JavaScript is disabled in your browser. Please enable JavaScript to view this website.
AB235957

Anti-CD166 antibody

3

(1 Review)

|

(4 Publications)

Rabbit Polyclonal CD166 antibody. Suitable for IHC-P, ICC/IF and reacts with Human samples. Cited in 4 publications. Immunogen corresponding to Recombinant Fragment Protein within Human ALCAM aa 1-550.

View Alternative Names

CD166, MEMD, ALCAM, CD166 antigen, Activated leukocyte cell adhesion molecule

2 Images
Immunocytochemistry/ Immunofluorescence - Anti-CD166 antibody (AB235957)
  • ICC/IF

Supplier Data

Immunocytochemistry/ Immunofluorescence - Anti-CD166 antibody (AB235957)

HepG2 (human liver hepatocellular carcinoma cell line) cells stained for CD166 using ab235957 at 1/100 dilution in ICC/IF. Alexa Fluor® 488-conjugated Goat Anti-Rabbit IgG (H+L) was used as the secondary antibody.

Immunohistochemistry (Formalin/PFA-fixed paraffin-embedded sections) - Anti-CD166 antibody (AB235957)
  • IHC-P

Supplier Data

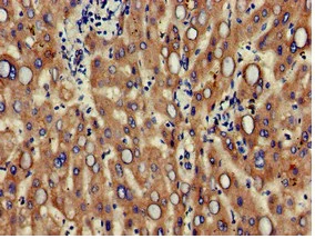
Immunohistochemistry (Formalin/PFA-fixed paraffin-embedded sections) - Anti-CD166 antibody (AB235957)

Paraffin-embedded human liver tissue stained for CD166 using ab235957 at 1/100 dilution in immunohistochemical analysis.

Key facts

Host species

Rabbit

Clonality

Polyclonal

Isotype

IgG

Carrier free

No

Reacts with

Human

Applications

IHC-P, ICC/IF

applications

Immunogen

Recombinant Fragment Protein within Human ALCAM aa 1-550. The exact immunogen used to generate this antibody is proprietary information.

Q13740

Reactivity data

{ "title": "Reactivity Data", "filters": { "stats": ["", "Species", "Dilution Info", "Notes"], "tabs": { "all-applications": {"fullname" : "All Applications", "shortname": "All Applications"}, "IHCP" : {"fullname" : "Immunohistochemistry (Formalin/PFA-fixed paraffin-embedded sections)", "shortname":"IHC-P"}, "ICCIF" : {"fullname" : "Immunocytochemistry/ Immunofluorescence", "shortname":"ICC/IF"} }, "product-promise": { "all": "all", "testedAndGuaranteed": "tested", "guaranteed": "expected", "predicted": "predicted", "notRecommended": "not-recommended" } }, "values": { "Human": { "IHCP-species-checked": "testedAndGuaranteed", "IHCP-species-dilution-info": "1/20 - 1/200", "IHCP-species-notes": "<p></p>", "ICCIF-species-checked": "testedAndGuaranteed", "ICCIF-species-dilution-info": "1/50 - 1/200", "ICCIF-species-notes": "<p></p>" }, "Mouse": { "IHCP-species-checked": "predicted", "IHCP-species-dilution-info": "", "IHCP-species-notes": "", "ICCIF-species-checked": "predicted", "ICCIF-species-dilution-info": "", "ICCIF-species-notes": "" }, "Rat": { "IHCP-species-checked": "predicted", "IHCP-species-dilution-info": "", "IHCP-species-notes": "", "ICCIF-species-checked": "predicted", "ICCIF-species-dilution-info": "", "ICCIF-species-notes": "" }, "Cow": { "IHCP-species-checked": "predicted", "IHCP-species-dilution-info": "", "IHCP-species-notes": "", "ICCIF-species-checked": "predicted", "ICCIF-species-dilution-info": "", "ICCIF-species-notes": "" }, "Dog": { "IHCP-species-checked": "predicted", "IHCP-species-dilution-info": "", "IHCP-species-notes": "", "ICCIF-species-checked": "predicted", "ICCIF-species-dilution-info": "", "ICCIF-species-notes": "" }, "Rabbit": { "IHCP-species-checked": "predicted", "IHCP-species-dilution-info": "", "IHCP-species-notes": "", "ICCIF-species-checked": "predicted", "ICCIF-species-dilution-info": "", "ICCIF-species-notes": "" } } }

Properties and storage information

Form
Liquid
Purification technique
Affinity purification Protein G
Purification notes
Purity >95%.
Storage buffer
pH: 7.4 Preservative: 0.03% Proclin 300 Constituents: PBS, 50% Glycerol (glycerin, glycerine)
Shipped at conditions
Blue Ice
Appropriate short-term storage duration
1-2 weeks
Appropriate short-term storage conditions
+4°C
Appropriate long-term storage conditions
-20°C
Aliquoting information
Upon delivery aliquot
Storage information
Avoid freeze / thaw cycle

Supplementary information

This supplementary information is collated from multiple sources and compiled automatically.

CD166 also known as ALCAM (activated leukocyte cell adhesion molecule) is a cell surface glycoprotein with a mass of approximately 105 kDa. This protein is widely expressed on various cell types including activated T-cells keratinocytes neurons and endothelial cells. In the immune system CD166 has roles in T-cell activation and migration. It contains five extracellular immunoglobulin-like domains which facilitate cell-cell interactions. Researchers often regard ALCAM-Z as an alternative form sharing structural elements with CD166 protein.
Biological function summary

CD166 mediates cell-cell adhesion and plays roles in neuronal development. It participates in the formation of synaptic junctions and affects neuronal differentiation. CD166 is also a component of cell signaling complexes influencing cell proliferation and migration. In addition it controls interactions between T-cells and dendritic cells impacting immune response. Its interactions with other adhesion molecules contribute to cellular communication and tissue integrity.

Pathways

CD166 functions within signaling pathways related to cell adhesion and migration. It is involved in the Wnt signaling pathway and its interactions regulate cell polarity and morphogenesis. CD166 interacts closely with proteins such as CD6 and Catenins impacting cellular signaling and the organization of the cytoskeleton. These pathways affect processes like embryonic development and immune cell function.

CD166 has implications in cancer and autoimmune diseases. Its dysregulation links to cancer metastasis where altered expression facilitates tumor invasion and spread. CD166 also relates to autoimmune diseases through its role in T-cell activation potentially contributing to conditions like multiple sclerosis. The interaction between CD166 and CD6 influences immune cell activation and may offer therapeutic targets for modulating immune responses in these disorders.

Product protocols

For this product, it's our understanding that no specific protocols are required. You can visit:

Target data

Cell adhesion molecule that mediates both heterotypic cell-cell contacts via its interaction with CD6, as well as homotypic cell-cell contacts (PubMed : 15048703, PubMed : 15496415, PubMed : 16352806, PubMed : 23169771, PubMed : 24945728, PubMed : 7760007). Promotes T-cell activation and proliferation via its interactions with CD6 (PubMed : 15048703, PubMed : 16352806, PubMed : 24945728). Contributes to the formation and maturation of the immunological synapse via its interactions with CD6 (PubMed : 15294938, PubMed : 16352806). Mediates homotypic interactions with cells that express ALCAM (PubMed : 15496415, PubMed : 16352806). Acts as a ligand for the LILRB4 receptor, enhancing LILRB4-mediated inhibition of T cell proliferation (PubMed : 29263213). Required for normal hematopoietic stem cell engraftment in the bone marrow (PubMed : 24740813). Mediates attachment of dendritic cells onto endothelial cells via homotypic interaction (PubMed : 23169771). Inhibits endothelial cell migration and promotes endothelial tube formation via homotypic interactions (PubMed : 15496415, PubMed : 23169771). Required for normal organization of the lymph vessel network. Required for normal hematopoietic stem cell engraftment in the bone marrow. Plays a role in hematopoiesis; required for normal numbers of hematopoietic stem cells in bone marrow. Promotes in vitro osteoblast proliferation and differentiation (By similarity). Promotes neurite extension, axon growth and axon guidance; axons grow preferentially on surfaces that contain ALCAM. Mediates outgrowth and pathfinding for retinal ganglion cell axons (By similarity).. Isoform 3. Inhibits activities of membrane-bound isoforms by competing for the same interaction partners. Inhibits cell attachment via homotypic interactions. Promotes endothelial cell migration. Inhibits endothelial cell tube formation.
See full target information ALCAM

Publications (4)

Recent publications for all applications. Explore the full list and refine your search

Acupuncture in medicine : journal of the British Medical Acupuncture Society 42:342-355 PubMed39579035

2024

Electroacupuncture alleviates acute myocardial ischemic injury in mice by regulating the β adrenergic receptor and post-receptor protein kinase A signaling pathway.

Applications

Unspecified application

Species

Unspecified reactive species

Haiyan Zuo,Qiaoyu Qu,Yan Tong,Lei Wang,Xiaoxiao Wang,Shengbing Wu,Meiqi Zhou

Nature communications 14:3865 PubMed37391454

2023

Innovative design of minimal invasive biodegradable poly(glycerol-dodecanoate) nucleus pulposus scaffold with function regeneration.

Applications

Unspecified application

Species

Unspecified reactive species

Lizhen Wang,Kaixiang Jin,Nan Li,Peng Xu,Hao Yuan,Harsha Ramaraju,Scott J Hollister,Yubo Fan

NPJ Regenerative medicine 6:26 PubMed34021161

2021

Towards a bioengineered uterus: bioactive sheep uterus scaffolds are effectively recellularized by enzymatic preconditioning.

Applications

Unspecified application

Species

Unspecified reactive species

Arvind Manikantan Padma,Laura Carrière,Frida Krokström Karlsson,Edina Sehic,Sara Bandstein,Tom Tristan Tiemann,Mihai Oltean,Min Jong Song,Mats Brännström,Mats Hellström

Molecular human reproduction 26:167-178 PubMed31980817

2020

Towards uterus tissue engineering: a comparative study of sheep uterus decellularisation.

Applications

Unspecified application

Species

Unspecified reactive species

T T Tiemann,A M Padma,E Sehic,H Bäckdahl,M Oltean,M J Song,M Brännström,M Hellström
View all publications

Product promise

We are committed to supporting your work with high-quality reagents, and we're here for you every step of the way. In the unlikely event that one of our products does not perform as expected, you're protected by our Product Promise.
For full details, please see our Terms & Conditions

Please note: All products are 'FOR RESEARCH USE ONLY. NOT FOR USE IN DIAGNOSTIC OR THERAPEUTIC PROCEDURES'.

For licensing inquiries, please contact partnerships@abcam.com