JavaScript is disabled in your browser. Please enable JavaScript to view this website.
AB314178

Anti-CD166 antibody [21B9]

Be the first to review this product! Submit a review

|

(0 Publication)

Rabbit Monoclonal CD166 antibody. Suitable for WB, IHC-P and reacts with Human, Mouse samples. Immunogen corresponding to Synthetic Peptide within Human ALCAM.

View Alternative Names

CD166, MEMD, ALCAM, CD166 antigen, Activated leukocyte cell adhesion molecule

3 Images
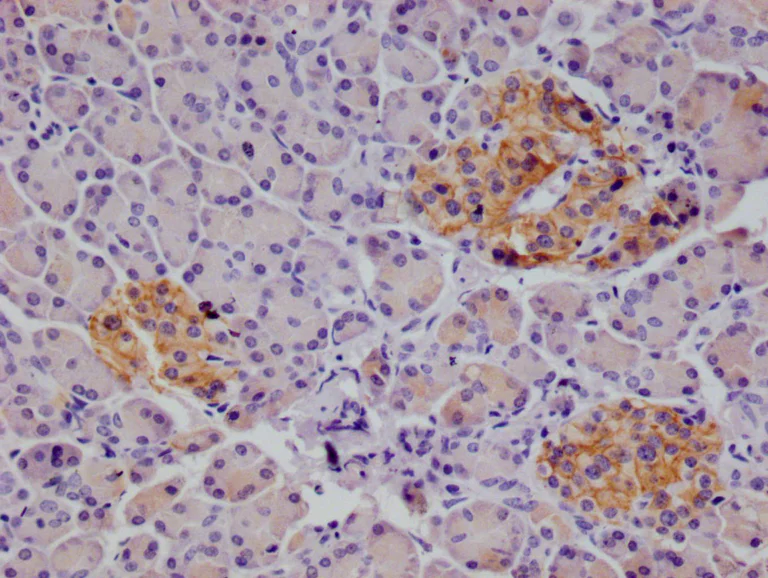
Immunohistochemistry (Formalin/PFA-fixed paraffin-embedded sections) - Anti-CD166 antibody [21B9] (AB314178)
  • IHC-P

Supplier Data

Immunohistochemistry (Formalin/PFA-fixed paraffin-embedded sections) - Anti-CD166 antibody [21B9] (AB314178)

Immunohistochemical analysis of ab314178 diluted at 1 : 100 and staining in paraffin-embedded human pancreatic tissue performed on a Leica BondTM system. After dewaxing and hydration, antigen retrieval was mediated by high pressure in a citrate buffer (pH 6.0). Section was blocked with 10% normal goat serum 30min at RT. Then primary antibody (1% BSA) was incubated at 4°C overnight. The primary is detected by a Goat anti-rabbit polymer IgG labeled by HRP and visualized using 0.05% DAB.

Immunohistochemistry (Formalin/PFA-fixed paraffin-embedded sections) - Anti-CD166 antibody [21B9] (AB314178)
  • IHC-P

Supplier Data

Immunohistochemistry (Formalin/PFA-fixed paraffin-embedded sections) - Anti-CD166 antibody [21B9] (AB314178)

Immunohistochemical analysis of ab314178 diluted at 1 : 100 and staining in paraffin-embedded human liver cancer performed on a Leica BondTM system. After dewaxing and hydration, antigen retrieval was mediated by high pressure in a citrate buffer (pH 6.0). Section was blocked with 10% normal goat serum 30min at RT. Then primary antibody (1% BSA) was incubated at 4°C overnight. The primary is detected by a Goat anti-rabbit polymer IgG labeled by HRP and visualized using 0.05% DAB.

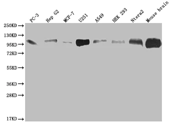
Western blot - Anti-CD166 antibody [21B9] (AB314178)
  • WB

Supplier Data

Western blot - Anti-CD166 antibody [21B9] (AB314178)

All lanes:

Western blot - Anti-CD166 antibody [21B9] (ab314178) at 1/2000 dilution

Lane 1:

PC-3 whole cell lysate

Lane 2:

HepG2 whole cell lysate

Lane 3:

MCF7 whole cell lysate

Lane 4:

U251 whole cell lysate

Lane 5:

A549 whole cell lysate

Lane 6:

HEK293 whole cell lysate

Lane 7:

Ntera-2 whole cell lysate

Lane 8:

Mouse brain whole cell lysate

Secondary

All lanes:

Goat polyclonal to rabbit IgG at 1/50000 dilution

Observed band size: 100 kDa

false

Key facts

Host species

Rabbit

Clonality

Monoclonal

Clone number

21B9

Isotype

IgG

Carrier free

No

Reacts with

Human, Mouse

Applications

IHC-P, WB

applications

Immunogen

Synthetic Peptide within Human ALCAM.

Q13740

Reactivity data

{ "title": "Reactivity Data", "filters": { "stats": ["", "Species", "Dilution Info", "Notes"], "tabs": { "all-applications": {"fullname" : "All Applications", "shortname": "All Applications"}, "WB" : {"fullname" : "Western blot", "shortname":"WB"}, "IHCP" : {"fullname" : "Immunohistochemistry (Formalin/PFA-fixed paraffin-embedded sections)", "shortname":"IHC-P"} }, "product-promise": { "all": "all", "testedAndGuaranteed": "tested", "guaranteed": "expected", "predicted": "predicted", "notRecommended": "not-recommended" } }, "values": { "Human": { "WB-species-checked": "testedAndGuaranteed", "WB-species-dilution-info": "1/500 - 1/2000", "WB-species-notes": "<p></p>", "IHCP-species-checked": "testedAndGuaranteed", "IHCP-species-dilution-info": "1/50 - 1/200", "IHCP-species-notes": "<p></p>" }, "Mouse": { "WB-species-checked": "testedAndGuaranteed", "WB-species-dilution-info": "1/500 - 1/2000", "WB-species-notes": "<p></p>", "IHCP-species-checked": "guaranteed", "IHCP-species-dilution-info": "", "IHCP-species-notes": "" } } }

Product details

What are the advantages of a recombinant monoclonal antibody?
This product is a recombinant monoclonal antibody, which offers several advantages including:

  • - High batch-to-batch consistency and reproducibility
  • - Improved sensitivity and specificity
  • - Long-term security of supply
  • - Animal-free batch production

For more information, read more on recombinant antibodies.

Properties and storage information

Form
Liquid
Purification technique
Affinity purification
Storage buffer
pH: 7.4 Preservative: 0.02% Sodium azide Constituents: PBS, 50% Glycerol (glycerin, glycerine), 0.88% Sodium chloride
Shipped at conditions
Blue Ice
Appropriate short-term storage duration
1-2 weeks
Appropriate short-term storage conditions
+4°C
Appropriate long-term storage conditions
-20°C
Aliquoting information
Upon delivery aliquot
Storage information
Avoid freeze / thaw cycle

Supplementary information

This supplementary information is collated from multiple sources and compiled automatically.

CD166 also known as ALCAM (activated leukocyte cell adhesion molecule) is a cell surface glycoprotein with a mass of approximately 105 kDa. This protein is widely expressed on various cell types including activated T-cells keratinocytes neurons and endothelial cells. In the immune system CD166 has roles in T-cell activation and migration. It contains five extracellular immunoglobulin-like domains which facilitate cell-cell interactions. Researchers often regard ALCAM-Z as an alternative form sharing structural elements with CD166 protein.
Biological function summary

CD166 mediates cell-cell adhesion and plays roles in neuronal development. It participates in the formation of synaptic junctions and affects neuronal differentiation. CD166 is also a component of cell signaling complexes influencing cell proliferation and migration. In addition it controls interactions between T-cells and dendritic cells impacting immune response. Its interactions with other adhesion molecules contribute to cellular communication and tissue integrity.

Pathways

CD166 functions within signaling pathways related to cell adhesion and migration. It is involved in the Wnt signaling pathway and its interactions regulate cell polarity and morphogenesis. CD166 interacts closely with proteins such as CD6 and Catenins impacting cellular signaling and the organization of the cytoskeleton. These pathways affect processes like embryonic development and immune cell function.

CD166 has implications in cancer and autoimmune diseases. Its dysregulation links to cancer metastasis where altered expression facilitates tumor invasion and spread. CD166 also relates to autoimmune diseases through its role in T-cell activation potentially contributing to conditions like multiple sclerosis. The interaction between CD166 and CD6 influences immune cell activation and may offer therapeutic targets for modulating immune responses in these disorders.

Product protocols

For this product, it's our understanding that no specific protocols are required. You can visit:

Target data

Cell adhesion molecule that mediates both heterotypic cell-cell contacts via its interaction with CD6, as well as homotypic cell-cell contacts (PubMed : 15048703, PubMed : 15496415, PubMed : 16352806, PubMed : 23169771, PubMed : 24945728, PubMed : 7760007). Promotes T-cell activation and proliferation via its interactions with CD6 (PubMed : 15048703, PubMed : 16352806, PubMed : 24945728). Contributes to the formation and maturation of the immunological synapse via its interactions with CD6 (PubMed : 15294938, PubMed : 16352806). Mediates homotypic interactions with cells that express ALCAM (PubMed : 15496415, PubMed : 16352806). Acts as a ligand for the LILRB4 receptor, enhancing LILRB4-mediated inhibition of T cell proliferation (PubMed : 29263213). Required for normal hematopoietic stem cell engraftment in the bone marrow (PubMed : 24740813). Mediates attachment of dendritic cells onto endothelial cells via homotypic interaction (PubMed : 23169771). Inhibits endothelial cell migration and promotes endothelial tube formation via homotypic interactions (PubMed : 15496415, PubMed : 23169771). Required for normal organization of the lymph vessel network. Required for normal hematopoietic stem cell engraftment in the bone marrow. Plays a role in hematopoiesis; required for normal numbers of hematopoietic stem cells in bone marrow. Promotes in vitro osteoblast proliferation and differentiation (By similarity). Promotes neurite extension, axon growth and axon guidance; axons grow preferentially on surfaces that contain ALCAM. Mediates outgrowth and pathfinding for retinal ganglion cell axons (By similarity).. Isoform 3. Inhibits activities of membrane-bound isoforms by competing for the same interaction partners. Inhibits cell attachment via homotypic interactions. Promotes endothelial cell migration. Inhibits endothelial cell tube formation.
See full target information ALCAM

Additional targets

Alcam

Product promise

We are committed to supporting your work with high-quality reagents, and we're here for you every step of the way. In the unlikely event that one of our products does not perform as expected, you're protected by our Product Promise.
For full details, please see our Terms & Conditions

Please note: All products are 'FOR RESEARCH USE ONLY. NOT FOR USE IN DIAGNOSTIC OR THERAPEUTIC PROCEDURES'.

For licensing inquiries, please contact partnerships@abcam.com