use LeicaDS9800 (Bond™ Polymer Refine Detection).

Heat mediated antigen retrieval was performed with Tris-EDTA buffer (pH 9.0, Epitope Retrieval Solution2) for 20 mins.

Immunocytochemistry/ Immunofluorescence - Anti-CD163 antibody [RM1114] - BSA and Azide free (AB316219)
  • ICC/IF

Supplier Data

Immunocytochemistry/ Immunofluorescence - Anti-CD163 antibody [RM1114] - BSA and Azide free (AB316219)

This data was developed using ab316218, the same antibody clone in a different buffer formulation.

Immunofluorescent analysis of 4% Paraformaldehyde-fixed, 0.1% TritonX-100 permeabilized SU-DHL-1 (human histiocytic lymphoblast-like cell) cells labelling CD163 with ab316218 at 1/50 (9.88 ug/ml) dilution, followed by ab150081 Goat Anti-Rabbit IgG H&L (Alexa Fluor® 488) preadsorbed antibody at 1/1000 (2 ug/mL) dilution (Green).

Confocal image showing cytoplasmic staining in SU-DHL-1 cell line.
Negative control : THP-1 (PMID : 10648003).
Image was taken with a confocal microscope(Leica-Microsystems, TCS SP8).
Left Panel is applied with Anti-CD163 antibody [RM1114] (ab316218) at 1/50 dilution;
Right panel is applied with Anti-CD163 antibody (ab87099) at 1/50 dilution.

ab195889 Anti-alpha Tubulin mouse monoclonal antibody - Microtubule Marker (Alexa Fluor® 594) was used to counterstain tubulin at 1/200 (2.5ug/ml) dilution (Red). The Nuclear counterstain was DAPI (Blue).

Secondary antibody only control : Secondary antibody is ab150081 Goat Anti-Rabbit IgG H&L (Alexa Fluor® 488) preadsorbed at 1/1000 (2 ug/mL) dilution.

Flow Cytometry (Intracellular) - Anti-CD163 antibody [RM1114] - BSA and Azide free (AB316219)
  • Flow Cyt (Intra)

Supplier Data

Flow Cytometry (Intracellular) - Anti-CD163 antibody [RM1114] - BSA and Azide free (AB316219)

This data was developed using ab316218, the same antibody clone in a different buffer formulation.

Flow cytometric analysis of 4% paraformaldehyde fixed 90% methanol permeabilized THP-1 (human monocytic leukemia monocyte, Left) / SU-DHL-1 (human histiocytic lymphoblast-like cell, Right) cells labelling CD163 with ab316218 at 1/500 dilution (0.1 ug)/(Red) compared with a Rabbit monoclonal IgG (ab172730) (Black) isotype control and an unlabelled control (cells without incubation with primary antibody and secondary antibody) (Blue).

Goat Anti-Rabbit IgG (Alexa Fluor® 488, ab150081) at 1/5000 dilution was used as the secondary antibody.

Negative control : THP-1.

Immunoprecipitation - Anti-CD163 antibody [RM1114] - BSA and Azide free (AB316219)
  • IP

Supplier Data

Immunoprecipitation - Anti-CD163 antibody [RM1114] - BSA and Azide free (AB316219)

This data was developed using ab316218, the same antibody clone in a different buffer formulation.

CD163 was immunoprecipitated from 0.35 mg SU-DHL-1 (human histiocytic lymphoblast-like cell) whole cell lysate with ab316218 at 1/30 dilution (2ug in 0.35mg lysates). Western blot was performed on the immunoprecipitate using ab316218 at 1/1000 dilution. VeriBlot for IP secondary antibody(HRP)(ab131366) was used at 1/5000 dilution.

Lane 1 : SU-DHL-1 (human histiocytic lymphoblast-like cell) whole cell lysate
Lane 2 : ab316218 IP in SU-DHL-1 (human histiocytic lymphoblast-like cell) whole cell lysate
Lane 3 : Rabbit monoclonal IgG (ab172730) instead of ab316218 in SU-DHL-1 whole cell lysate

All lanes:

Immunoprecipitation - Anti-CD163 antibody [RM1114] (<a href='/en-us/products/primary-antibodies/cd163-antibody-rm1114-ab316218'>ab316218</a>) at 1/30 dilution

All lanes:

SU-DHL-1 (human histiocytic lymphoblast-like cell) whole cell lysate with 5% NFDM/TBST

Secondary

All lanes:

Immunoprecipitation - VeriBlot for IP Detection Reagent (HRP) (<a href='/en-us/products/reagents/veriblot-for-ip-detection-reagent-hrp-ab131366'>ab131366</a>)

false

Exposure time: 15s

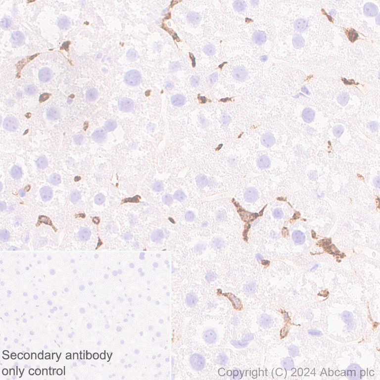
Immunohistochemistry (Formalin/PFA-fixed paraffin-embedded sections) - Anti-CD163 antibody [RM1114] - BSA and Azide free (AB316219)
  • IHC-P

Supplier Data

Immunohistochemistry (Formalin/PFA-fixed paraffin-embedded sections) - Anti-CD163 antibody [RM1114] - BSA and Azide free (AB316219)

This data was developed using ab316218, the same antibody clone in a different buffer formulation.

Immunohistochemical analysis of paraffin-embedded Mouse liver tissue labeling CD163 with ab316218 at 1/500 (0.988 ug/ml) dilution, followed by a ready to use LeicaDS9800 (Bond™ Polymer Refine Detection).

Positive staining on kupffer cells of mouse liver. The section was incubated with ab316218 for 30 mins at room temperature.
The immunostaining was performed on a Leica Biosystems BOND® RX instrument.

Counterstained with Hematoxylin.

Secondary antibody only control : Secondary antibody is a ready to use LeicaDS9800 (Bond™ Polymer Refine Detection).

Heat mediated antigen retrieval was performed with Tris-EDTA buffer (pH 9.0, Epitope Retrieval Solution2) for 20 mins.

Immunohistochemistry (Formalin/PFA-fixed paraffin-embedded sections) - Anti-CD163 antibody [RM1114] - BSA and Azide free (AB316219)
  • IHC-P

Supplier Data

Immunohistochemistry (Formalin/PFA-fixed paraffin-embedded sections) - Anti-CD163 antibody [RM1114] - BSA and Azide free (AB316219)

This data was developed using ab316218, the same antibody clone in a different buffer formulation.

Immunohistochemical analysis of paraffin-embedded Mouse spleen tissue labeling CD163 with ab316218 at 1/500 (0.988 ug/ml) dilution, followed by a ready to use LeicaDS9800 (Bond™ Polymer Refine Detection).

Positive staining on mouse spleen. The section was incubated with ab316218 for 30 mins at room temperature.
The immunostaining was performed on a Leica Biosystems BOND® RX instrument.

Counterstained with Hematoxylin.

Secondary antibody only control : Secondary antibody is a ready to use LeicaDS9800 (Bond™ Polymer Refine Detection).

Heat mediated antigen retrieval was performed with Tris-EDTA buffer (pH 9.0, Epitope Retrieval Solution2) for 20 mins.

Immunohistochemistry (Formalin/PFA-fixed paraffin-embedded sections) - Anti-CD163 antibody [RM1114] - BSA and Azide free (AB316219)
  • IHC-P

Supplier Data

Immunohistochemistry (Formalin/PFA-fixed paraffin-embedded sections) - Anti-CD163 antibody [RM1114] - BSA and Azide free (AB316219)

This data was developed using ab316218, the same antibody clone in a different buffer formulation.

Immunohistochemical analysis of paraffin-embedded Rat spleen tissue labeling CD163 with ab316218 at 1/500 (0.988 ug/ml) dilution, followed by a ready to use LeicaDS9800 (Bond™ Polymer Refine Detection).

Positive staining on rat spleen. The section was incubated with ab316218 for 30 mins at room temperature.
The immunostaining was performed on a Leica Biosystems BOND® RX instrument.

Counterstained with Hematoxylin.

Secondary antibody only control : Secondary antibody is a ready to use LeicaDS9800 (Bond™ Polymer Refine Detection).

Heat mediated antigen retrieval was performed with Tris-EDTA buffer (pH 9.0, Epitope Retrieval Solution2) for 20 mins.

Western blot - Anti-CD163 antibody [RM1114] - BSA and Azide free (AB316219)
  • WB

Supplier Data

Western blot - Anti-CD163 antibody [RM1114] - BSA and Azide free (AB316219)

This data was developed using ab316218, the same antibody clone in a different buffer formulation.

Negative control : U-937 and THP-1(PMID : 10648003).

In Western blot, Anti-GAPDH antibody [EPR16891] - Loading Control (ab181602) staining at 1/200000 dilution.

Exposure time : Lanes 1-2 : 180 seconds; Lane 3-6 : 26 seconds

All lanes:

Western blot - Anti-CD163 antibody [RM1114] (<a href='/en-us/products/primary-antibodies/cd163-antibody-rm1114-ab316218'>ab316218</a>) at 1/1000 dilution

Lane 1:

Human spleen tissue lysate at 20 µg with 5% NFDM/TBST

Lane 2:

Human liver tissue lysate at 20 µg with 5% NFDM/TBST

Lane 3:

Human placenta tissue lysate at 20 µg with 5% NFDM/TBST

Lane 4:

SU-DHL-1 (human histiocytic lymphoblast-like cell) whole cell lysate at 20 µg with 5% NFDM/TBST

Lane 5:

U-937 (human histiocytic lymphoma monocyte) whole cell lysate at 20 µg with 5% NFDM/TBST

Lane 6:

THP-1 (human monocytic leukemia monocyte) whole cell lysate at 20 µg with 5% NFDM/TBST

Secondary

All lanes:

Goat Anti-Rabbit IgG (HRP) with minimal cross-reactivity with human IgG at 1/2000 dilution

Observed band size: 150 kDa,36 kDa

false

Western blot - Anti-CD163 antibody [RM1114] - BSA and Azide free (AB316219)
  • WB

Supplier Data

Western blot - Anti-CD163 antibody [RM1114] - BSA and Azide free (AB316219)

This data was developed using ab316218, the same antibody clone in a different buffer formulation.

Left Panel is applied with Anti-CD163 antibody [RM1114] (ab316218) at 1/1000 dilution (0.494 ug/ml); Right panel is applied with Anti-CD163 antibody (ab87099) at 1/1000 dilution (0.2 ug/ml).

Exposure time : Lanes 1-2 : 180 seconds; Lane 3-4 : 26 seconds

All lanes:

Western blot - Anti-CD163 antibody [RM1114] (<a href='/en-us/products/primary-antibodies/cd163-antibody-rm1114-ab316218'>ab316218</a>) at 1/1000 dilution

Lane 1:

Human spleen tissue lysate at 20 µg with 5% NFDM/TBST

Lane 2:

Human liver tissue lysate at 20 µg with 5% NFDM/TBST

Lane 3:

Human placenta tissue lysate at 20 µg with 5% NFDM/TBST

Lane 4:

SU-DHL-1 (human histiocytic lymphoblast-like cell) whole cell lysate at 20 µg with 5% NFDM/TBST

Secondary

All lanes:

Goat Anti-Rabbit IgG (HRP) with minimal cross-reactivity with human IgG at 1/2000 dilution

Observed band size: 150 kDa

false

Key facts

Host species

Rabbit

Clonality

Multiclonal

Clone number

RM1114

Isotype

IgG

Carrier free

Yes

Reacts with

Human, Mouse, Rat

Applications

ICC/IF, Flow Cyt (Intra), WB, IHC-P, IP

applications

Immunogen

The exact immunogen used to generate this antibody is proprietary information.

Specificity

Not suitable for mouse and rat WB.

Reactivity data

{ "title": "Reactivity Data", "filters": { "stats": ["", "Species", "Dilution Info", "Notes"], "tabs": { "all-applications": {"fullname" : "All Applications", "shortname": "All Applications"}, "FlowCytIntra" : {"fullname" : "Flow Cytometry (Intracellular)", "shortname":"Flow Cyt (Intra)"}, "ICCIF" : {"fullname" : "Immunocytochemistry/ Immunofluorescence", "shortname":"ICC/IF"}, "IHCP" : {"fullname" : "Immunohistochemistry (Formalin/PFA-fixed paraffin-embedded sections)", "shortname":"IHC-P"}, "IP" : {"fullname" : "Immunoprecipitation", "shortname":"IP"}, "WB" : {"fullname" : "Western blot", "shortname":"WB"} }, "product-promise": { "all": "all", "testedAndGuaranteed": "tested", "guaranteed": "expected", "predicted": "predicted", "notRecommended": "not-recommended" } }, "values": { "Human": { "FlowCytIntra-species-checked": "testedAndGuaranteed", "FlowCytIntra-species-dilution-info": "", "FlowCytIntra-species-notes": "<p></p>", "ICCIF-species-checked": "testedAndGuaranteed", "ICCIF-species-dilution-info": "", "ICCIF-species-notes": "<p></p>", "IHCP-species-checked": "testedAndGuaranteed", "IHCP-species-dilution-info": "", "IHCP-species-notes": "<p></p>", "IP-species-checked": "testedAndGuaranteed", "IP-species-dilution-info": "", "IP-species-notes": "<p></p>", "WB-species-checked": "testedAndGuaranteed", "WB-species-dilution-info": "", "WB-species-notes": "<p></p>" }, "Mouse": { "FlowCytIntra-species-checked": "guaranteed", "FlowCytIntra-species-dilution-info": "", "FlowCytIntra-species-notes": "", "ICCIF-species-checked": "guaranteed", "ICCIF-species-dilution-info": "", "ICCIF-species-notes": "", "IHCP-species-checked": "testedAndGuaranteed", "IHCP-species-dilution-info": "", "IHCP-species-notes": "<p></p>", "IP-species-checked": "guaranteed", "IP-species-dilution-info": "", "IP-species-notes": "", "WB-species-checked": "notRecommended", "WB-species-dilution-info": "", "WB-species-notes": "<p></p>" }, "Rat": { "FlowCytIntra-species-checked": "guaranteed", "FlowCytIntra-species-dilution-info": "", "FlowCytIntra-species-notes": "", "ICCIF-species-checked": "guaranteed", "ICCIF-species-dilution-info": "", "ICCIF-species-notes": "", "IHCP-species-checked": "testedAndGuaranteed", "IHCP-species-dilution-info": "", "IHCP-species-notes": "<p></p>", "IP-species-checked": "guaranteed", "IP-species-dilution-info": "", "IP-species-notes": "", "WB-species-checked": "notRecommended", "WB-species-dilution-info": "", "WB-species-notes": "<p></p>" } } }

Product details

ab316219 is the carrirer-free version of ab316218.

What are recombinant multiclonals?
Recombinant multiclonals are a mixture of recombinant antibodies co-expressed from a library of heavy and light chains. They offer several advantages including:

  • - The sensitivity of polyclonal antibodies by recognising multiple epitopes
  • - High batch-to-batch consistency and reproducibility
  • - Improved sensitivity and specificity
  • - Long-term security of supply
  • - Animal-free batch production

View our range of recombinant multiclonal antibodies.

Patented technology
Our RabMAb® technology is a patented hybridoma-based technology for making rabbit monoclonal antibodies. For details on our patents, please refer to RabMAb® patents.

Conjugation ready
Our carrier-free antibodies are typically supplied in a PBS-only formulation, purified and free of BSA, sodium azide and glycerol. This conjugation-ready format is designed for use with fluorochromes, metal isotopes, oligonucleotides, and enzymes, which makes them ideal for antibody labelling, functional and cell-based assays, flow-based assays (e.g. mass cytometry) and Multiplex Imaging applications.

Use our conjugation kits for antibody conjugates that are ready-to-use in as little as 20 minutes with 1 minute hands-on-time and 100% antibody recovery: available for fluorescent dyes, HRP, biotin and gold.

Compatibility
This product is compatible with the Maxpar® Antibody Labeling Kit from Fluidigm, without the need for antibody preparation. Maxpar® is a trademark of Fluidigm Canada Inc.

Properties and storage information

Form
Liquid
Purification technique
Affinity purification Protein A
Storage buffer
pH: 7.2 - 7.4 Constituents: 100% PBS
Shipped at conditions
Blue Ice
Appropriate short-term storage conditions
+4°C
Appropriate long-term storage conditions
+4°C

Supplementary information

This supplementary information is collated from multiple sources and compiled automatically.

CD163 known also as hemoglobin scavenger receptor is a membrane glycoprotein with a molecular weight of approximately 130 kDa. It is predominantly expressed by monocytes and macrophages which are types of immune cells. Located on the cell surface CD163 functions as a receptor that aids in the clearance of hemoglobin-haptoglobin complexes playing a critical role in maintaining iron homeostasis and protecting tissues from oxidative damage. CD163 is not limited to human cells only; researchers often study its function using animal models such as chimeric rodents and chimeric rats.
Biological function summary

CD163 participates in anti-inflammatory processes and is linked to immune modulation. It plays a pivotal role in the resolution of inflammation and promotes the removal of damaged cells and tissues. Through its involvement in the endocytic pathway CD163 interacts with various ligands facilitating interactions with other proteins. In the context of research CD163 functionality can be analyzed using techniques like CD163 IHC CD163 ELISA and CD163 stain in both human and mouse models.

Pathways

CD163 is integral to the inflammation and immune response pathways. It participates in the heme-oxygenase pathway which is essential in the breakdown of heme into biliverdin free iron and carbon monoxide. This pathway involvement is tightly linked with heme oxygenase-1 (HO-1) a cytoprotective enzyme that helps to mitigate inflammatory responses. The interaction with haptoglobin and related proteins provides further insight into its regulatory roles within the immune system.

CD163 is associated with conditions like atherosclerosis and acute inflammation disorders. Its elevated levels indicate macrophage activation observed in chronic inflammations such as cardiovascular diseases. In atherosclerosis CD163 expression correlates with the uptake of oxidized LDL connecting it to progression of the disease. Additionally soluble CD163 levels serve as a biomarker in conditions like chronic liver disease where it is linked to macrophage activation and fibrosis. Within these disorders proteins like LDL and inflammatory cytokines are closely associated with CD163 function and regulation.

Product protocols

For this product, it's our understanding that no specific protocols are required. You can visit:

Target data

Acute phase-regulated receptor involved in clearance and endocytosis of hemoglobin/haptoglobin complexes by macrophages and may thereby protect tissues from free hemoglobin-mediated oxidative damage. May play a role in the uptake and recycling of iron, via endocytosis of hemoglobin/haptoglobin and subsequent breakdown of heme. Binds hemoglobin/haptoglobin complexes in a calcium-dependent and pH-dependent manner. Exhibits a higher affinity for complexes of hemoglobin and multimeric haptoglobin of HP*1F phenotype than for complexes of hemoglobin and dimeric haptoglobin of HP*1S phenotype. Induces a cascade of intracellular signals that involves tyrosine kinase-dependent calcium mobilization, inositol triphosphate production and secretion of IL6 and CSF1. Isoform 3 exhibits the higher capacity for ligand endocytosis and the more pronounced surface expression when expressed in cells.. After shedding, the soluble form (sCD163) may play an anti-inflammatory role, and may be a valuable diagnostic parameter for monitoring macrophage activation in inflammatory conditions.
See full target information CD163

Product promise

We are committed to supporting your work with high-quality reagents, and we're here for you every step of the way. In the unlikely event that one of our products does not perform as expected, you're protected by our Product Promise.
For full details, please see our Terms & Conditions

Please note: All products are 'FOR RESEARCH USE ONLY. NOT FOR USE IN DIAGNOSTIC OR THERAPEUTIC PROCEDURES'.

For licensing inquiries, please contact partnerships@abcam.com