JavaScript is disabled in your browser. Please enable JavaScript to view this website.
AB109215

Anti-CD166 antibody [EPR2759(2)]

4

(3 Reviews)

|

(30 Publications)

Anti-CD166 antibody [EPR2759(2)] (ab109215) is a rabbit monoclonal antibody detecting CD166 in Western Blot, Flow Cytometry, IP, IHC-P, ICC/IF. Suitable for Human, Mouse, Rat.

- KO validated for confirmed specificity
- Biophysical QC for unrivalled batch-batch consistency
- Over 20 publications

View Alternative Names

CD166, MEMD, ALCAM, CD166 antigen, Activated leukocyte cell adhesion molecule

10 Images
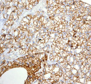
Immunohistochemistry (Formalin/PFA-fixed paraffin-embedded sections) - Anti-CD166 antibody [EPR2759(2)] (AB109215)
  • IHC-P

Unknown

Immunohistochemistry (Formalin/PFA-fixed paraffin-embedded sections) - Anti-CD166 antibody [EPR2759(2)] (AB109215)

Immunohistochemistry (Formalin/PFA-fixed paraffin-embedded sections) analysis of human prostatic adenocarcinoma tissue labelling CD166 with unpurified ab109215 at 1/100.

Perform heat mediated antigen retrieval before commencing with IHC staining protocol.

Immunohistochemistry (Formalin/PFA-fixed paraffin-embedded sections) - Anti-CD166 antibody [EPR2759(2)] (AB109215)
  • IHC-P

Unknown

Immunohistochemistry (Formalin/PFA-fixed paraffin-embedded sections) - Anti-CD166 antibody [EPR2759(2)] (AB109215)

Immunohistochemistry (Formalin/PFA-fixed paraffin-embedded sections) analysis of human liver tissue labelling CD166 with unpurified ab109215 at 1/100.

Perform heat mediated antigen retrieval before commencing with IHC staining protocol.

Flow Cytometry - Anti-CD166 antibody [EPR2759(2)] (AB109215)
  • Flow Cyt

Lab

Flow Cytometry - Anti-CD166 antibody [EPR2759(2)] (AB109215)

Flow Cytometry analysis of HuT-78 cells labelling CD166 with purified ab109215 at 1/90 (red). Cells were fixed with 2% paraformaldehyde. A FITC-conjugated goat anti-rabbit IgG (1/150) was used as the secondary antibody. Black - Isotype control, rabbit monoclonal IgG. Blue - Unlabelled control, cells without incubation with primary and secondary antibodies.

Immunocytochemistry/ Immunofluorescence - Anti-CD166 antibody [EPR2759(2)] (AB109215)
  • ICC/IF

Lab

Immunocytochemistry/ Immunofluorescence - Anti-CD166 antibody [EPR2759(2)] (AB109215)

Immunocytochemistry/Immunofluorescence analysis of THP-1 (human monocytic leukemia cell line) cells labelling CD166 (green) with purified ab109215 at 1/250. Cells were fixed with 100% methanol. ab150077, Alexa Fluor® 488-conjugated goat anti-rabbit IgG (1/1000) was used as the secondary antibody. DAPI (blue) was used as a nuclear counterstain.

Secondary Only Control : PBS was used instead of the primary antibody as the negative control.

Immunohistochemistry (Formalin/PFA-fixed paraffin-embedded sections) - Anti-CD166 antibody [EPR2759(2)] (AB109215)
  • IHC-P

Lab

Immunohistochemistry (Formalin/PFA-fixed paraffin-embedded sections) - Anti-CD166 antibody [EPR2759(2)] (AB109215)

Immunohistochemistry (Formalin/PFA-fixed paraffin-embedded sections) analysis of human liver tissue labelling CD166 with purified ab109215 at 1/50. Heat mediated antigen retrieval was performed using Tris/EDTA buffer pH 9. A prediluted HRP-polymer conjugated anti-rabbit IgG was used as the secondary antibody. Negative control using PBS instead of primary antibody. Counterstained with hematoxylin.

Immunoprecipitation - Anti-CD166 antibody [EPR2759(2)] (AB109215)
  • IP

Lab

Immunoprecipitation - Anti-CD166 antibody [EPR2759(2)] (AB109215)

ab109215 (purified) at 1/30 immunoprecipitating CD166 in SH-SY5Y (human neuroblastoma cell line from bone marrow) cell lysate (Lane 1). Lane 2 - PBS. For western blotting, a HRP-conjugated anti-rabbit IgG, specific to the non-reduced form of IgG was used as the secondary antibody (1/1500).

Blocking buffer and concentration : 5% NFDM/TBST.

Diluting buffer and concentration : 5% NFDM /TBST.

All lanes:

Immunoprecipitation - Anti-CD166 antibody [EPR2759(2)] (ab109215)

Predicted band size: 65 kDa

Observed band size: 100-105 kDa

false

Western blot - Anti-CD166 antibody [EPR2759(2)] (AB109215)
  • WB

Lab

Western blot - Anti-CD166 antibody [EPR2759(2)] (AB109215)

Blocking buffer and concentration : 5% NFDM/TBST.

Diluting buffer and concentration : 5% NFDM /TBST.

All lanes:

Western blot - Anti-CD166 antibody [EPR2759(2)] (ab109215) at 1/10000 dilution

Lane 1:

SH-SY5Y (human neuroblastoma cell line from bone marrow) cell lysate at 20 µg

Lane 2:

HuT-78 cell lysate at 20 µg

Lane 3:

HT-1080 (human fibrosarcoma cell line) cell lysate at 20 µg

Secondary

All lanes:

Peroxidase conjugated goat anti-rabbit IgG (H+L) at 1/1000 dilution

Predicted band size: 65 kDa

Observed band size: 100-105 kDa

false

Western blot - Anti-CD166 antibody [EPR2759(2)] (AB109215)
  • WB

Lab

Western blot - Anti-CD166 antibody [EPR2759(2)] (AB109215)

Lane 1 : Wild-type HAP1 whole cell lysate (20 μg)
Lane 2 : CD166 knockout HAP1 whole cell lysate (20 μg)
Lane 3 : HeLa whole cell lysate (20 μg)
Lane 4 : SH-SY5Y whole cell lysate (20 μg)

Lanes 1 - 4 : Merged signal (red and green). Green - ab109215 observed at 100 kDa. Red - loading control, ab9484, observed at 37 kDa.

ab109215 was shown to specifically react with CD166 in wild-type HAP1 cells as signal was lost in CD166 knockout cells. Wild-type and CD166 knockout samples were subjected to SDS-PAGE. ab109215 and ab9484 (Mouse anti-GAPDH loading control) were incubated overnight at 4°C at 1/1000 dilution and 1/20000 dilution respectively. Blots were developed with Goat anti-Mouse IgG H&L (IRDye® 800CW) preabsorbed ab216772 and Goat anti-Rabbit IgG H&L (IRDye® 680RD) preabsorbed ab216777 secondary antibodies at 1/20000 dilution for 1 hour at room temperature before imaging.

All lanes:

Western blot - Anti-CD166 antibody [EPR2759(2)] (ab109215)

Predicted band size: 65 kDa

false

Western blot - Anti-CD166 antibody [EPR2759(2)] (AB109215)
  • WB

Unknown

Western blot - Anti-CD166 antibody [EPR2759(2)] (AB109215)

All lanes:

Western blot - Anti-CD166 antibody [EPR2759(2)] (ab109215) at 1/1000 dilution

Lane 1:

SH-SY5Y (human neuroblastoma cell line from bone marrow) cell lysate at 10 µg

Lane 2:

HuT-78 cell lysate at 10 µg

Lane 3:

HT1080 (human fibrosarcoma cell line) cell lysate at 10 µg

Lane 4:

Daudi (human Burkitt's lymphoma cell line) cell lysate at 10 µg

Secondary

All lanes:

HRP labelled goat anti-rabbit at 1/2000 dilution

Predicted band size: 65 kDa

Observed band size: 100-105 kDa

false

Western blot - Anti-CD166 antibody [EPR2759(2)] (AB109215)
  • WB

Lab

Western blot - Anti-CD166 antibody [EPR2759(2)] (AB109215)

Blocking buffer and concentration : 5% NFDM/TBST.

Diluting buffer and concentration : 5% NFDM /TBST.

All lanes:

Western blot - Anti-CD166 antibody [EPR2759(2)] (ab109215) at 1/10000 dilution

Lane 1:

Mouse brain tissue lysate at 20 µg

Lane 2:

Rat brain tissue lysate at 20 µg

Secondary

All lanes:

Peroxidase conjugated goat anti-rabbit IgG (H+L) at 1/1000 dilution

Predicted band size: 166 kDa,52 kDa,65 kDa

Observed band size: 100-105 kDa,68 kDa

false

  • 578 PE

    PE Anti-CD166 antibody [EPR2759(2)]

  • Carrier free

    Anti-CD166 antibody [EPR2759(2)] - BSA and Azide free

  • 519 Alexa Fluor® 488

    Alexa Fluor® 488 Anti-CD166 antibody [EPR2759(2)]

  • HRP

    HRP Anti-CD166 antibody [EPR2759(2)]

  • 565 Alexa Fluor® 555

    Alexa Fluor® 555 Anti-CD166 antibody [EPR2759(2)]

  • 617 Alexa Fluor® 594

    Alexa Fluor® 594 Anti-CD166 antibody [EPR2759(2)]

  • 660 APC

    APC Anti-CD166 antibody [EPR2759(2)]

  • 665 Alexa Fluor® 647

    Alexa Fluor® 647 Anti-CD166 antibody [EPR2759(2)]

  • 603 Alexa Fluor® 568

    Alexa Fluor® 568 Anti-CD166 antibody [EPR2759(2)]

  • 775 Alexa Fluor® 750

    Alexa Fluor® 750 Anti-CD166 antibody [EPR2759(2)]

Key facts

Host species

Rabbit

Clonality

Monoclonal

Clone number

EPR2759(2)

Isotype

IgG

Carrier free

No

Reacts with

Mouse, Rat, Human

Applications

IHC-P, IP, WB, ICC/IF, Flow Cyt

applications

Immunogen

The exact immunogen used to generate this antibody is proprietary information.

Reactivity data

{ "title": "Reactivity Data", "filters": { "stats": ["", "Species", "Dilution Info", "Notes"], "tabs": { "all-applications": {"fullname" : "All Applications", "shortname": "All Applications"}, "IHCP" : {"fullname" : "Immunohistochemistry (Formalin/PFA-fixed paraffin-embedded sections)", "shortname":"IHC-P"}, "IP" : {"fullname" : "Immunoprecipitation", "shortname":"IP"}, "FlowCyt" : {"fullname" : "Flow Cytometry", "shortname":"Flow Cyt"}, "WB" : {"fullname" : "Western blot", "shortname":"WB"}, "ICCIF" : {"fullname" : "Immunocytochemistry/ Immunofluorescence", "shortname":"ICC/IF"} }, "product-promise": { "all": "all", "testedAndGuaranteed": "tested", "guaranteed": "expected", "predicted": "predicted", "notRecommended": "not-recommended" } }, "values": { "Human": { "IHCP-species-checked": "testedAndGuaranteed", "IHCP-species-dilution-info": "1/50", "IHCP-species-notes": "<p><strong>For unpurified use at 1/100 - 1/250.</strong></p>", "IP-species-checked": "testedAndGuaranteed", "IP-species-dilution-info": "1/30", "IP-species-notes": "<p><strong>For unpurified use at 1/10 - 1/100.</strong></p>", "FlowCyt-species-checked": "testedAndGuaranteed", "FlowCyt-species-dilution-info": "1/90", "FlowCyt-species-notes": "<p><a href='/en-us/products/primary-antibodies/rabbit-igg-monoclonal-epr25a-isotype-control-ab172730'>ab172730</a> - Rabbit monoclonal IgG, is suitable for use as an isotype control with this antibody.</p>", "WB-species-checked": "testedAndGuaranteed", "WB-species-dilution-info": "1/10000 - 1/20000", "WB-species-notes": "<p><strong>For unpurified use at 1/1000 - 1/10000.</strong></p>", "ICCIF-species-checked": "testedAndGuaranteed", "ICCIF-species-dilution-info": "1/50 - 1/250", "ICCIF-species-notes": "<p></p>" }, "Mouse": { "IHCP-species-checked": "guaranteed", "IHCP-species-dilution-info": "", "IHCP-species-notes": "", "IP-species-checked": "guaranteed", "IP-species-dilution-info": "", "IP-species-notes": "", "FlowCyt-species-checked": "guaranteed", "FlowCyt-species-dilution-info": "", "FlowCyt-species-notes": "", "WB-species-checked": "testedAndGuaranteed", "WB-species-dilution-info": "1/10000 - 1/20000", "WB-species-notes": "<p><strong>For unpurified use at 1/1000 - 1/10000.</strong></p>", "ICCIF-species-checked": "guaranteed", "ICCIF-species-dilution-info": "", "ICCIF-species-notes": "" }, "Rat": { "IHCP-species-checked": "guaranteed", "IHCP-species-dilution-info": "", "IHCP-species-notes": "", "IP-species-checked": "guaranteed", "IP-species-dilution-info": "", "IP-species-notes": "", "FlowCyt-species-checked": "guaranteed", "FlowCyt-species-dilution-info": "", "FlowCyt-species-notes": "", "WB-species-checked": "testedAndGuaranteed", "WB-species-dilution-info": "1/10000 - 1/20000", "WB-species-notes": "<p><strong>For unpurified use at 1/1000 - 1/10000.</strong></p>", "ICCIF-species-checked": "guaranteed", "ICCIF-species-dilution-info": "", "ICCIF-species-notes": "" } } }

Product details

What is this antibody validated in?
Anti-CD166 antibody [EPR2759(2)] (ab109215) is a rabbit recombinant monoclonal antibody and is validated for use in Western Blot (WB), Flow Cytometry (Flow Cyt), Immunoprecipitation (IP), Immunohistochemistry (IHC-P), Immunocytochemistry/immunofluorescence (ICC/IF) in Human, Mouse, Rat samples.

What is the molecular weight of CD166?
Anti-CD166 [EPR2759(2)] (ab109215) specifically detects a band for CD166 (UniProt: Q13740) at a molecular weight of 65kDa.

Trusted by the scientific community
Anti-CD166 [EPR2759(2)] (ab109215) was first used in a scientific publication in 2012 and has been cited over 20 times in peer-reviewed journals.

Trial sizes available!
Test your antibody or perform pre-screening before committing to a larger quantity. Sold in 10µl. Discover our selection of trial-size antibodies.

Specificity confirmed
The specificity of Anti-CD166 antibody [EPR2759(2)] (ab109215) has been confirmed by Western blot testing in ALCAM Knockout HAP1 cells.

Other related products
We have a range of other formats of antibody clone [EPR2759(2)] also available for your convenience: ab109215, HRP - ab196846, Alexa Fluor® 488 - ab197543, Carrier free - ab206127, PE - ab219139, APC - ab310812, Alexa Fluor® 647 - ab311107, Alexa Fluor® 594 - ab311726, Alexa Fluor® 568 - ab313003, Alexa Fluor® 555 - ab313207, Alexa Fluor® 750 - ab320934

Patented technology
Our RabMAb® technology is a patented hybridoma-based technology for making rabbit monoclonal antibodies. For details on our patents, please refer to RabMAb® patents.

What are the advantages of a recombinant monoclonal antibody?
This product is a recombinant monoclonal antibody, which offers several advantages including:

  • - High batch-to-batch consistency and reproducibility
  • - Improved sensitivity and specificity
  • - Long-term security of supply
  • - Animal-free batch production

For more information, read more on recombinant antibodies.

Properties and storage information

Form
Liquid
Purification technique
Affinity purification Protein A
Storage buffer
pH: 7.2 - 7.4 Preservative: 0.01% Sodium azide Constituents: PBS, 40% Glycerol (glycerin, glycerine), 0.05% BSA
Shipped at conditions
Blue Ice
Appropriate short-term storage duration
1-2 weeks
Appropriate short-term storage conditions
+4°C
Appropriate long-term storage conditions
-20°C
Aliquoting information
Upon delivery aliquot
Storage information
Stable for 12 months at -20°C

Supplementary information

This supplementary information is collated from multiple sources and compiled automatically.

CD166 also known as ALCAM (activated leukocyte cell adhesion molecule) is a cell surface glycoprotein with a mass of approximately 105 kDa. This protein is widely expressed on various cell types including activated T-cells keratinocytes neurons and endothelial cells. In the immune system CD166 has roles in T-cell activation and migration. It contains five extracellular immunoglobulin-like domains which facilitate cell-cell interactions. Researchers often regard ALCAM-Z as an alternative form sharing structural elements with CD166 protein.
Biological function summary

CD166 mediates cell-cell adhesion and plays roles in neuronal development. It participates in the formation of synaptic junctions and affects neuronal differentiation. CD166 is also a component of cell signaling complexes influencing cell proliferation and migration. In addition it controls interactions between T-cells and dendritic cells impacting immune response. Its interactions with other adhesion molecules contribute to cellular communication and tissue integrity.

Pathways

CD166 functions within signaling pathways related to cell adhesion and migration. It is involved in the Wnt signaling pathway and its interactions regulate cell polarity and morphogenesis. CD166 interacts closely with proteins such as CD6 and Catenins impacting cellular signaling and the organization of the cytoskeleton. These pathways affect processes like embryonic development and immune cell function.

CD166 has implications in cancer and autoimmune diseases. Its dysregulation links to cancer metastasis where altered expression facilitates tumor invasion and spread. CD166 also relates to autoimmune diseases through its role in T-cell activation potentially contributing to conditions like multiple sclerosis. The interaction between CD166 and CD6 influences immune cell activation and may offer therapeutic targets for modulating immune responses in these disorders.

Product protocols

For this product, it's our understanding that no specific protocols are required. You can visit:

Target data

Cell adhesion molecule that mediates both heterotypic cell-cell contacts via its interaction with CD6, as well as homotypic cell-cell contacts (PubMed : 15048703, PubMed : 15496415, PubMed : 16352806, PubMed : 23169771, PubMed : 24945728, PubMed : 7760007). Promotes T-cell activation and proliferation via its interactions with CD6 (PubMed : 15048703, PubMed : 16352806, PubMed : 24945728). Contributes to the formation and maturation of the immunological synapse via its interactions with CD6 (PubMed : 15294938, PubMed : 16352806). Mediates homotypic interactions with cells that express ALCAM (PubMed : 15496415, PubMed : 16352806). Acts as a ligand for the LILRB4 receptor, enhancing LILRB4-mediated inhibition of T cell proliferation (PubMed : 29263213). Required for normal hematopoietic stem cell engraftment in the bone marrow (PubMed : 24740813). Mediates attachment of dendritic cells onto endothelial cells via homotypic interaction (PubMed : 23169771). Inhibits endothelial cell migration and promotes endothelial tube formation via homotypic interactions (PubMed : 15496415, PubMed : 23169771). Required for normal organization of the lymph vessel network. Required for normal hematopoietic stem cell engraftment in the bone marrow. Plays a role in hematopoiesis; required for normal numbers of hematopoietic stem cells in bone marrow. Promotes in vitro osteoblast proliferation and differentiation (By similarity). Promotes neurite extension, axon growth and axon guidance; axons grow preferentially on surfaces that contain ALCAM. Mediates outgrowth and pathfinding for retinal ganglion cell axons (By similarity).. Isoform 3. Inhibits activities of membrane-bound isoforms by competing for the same interaction partners. Inhibits cell attachment via homotypic interactions. Promotes endothelial cell migration. Inhibits endothelial cell tube formation.
See full target information ALCAM

Publications (30)

Recent publications for all applications. Explore the full list and refine your search

Scientific reports 15:28271 PubMed40753109

2025

AMF30a promotes survival and function of human corneal endothelial cells by regulating TGF-β/ROCK/HIPPO pathway.

Applications

Unspecified application

Species

Unspecified reactive species

Yunkyoung Ryu,Hye-Jin Son,Jin Sun Hwang,Kyung Bo Noh,Sun-Hee Oh,Eun-Kyoung Choi,Young Joo Shin

Biomedicines 13: PubMed40564019

2025

CD133 and CD166 Stem Cells Markers Expression, Clinicopathological Parameters, and Fragmentation Response Patterns of ypT3 Rectal Cancer Following Neoadjuvant Chemoradiotherapy.

Applications

Unspecified application

Species

Unspecified reactive species

Diana Lavinia Pricope,Adriana Grigoraș,Gabriel Mihail Dimofte,Cristina Terinte,Cornelia Amalinei

Advanced science (Weinheim, Baden-Wurttemberg, Germany) 11:e2309885 PubMed38956900

2024

Identification of Hypoxia-ALCAM Macrophage- Exhausted T Cell Axis in Tumor Microenvironment Remodeling for Immunotherapy Resistance.

Applications

Unspecified application

Species

Unspecified reactive species

Zhenzhen Xun,Huanran Zhou,Mingyi Shen,Yao Liu,Chengcao Sun,Yanhua Du,Zhou Jiang,Liuqing Yang,Qing Zhang,Chunru Lin,Qingsong Hu,Youqiong Ye,Leng Han

iScience 27:109018 PubMed38357665

2024

and models define a molecular signature reference for human embryonic notochordal cells.

Applications

Unspecified application

Species

Unspecified reactive species

Julie Warin,Nicolas Vedrenne,Vivian Tam,Mengxia Zhu,Danqing Yin,Xinyi Lin,Bluwen Guidoux-D'halluin,Antoine Humeau,Luce Roseiro,Lily Paillat,Claire Chédeville,Caroline Chariau,Frank Riemers,Markus Templin,Jérôme Guicheux,Marianna A Tryfonidou,Joshua W K Ho,Laurent David,Danny Chan,Anne Camus

International journal of molecular sciences 24: PubMed37298647

2023

SPINK2 Protein Expression Is an Independent Adverse Prognostic Marker in AML and Is Potentially Implicated in the Regulation of Ferroptosis and Immune Response.

Applications

Unspecified application

Species

Unspecified reactive species

Herbert Augustus Pitts,Chi-Keung Cheng,Joyce Sin Cheung,Murphy Ka-Hei Sun,Yuk-Lin Yung,Hoi-Yun Chan,Raymond S M Wong,Sze-Fai Yip,Ka-Ngai Lau,Wai Shan Wong,Radha Raghupathy,Natalie P H Chan,Margaret H L Ng

Journal of cellular physiology 238:1507-1519 PubMed37062941

2023

IFI16/Ifi202 released from breast cancer induces secretion of inflammatory cytokines from macrophages and promotes tumor growth.

Applications

Unspecified application

Species

Unspecified reactive species

Ga Young Lim,Sun Wook Cho,Na-Lee Ka,Kyung-Hun Lee,Seock-Ah Im,Seung-Su Kim,Sewon Hwang,Mi-Ock Lee

International journal of molecular sciences 23: PubMed36499099

2022

Cancer Stem Cell Formation Induced and Regulated by Extracellular ATP and Stanniocalcin-1 in Human Lung Cancer Cells and Tumors.

Applications

Unspecified application

Species

Unspecified reactive species

Jingwen Song,Yanrong Qian,Maria Evers,Corinne M Nielsen,Xiaozhuo Chen

Frontiers in immunology 13:967944 PubMed36159854

2022

Intrahepatic activated leukocyte cell adhesion molecule induces CD6CD4 T cell infiltration in autoimmune hepatitis.

Applications

Unspecified application

Species

Unspecified reactive species

Qiwei Qian,Nana Cui,Bingyuan Huang,Yudong Zhao,Qiaoyan Liu,Mingli Hu,Bo Li,Qixia Wang,Qi Miao,Zhengrui You,Xiong Ma,Ruqi Tang

Biomedicines 10: PubMed36009530

2022

ALCAM: A Novel Surface Marker on EpCAM Circulating Tumor Cells.

Applications

Unspecified application

Species

Unspecified reactive species

Rossana Signorelli,Teresa Maidana Giret,Oliver Umland,Marco Hadisurya,Shweta Lavania,John Lalith Charles Richard,Ashley Middleton,Melinda Minucci Boone,Ayse Burcu Ergonul,Weiguo Andy Tao,Haleh Amirian,Anton Iliuk,Aliya Khan,Robert Diaz,Daniel Bilbao Cortes,Monica Garcia-Buitrago,Harrys Kishore Charles Jacob

International journal of cancer 151:1405-1419 PubMed35689436

2022

Proteome profiling of enzalutamide-resistant cell lines and serum analysis identified ALCAM as marker of resistance in castration-resistant prostate cancer.

Applications

Unspecified application

Species

Unspecified reactive species

Anita Csizmarik,Dávid Keresztes,Nikolett Nagy,Thilo Bracht,Barbara Sitek,Kathrin Witzke,Martin Puhr,Ilona Tornyi,József Lázár,László Takács,Gero Kramer,Sabina Sevcenco,Agnieszka Maj-Hes,Zsolt Jurányi,Boris Hadaschik,Péter Nyirády,Tibor Szarvas
View all publications

Product promise

We are committed to supporting your work with high-quality reagents, and we're here for you every step of the way. In the unlikely event that one of our products does not perform as expected, you're protected by our Product Promise.
For full details, please see our Terms & Conditions

Please note: All products are 'FOR RESEARCH USE ONLY. NOT FOR USE IN DIAGNOSTIC OR THERAPEUTIC PROCEDURES'.

For licensing inquiries, please contact partnerships@abcam.com