JavaScript is disabled in your browser. Please enable JavaScript to view this website.
AB248169

Anti-CD163L1 antibody [EPR6539] - BSA and Azide free

Be the first to review this product! Submit a review

|

(1 Publication)

Rabbit Recombinant Monoclonal CD163L1 antibody. Carrier free. Suitable for IHC-P and reacts with Human samples. Cited in 1 publication.

View Alternative Names

CD163b, CD163B, M160, UNQ6434/PRO23202, CD163L1, Scavenger receptor cysteine-rich type 1 protein M160, CD163 antigen-like 1

9 Images
Immunohistochemistry (Formalin/PFA-fixed paraffin-embedded sections) - Anti-CD163L1 antibody [EPR6539] - BSA and Azide free (AB248169)
  • IHC-P

Unknown

Immunohistochemistry (Formalin/PFA-fixed paraffin-embedded sections) - Anti-CD163L1 antibody [EPR6539] - BSA and Azide free (AB248169)

This data was developed using ab126756, the same antibody clone in a different buffer formulation.

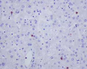
Unpurified ab126756 showing positive staining in Normal liver macrophages tissue.

Perform heat mediated antigen retrieval before commencing with IHC staining protocol.

Immunohistochemistry (Formalin/PFA-fixed paraffin-embedded sections) - Anti-CD163L1 antibody [EPR6539] - BSA and Azide free (AB248169)
  • IHC-P

Unknown

Immunohistochemistry (Formalin/PFA-fixed paraffin-embedded sections) - Anti-CD163L1 antibody [EPR6539] - BSA and Azide free (AB248169)

This data was developed using ab126756, the same antibody clone in a different buffer formulation.

Unpurified ab126756 showing positive staining in Normal stomach macrophages tissue.

Perform heat mediated antigen retrieval before commencing with IHC staining protocol.

Immunohistochemistry (Formalin/PFA-fixed paraffin-embedded sections) - Anti-CD163L1 antibody [EPR6539] - BSA and Azide free (AB248169)
  • IHC-P

Unknown

Immunohistochemistry (Formalin/PFA-fixed paraffin-embedded sections) - Anti-CD163L1 antibody [EPR6539] - BSA and Azide free (AB248169)

This data was developed using ab126756, the same antibody clone in a different buffer formulation.

Unpurified ab126756 showing positive staining in Normal tonsil macrophages tissue.

Perform heat mediated antigen retrieval before commencing with IHC staining protocol.

Immunohistochemistry (Formalin/PFA-fixed paraffin-embedded sections) - Anti-CD163L1 antibody [EPR6539] - BSA and Azide free (AB248169)
  • IHC-P

Unknown

Immunohistochemistry (Formalin/PFA-fixed paraffin-embedded sections) - Anti-CD163L1 antibody [EPR6539] - BSA and Azide free (AB248169)

This data was developed using ab126756, the same antibody clone in a different buffer formulation.

Unpurified ab126756, at 1/100 dilution, staining CD163L1 in paraffin-embedded Human spleen tissue by Immunohistochemsitry.

Perform heat mediated antigen retrieval before commencing with IHC staining protocol.

Immunohistochemistry (Formalin/PFA-fixed paraffin-embedded sections) - Anti-CD163L1 antibody [EPR6539] - BSA and Azide free (AB248169)
  • IHC-P

Unknown

Immunohistochemistry (Formalin/PFA-fixed paraffin-embedded sections) - Anti-CD163L1 antibody [EPR6539] - BSA and Azide free (AB248169)

This data was developed using ab126756, the same antibody clone in a different buffer formulation.

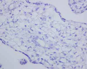
Unpurified ab126756 showing negative staining in Normal placenta tissue.

Perform heat mediated antigen retrieval before commencing with IHC staining protocol.

Immunohistochemistry (Formalin/PFA-fixed paraffin-embedded sections) - Anti-CD163L1 antibody [EPR6539] - BSA and Azide free (AB248169)
  • IHC-P

Unknown

Immunohistochemistry (Formalin/PFA-fixed paraffin-embedded sections) - Anti-CD163L1 antibody [EPR6539] - BSA and Azide free (AB248169)

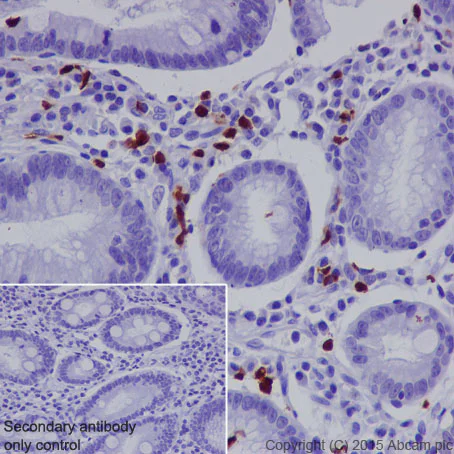
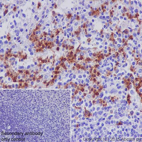
This data was developed using ab126756, the same antibody clone in a different buffer formulation.Immunohistochemical staining of paraffin embedded human stomach with purified ab126756 at a working dilution of 1/2000. The secondary antibody used is ab97051, a goat anti-rabbit IgG (H&L) at a dilution of 1/500. The sample is counter-stained with hematoxylin. Antigen retrieval was perfomed using Tris-EDTA buffer, pH 9.0. PBS was used instead of the primary antibody as the negative control, and is shown in the inset.

Immunohistochemistry (Formalin/PFA-fixed paraffin-embedded sections) - Anti-CD163L1 antibody [EPR6539] - BSA and Azide free (AB248169)
  • IHC-P

Unknown

Immunohistochemistry (Formalin/PFA-fixed paraffin-embedded sections) - Anti-CD163L1 antibody [EPR6539] - BSA and Azide free (AB248169)

This data was developed using ab126756, the same antibody clone in a different buffer formulation.

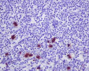
Unpurified ab126756 showing positive staining in Normal lung macrophages tissue.

Perform heat mediated antigen retrieval before commencing with IHC staining protocol.

Immunohistochemistry (Formalin/PFA-fixed paraffin-embedded sections) - Anti-CD163L1 antibody [EPR6539] - BSA and Azide free (AB248169)
  • IHC-P

Unknown

Immunohistochemistry (Formalin/PFA-fixed paraffin-embedded sections) - Anti-CD163L1 antibody [EPR6539] - BSA and Azide free (AB248169)

This data was developed using ab126756, the same antibody clone in a different buffer formulation.

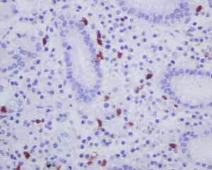
Unpurified ab126756, at 1/100 dilution, staining CD163L1 in paraffin-embedded Human uterus tissue by Immunohistochemistry.

Perform heat mediated antigen retrieval before commencing with IHC staining protocol.

Immunohistochemistry (Formalin/PFA-fixed paraffin-embedded sections) - Anti-CD163L1 antibody [EPR6539] - BSA and Azide free (AB248169)
  • IHC-P

Unknown

Immunohistochemistry (Formalin/PFA-fixed paraffin-embedded sections) - Anti-CD163L1 antibody [EPR6539] - BSA and Azide free (AB248169)

This data was developed using ab126756, the same antibody clone in a different buffer formulation.Immunohistochemical staining of paraffin embedded human spleen with purified ab126756 at a working dilution of 1/2000. The secondary antibody used is ab97051, a goat anti-rabbit IgG (H&L) at a dilution of 1/500. The sample is counter-stained with hematoxylin. Antigen retrieval was perfomed using Tris-EDTA buffer, pH 9.0. PBS was used instead of the primary antibody as the negative control, and is shown in the inset.

Key facts

Host species

Rabbit

Clonality

Monoclonal

Clone number

EPR6539

Isotype

IgG

Carrier free

Yes

Reacts with

Human

Applications

IHC-P

applications

Immunogen

The exact immunogen used to generate this antibody is proprietary information.

Reactivity data

{ "title": "Reactivity Data", "filters": { "stats": ["", "Species", "Dilution Info", "Notes"], "tabs": { "all-applications": {"fullname" : "All Applications", "shortname": "All Applications"}, "IHCP" : {"fullname" : "Immunohistochemistry (Formalin/PFA-fixed paraffin-embedded sections)", "shortname":"IHC-P"}, "ICCIF" : {"fullname" : "Immunocytochemistry/ Immunofluorescence", "shortname":"ICC/IF"} }, "product-promise": { "all": "all", "testedAndGuaranteed": "tested", "guaranteed": "expected", "predicted": "predicted", "notRecommended": "not-recommended" } }, "values": { "Human": { "IHCP-species-checked": "testedAndGuaranteed", "IHCP-species-dilution-info": "", "IHCP-species-notes": "<p></p>", "ICCIF-species-checked": "notRecommended", "ICCIF-species-dilution-info": "", "ICCIF-species-notes": "<p></p>" } } }

Product details

ab248169 is the carrier-free version of ab126756.

Patented technology
Our RabMAb® technology is a patented hybridoma-based technology for making rabbit monoclonal antibodies. For details on our patents, please refer to RabMAb® patents.

What are the advantages of a recombinant monoclonal antibody?
This product is a recombinant monoclonal antibody, which offers several advantages including:

  • - High batch-to-batch consistency and reproducibility
  • - Improved sensitivity and specificity
  • - Long-term security of supply
  • - Animal-free batch production

For more information, read more on recombinant antibodies.

Conjugation ready
Our carrier-free antibodies are typically supplied in a PBS-only formulation, purified and free of BSA, sodium azide and glycerol. This conjugation-ready format is designed for use with fluorochromes, metal isotopes, oligonucleotides, and enzymes, which makes them ideal for antibody labelling, functional and cell-based assays, flow-based assays (e.g. mass cytometry) and Multiplex Imaging applications.

Use our conjugation kits for antibody conjugates that are ready-to-use in as little as 20 minutes with 1 minute hands-on-time and 100% antibody recovery: available for fluorescent dyes, HRP, biotin and gold.

Compatibility
This product is compatible with the Maxpar® Antibody Labeling Kit from Fluidigm, without the need for antibody preparation. Maxpar® is a trademark of Fluidigm Canada Inc.

Properties and storage information

Form
Liquid
Purification technique
Affinity purification Protein A
Storage buffer
pH: 7.2 - 7.4 Constituents: PBS
Shipped at conditions
Blue Ice
Appropriate short-term storage conditions
+4°C
Appropriate long-term storage conditions
+4°C
Storage information
Do Not Freeze

Supplementary information

This supplementary information is collated from multiple sources and compiled automatically.

CD163L1 also known as CD163-like 1 or M160 is a protein that acts as a scavenger receptor. This protein mechanically functions by binding to specific ligands and mediates endocytosis. CD163L1 belongs to the scavenger receptor cysteine-rich (SRCR) family which is involved in the clearance of hemoglobin-haptoglobin complexes. It is a type I membrane protein with an approximate mass of 150 kDa. The expression of CD163L1 is mainly detected in monocytes macrophages and certain dendritic cells usually in tissues associated with the immune response.
Biological function summary

This protein influences immune system processes related to inflammation. CD163L1 is part of the innate immune system and may be involved in the response to bacterial infections. It participates in the recognition and removal of apoptotic cells and pathogens. Though not a part of a protein complex its function aligns with receptors that mediate anti-inflammatory responses and tissue homeostasis in the body.

Pathways

This scavenger receptor associates with the anti-inflammatory pathway particularly in modulating responses to inflammation. It operates within a network involving the clearance and recycling of hemoglobin-heme. CD163L1 is linked with other proteins like CD163 which share similar clearing functions and SRCR domains are evident in their structure confirming their roles in host defense mechanisms.

CD163L1 shows relevance in conditions related to inflammation and immune dysfunction. For instance the receptor's activity is noted in the context of atherosclerosis as it can contribute to plaque stability due to its role in clearing hemoglobin-derived oxidants. It also connects to autoimmune diseases through its involvement with the dampening of inflammatory responses. In these conditions CD163L1 coordinates with proteins such as CD163 and other scavenger receptors that modulate immune responses.

Product protocols

For this product, it's our understanding that no specific protocols are required. You can visit:

Publications (1)

Recent publications for all applications. Explore the full list and refine your search

Nature communications 13:5945 PubMed36209205

2022

Hepatocyte phosphatase DUSP22 mitigates NASH-HCC progression by targeting FAK.

Applications

Unspecified application

Species

Unspecified reactive species

Chenxu Ge,Jun Tan,Xianling Dai,Qin Kuang,Shaoyu Zhong,Lili Lai,Chao Yi,Yan Sun,Jing Luo,Chufeng Zhang,Liancai Zhu,Bochu Wang,Minxuan Xu
View all publications

Product promise

We are committed to supporting your work with high-quality reagents, and we're here for you every step of the way. In the unlikely event that one of our products does not perform as expected, you're protected by our Product Promise.
For full details, please see our Terms & Conditions

Please note: All products are 'FOR RESEARCH USE ONLY. NOT FOR USE IN DIAGNOSTIC OR THERAPEUTIC PROCEDURES'.

For licensing inquiries, please contact partnerships@abcam.com