JavaScript is disabled in your browser. Please enable JavaScript to view this website.
AB231131

Anti-CD164 antibody

Be the first to review this product! Submit a review

|

(1 Publication)

Rabbit Polyclonal CD164 antibody. Suitable for WB, IHC-P and reacts with Mouse samples. Cited in 1 publication. Immunogen corresponding to Recombinant Fragment Protein within Mouse Cd164 aa 1 to C-terminus.

View Alternative Names

CD164, Sialomucin core protein 24, MUC-24, Endolyn, Multi-glycosylated core protein 24, MGC-24, MGC-24v, Cd164

4 Images
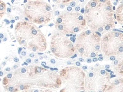
Immunohistochemistry (Formalin/PFA-fixed paraffin-embedded sections) - Anti-CD164 antibody (AB231131)
  • IHC-P

Supplier Data

Immunohistochemistry (Formalin/PFA-fixed paraffin-embedded sections) - Anti-CD164 antibody (AB231131)

Formalin-fixed, paraffin-embedded mouse kidney tissue stained for CD164 with ab231131 at 20 μg/ml in immunohistochemical analysis. DAB staining.

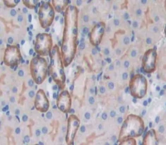
Immunohistochemistry (Formalin/PFA-fixed paraffin-embedded sections) - Anti-CD164 antibody (AB231131)
  • IHC-P

Supplier Data

Immunohistochemistry (Formalin/PFA-fixed paraffin-embedded sections) - Anti-CD164 antibody (AB231131)

Formalin-fixed, paraffin-embedded mouse kidney tissue stained for CD164 with ab231131 at 20 μg/ml in immunohistochemical analysis. DAB staining.

Western blot - Anti-CD164 antibody (AB231131)
  • WB

Supplier Data

Western blot - Anti-CD164 antibody (AB231131)

All lanes:

Western blot - Anti-CD164 antibody (ab231131) at 2 µg/mL

All lanes:

Recombinant mouse CD164 protein

Predicted band size: 20 kDa

false

Western blot - Anti-CD164 antibody (AB231131)
  • WB

Unknown

Western blot - Anti-CD164 antibody (AB231131)

All lanes:

Western blot - Anti-CD164 antibody (ab231131) at 2 µg/mL

All lanes:

Mouse testis tissue lysate

Secondary

All lanes:

Goat anti-rabbit IgG HRP at 0.2 µg/mL

Predicted band size: 20 kDa

false

Key facts

Host species

Rabbit

Clonality

Polyclonal

Isotype

IgG

Carrier free

No

Reacts with

Mouse

Applications

IHC-P, WB

applications

Immunogen

Recombinant Fragment Protein within Mouse Cd164 aa 1 to C-terminus. The exact immunogen used to generate this antibody is proprietary information.

Q9R0L9

Reactivity data

{ "title": "Reactivity Data", "filters": { "stats": ["", "Species", "Dilution Info", "Notes"], "tabs": { "all-applications": {"fullname" : "All Applications", "shortname": "All Applications"}, "WB" : {"fullname" : "Western blot", "shortname":"WB"}, "IHCP" : {"fullname" : "Immunohistochemistry (Formalin/PFA-fixed paraffin-embedded sections)", "shortname":"IHC-P"} }, "product-promise": { "all": "all", "testedAndGuaranteed": "tested", "guaranteed": "expected", "predicted": "predicted", "notRecommended": "not-recommended" } }, "values": { "Mouse": { "WB-species-checked": "testedAndGuaranteed", "WB-species-dilution-info": "0.5-2 µg/mL", "WB-species-notes": "<p></p>", "IHCP-species-checked": "testedAndGuaranteed", "IHCP-species-dilution-info": "5-20 µg/mL", "IHCP-species-notes": "<p></p>" } } }

Properties and storage information

Form
Liquid
Purification technique
Affinity purification Protein A
Purification notes
Antigen-specific affinity chromatography followed by Protein A affinity chromatography
Storage buffer
pH: 7.4 Preservative: 0.011% Proclin 300 Constituents: PBS, 55.77% Glycerol (glycerin, glycerine)
Shipped at conditions
Blue Ice
Appropriate short-term storage duration
1-2 weeks
Appropriate short-term storage conditions
+4°C
Appropriate long-term storage conditions
-20°C
Aliquoting information
Upon delivery aliquot
Storage information
Avoid freeze / thaw cycle

Supplementary information

This supplementary information is collated from multiple sources and compiled automatically.

CD164 also known as endolyn is a sialomucin protein with a molecular weight of approximately 80 to 90 kDa. It is a cell surface glycoprotein found on hematopoietic progenitor cells stromal cells epithelial cells and certain cancer cells. The expression of CD164 plays a part in the regulation of adhesion migration and cellular localization which affects cell proliferation and tissue development. It acts as a high-affinity receptor for novel inflammatory cytokines and modulates interactions with other cellular molecules.
Biological function summary

CD164 influences the adhesive properties within specific cellular environments. It contributes to the formation of complexes with other cellular proteins to modulate cell communication and migration. The interaction of CD164 with integrins and cell surface receptors regulates cellular trafficking. It influences the behavior of cells at high confluency which impacts how these cells aggregate and differentiate in tissue structures.

Pathways

More than four biochemical interactions influence CD164's role in controlling cellular movement and tissue architecture. It plays a significant role in the chemokine signaling pathway affecting memory B-cell homing. Furthermore CD164 is linked with the transforming growth factor-beta (TGF-beta) pathway through its association with integrins which regulates numerous cellular processes such as growth and development. By modulating these pathways it participates in the body's response to injury and inflammation.

Aberrant CD164 expression or function has been linked to various pathological conditions. For instance changes in CD164 levels are observed in certain leukemia types where its overexpression may contribute to abnormal cell growth and survival. Additionally its interaction with proteins like CXCR4 has implications in the metastasis of breast cancer enhancing the invasiveness of cancer cells. Therefore CD164's involvement in these diseases highlights its potential as a therapeutic target in cancer research.

Product protocols

For this product, it's our understanding that no specific protocols are required. You can visit:

Target data

Sialomucin that may play a key role in hematopoiesis. May be involved in cell adhesion (By similarity). Promotes myogenesis by enhancing CXCR4-dependent cell motility. Positively regulates myoblast migration and promotes myoblast fusion into myotubes.
See full target information Cd164

Publications (1)

Recent publications for all applications. Explore the full list and refine your search

Heliyon 10:e27494 PubMed38515687

2024

Regulation of Dihydroartemisinin on the pathological progression of laryngeal carcinoma through the periostin/YAP/IL-6 pathway.

Applications

Unspecified application

Species

Unspecified reactive species

Xin-Yu Zhang,Rui-Cong Li,Cong Xu,Xiao-Ming Li
View all publications

Product promise

We are committed to supporting your work with high-quality reagents, and we're here for you every step of the way. In the unlikely event that one of our products does not perform as expected, you're protected by our Product Promise.
For full details, please see our Terms & Conditions

Please note: All products are 'FOR RESEARCH USE ONLY. NOT FOR USE IN DIAGNOSTIC OR THERAPEUTIC PROCEDURES'.

For licensing inquiries, please contact partnerships@abcam.com