JavaScript is disabled in your browser. Please enable JavaScript to view this website.
AB206127

Anti-CD166 antibody [EPR2759(2)] - BSA and Azide free

Be the first to review this product! Submit a review

|

(1 Publication)

Rabbit Recombinant Monoclonal CD166 antibody. Carrier free. Suitable for IHC-P, IP, Flow Cyt, WB, ICC/IF and reacts with Human, Mouse, Rat samples. Cited in 1 publication.

View Alternative Names

CD166, MEMD, ALCAM, CD166 antigen, Activated leukocyte cell adhesion molecule

8 Images
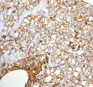
Immunohistochemistry (Formalin/PFA-fixed paraffin-embedded sections) - Anti-CD166 antibody [EPR2759(2)] - BSA and Azide free (AB206127)
  • IHC-P

Unknown

Immunohistochemistry (Formalin/PFA-fixed paraffin-embedded sections) - Anti-CD166 antibody [EPR2759(2)] - BSA and Azide free (AB206127)

Immunohistochemistry (Formalin/PFA-fixed paraffin-embedded sections) analysis of human prostatic adenocarcinoma tissue labelling CD166 with unpurified ab109215 at 1/100.

This data was developed using the same antibody clone in a different buffer formulation containing PBS, BSA, glycerol, and sodium azide (ab109215).

Perform heat mediated antigen retrieval before commencing with IHC staining protocol.

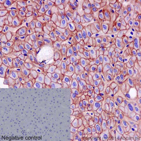
Immunohistochemistry (Formalin/PFA-fixed paraffin-embedded sections) - Anti-CD166 antibody [EPR2759(2)] - BSA and Azide free (AB206127)
  • IHC-P

Unknown

Immunohistochemistry (Formalin/PFA-fixed paraffin-embedded sections) - Anti-CD166 antibody [EPR2759(2)] - BSA and Azide free (AB206127)

Immunohistochemistry (Formalin/PFA-fixed paraffin-embedded sections) analysis of human liver tissue labelling CD166 with unpurified ab109215 at 1/100.

This data was developed using the same antibody clone in a different buffer formulation containing PBS, BSA, glycerol, and sodium azide (ab109215).

Perform heat mediated antigen retrieval before commencing with IHC staining protocol.

Flow Cytometry - Anti-CD166 antibody [EPR2759(2)] - BSA and Azide free (AB206127)
  • Flow Cyt

Lab

Flow Cytometry - Anti-CD166 antibody [EPR2759(2)] - BSA and Azide free (AB206127)

Flow Cytometry analysis of HuT-78 cells labelling CD166 with purified ab109215 at 1/90 (red). Cells were fixed with 2% paraformaldehyde. A FITC-conjugated goat anti-rabbit IgG (1/150) was used as the secondary antibody. Black - Isotype control, rabbit monoclonal IgG. Blue - Unlabelled control, cells without incubation with primary and secondary antibodies.

This data was developed using the same antibody clone in a different buffer formulation containing PBS, BSA, glycerol, and sodium azide (ab109215).

Immunocytochemistry/ Immunofluorescence - Anti-CD166 antibody [EPR2759(2)] - BSA and Azide free (AB206127)
  • ICC/IF

Lab

Immunocytochemistry/ Immunofluorescence - Anti-CD166 antibody [EPR2759(2)] - BSA and Azide free (AB206127)

Immunocytochemistry/Immunofluorescence analysis of THP-1 (human monocytic leukemia cell line) cells labelling CD166 (green) with purified ab109215 at 1/250. Cells were fixed with 100% methanol. ab150077, Alexa Fluor® 488-conjugated goat anti-rabbit IgG (1/1000) was used as the secondary antibody. DAPI (blue) was used as a nuclear counterstain.

Secondary Only Control : PBS was used instead of the primary antibody as the negative control.

This data was developed using the same antibody clone in a different buffer formulation containing PBS, BSA, glycerol, and sodium azide (ab109215).

Immunohistochemistry (Formalin/PFA-fixed paraffin-embedded sections) - Anti-CD166 antibody [EPR2759(2)] - BSA and Azide free (AB206127)
  • IHC-P

Lab

Immunohistochemistry (Formalin/PFA-fixed paraffin-embedded sections) - Anti-CD166 antibody [EPR2759(2)] - BSA and Azide free (AB206127)

Immunohistochemistry (Formalin/PFA-fixed paraffin-embedded sections) analysis of human liver tissue labelling CD166 with purified ab109215 at 1/50. Heat mediated antigen retrieval was performed using Tris/EDTA buffer pH 9. A prediluted HRP-polymer conjugated anti-rabbit IgG was used as the secondary antibody. Negative control using PBS instead of primary antibody. Counterstained with hematoxylin.

This data was developed using the same antibody clone in a different buffer formulation containing PBS, BSA, glycerol, and sodium azide (ab109215).

Immunoprecipitation - Anti-CD166 antibody [EPR2759(2)] - BSA and Azide free (AB206127)
  • IP

Lab

Immunoprecipitation - Anti-CD166 antibody [EPR2759(2)] - BSA and Azide free (AB206127)

ab109215 (purified) at 1/30 immunoprecipitating CD166 in SH-SY5Y (human neuroblastoma cell line from bone marrow) cell lysate (Lane 1). Lane 2 - PBS. For western blotting, a HRP-conjugated anti-rabbit IgG, specific to the non-reduced form of IgG was used as the secondary antibody (1/1500).

Blocking buffer and concentration : 5% NFDM/TBST.

Diluting buffer and concentration : 5% NFDM /TBST.

This data was developed using the same antibody clone in a different buffer formulation containing PBS, BSA, glycerol, and sodium azide (ab109215).

All lanes:

Immunoprecipitation - Anti-CD166 antibody [EPR2759(2)] (<a href='/en-us/products/primary-antibodies/cd166-antibody-epr27592-ab109215'>ab109215</a>)

Predicted band size: 65 kDa

Observed band size: 100-105 kDa

false

Western blot - Anti-CD166 antibody [EPR2759(2)] - BSA and Azide free (AB206127)
  • WB

Lab

Western blot - Anti-CD166 antibody [EPR2759(2)] - BSA and Azide free (AB206127)

This data was developed using the same antibody clone in a different buffer formulation containing PBS, BSA, glycerol, and sodium azide (ab109215).

Lane 1 : Wild-type HAP1 whole cell lysate (20 μg)
Lane 2 : CD166 knockout HAP1 whole cell lysate (20 μg)
Lane 3 : HeLa whole cell lysate (20 μg)
Lane 4 : SH-SY5Y whole cell lysate (20 μg)

Lanes 1 - 4 : Merged signal (red and green). Green - ab109215 observed at 100 kDa. Red - loading control, ab9484, observed at 37 kDa.

ab109215 was shown to specifically react with CD166 in wild-type HAP1 cells as signal was lost in CD166 knockout cells. Wild-type and CD166 knockout samples were subjected to SDS-PAGE. ab109215 and ab9484 (Mouse anti-GAPDH loading control) were incubated overnight at 4°C at 1/1000 dilution and 1/20000 dilution respectively. Blots were developed with Goat anti-Mouse IgG H&L (IRDye® 800CW) preabsorbed ab216772 and Goat anti-Rabbit IgG H&L (IRDye® 680RD) preabsorbed ab216777 secondary antibodies at 1/20000 dilution for 1 hour at room temperature before imaging.

All lanes:

Western blot - Anti-CD166 antibody [EPR2759(2)] (<a href='/en-us/products/primary-antibodies/cd166-antibody-epr27592-ab109215'>ab109215</a>)

Predicted band size: 65 kDa

false

Western blot - Anti-CD166 antibody [EPR2759(2)] - BSA and Azide free (AB206127)
  • WB

Unknown

Western blot - Anti-CD166 antibody [EPR2759(2)] - BSA and Azide free (AB206127)

Blocking buffer and concentration : 5% NFDM/TBST

Diluting buffer and concentration : 5% NFDM/TBST

All lanes:

Western blot - Anti-CD166 antibody [EPR2759(2)] - BSA and Azide free (ab206127)

All lanes:

SH-SY5Y (human neuroblastoma) whole cell lysate at 10 µg

Secondary

All lanes:

Western blot - Goat Anti-Rabbit IgG H&L (HRP) (<a href='/en-us/products/secondary-antibodies/goat-rabbit-igg-h-l-hrp-ab97051'>ab97051</a>)

Predicted band size: 65 kDa

Observed band size: 100-105 kDa

false

Exposure time: 1min

  • Unconjugated

    Anti-CD166 antibody [EPR2759(2)]

  • 665 Alexa Fluor® 647

    Alexa Fluor® 647 Anti-CD166 antibody [EPR2759(2)]

  • 603 Alexa Fluor® 568

    Alexa Fluor® 568 Anti-CD166 antibody [EPR2759(2)]

  • 775 Alexa Fluor® 750

    Alexa Fluor® 750 Anti-CD166 antibody [EPR2759(2)]

  • 578 PE

    PE Anti-CD166 antibody [EPR2759(2)]

  • 519 Alexa Fluor® 488

    Alexa Fluor® 488 Anti-CD166 antibody [EPR2759(2)]

  • HRP

    HRP Anti-CD166 antibody [EPR2759(2)]

  • 660 APC

    APC Anti-CD166 antibody [EPR2759(2)]

  • 617 Alexa Fluor® 594

    Alexa Fluor® 594 Anti-CD166 antibody [EPR2759(2)]

  • 565 Alexa Fluor® 555

    Alexa Fluor® 555 Anti-CD166 antibody [EPR2759(2)]

Key facts

Host species

Rabbit

Clonality

Monoclonal

Clone number

EPR2759(2)

Isotype

IgG

Carrier free

Yes

Reacts with

Mouse, Rat, Human

Applications

IHC-P, ICC/IF, WB, IP, Flow Cyt

applications

Immunogen

The exact immunogen used to generate this antibody is proprietary information.

Reactivity data

{ "title": "Reactivity Data", "filters": { "stats": ["", "Species", "Dilution Info", "Notes"], "tabs": { "all-applications": {"fullname" : "All Applications", "shortname": "All Applications"}, "IHCP" : {"fullname" : "Immunohistochemistry (Formalin/PFA-fixed paraffin-embedded sections)", "shortname":"IHC-P"}, "IP" : {"fullname" : "Immunoprecipitation", "shortname":"IP"}, "FlowCyt" : {"fullname" : "Flow Cytometry", "shortname":"Flow Cyt"}, "WB" : {"fullname" : "Western blot", "shortname":"WB"}, "ICCIF" : {"fullname" : "Immunocytochemistry/ Immunofluorescence", "shortname":"ICC/IF"} }, "product-promise": { "all": "all", "testedAndGuaranteed": "tested", "guaranteed": "expected", "predicted": "predicted", "notRecommended": "not-recommended" } }, "values": { "Human": { "IHCP-species-checked": "testedAndGuaranteed", "IHCP-species-dilution-info": "", "IHCP-species-notes": "<p></p>", "IP-species-checked": "testedAndGuaranteed", "IP-species-dilution-info": "", "IP-species-notes": "<p></p>", "FlowCyt-species-checked": "testedAndGuaranteed", "FlowCyt-species-dilution-info": "", "FlowCyt-species-notes": "<p><a href='/en-us/products/primary-antibodies/rabbit-igg-monoclonal-epr25a-isotype-control-low-endotoxin-azide-free-ab199376'>ab199376</a> - Rabbit monoclonal IgG, is suitable for use as an isotype control with this antibody.</p>", "WB-species-checked": "testedAndGuaranteed", "WB-species-dilution-info": "", "WB-species-notes": "<p>Please check the parent abID, <a href='/en-us/products/primary-antibodies/cd166-antibody-epr27592-ab109215'>ab109215</a>, for more information on dilutions.</p>", "ICCIF-species-checked": "testedAndGuaranteed", "ICCIF-species-dilution-info": "", "ICCIF-species-notes": "<p></p>" }, "Mouse": { "IHCP-species-checked": "guaranteed", "IHCP-species-dilution-info": "", "IHCP-species-notes": "", "IP-species-checked": "guaranteed", "IP-species-dilution-info": "", "IP-species-notes": "", "FlowCyt-species-checked": "guaranteed", "FlowCyt-species-dilution-info": "", "FlowCyt-species-notes": "", "WB-species-checked": "testedAndGuaranteed", "WB-species-dilution-info": "", "WB-species-notes": "<p>Please check the parent abID, <a href='/en-us/products/primary-antibodies/cd166-antibody-epr27592-ab109215'>ab109215</a>, for more information on dilutions.</p>", "ICCIF-species-checked": "guaranteed", "ICCIF-species-dilution-info": "", "ICCIF-species-notes": "" }, "Rat": { "IHCP-species-checked": "guaranteed", "IHCP-species-dilution-info": "", "IHCP-species-notes": "", "IP-species-checked": "guaranteed", "IP-species-dilution-info": "", "IP-species-notes": "", "FlowCyt-species-checked": "guaranteed", "FlowCyt-species-dilution-info": "", "FlowCyt-species-notes": "", "WB-species-checked": "testedAndGuaranteed", "WB-species-dilution-info": "", "WB-species-notes": "<p>Please check the parent abID, <a href='/en-us/products/primary-antibodies/cd166-antibody-epr27592-ab109215'>ab109215</a>, for more information on dilutions.</p>", "ICCIF-species-checked": "guaranteed", "ICCIF-species-dilution-info": "", "ICCIF-species-notes": "" } } }

Product details

ab206127 is the carrier-free version of ab109215.

Patented technology
Our RabMAb® technology is a patented hybridoma-based technology for making rabbit monoclonal antibodies. For details on our patents, please refer to RabMAb® patents.

What are the advantages of a recombinant monoclonal antibody?
This product is a recombinant monoclonal antibody, which offers several advantages including:

  • - High batch-to-batch consistency and reproducibility
  • - Improved sensitivity and specificity
  • - Long-term security of supply
  • - Animal-free batch production

For more information, read more on recombinant antibodies.

Conjugation ready
Our carrier-free antibodies are typically supplied in a PBS-only formulation, purified and free of BSA, sodium azide and glycerol. This conjugation-ready format is designed for use with fluorochromes, metal isotopes, oligonucleotides, and enzymes, which makes them ideal for antibody labelling, functional and cell-based assays, flow-based assays (e.g. mass cytometry) and Multiplex Imaging applications.

Use our conjugation kits for antibody conjugates that are ready-to-use in as little as 20 minutes with 1 minute hands-on-time and 100% antibody recovery: available for fluorescent dyes, HRP, biotin and gold.

Compatibility
This product is compatible with the Maxpar® Antibody Labeling Kit from Fluidigm, without the need for antibody preparation. Maxpar® is a trademark of Fluidigm Canada Inc.

Properties and storage information

Form
Liquid
Purification technique
Affinity purification Protein A
Storage buffer
pH: 7.2 - 7.4 Constituents: PBS
Shipped at conditions
Blue Ice
Appropriate short-term storage conditions
+4°C
Appropriate long-term storage conditions
+4°C
Storage information
Do Not Freeze

Supplementary information

This supplementary information is collated from multiple sources and compiled automatically.

CD166 also known as ALCAM (activated leukocyte cell adhesion molecule) is a cell surface glycoprotein with a mass of approximately 105 kDa. This protein is widely expressed on various cell types including activated T-cells keratinocytes neurons and endothelial cells. In the immune system CD166 has roles in T-cell activation and migration. It contains five extracellular immunoglobulin-like domains which facilitate cell-cell interactions. Researchers often regard ALCAM-Z as an alternative form sharing structural elements with CD166 protein.
Biological function summary

CD166 mediates cell-cell adhesion and plays roles in neuronal development. It participates in the formation of synaptic junctions and affects neuronal differentiation. CD166 is also a component of cell signaling complexes influencing cell proliferation and migration. In addition it controls interactions between T-cells and dendritic cells impacting immune response. Its interactions with other adhesion molecules contribute to cellular communication and tissue integrity.

Pathways

CD166 functions within signaling pathways related to cell adhesion and migration. It is involved in the Wnt signaling pathway and its interactions regulate cell polarity and morphogenesis. CD166 interacts closely with proteins such as CD6 and Catenins impacting cellular signaling and the organization of the cytoskeleton. These pathways affect processes like embryonic development and immune cell function.

CD166 has implications in cancer and autoimmune diseases. Its dysregulation links to cancer metastasis where altered expression facilitates tumor invasion and spread. CD166 also relates to autoimmune diseases through its role in T-cell activation potentially contributing to conditions like multiple sclerosis. The interaction between CD166 and CD6 influences immune cell activation and may offer therapeutic targets for modulating immune responses in these disorders.

Product protocols

For this product, it's our understanding that no specific protocols are required. You can visit:

Target data

Cell adhesion molecule that mediates both heterotypic cell-cell contacts via its interaction with CD6, as well as homotypic cell-cell contacts (PubMed : 15048703, PubMed : 15496415, PubMed : 16352806, PubMed : 23169771, PubMed : 24945728, PubMed : 7760007). Promotes T-cell activation and proliferation via its interactions with CD6 (PubMed : 15048703, PubMed : 16352806, PubMed : 24945728). Contributes to the formation and maturation of the immunological synapse via its interactions with CD6 (PubMed : 15294938, PubMed : 16352806). Mediates homotypic interactions with cells that express ALCAM (PubMed : 15496415, PubMed : 16352806). Acts as a ligand for the LILRB4 receptor, enhancing LILRB4-mediated inhibition of T cell proliferation (PubMed : 29263213). Required for normal hematopoietic stem cell engraftment in the bone marrow (PubMed : 24740813). Mediates attachment of dendritic cells onto endothelial cells via homotypic interaction (PubMed : 23169771). Inhibits endothelial cell migration and promotes endothelial tube formation via homotypic interactions (PubMed : 15496415, PubMed : 23169771). Required for normal organization of the lymph vessel network. Required for normal hematopoietic stem cell engraftment in the bone marrow. Plays a role in hematopoiesis; required for normal numbers of hematopoietic stem cells in bone marrow. Promotes in vitro osteoblast proliferation and differentiation (By similarity). Promotes neurite extension, axon growth and axon guidance; axons grow preferentially on surfaces that contain ALCAM. Mediates outgrowth and pathfinding for retinal ganglion cell axons (By similarity).. Isoform 3. Inhibits activities of membrane-bound isoforms by competing for the same interaction partners. Inhibits cell attachment via homotypic interactions. Promotes endothelial cell migration. Inhibits endothelial cell tube formation.
See full target information ALCAM

Publications (1)

Recent publications for all applications. Explore the full list and refine your search

Cytotherapy 15:1449-57 PubMed24199590

2013

Activation of bone marrow-derived mesenchymal stromal cells-a new mechanism of defocused low-energy shock wave in regenerative medicine.

Applications

Flow Cyt

Species

Rat

Yong Zhao,Jinbang Wang,Muwen Wang,Peng Sun,Ji Chen,Xunbo Jin,Haiyang Zhang
View all publications

Product promise

We are committed to supporting your work with high-quality reagents, and we're here for you every step of the way. In the unlikely event that one of our products does not perform as expected, you're protected by our Product Promise.
For full details, please see our Terms & Conditions

Please note: All products are 'FOR RESEARCH USE ONLY. NOT FOR USE IN DIAGNOSTIC OR THERAPEUTIC PROCEDURES'.

For licensing inquiries, please contact partnerships@abcam.com